|
|
|
Allele Information
|
|
Allele:
|
Calb2tm1(cre)Zjh
calbindin 2;
targeted mutation 1, Z Josh Huang
|
Driver: Calb2
Type: Targeted
(Recombinase)
|
|
|
Synonym:
|
Cr-iCre, Cr-IRES-cre
|
|
Molecular description:
|
A targeting vector was designed to insert an internal ribosome entry site (IRES), a Cre recombinase sequence, an SV40 polyA signal, and an frt-flanked neo cassette into the 3' untranslated region (~60 bp after the translational termination site) of the Calb2 (calbindin 2; also called calretinin or CR) gene. Mutant mice were bred with Actin-FLPe mice (on a C57BL/6 congenic background) to remove the neo selection cassette and the transgene was subsequently bred out of the background.
|
|
Collection:
|
Neuroscience Blueprint cre |
|
Find mice (IMSR):
|
Mouse Strains:
1
strain available
Cell Lines:
0 lines available
|
|
Additional Tissues:
|
Calb2tm1(cre)Zjh activity also observed in:
adipose tissue,
alimentary system,
cardiovascular system,
cavities & their linings,
embryo-other,
head,
hemolymphoid system,
integumental system,
limbs,
mesenchyme,
muscle,
nervous system,
renal & urinary system,
reproductive system,
sensory organs,
skeletal system,
tail
(less)
|
|
|
Tissue Information
|
|
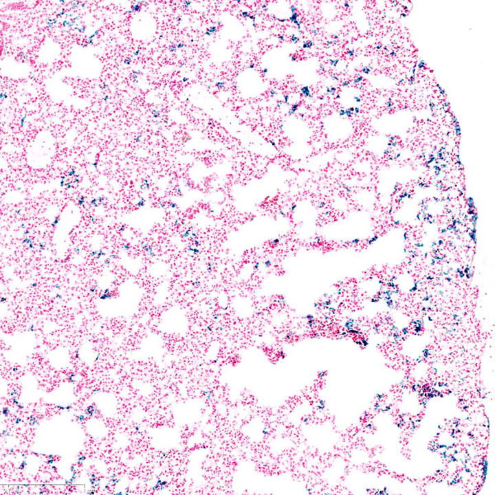
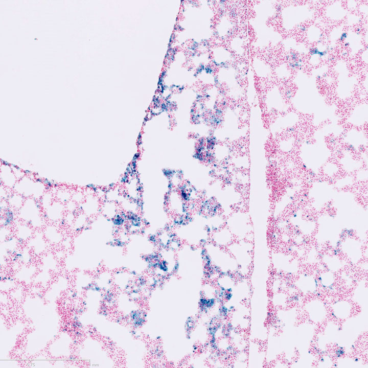
Respiratory System
|
Other recombinase alleles with activity in Respiratory System tissues:
Abcg2tm1.1(cre/Esr1*)Jvbe,
Acantm1(cre/ERT2)Crm,
Agertm2.1(cre/ERT2)Blh,
Agrptm1(cre)Lowl,
Aldh1l1em1(cre/ERT2)Nju,
Alpltm1(cre)Nagy,
Amhr2em1(icre)Fjd,
Aplnrem3(cre/ERT2)Smoc,
Atoh8tm1(EGFP/cre)Gasa,
Ccktm1.1(cre)Zjh,
Ccr2em1(mNeonGreen,cre)Cya,
Cd34tm1.1(cre/ERT2)Lizg,
Cdh5em1(nigri)Bzsh,
Cdkn2atm1.1(cre)Dvb,
Cdkn2atm1(cre/ERT2)Mkt,
Cfap126tm1.1(icre)Heli,
Chia1tm1.1(icre)Lky,
Cldn6tm1(cre/ERT2)Dam,
Clutm2(EGFP/cre/ERT2)Wtsi,
Commd10Tg(Vav1-icre)A2Kio,
Corttm1(cre)Zjh,
Crhtm1(cre)Zjh,
Cx3cr1tm1.1(cre)Jung,
Cx3cr1tm2.1(cre/ERT)Jung,
Ddx4em1(icre)Jobo,
Dpttm1.1(cre/ERT2)Snjt,
E2f1Tg(Wnt1-cre)2Sor,
Elf5em1(cre)Jilu,
Eportm1.1(EGFP/icre)Uk,
Etv5tm1(cre/ERT2)Brst,
Fgf10tm2.1(cre/ERT2)Sbel,
Fgf16tm1.1(cre)Sms,
Fgf18tm2.2(cre/ERT2)Dor,
Foxa2tm1(cre)Heli,
Foxa2tm2.1(cre/Esr1*)Moon,
Foxd1tm1(GFP/cre)Amc,
Foxj1tm1.1(cre/ERT2/GFP)Htg,
Fstl1tm2.1(cre/ERT2)Ning,
Gad2tm2(cre)Zjh,
Gata4tm2(cre/ERT2)Ykaw,
Gfi1tm1(cre)Gan,
Gli2tm1(cre/ERT2)Tipe,
Glp1rtm1.1(cre)Cors,
Gnao1tm2(EGFP/cre/ERT2)Wtsi,
Golm1tm2(EGFP/cre/ERT2)Wtsi,
Gt(ROSA)26Sorem1(CAG-Ncre/vvd*,-vvd*/Ccre)Larc,
Gt(ROSA)26Sortm1.1(CAG-cre)Jphe,
Gt(ROSA)26Sortm1.1(rtTA,tetO-cre)Bkmn,
Gt(ROSA)26Sortm1(cre/ERT2)Tyj,
Gt(ROSA)26Sortm1(cre/ERT)Brn,
Gt(ROSA)26Sortm2(icre/ERT2)Jphe,
Gt(ROSA)26Sortm5(dre)Dwi,
Gt(ROSA)26Sortm8(CAG-dre/ERT2)Bzsh,
H2az2Tg(Wnt1-cre)11Rth,
Hlfem2(cre/ERT2)Suda,
Hprt1tm1(CAG-cre)Mnn,
Hprt1tm364a(CAG-icre/ERT2)Ems,
Hsd11b2tm1(cre)Anft,
Ifi208Tg(Cspg4-cre)1Akik,
Igs2tm1(Cdkn1a-cre/ERT2,-EGFP)Mxu,
Il1r1tm1(cre/ERT2)Jhle,
Itga8tm1.1(cre/ERT2)Jomm,
Kittm1.1(cre)Jmol,
Kittm1(cre/ERT2)Bzsh,
Kittm2.1(cre/Esr1*)Jmol,
Krt17tm1(cre)Murr,
Leprtm2(cre)Rck,
Lgr4tm1(cre/ERT2)Cle,
Lgr5tm1.1(cre/ERT2)Npa,
Lgr6tm2.1(cre/ERT2)Cle,
Ltftm1(icre)Tdku,
Ly6atm1.1(cre/ERT2)Geno,
Ly6atm2.1(cre/Esr1*)Jmol,
Lyve1tm1.1(EGFP/cre)Cys,
Lyz2tm1(cre)Ifo,
Mcoln3tm1.1(cre)Lrcb,
Mecomtm4.1(cre/ERT2)Aspe,
Mfsd2atm2(cre/ERT2)Dls,
Mnx1tm4(cre)Tmj,
Msi2tm1.1(cre/ERT2)Reya,
Myf5tm3(cre)Sor,
Myh6em2(cre)Smoc,
Myocdtm1(cre)Dzw,
Ndor1Tg(UBC-cre/ERT2)1Ejb,
Nkx2-1tm1.1(cre/ERT2)Zjh,
Nkx2-5tm2(cre)Rph,
Oprk1tm1.1(cre)Sros,
Osr2tm2(cre)Jian,
P2rx2tm1.1(cre)Ttc,
P2ry12em1(icre/ERT2)Tda,
Pax3tm1(cre)Joe,
Pax7tm2.1(cre/ERT2)Fan,
Pbx3tm1(EGFP/cre/ERT2)Wtsi,
Pdgfratm1.1(cre/ERT2)Blh,
Pdgfratm1.1(EGFP/cre/ERT2)Hyma,
Piezo1em2(cre/ERT2)Smoc,
Plxnd1tm2(EGFP/cre/ERT2)Wtsi,
Pmelem1(rtTA,tetO-icre)Osaw,
Prlrtm1.1(cre)Uboe,
Rbpmsem1(cre/ERT2)Yzhe,
Rtkn2em1(cre/ERT2)Jich,
Scgb1a1tm1.1(Cicre)Thbr,
Scgb1a1tm1(cre/ERT)Blh,
Sfta3tm1.1(cre/ERT2)Eem,
Sftpctm1.1(Nicre)Thbr,
Sftpctm1(dre/ERT2)Bzsh,
Shhtm1(EGFP/cre)Cjt,
Slc17a6tm2(cre)Lowl,
Slc26a9em1(cre)Sms,
Sox17tm1(icre)Heli,
Sox17tm2.1(icre)Heli,
Sox17tm4.1(icre/ERT2)Heli,
Sox2tm1.1(cre/ERT2)Ykaw,
Spink1tm3(cre)Kymm,
Taglntm2(cre)Yec,
Tas2r131tm2.1(cre)Uboe,
Tbx21tm1.1(cre/ERT2)Ayr,
Tekem1(dre)Bzsh,
Tfcp2l1tm1.1(cre/ERT2)Ovi,
Tg(Acp5-cre)4Rda,
Tg(ACTA1-cre)79Jme,
Tg(Acta2-cre/ERT2)12Pcn,
Tg(Acta2-cre/ERT2)51Pcn,
Tg(ACTB-cre)1Tes,
Tg(Acvrl1-cre)B1Spo,
Tg(Acvrl1-cre)L1Spo,
Tg(Aldh1l1-cre/ERT2)02Kan,
Tg(Amh-cre)8815Reb,
Tg(Amy2-cre)1Herr,
Tg(CAG-cre/Esr1*)1Lbe,
Tg(CAG-cre/Esr1*)5Amc,
Tg(Camk2a-cre)1Nobs,
Tg(Ccr2-cre)584Hohl,
Tg(CD2-icre)4Kio,
Tg(Cdh16-cre)91Igr,
Tg(Cdh5-cre)1Nmoc,
Tg(Cdh5-cre)7Mlia,
Tg(Cdh5-cre/ERT2)CIVE23Mlia,
Tg(CDX2-cre)101Erf,
Tg(Cga-cre)3Sac,
Tg(Chst4-cre)1Hkwa,
Tg(Ckmm-cre)5Khn,
Tg(CMA1-cre)6Thhe,
Tg(CMV-cre)1Cgn,
Tg(Col1a1-cre/ERT2)1Crm,
Tg(Col1a2-cre)23Angl,
Tg(Col1a2-cre/ERT,-ALPP)7Cpd,
Tg(Col2a1-cre)1Asz,
Tg(Col2a1-cre/ERT)KA3Smac,
Tg(Cspg4-cre/Esr1*)BAkik,
Tg(Csrp1-cre)1Sjc,
Tg(Ctgf-cre)2Aibs,
Tg(Cyp17a1-icre)AJako,
Tg(Cyp39a1-cre)1Aibs,
Tg(Ddx4-cre)1Dcas,
Tg(Dll1-cre)33Dchp,
Tg(Dlx1-cre)RB27Gsat,
Tg(dlx5a-cre)1Mekk,
Tg(EIIa-cre)C5379Lmgd,
Tg(Elf5-cre/ERT2,-GFP)2Rcha,
Tg(Eno2-cre)39Jme,
Tg(Epo-cre)44Mym,
Tg(Epx-EYFP/cre)#Voeh,
Tg(Fabp4-cre)1Abel,
Tg(Fabp4-cre)1Rev,
Tg(Fgfr3-icre/ERT2)4-2Wdr,
Tg(FOXJ1-cre/ERT2)1Blh,
Tg(FOXJ1-cre)F26Htzm,
Tg(Fzd9-cre)1Chzh,
Tg(Gabra6-cre)B1Lfr,
Tg(Gata1-cre)1Sho,
Tg(GFAP-cre)25Mes,
Tg(Gfap-cre)77.6Mvs,
Tg(GH1-cre)1Sac,
Tg(Gjb6-cre/ERT2)53-33Fwp,
Tg(Grik4-cre)G32-4Stl,
Tg(Hand2-cre)7-1Clou,
Tg(Hcn4-cre/ERT2)1Yzhao,
Tg(Hoxa5-cre)447BLjea,
Tg(Hspa2-cre)1Eddy,
Tg(Itgax-cre)1-1Reiz,
Tg(Kdr-cre)15962Brei,
Tg(KRT14-cre/Esr1*)3Brst,
Tg(KRT5-cre)5132Jlj,
Tg(KRT5-cre/ERT2)1Blh,
Tg(KRT5-cre/ERT)SCmch,
Tg(Krt8-cre/ERT2,-GFP)1Xin,
Tg(Lck-icre)3779Nik,
Tg(Lyve1-cre/ERT2)49Rtem,
Tg(Mafg-Nrf2/cre,-EGFP)737Hozu,
Tg(Mef2c-cre)2Blk,
Tg(MMTV-cre)4Mam,
Tg(MMTV-flpo)11Gcr,
Tg(Mrgprb2-EGFP/cre)#Xzd,
Tg(Mx1-cre)1Cgn,
Tg(Myh11-cre)5013Gko,
Tg(Myh11-cre,-EGFP)2Mik,
Tg(Myh11-icre/ERT2)1Soff,
Tg(Myh6-cre)2182Mds,
Tg(Myh6-cre/PGR*)6297Mds,
Tg(myl7.L-cre)1118Tmhn,
Tg(MYOD1-cre)M23Glh,
Tg(Nes-cre)1Atp,
Tg(Nes-cre)1Kln,
Tg(Nkx2-1-cre)2Sand,
Tg(Nrp2-cre,-EGFP)#Qsch,
Tg(Pcp2-cre)2Mpin,
Tg(Pdgfb-icre/ERT2,-EGFP)1Frut,
Tg(Pdzk1ip1-cre/ERT2)#Reiz,
Tg(Pf4-icre)Q3Rsko,
Tg(Pitx2-cre/ERT2)#Jfm,
Tg(Plp1-cre/ERT)3Pop,
Tg(Prdm1-cre)1Masu,
Tg(Prrx1-cre)1Cjt,
Tg(Retnla-cre)#Voeh,
Tg(Rr291-cre)6-2Clou,
Tg(Runx1/Hspa1a-cre/ERT2)#Itoy,
Tg(S100a4-cre)1Egn,
Tg(Scgb1a1-cre)1Grau,
Tg(Scgb1a1-cre)1Tauc,
Tg(Scnn1a-cre)3Aibs,
Tg(Scx-cre)HShuk,
Tg(Sftpa1-cre)1Xya,
Tg(SFTPC-cre)11Yo,
Tg(Sftpc-cre)1Blh,
Tg(Sim1-cre)1Lowl,
Tg(Slc1a3-cre/ERT2)45-72Fwp,
Tg(Smad7-cre)1Sjc,
Tg(Stra8-icre)1Reb,
Tg(Tagln-cre)1Her,
Tg(Tagln-cre)1Jjl,
Tg(Tal1-cre/ERT)1Jrg,
Tg(Tal1-cre/ERT)42-056Jrg,
Tg(Tas2r143-cre/ERT2)#Soff,
Tg(Tbx4-cre)6Kras,
Tg(Tbx4-cre/ERT2)#Kras,
Tg(Tek-cre)12Flv,
Tg(Tek-cre)1Arnd,
Tg(Tek-cre)1Ywa,
Tg(Tek-cre/ERT2)1Arnd,
Tg(Tek-icre/ERT2)1Soff,
Tg(tetO-cre)1Jaw,
Tg(tetO-cre)LC1Bjd,
Tg(Thy1-cre)1Vln,
Tg(Thy1-cre)703Vaw,
Tg(Tie1-cre)9Ref,
Tg(TNS4-cre)1Shlo,
Tg(Tshb-cre)4Sac,
Tg(Vil1-cre)997Gum,
Tg(Wfs1-cre/ERT2)3Aibs,
Tg(Wnt11-cre/ERT2)1Jwng,
Tg(WT1-cre)AG11Dbdr,
Tg(Zp3-cre)3Mrt,
Thtm1(cre)Te,
Tigitem1(cre/ERT2)Tebi,
Tmprss2tm1.1(cre/ERT2)Ychen,
Tnfrsf19tm1.1(cre/ERT2)Cle,
Trpm5tm1.1(cre)Uboe,
Trpv4em1(cre/ERT2)Amc,
Twist2tm1.1(cre)Dor,
Vimem1(cre/ERT2)Bzsh,
Viptm1(cre)Zjh,
Wt1tm1(EGFP/cre)Wtp,
Wt1tm2(cre/ERT2)Wtp
(less)
|
|
|
Images
|
Drag images to compare to others or to data in the table below. Drag corners to resize images for more detail.
Reset Images
|
|
Recombinase Activity
|
Click heading to re-sort table.
Assays
Genotypic Background
Result Notes
|
|
References
|
|