About   Help   FAQ
Phenotype Images associated with this Gene
Symbol
Name
ID
Foxf2
forkhead box F2
MGI:1347479


5 phenotype image(s) for Foxf2 alleles
Showing image(s) 1 to 5

Click on thumbnail to view full size image with links to phenotype annotations.
Click on allele symbol for full phenotype details.

Caption: Foxf2W174R/Foxf2W174R pups are smaller at 3 days after birth and consume less milk at birth (details)
Represented Alleles:
Foxf2W174R, forkhead box F2; Trp174Arg
Copyright: This image is from McKeone R, PLoS One 2011;6(10):e25489, and is displayed under the terms of the Creative Commons Attribution 4.0 International License. J:178103
Caption: Iris abnormalities in Foxf2W174R/Foxf2+ mice (details)
Represented Alleles:
Foxf2W174R, forkhead box F2; Trp174Arg
Copyright: This image is from McKeone R, PLoS One 2011;6(10):e25489, and is displayed under the terms of the Creative Commons Attribution 4.0 International License. J:178103
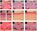
Caption: Iridocorneal abnormalities in Foxf2W174R/Foxf2+ mice (details)
Represented Alleles:
Foxf2W174R, forkhead box F2; Trp174Arg
Copyright: This image is from McKeone R, PLoS One 2011;6(10):e25489, and is displayed under the terms of the Creative Commons Attribution 4.0 International License. J:178103
Caption: Eye abnormalities in Foxf2W174R/Foxf2+ mice (details)
Represented Alleles:
Foxf2W174R, forkhead box F2; Trp174Arg
Copyright: This image is from McKeone R, PLoS One 2011;6(10):e25489, and is displayed under the terms of the Creative Commons Attribution 4.0 International License. J:178103
Caption: Absence of ciliary body formation in E18.5 Foxf2W174R/Foxf2W174R eyes (details)
Represented Alleles:
Foxf2W174R, forkhead box F2; Trp174Arg
Copyright: This image is from McKeone R, PLoS One 2011;6(10):e25489, and is displayed under the terms of the Creative Commons Attribution 4.0 International License. J:178103

Contributing Projects:
Mouse Genome Database (MGD), Gene Expression Database (GXD), Mouse Models of Human Cancer database (MMHCdb) (formerly Mouse Tumor Biology (MTB)), Gene Ontology (GO)
Citing These Resources
Funding Information
Warranty Disclaimer, Privacy Notice, Licensing, & Copyright
Send questions and comments to User Support.
last database update
12/30/2025
MGI 6.24
The Jackson Laboratory