About   Help   FAQ
Phenotype Image Detail
Image
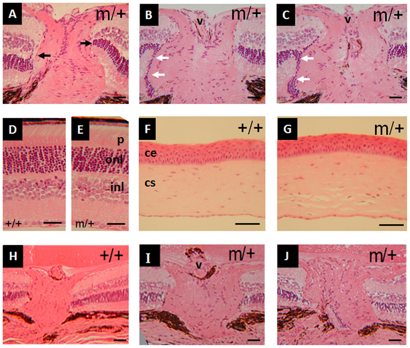
Caption Representative images of eye phenotype of aged heterozygous Foxf2W174R/Foxf2+ mutant mice. A, 6 month old Foxf2W174R/Foxf2+ eye (m+/) showing normal retinal termination at the edge of the optic nerve fibre layer (black arrows). B&C, sections through two other 6 month old Foxf2W174R/Foxf2+ eyes showing abnormal bulge in the nerve fibre layer. The outer nuclear layer of the retina can be seen to continue at the surface of this bulging tissue (white arrows). D&E, retinal sections in 6 month eyes. F&G, corneal sections in 6 month eyes. H-J, 12 month Foxf2W174R/Foxf2+ optic nerves that do not show signs of glaucomatous change. v, vein; p, photoreceptors; onl, outer nuclear layer; inl, inner nuclear layer; ce, corneal epithelium; cs, corneal stroma. Scale bar = 50 um.
Copyright This image is from McKeone R, PLoS One 2011;6(10):e25489, and is displayed under the terms of the Creative Commons Attribution 4.0 International License. J:178103
Associated
Alleles
Symbol Name
Foxf2W174R forkhead box F2; Trp174Arg
Associated
Genotypes
Allelic Composition Genetic Background
Foxf2W174R/Foxf2+ involves: BALB/c * C3H/HeH

Contributing Projects:
Mouse Genome Database (MGD), Gene Expression Database (GXD), Mouse Models of Human Cancer database (MMHCdb) (formerly Mouse Tumor Biology (MTB)), Gene Ontology (GO)
Citing These Resources
Funding Information
Warranty Disclaimer, Privacy Notice, Licensing, & Copyright
Send questions and comments to User Support.
last database update
12/30/2025
MGI 6.24
The Jackson Laboratory