About   Help   FAQ
Phenotype Images associated with this Gene
Symbol
Name
ID
Ptp4a2
protein tyrosine phosphatase 4a2
MGI:1277117


3 phenotype image(s) for Ptp4a2 alleles
Showing image(s) 1 to 3

Click on thumbnail to view full size image with links to phenotype annotations.
Click on allele symbol for full phenotype details.

Caption: Growth retardation of Ptp4a2Gt(AQ0673)Wtsi/Ptp4a2Gt(AQ0673)Wtsi mice (details)
Represented Alleles:
Ptp4a2Gt(AQ0673)Wtsi, protein tyrosine phosphatase 4a2; gene trap AQ0673, Wellcome Trust Sanger Institute
Copyright: This image is from Dong Y, J Biol Chem 2012 Sep 14;287(38):32172-9 and is displayed with the permission of the American Society for Biochemistry and Molecular Biology who owns the Copyright. Full text from JBC. J:190411
Caption: Placental hypotrophy and insufficiency in Ptp4a2Gt(AQ0673)Wtsi/Ptp4a2Gt(AQ0673)Wtsi mice (details)
Represented Alleles:
Ptp4a2Gt(AQ0673)Wtsi, protein tyrosine phosphatase 4a2; gene trap AQ0673, Wellcome Trust Sanger Institute
Copyright: This image is from Dong Y, J Biol Chem 2012 Sep 14;287(38):32172-9 and is displayed with the permission of the American Society for Biochemistry and Molecular Biology who owns the Copyright. Full text from JBC. J:190411
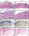
Caption: Ptp4a2Gt(AQ0673)Wtsi/Ptp4a2Gt(AQ0673)Wtsi placenta has fewer spongiotrophoblast and glycogen cells due to reduced proliferation (details)
Represented Alleles:
Ptp4a2Gt(AQ0673)Wtsi, protein tyrosine phosphatase 4a2; gene trap AQ0673, Wellcome Trust Sanger Institute
Copyright: This image is from Dong Y, J Biol Chem 2012 Sep 14;287(38):32172-9 and is displayed with the permission of the American Society for Biochemistry and Molecular Biology who owns the Copyright. Full text from JBC. J:190411

Contributing Projects:
Mouse Genome Database (MGD), Gene Expression Database (GXD), Mouse Models of Human Cancer database (MMHCdb) (formerly Mouse Tumor Biology (MTB)), Gene Ontology (GO)
Citing These Resources
Funding Information
Warranty Disclaimer, Privacy Notice, Licensing, & Copyright
Send questions and comments to User Support.
last database update
12/30/2025
MGI 6.24
The Jackson Laboratory