About   Help   FAQ
Phenotype Images associated with this Gene
Symbol
Name
ID
Meox2
mesenchyme homeobox 2
MGI:103219


6 phenotype image(s) for Meox2 alleles
Showing image(s) 1 to 6

Click on thumbnail to view full size image with links to phenotype annotations.
Click on allele symbol for full phenotype details.

Caption: Tg(CAG-lacZ,-FUS,-EGFP)629Gyu/0 Meox2tm1(cre)Sor/Meox2+ mice display hindlimb curl (details)
Represented Alleles:
Meox2tm1(cre)Sor, mesenchyme homeobox 2; targeted mutation 1, Philippe Soriano
Tg(CAG-lacZ,-FUS,-EGFP)629Gyu, transgene insertion 629, Gang Yu
Copyright: This image is from Sephton CF, Proc Natl Acad Sci U S A 2014 Nov 4;111(44):E4769-78. Copyright 2014 National Academy of Sciences, U.S.A. J:216672
Caption: Tg(CAG-lacZ,-FUS*R521G,-EGFP)682Gyu/0 Meox2tm1(cre)Sor/Meox2+ mice display hindlimb curl (details)
Represented Alleles:
Meox2tm1(cre)Sor, mesenchyme homeobox 2; targeted mutation 1, Philippe Soriano
Tg(CAG-lacZ,-FUS*R521G,-EGFP)682Gyu, transgene insertion 682, Gang Yu
Copyright: This image is from Sephton CF, Proc Natl Acad Sci U S A 2014 Nov 4;111(44):E4769-78. Copyright 2014 National Academy of Sciences, U.S.A. J:216672
Caption: Gliosis in the ventral horn of the spinal cord of Tg(CAG-lacZ,-FUS,-EGFP)629Gyu/0 Meox2tm1(cre)Sor/Meox2+ and Tg(CAG-lacZ,-FUS*R521G,-EGFP)682Gyu/0 Meox2tm1(cre)Sor/Meox2+ mice (details)
Represented Alleles:
Meox2tm1(cre)Sor, mesenchyme homeobox 2; targeted mutation 1, Philippe Soriano
Tg(CAG-lacZ,-FUS,-EGFP)629Gyu, transgene insertion 629, Gang Yu
Tg(CAG-lacZ,-FUS*R521G,-EGFP)682Gyu, transgene insertion 682, Gang Yu
Copyright: This image is from Sephton CF, Proc Natl Acad Sci U S A 2014 Nov 4;111(44):E4769-78. Copyright 2014 National Academy of Sciences, U.S.A. J:216672
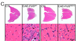
Caption: Muscle atrophy in Tg(CAG-lacZ,-FUS,-EGFP)629Gyu/0 Meox2tm1(cre)Sor/Meox2+ and Tg(CAG-lacZ,-FUS*R521G,-EGFP)682Gyu/0 Meox2tm1(cre)Sor/Meox2+ mice (details)
Represented Alleles:
Meox2tm1(cre)Sor, mesenchyme homeobox 2; targeted mutation 1, Philippe Soriano
Tg(CAG-lacZ,-FUS,-EGFP)629Gyu, transgene insertion 629, Gang Yu
Tg(CAG-lacZ,-FUS*R521G,-EGFP)682Gyu, transgene insertion 682, Gang Yu
Copyright: This image is from Sephton CF, Proc Natl Acad Sci U S A 2014 Nov 4;111(44):E4769-78. Copyright 2014 National Academy of Sciences, U.S.A. J:216672
Caption: Neuromuscular junctions are denervated in Tg(CAG-lacZ,-FUS,-EGFP)629Gyu/0 Meox2tm1(cre)Sor/Meox2+ and Tg(CAG-lacZ,-FUS*R521G,-EGFP)682Gyu/0 Meox2tm1(cre)Sor/Meox2+ mice (details)
Represented Alleles:
Meox2tm1(cre)Sor, mesenchyme homeobox 2; targeted mutation 1, Philippe Soriano
Tg(CAG-lacZ,-FUS,-EGFP)629Gyu, transgene insertion 629, Gang Yu
Tg(CAG-lacZ,-FUS*R521G,-EGFP)682Gyu, transgene insertion 682, Gang Yu
Copyright: This image is from Sephton CF, Proc Natl Acad Sci U S A 2014 Nov 4;111(44):E4769-78. Copyright 2014 National Academy of Sciences, U.S.A. J:216672
Caption: Reduction in dendritic spine density in Tg(CAG-lacZ,-FUS*R521G,-EGFP)682Gyu/0 Meox2tm1(cre)Sor/Meox2+ mice but not Tg(CAG-lacZ,-FUS,-EGFP)629Gyu/0 Meox2tm1(cre)Sor/Meox2+ mice (details)
Represented Alleles:
Meox2tm1(cre)Sor, mesenchyme homeobox 2; targeted mutation 1, Philippe Soriano
Tg(CAG-lacZ,-FUS,-EGFP)629Gyu, transgene insertion 629, Gang Yu
Tg(CAG-lacZ,-FUS*R521G,-EGFP)682Gyu, transgene insertion 682, Gang Yu
Copyright: This image is from Sephton CF, Proc Natl Acad Sci U S A 2014 Nov 4;111(44):E4769-78. Copyright 2014 National Academy of Sciences, U.S.A. J:216672

Contributing Projects:
Mouse Genome Database (MGD), Gene Expression Database (GXD), Mouse Models of Human Cancer database (MMHCdb) (formerly Mouse Tumor Biology (MTB)), Gene Ontology (GO)
Citing These Resources
Funding Information
Warranty Disclaimer, Privacy Notice, Licensing, & Copyright
Send questions and comments to User Support.
last database update
12/30/2025
MGI 6.24
The Jackson Laboratory