About   Help   FAQ
Phenotype Image Detail
Image
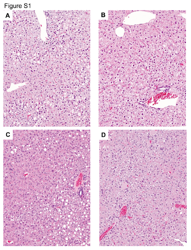
Caption Liver histology of Hmgcltm2Gam/Hmgcltm2Gam Speer6-ps1Tg(Alb-cre)21Mgn/0 and control mice. (a) Normal control; (b) Mutant; (c) Normal control 6 hours after 2-ketoisocaproate (KIC) injection and (d) mutant liver after KIC injection. (a-c) Mutants show moderate steatosis with large lipid droplets predominantly in a periportal location and relative sparing of pericentral hepatocytes. In (d), a panlobular distribution of medium-sized droplets is seen. All slides show hematoxylin and eosin staining, X200.
Copyright This image is from Gauthier N, PLoS One 2013;8(7):e60581, and is displayed under the terms of the Creative Commons Attribution 4.0 International License. J:204294
Associated
Alleles
Symbol Name
Hmgcltm2Gam 3-hydroxy-3-methylglutaryl-Coenzyme A lyase; targeted mutation 2, Grant A Mitchell
Speer6-ps1Tg(Alb-cre)21Mgn spermatogenesis associated glutamate (E)-rich protein 6, pseudogene 1; transgene insertion 21, Mark A Magnuson
Associated
Genotypes
Allelic Composition Genetic Background
Hmgcltm2Gam/Hmgcltm2Gam
Speer6-ps1Tg(Alb-cre)21Mgn/Speer6-ps1+
B6.Cg-Hmgcltm2Gam Speer6-ps1Tg(Alb-cre)21Mgn

Contributing Projects:
Mouse Genome Database (MGD), Gene Expression Database (GXD), Mouse Models of Human Cancer database (MMHCdb) (formerly Mouse Tumor Biology (MTB)), Gene Ontology (GO)
Citing These Resources
Funding Information
Warranty Disclaimer, Privacy Notice, Licensing, & Copyright
Send questions and comments to User Support.
last database update
09/30/2025
MGI 6.24
The Jackson Laboratory