About   Help   FAQ
Phenotype Image Detail
Image
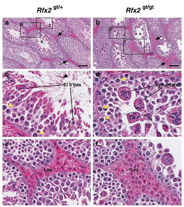
Caption Rfx2Gt(IST10638H11)Tigm/Rfx2+ (Rfx2gt/+) and Rfx2Gt(IST10638H11)Tigm/Rfx2Gt(IST10638H11)Tigm (Rfx2gt/gt) testis histology. Panels A, C, and E correspond to heterozygous. Panels B, D, and F correspond to the homozygous mutant. The boxed areas in panels A and B are enlarged in panels C-F. (a,b) Spermatozoa (s) are present in the lumen of seminiferous tubules from heterozygous mice but are absent in homozygous testis (*). The arrows point to the interstitial space containing Leydig cells, which appear enlarged in homozygous mice compared to heterozygous mice. The bar equals 100 um. (c,d) Elongating spermatids (El S'tids) are prominent in the seminiferous tubules of heterozygous testis and give rise to spermatozoa (arrowhead). In homozygous testis, elongating spermatids are replaced by symplasts of spermatids (Sym S'tids). Spermatocytes located basally (yellow arrowheads) are present in both heterozygous and homozygous testis sections. (e,f) Increased numbers of Leydig cells (Ley) are present in the interstitial space of homozygous testis compared with heterozygous testis.
Copyright This image is from Shawlot W, Genesis 2015 Aug 6;():, and is displayed with the permission of Wiley-Blackwell, who owns the Copyright. J:227136
Associated
Alleles
Symbol Name
Rfx2Gt(IST10638H11)Tigm regulatory factor X, 2 (influences HLA class II expression); gene trap IST10638H11, Texas A&M Institute for Genomic Medicine
Associated
Genotypes
Allelic Composition Genetic Background
Rfx2Gt(IST10638H11)Tigm/Rfx2Gt(IST10638H11)Tigm either: C57BL/6N-Rfx2Gt(IST10638H11)Tigm or (involves: C57BL/6N * CD-1)

Contributing Projects:
Mouse Genome Database (MGD), Gene Expression Database (GXD), Mouse Models of Human Cancer database (MMHCdb) (formerly Mouse Tumor Biology (MTB)), Gene Ontology (GO)
Citing These Resources
Funding Information
Warranty Disclaimer, Privacy Notice, Licensing, & Copyright
Send questions and comments to User Support.
last database update
12/30/2025
MGI 6.24
The Jackson Laboratory