About   Help   FAQ
Phenotype Image Detail
Image
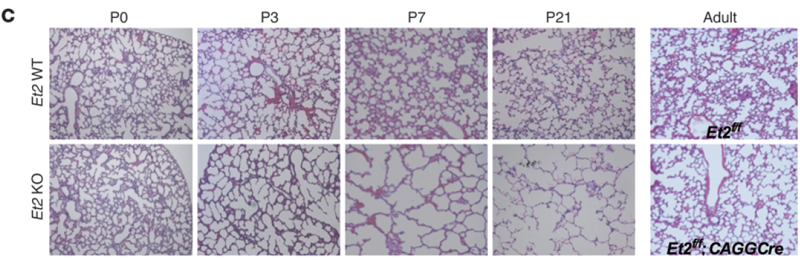
Caption Lung sections from Edn2tm1Ywa/Edn2tm1Ywa (Et2 KO; P1-P21) and adult Edn2tm1.1Nat/Edn2tm1.1Nat Tg(CAG-cre/Esr1*)5Amc/0 (Et2f/f;CAGGCre) (8-week-old) mice and their control littermates were stained with H&E. Lungs of Edn2tm1Ywa/Edn2tm1Ywa mice exhibited enlarged air spaces with substantial simplification of lung alveolar structure compared with WT controls. Similiar morphological changes were also observed in adult Edn2tm1.1Nat/Edn2tm1.1Nat Tg(CAG-cre/Esr1*)5Amc/0 mice. Original magnification, X10.
Copyright This image is from Chang I, J Clin Invest 2013 Jun 3;123(6):2643-53 and is displayed with the permission of the American Society for Clinical Investigation who owns the Copyright. J:201436
Associated
Alleles
Symbol Name
Edn2tm1.1Nat endothelin 2; targeted mutation 1.1, Jeremy Nathans
Edn2tm1Ywa endothelin 2; targeted mutation 1, Masashi Yanagisawa
Tg(CAG-cre/Esr1*)5Amc transgene insertion 5, Andrew P McMahon
Associated
Genotypes
Allelic Composition Genetic Background
Edn2tm1.1Nat/Edn2tm1.1Nat
Tg(CAG-cre/Esr1*)5Amc/0
involves: 129S1/Sv * 129X1/SvJ * C57BL/6 * CBA
Edn2tm1Ywa/Edn2tm1Ywa involves: 129S6/SvEvTac

Contributing Projects:
Mouse Genome Database (MGD), Gene Expression Database (GXD), Mouse Models of Human Cancer database (MMHCdb) (formerly Mouse Tumor Biology (MTB)), Gene Ontology (GO)
Citing These Resources
Funding Information
Warranty Disclaimer, Privacy Notice, Licensing, & Copyright
Send questions and comments to User Support.
last database update
12/09/2025
MGI 6.24
The Jackson Laboratory