About   Help   FAQ
Phenotype Image Detail
Image
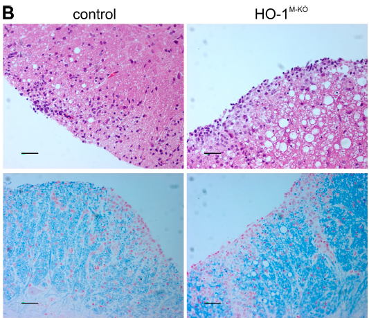
Caption (B) Spinal cord sections from control (left) and Hmox1tm1.1Gkl/Hmox1tm1.1Gkl Lyz2tm1(cre)Ifo/Lyz2+ (HO-1M-KO, right) mice were stained with H&E to assess inflammation (top) and with LFB (bottom) to assess demylination. Representative sections from two independent experiments with four mice per group are shown. Bars, 100 uM.
Copyright This image is from Tzima S, J Exp Med 2009 May 11;206(5):1167-79, and is displayed under the terms of the Creative Commons Attribution-Noncommercial-Share Alike 3.0 Unported License. J:148498
Associated
Alleles
Symbol Name
Hmox1tm1.1Gkl heme oxygenase 1; targeted mutation 1.1, George Kollias
Lyz2tm1(cre)Ifo lysozyme 2; targeted mutation 1, Irmgard Forster
Associated
Genotypes
Allelic Composition Genetic Background
Hmox1tm1.1Gkl/Hmox1tm1.1Gkl
Lyz2tm1(cre)Ifo/Lyz2+
involves: 129 * 129P2/OlaHsd * BALB/cJ * C57BL/6

Contributing Projects:
Mouse Genome Database (MGD), Gene Expression Database (GXD), Mouse Models of Human Cancer database (MMHCdb) (formerly Mouse Tumor Biology (MTB)), Gene Ontology (GO)
Citing These Resources
Funding Information
Warranty Disclaimer, Privacy Notice, Licensing, & Copyright
Send questions and comments to User Support.
last database update
09/30/2025
MGI 6.24
The Jackson Laboratory