About   Help   FAQ
Phenotype Image Detail
Image
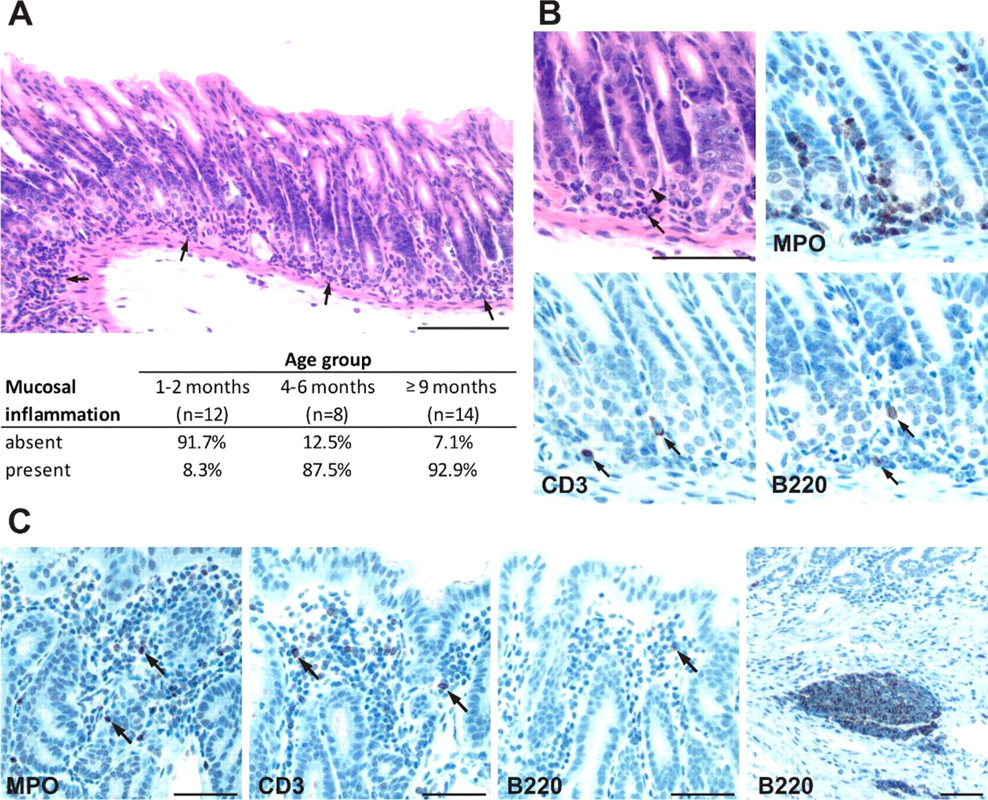
Caption A and B, antral inflammation in Spdeftm1Shiv/Spdeftm1Shiv (Spdef-/-) mice without mucosal hyperplasia. A, band-like (arrows) inflammatory infiltrates at the foveolar crypt base of the gastric antrum and frequency of inflammation (table). B, higher magnification of inflammatory cells (arrow) surrounding gland bases (arrowhead). Immunostaining identified predominantly granulocytes (myeloperoxidase, MPO) but few T (CD3, arrow) or B cells (B220, arrow). C, inflammation coincident with mucosal hyperplasia showed mucosal infiltration by granulocytes (MPO, arrows), T (CD3, arrows) and B lymphocytes (left panel of B220 staining, arrow), and submucosal lymphoid aggregates (right panel of B220 staining). Scale bars, A, 100 um; B and C, 50 um.
Copyright This image is from Horst D, J Biol Chem 2010 Nov 5;285(45):35047-55 and is displayed with the permission of the American Society for Biochemistry and Molecular Biology who owns the Copyright. Full text from JBC. J:166876
Associated
Alleles
Symbol Name
Spdeftm1Shiv SAM pointed domain containing ets transcription factor; targeted mutation 1, Ramesh Shivdasani
Associated
Genotypes
Allelic Composition Genetic Background
Spdeftm1Shiv/Spdeftm1Shiv involves: 129S4/SvJae

Contributing Projects:
Mouse Genome Database (MGD), Gene Expression Database (GXD), Mouse Models of Human Cancer database (MMHCdb) (formerly Mouse Tumor Biology (MTB)), Gene Ontology (GO)
Citing These Resources
Funding Information
Warranty Disclaimer, Privacy Notice, Licensing, & Copyright
Send questions and comments to User Support.
last database update
12/30/2025
MGI 6.24
The Jackson Laboratory