About   Help   FAQ
Phenotype Image Detail
Image
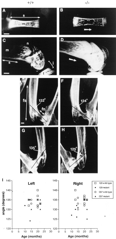
Caption Altered bone content and incidence of coxa vara in Col10a1tm1Ksec/Col10a1tm1Ksec mice. (A-D) Micrographs of the femurs of 2 day (A and B) and 4 week (C and D) wild-type (+/+, A and C) and mutant (-/-, B and D) female mice of 129/Sv background. The opacity of the bony region (white in X-ray image) correlates with the amount of radiographically opaque bone materials. Single-headed arrows in B and D indicate orientation proximal-distal. Abbreviations for bony landmarks: h, distal head (articular condyle); j, knee joint, m, marrow cavity; n, neck; t, tibia; s, shaft, Bar, 0.5 mm. (E-H) Radiographic study of the angle of the femur head of wild-type (+/+, E and G) and mutant (-/-, F and H) mice at 13-14 months (E and F) and 20-22 months (G and H). A decrease in the angle between the neck (fn) and the shaft (fs) of the femur (coxa vara) is observed at both ages. There is always a significant foreshortening of the length of the neck of the femur of the mutant mice shown in F and H. Bar, 1 mm. (I) Measurements of the angle of the head of the the left and right femur of the wild-type and mutant mice at various postnatal ages. Significant unilateral (right) coxa vara, showing varus angulation was found in some mutants.
Copyright This image is from Kwan KM, J Cell Biol 1997 Jan 27;136(2):459-71, and is displayed under the terms of the Creative Commons Attribution-Noncommercial-Share Alike 3.0 Unported License. J:38124
Associated
Alleles
Symbol Name
Col10a1tm1Ksec collagen, type X, alpha 1; targeted mutation 1, Kathryn S E Cheah
Associated
Genotypes
Allelic Composition Genetic Background
Col10a1tm1Ksec/Col10a1tm1Ksec 129/Sv-Col10a1tm1Ksec

Contributing Projects:
Mouse Genome Database (MGD), Gene Expression Database (GXD), Mouse Models of Human Cancer database (MMHCdb) (formerly Mouse Tumor Biology (MTB)), Gene Ontology (GO)
Citing These Resources
Funding Information
Warranty Disclaimer, Privacy Notice, Licensing, & Copyright
Send questions and comments to User Support.
last database update
12/30/2025
MGI 6.24
The Jackson Laboratory