About   Help   FAQ
Phenotype Image Detail
Image
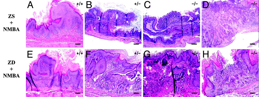
Caption Hematoxylin and eosin stained sections are shown from ZS+NMBA-treated (zinc sufficient N-nitrosomethylbenzylamine, A-D) and ZD+NMBA-treated (zinc deficient N-nitrosomethylbenzylamine, E-H) mice. ZS+NMBA-treated mice: papillomas in wild type (A) and Testm1Cro/Tes+ (B) mice are shown, as are atypical glandular metaplasia (C) and squamous carcinoma (E) in Testm1Cro/Testm1Cro mice. ZD+NMBA-treated mice: a papilloma in a wild type mouse is shown, as are atypical glandular metaplasia and invasive adenocarcinomas in heterozygous (F) and homozygous (G) mice and squamous cell carcinoma in a homozygous (H) mouse. Scale bar, 100mm.
Copyright This image is from Drusco A, Proc Natl Acad Sci U S A 2005 Aug 2;102(31):10947-51. Copyright 2005 National Academy of Sciences, U.S.A. J:100181
Associated
Alleles
Symbol Name
Testm1Cro testin LIM domain protein; targeted mutation 1, Carlo M Croce
Associated
Genotypes
Allelic Composition Genetic Background
Testm1Cro/Testm1Cro involves: 129X1/SvJ * C57BL/6J
Testm1Cro/Tes+ involves: 129X1/SvJ * C57BL/6J

Contributing Projects:
Mouse Genome Database (MGD), Gene Expression Database (GXD), Mouse Models of Human Cancer database (MMHCdb) (formerly Mouse Tumor Biology (MTB)), Gene Ontology (GO)
Citing These Resources
Funding Information
Warranty Disclaimer, Privacy Notice, Licensing, & Copyright
Send questions and comments to User Support.
last database update
12/30/2025
MGI 6.24
The Jackson Laboratory