About   Help   FAQ
Gene Expression Data
Assay Details
Assay
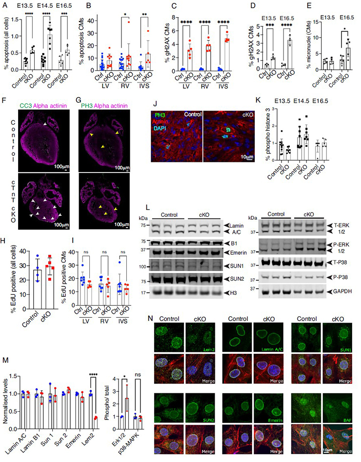
Reference: J:339839 Ross JA, et al., Lem2 is essential for cardiac development by maintaining nuclear integrity. Cardiovasc Res. 2023 Sep 5;119(11):2074-2088
Assay type: Western blot
MGI Accession ID: MGI:8296584
Gene symbol: Sun2
Gene name: Sad1 and UNC84 domain containing 2
Results
Image: S3L SUN2 ©

 Sample Information Bands Other Sample Information
Lane AgeStructure Size Not Specified Genetic BackgroundMutant Allele(s)Sex Note
Control 1 E16.5 TS24: heart Present Not Specified Not Specified
Control 2 E16.5 TS24: heart Present Not Specified Not Specified
Control 3 E16.5 TS24: heart Present Not Specified Not Specified
cKO 1 E16.5 TS24: heart Present (a) involves: C57BL/6N * MF1 Lemd2tm1c(EUCOMM)Wtsi/Lemd2tm1c(EUCOMM)Wtsi, Tg(myl7.L-cre)1118Tmhn/0Not Specified Conditional mutant.
cKO 2 E16.5 TS24: heart Present (a) involves: C57BL/6N * MF1 Lemd2tm1c(EUCOMM)Wtsi/Lemd2tm1c(EUCOMM)Wtsi, Tg(myl7.L-cre)1118Tmhn/0Not Specified Conditional mutant.
cKO 3 E16.5 TS24: heart Present (a) involves: C57BL/6N * MF1 Lemd2tm1c(EUCOMM)Wtsi/Lemd2tm1c(EUCOMM)Wtsi, Tg(myl7.L-cre)1118Tmhn/0Not Specified Conditional mutant.
Notes:
(a) No detectable difference in expression compared to control.

Contributing Projects:
Mouse Genome Database (MGD), Gene Expression Database (GXD), Mouse Models of Human Cancer database (MMHCdb) (formerly Mouse Tumor Biology (MTB)), Gene Ontology (GO)
Citing These Resources
Funding Information
Warranty Disclaimer, Privacy Notice, Licensing, & Copyright
Send questions and comments to User Support.
last database update
01/20/2026
MGI 6.24
The Jackson Laboratory