About   Help   FAQ
Gene Expression Data
Assay Details
Assay
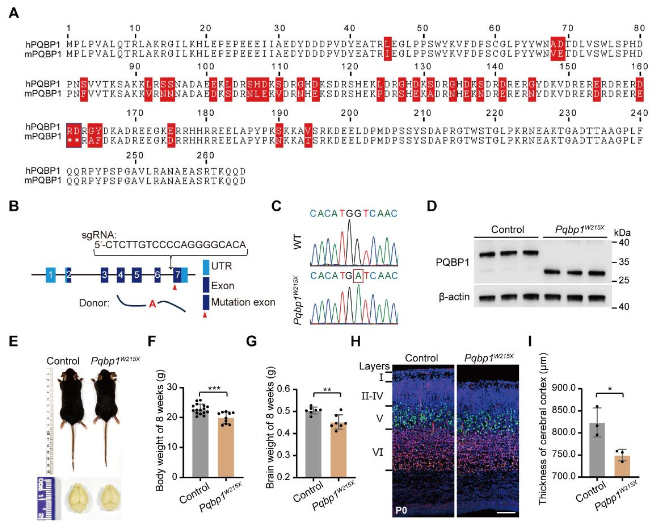
Reference: J:353600 Liu X, et al., Dynamic regulation of alternative polyadenylation by PQBP1 during neurogenesis. Cell Rep. 2024 Aug 27;43(8):114525
Assay type: Immunohistochemistry
MGI Accession ID: MGI:7797937
Gene symbol: Tbr1
Gene name: T-box brain transcription factor 1
Antibody: anti-Tbr1
Detection system: Secondary antibody coupled to Alexa Fluor 488
Results
Specimen S6H Control: postnatal newborn (more )
Note: Double labeled: green - Tbr1; red - Bcl11b (assay MGI:7797935).
Structure Level Pattern Image Note
TS27: cerebral cortex Present Regionally restricted S6H Control Expression was layer-specific in the cortex.

Specimen S6H Pqbp1W215X: postnatal newborn; Pqbp1em1Jhhan/Pqbp1em1Jhhan (more )
Note: Double labeled: green - Tbr1; red - Bcl11b (assay MGI:7797935).
Structure Level Pattern Image Note
TS27: cerebral cortex Present Regionally restricted S6H Pqbp1W215X Expression of the layer-specific marker revealed a normal lamination pattern but a notable decrease in cortical thickness in Pqbp1<W215X> mice compared to controls.


Contributing Projects:
Mouse Genome Database (MGD), Gene Expression Database (GXD), Mouse Models of Human Cancer database (MMHCdb) (formerly Mouse Tumor Biology (MTB)), Gene Ontology (GO)
Citing These Resources
Funding Information
Warranty Disclaimer, Privacy Notice, Licensing, & Copyright
Send questions and comments to User Support.
last database update
12/30/2025
MGI 6.24
The Jackson Laboratory