About   Help   FAQ
Gene Expression Data
Assay Details
Assay
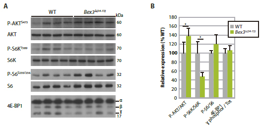
Reference: J:332746 Navas-Perez E, et al., Characterization of an eutherian gene cluster generated after transposon domestication identifies Bex3 as relevant for advanced neurological functions. Genome Biol. 2020 Oct 26;21(1):267
Assay type: Western blot
MGI Accession ID: MGI:7537423
Gene symbol: Rps6
Gene name: ribosomal protein S6
Antibody: anti-S6 ribosomal protein antibody (#2217)
Detection system: Secondary antibody coupled to horseradish peroxidase
Results
Image: S12A S6 ©

 Sample Information Bands Other Sample Information
Lane AgeStructure Size Not Specified Genetic BackgroundMutant Allele(s)Sex
WT P adult TS28: brain Present involves: C57BL/6 * CBA Not Specified
WT P adult TS28: brain Present involves: C57BL/6 * CBA Not Specified
WT P adult TS28: brain Present involves: C57BL/6 * CBA Not Specified
WT P adult TS28: brain Present involves: C57BL/6 * CBA Not Specified
delta(24-72) P adult TS28: brain Present involves: C57BL/6 * CBA Bex3em2Jjcar/Bex3em2JjcarNot Specified
delta(24-72) P adult TS28: brain Present involves: C57BL/6 * CBA Bex3em2Jjcar/Bex3em2JjcarNot Specified
delta(24-72) P adult TS28: brain Present involves: C57BL/6 * CBA Bex3em2Jjcar/Bex3em2JjcarNot Specified
delta(24-72) P adult TS28: brain Present involves: C57BL/6 * CBA Bex3em2Jjcar/Bex3em2JjcarNot Specified

Contributing Projects:
Mouse Genome Database (MGD), Gene Expression Database (GXD), Mouse Models of Human Cancer database (MMHCdb) (formerly Mouse Tumor Biology (MTB)), Gene Ontology (GO)
Citing These Resources
Funding Information
Warranty Disclaimer, Privacy Notice, Licensing, & Copyright
Send questions and comments to User Support.
last database update
12/30/2025
MGI 6.24
The Jackson Laboratory