About   Help   FAQ
Gene Expression Data
Assay Details
Assay
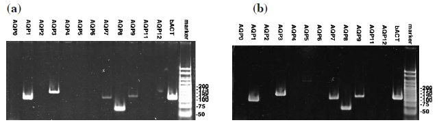
Reference: J:250201 Tanahashi H, et al., Polyhydramnios in Lrp4 knockout mice with bilateral kidney agenesis: Defects in the pathways of amniotic fluid clearance. Sci Rep. 2016 Feb 5;6:20241
Assay type: RT-PCR
MGI Accession ID: MGI:7524002
Gene symbol: Mip
Gene name: major intrinsic protein of lens fiber
Probe: Aqp0F, Aqp0R
Visualized with: Ethidium bromide
Results
Image: S4b AQP0 ©

 Sample Information Bands Other Sample Information
Lane AgeStructure Size Not Specified Amount Genetic BackgroundMutant Allele(s)Sex
E18.5 foetal membranes E18.5 TS26: amnion
TS26: chorion
Absent Not Specified; total RNA Not Specified Not Specified
_ Other lane(s) in blot assay different gene(s)
bACT Control
marker Mol. Wt. Marker Lane

Contributing Projects:
Mouse Genome Database (MGD), Gene Expression Database (GXD), Mouse Models of Human Cancer database (MMHCdb) (formerly Mouse Tumor Biology (MTB)), Gene Ontology (GO)
Citing These Resources
Funding Information
Warranty Disclaimer, Privacy Notice, Licensing, & Copyright
Send questions and comments to User Support.
last database update
12/30/2025
MGI 6.24
The Jackson Laboratory