About   Help   FAQ
Gene Expression Data
Assay Details
Assay
Reference: J:228563 Koscielny G, et al., The International Mouse Phenotyping Consortium Web Portal, a unified point of access for knockout mice and related phenotyping data. Nucleic Acids Res. 2014 Jan;42(Database issue):D802-9
Assay type: In situ reporter (knock in)
MGI Accession ID: MGI:6693276
Gene symbol: Htr1f
Gene name: 5-hydroxytryptamine (serotonin) receptor 1F
Reporter: lacZ
Direct Detection
Results
Specimen JAX_1800792: postnatal adult; Htr1ftm1.1(KOMP)Vlcg/Htr1f+ (more )
Structure Level Pattern Image Note
TS28: thalamus Present JAX_1800792

Specimen JAX_1800793: postnatal adult; Htr1ftm1.1(KOMP)Vlcg/Htr1f+ (more )
Structure Level Pattern Image Note
TS28: midbrain Present JAX_1800793

Specimen JAX_1800794: postnatal adult; Htr1ftm1.1(KOMP)Vlcg/Htr1f+ (more )
Structure Level Pattern Image Note
TS28: corpus striatum Present JAX_1800794

Specimen JAX_1800795: postnatal adult; Htr1ftm1.1(KOMP)Vlcg/Htr1f+ (more )
Structure Level Pattern Image Note
TS28: olfactory lobe Present JAX_1800795

Specimen JAX_1800796: postnatal adult; Htr1ftm1.1(KOMP)Vlcg/Htr1f+ (more )
Structure Level Pattern Image Note
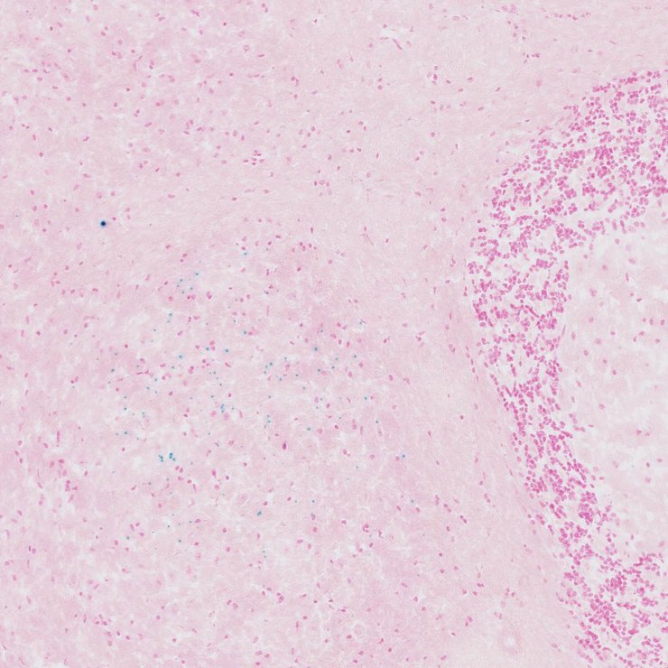
TS28: hypothalamus Present JAX_1800796

Specimen JAX_1800797: postnatal adult; Htr1ftm1.1(KOMP)Vlcg/Htr1f+ (more )
Structure Level Pattern Image Note
TS28: hippocampus Present JAX_1800797

Specimen JAX_1800798: postnatal adult; Htr1ftm1.1(KOMP)Vlcg/Htr1f+ (more )
Structure Level Pattern Image Note
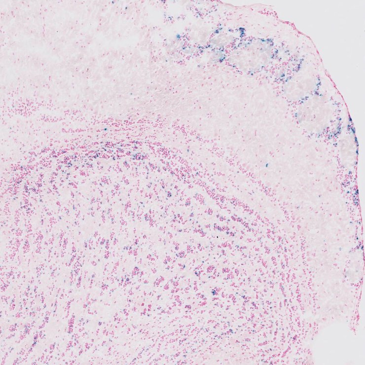
TS28: cerebellum Present JAX_1800798

Specimen JAX_1800799: postnatal adult; Htr1ftm1.1(KOMP)Vlcg/Htr1f+ (more )
Structure Level Pattern Image Note
TS28: cerebral cortex Present JAX_1800799

Specimen JAX_1800800: postnatal adult; Htr1ftm1.1(KOMP)Vlcg/Htr1f+ (more )
Structure Level Pattern Image Note
TS28: brainstem Present JAX_1800800

Specimen JAX_1800801: postnatal adult; Htr1ftm1.1(KOMP)Vlcg/Htr1f+ (more )
Structure Level Pattern Image Note
TS28: pituitary gland Present JAX_1800801

Specimen JAX_1800802: postnatal adult; Htr1ftm1.1(KOMP)Vlcg/Htr1f+ (more )
Structure Level Pattern Image Note
TS28: spinal cord Present JAX_1800802

Specimen JAX_1800803: postnatal adult; Htr1ftm1.1(KOMP)Vlcg/Htr1f+ (more )
Structure Level Pattern Image Note
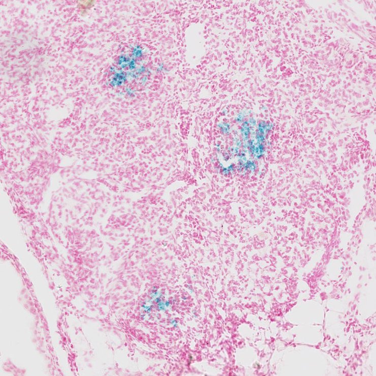
TS28: ovary Present JAX_1800803

Specimen JAX_1800804: postnatal adult; Htr1ftm1.1(KOMP)Vlcg/Htr1f+ (more )
Structure Level Pattern Image Note
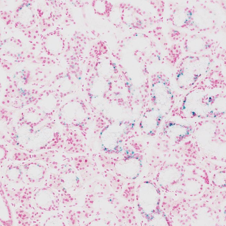
TS28: metanephros Present JAX_1800804 kidney

Specimen JAX_1800805: postnatal adult; Htr1ftm1.1(KOMP)Vlcg/Htr1f+ (more )
Structure Level Pattern Image Note
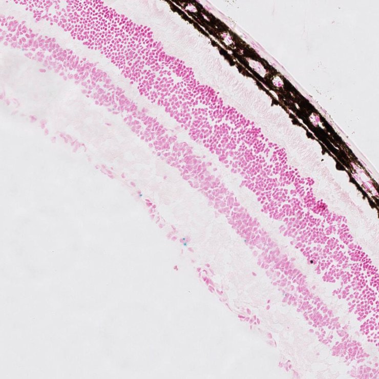
TS28: eye Present JAX_1800805

Specimen JAX_1800806: postnatal adult; Htr1ftm1.1(KOMP)Vlcg/Htr1f+ (more )
Structure Level Pattern Image Note
TS28: brain Present JAX_1800806

Specimen JAX_1800807: postnatal adult; Htr1ftm1.1(KOMP)Vlcg/Htr1f+ (more )
Structure Level Pattern Image Note
TS28: submandibular gland Present JAX_1800807

Specimen JAX_1800808: postnatal adult; Htr1ftm1.1(KOMP)Vlcg/Htr1f+ (more )
Structure Level Pattern Image Note
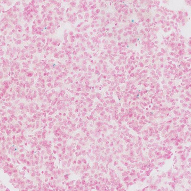
TS28: testis Present JAX_1800808


Contributing Projects:
Mouse Genome Database (MGD), Gene Expression Database (GXD), Mouse Models of Human Cancer database (MMHCdb) (formerly Mouse Tumor Biology (MTB)), Gene Ontology (GO)
Citing These Resources
Funding Information
Warranty Disclaimer, Privacy Notice, Licensing, & Copyright
Send questions and comments to User Support.
last database update
01/28/2026
MGI 6.24
The Jackson Laboratory