About   Help   FAQ
Gene Expression Data
Assay Details
Assay
Reference: J:228563 Koscielny G, et al., The International Mouse Phenotyping Consortium Web Portal, a unified point of access for knockout mice and related phenotyping data. Nucleic Acids Res. 2014 Jan;42(Database issue):D802-9
Assay type: In situ reporter (knock in)
MGI Accession ID: MGI:6693250
Gene symbol: Notch3
Gene name: notch 3
Reporter: lacZ
Direct Detection
Results
Specimen UC Davis_1875146: postnatal adult; Notch3tm1.1(KOMP)Vlcg/Notch3+ (more )
Structure Level Pattern Image Note
TS28: submandibular gland Present UC Davis_1875146

Specimen UC Davis_1875147: postnatal adult; Notch3tm1.1(KOMP)Vlcg/Notch3+ (more )
Structure Level Pattern Image Note
TS28: submandibular gland Present UC Davis_1875147

Specimen UC Davis_1875148: postnatal adult; Notch3tm1.1(KOMP)Vlcg/Notch3+ (more )
Structure Level Pattern Image Note
TS28: lung Present UC Davis_1875148

Specimen UC Davis_1875149: postnatal adult; Notch3tm1.1(KOMP)Vlcg/Notch3+ (more )
Structure Level Pattern Image Note
TS28: stomach Present UC Davis_1875149

Specimen UC Davis_1875150: postnatal adult; Notch3tm1.1(KOMP)Vlcg/Notch3+ (more )
Structure Level Pattern Image Note
TS28: duodenum Present UC Davis_1875150

Specimen UC Davis_1875151: postnatal adult; Notch3tm1.1(KOMP)Vlcg/Notch3+ (more )
Structure Level Pattern Image Note
TS28: duodenum Present UC Davis_1875151

Specimen UC Davis_1875152: postnatal adult; Notch3tm1.1(KOMP)Vlcg/Notch3+ (more )
Structure Level Pattern Image Note
TS28: duodenum Present UC Davis_1875152

Specimen UC Davis_1875153: postnatal adult; Notch3tm1.1(KOMP)Vlcg/Notch3+ (more )
Structure Level Pattern Image Note
TS28: ileum Present UC Davis_1875153

Specimen UC Davis_1875154: postnatal adult; Notch3tm1.1(KOMP)Vlcg/Notch3+ (more )
Structure Level Pattern Image Note
TS28: colon Present UC Davis_1875154

Specimen UC Davis_1875155: postnatal adult; Notch3tm1.1(KOMP)Vlcg/Notch3+ (more )
Structure Level Pattern Image Note
TS28: colon Present UC Davis_1875155

Specimen UC Davis_1875156: postnatal adult; Notch3tm1.1(KOMP)Vlcg/Notch3+ (more )
Structure Level Pattern Image Note
TS28: cecum Present UC Davis_1875156

Specimen UC Davis_1875157: postnatal adult; Notch3tm1.1(KOMP)Vlcg/Notch3+ (more )
Structure Level Pattern Image Note
TS28: spleen Present UC Davis_1875157

Specimen UC Davis_1875158: postnatal adult; Notch3tm1.1(KOMP)Vlcg/Notch3+ (more )
Structure Level Pattern Image Note
TS28: pancreas Present UC Davis_1875158

Specimen UC Davis_1875159: postnatal adult; Notch3tm1.1(KOMP)Vlcg/Notch3+ (more )
Structure Level Pattern Image Note
TS28: liver Present UC Davis_1875159

Specimen UC Davis_1875160: postnatal adult; Notch3tm1.1(KOMP)Vlcg/Notch3+ (more )
Structure Level Pattern Image Note
TS28: liver Present UC Davis_1875160

Specimen UC Davis_1875161: postnatal adult; Notch3tm1.1(KOMP)Vlcg/Notch3+ (more )
Structure Level Pattern Image Note
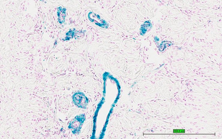
TS28: metanephros Present UC Davis_1875161 kidney

Specimen UC Davis_1875162: postnatal adult; Notch3tm1.1(KOMP)Vlcg/Notch3+ (more )
Structure Level Pattern Image Note
TS28: metanephros Present UC Davis_1875162 kidney

Specimen UC Davis_1875163: postnatal adult; Notch3tm1.1(KOMP)Vlcg/Notch3+ (more )
Structure Level Pattern Image Note
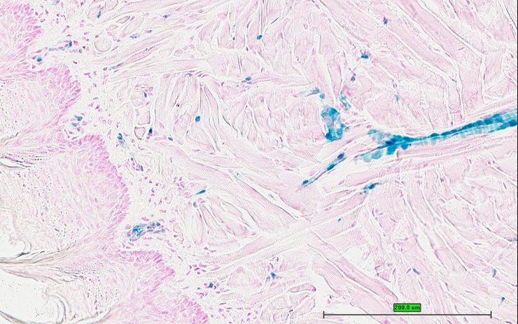
TS28: quadriceps femoris muscle Present UC Davis_1875163

Specimen UC Davis_1875164: postnatal adult; Notch3tm1.1(KOMP)Vlcg/Notch3+ (more )
Structure Level Pattern Image Note
TS28: quadriceps femoris muscle Present UC Davis_1875164

Specimen UC Davis_1875165: postnatal adult; Notch3tm1.1(KOMP)Vlcg/Notch3+ (more )
Structure Level Pattern Image Note
TS28: tongue Present UC Davis_1875165

Specimen UC Davis_1875166: postnatal adult; Notch3tm1.1(KOMP)Vlcg/Notch3+ (more )
Structure Level Pattern Image Note
TS28: diaphragm Present UC Davis_1875166

Specimen UC Davis_1875167: postnatal adult; Notch3tm1.1(KOMP)Vlcg/Notch3+ (more )
Structure Level Pattern Image Note
TS28: Harderian gland Present UC Davis_1875167

Specimen UC Davis_1875168: postnatal adult; Notch3tm1.1(KOMP)Vlcg/Notch3+ (more )
Structure Level Pattern Image Note
TS28: gonadal fat pad Present UC Davis_1875168

Specimen UC Davis_1875169: postnatal adult; Notch3tm1.1(KOMP)Vlcg/Notch3+ (more )
Structure Level Pattern Image Note
TS28: mesenteric adipose tissue Present UC Davis_1875169

Specimen UC Davis_1875170: postnatal adult; Notch3tm1.1(KOMP)Vlcg/Notch3+ (more )
Structure Level Pattern Image Note
TS28: skin Present UC Davis_1875170

Specimen UC Davis_1875171: postnatal adult; Notch3tm1.1(KOMP)Vlcg/Notch3+ (more )
Structure Level Pattern Image Note
TS28: skin Present UC Davis_1875171

Specimen UC Davis_1875172: postnatal adult; Notch3tm1.1(KOMP)Vlcg/Notch3+ (more )
Structure Level Pattern Image Note
TS28: brown fat Present UC Davis_1875172

Specimen UC Davis_1875173: postnatal adult; Notch3tm1.1(KOMP)Vlcg/Notch3+ (more )
Structure Level Pattern Image Note
TS28: brown fat Present UC Davis_1875173

Specimen UC Davis_1875176: postnatal adult; Notch3tm1.1(KOMP)Vlcg/Notch3+ (more )
Structure Level Pattern Image Note
TS28: midbrain Present UC Davis_1875176

Specimen UC Davis_1875177: postnatal adult; Notch3tm1.1(KOMP)Vlcg/Notch3+ (more )
Structure Level Pattern Image Note
TS28: ovary Present UC Davis_1875177

Specimen UC Davis_1875178: postnatal adult; Notch3tm1.1(KOMP)Vlcg/Notch3+ (more )
Structure Level Pattern Image Note
TS28: oviduct Present UC Davis_1875178

Specimen UC Davis_1875179: postnatal adult; Notch3tm1.1(KOMP)Vlcg/Notch3+ (more )
Structure Level Pattern Image Note
TS28: uterus Present UC Davis_1875179

Specimen UC Davis_1875180: postnatal adult; Notch3tm1.1(KOMP)Vlcg/Notch3+ (more )
Structure Level Pattern Image Note
TS28: uterus Present UC Davis_1875180

Specimen UC Davis_1875181: postnatal adult; Notch3tm1.1(KOMP)Vlcg/Notch3+ (more )
Structure Level Pattern Image Note
TS28: vagina Absent UC Davis_1875181

Specimen UC Davis_1875182: postnatal adult; Notch3tm1.1(KOMP)Vlcg/Notch3+ (more )
Structure Level Pattern Image Note
TS28: vagina Absent UC Davis_1875182

Specimen UC Davis_1875183: postnatal adult; Notch3tm1.1(KOMP)Vlcg/Notch3+ (more )
Structure Level Pattern Image Note
TS28: bladder Present UC Davis_1875183

Specimen UC Davis_1875184: postnatal adult; Notch3tm1.1(KOMP)Vlcg/Notch3+ (more )
Structure Level Pattern Image Note
TS28: bladder Present UC Davis_1875184

Specimen UC Davis_1875185: postnatal adult; Notch3tm1.1(KOMP)Vlcg/Notch3+ (more )
Structure Level Pattern Image Note
TS28: mammary gland Present UC Davis_1875185

Specimen UC Davis_1875102: postnatal adult; Notch3tm1.1(KOMP)Vlcg/Notch3+ (more )
Structure Level Pattern Image Note
TS28: trachea Present UC Davis_1875102

Specimen UC Davis_1875103: postnatal adult; Notch3tm1.1(KOMP)Vlcg/Notch3+ (more )
Structure Level Pattern Image Note
TS28: esophagus Present UC Davis_1875103

Specimen UC Davis_1875105: postnatal adult; Notch3tm1.1(KOMP)Vlcg/Notch3+ (more )
Structure Level Pattern Image Note
TS28: lung Present UC Davis_1875105

Specimen UC Davis_1875106: postnatal adult; Notch3tm1.1(KOMP)Vlcg/Notch3+ (more )
Structure Level Pattern Image Note
TS28: lung Present UC Davis_1875106

Specimen UC Davis_1875107: postnatal adult; Notch3tm1.1(KOMP)Vlcg/Notch3+ (more )
Structure Level Pattern Image Note
TS28: stomach Present UC Davis_1875107

Specimen UC Davis_1875108: postnatal adult; Notch3tm1.1(KOMP)Vlcg/Notch3+ (more )
Structure Level Pattern Image Note
TS28: ileum Present UC Davis_1875108

Specimen UC Davis_1875109: postnatal adult; Notch3tm1.1(KOMP)Vlcg/Notch3+ (more )
Structure Level Pattern Image Note
TS28: ileum Present UC Davis_1875109

Specimen UC Davis_1875110: postnatal adult; Notch3tm1.1(KOMP)Vlcg/Notch3+ (more )
Structure Level Pattern Image Note
TS28: spleen Present UC Davis_1875110

Specimen UC Davis_1875111: postnatal adult; Notch3tm1.1(KOMP)Vlcg/Notch3+ (more )
Structure Level Pattern Image Note
TS28: spleen Present UC Davis_1875111

Specimen UC Davis_1875112: postnatal adult; Notch3tm1.1(KOMP)Vlcg/Notch3+ (more )
Structure Level Pattern Image Note
TS28: spleen Present UC Davis_1875112

Specimen UC Davis_1875113: postnatal adult; Notch3tm1.1(KOMP)Vlcg/Notch3+ (more )
Structure Level Pattern Image Note
TS28: pancreas Present UC Davis_1875113

Specimen UC Davis_1875114: postnatal adult; Notch3tm1.1(KOMP)Vlcg/Notch3+ (more )
Structure Level Pattern Image Note
TS28: pancreas Present UC Davis_1875114

Specimen UC Davis_1875115: postnatal adult; Notch3tm1.1(KOMP)Vlcg/Notch3+ (more )
Structure Level Pattern Image Note
TS28: metanephros Present UC Davis_1875115 kidney

Specimen UC Davis_1875116: postnatal adult; Notch3tm1.1(KOMP)Vlcg/Notch3+ (more )
Structure Level Pattern Image Note
TS28: metanephros Present UC Davis_1875116 kidney

Specimen UC Davis_1875117: postnatal adult; Notch3tm1.1(KOMP)Vlcg/Notch3+ (more )
Structure Level Pattern Image Note
TS28: quadriceps femoris muscle Present UC Davis_1875117

Specimen UC Davis_1875118: postnatal adult; Notch3tm1.1(KOMP)Vlcg/Notch3+ (more )
Structure Level Pattern Image Note
TS28: quadriceps femoris muscle Present UC Davis_1875118

Specimen UC Davis_1875119: postnatal adult; Notch3tm1.1(KOMP)Vlcg/Notch3+ (more )
Structure Level Pattern Image Note
TS28: quadriceps femoris muscle Present UC Davis_1875119

Specimen UC Davis_1875120: postnatal adult; Notch3tm1.1(KOMP)Vlcg/Notch3+ (more )
Structure Level Pattern Image Note
TS28: sciatic nerve Present UC Davis_1875120

Specimen UC Davis_1875121: postnatal adult; Notch3tm1.1(KOMP)Vlcg/Notch3+ (more )
Structure Level Pattern Image Note
TS28: tongue Present UC Davis_1875121

Specimen UC Davis_1875122: postnatal adult; Notch3tm1.1(KOMP)Vlcg/Notch3+ (more )
Structure Level Pattern Image Note
TS28: tongue Present UC Davis_1875122

Specimen UC Davis_1875123: postnatal adult; Notch3tm1.1(KOMP)Vlcg/Notch3+ (more )
Structure Level Pattern Image Note
TS28: tongue Present UC Davis_1875123

Specimen UC Davis_1875124: postnatal adult; Notch3tm1.1(KOMP)Vlcg/Notch3+ (more )
Structure Level Pattern Image Note
TS28: gonadal fat pad Present UC Davis_1875124

Specimen UC Davis_1875125: postnatal adult; Notch3tm1.1(KOMP)Vlcg/Notch3+ (more )
Structure Level Pattern Image Note
TS28: mesenteric adipose tissue Present UC Davis_1875125

Specimen UC Davis_1875126: postnatal adult; Notch3tm1.1(KOMP)Vlcg/Notch3+ (more )
Structure Level Pattern Image Note
TS28: skin Present UC Davis_1875126

Specimen UC Davis_1875127: postnatal adult; Notch3tm1.1(KOMP)Vlcg/Notch3+ (more )
Structure Level Pattern Image Note
TS28: brown fat Present UC Davis_1875127

Specimen UC Davis_1875128: postnatal adult; Notch3tm1.1(KOMP)Vlcg/Notch3+ (more )
Structure Level Pattern Image Note
TS28: brown fat Present UC Davis_1875128

Specimen UC Davis_1875131: postnatal adult; Notch3tm1.1(KOMP)Vlcg/Notch3+ (more )
Structure Level Pattern Image Note
TS28: midbrain Present UC Davis_1875131

Specimen UC Davis_1875132: postnatal adult; Notch3tm1.1(KOMP)Vlcg/Notch3+ (more )
Structure Level Pattern Image Note
TS28: cerebellum Present UC Davis_1875132

Specimen UC Davis_1875133: postnatal adult; Notch3tm1.1(KOMP)Vlcg/Notch3+ (more )
Structure Level Pattern Image Note
TS28: bladder Present UC Davis_1875133

Specimen UC Davis_1875134: postnatal adult; Notch3tm1.1(KOMP)Vlcg/Notch3+ (more )
Structure Level Pattern Image Note
TS28: testis Present UC Davis_1875134

Specimen UC Davis_1875135: postnatal adult; Notch3tm1.1(KOMP)Vlcg/Notch3+ (more )
Structure Level Pattern Image Note
TS28: testis Present UC Davis_1875135

Specimen UC Davis_1875136: postnatal adult; Notch3tm1.1(KOMP)Vlcg/Notch3+ (more )
Structure Level Pattern Image Note
TS28: epididymis Present UC Davis_1875136

Specimen UC Davis_1875137: postnatal adult; Notch3tm1.1(KOMP)Vlcg/Notch3+ (more )
Structure Level Pattern Image Note
TS28: epididymis Present UC Davis_1875137

Specimen UC Davis_1875138: postnatal adult; Notch3tm1.1(KOMP)Vlcg/Notch3+ (more )
Structure Level Pattern Image Note
TS28: prostate gland Present UC Davis_1875138

Specimen UC Davis_1875139: postnatal adult; Notch3tm1.1(KOMP)Vlcg/Notch3+ (more )
Structure Level Pattern Image Note
TS28: penis Present UC Davis_1875139

Specimen UC Davis_1875140: postnatal adult; Notch3tm1.1(KOMP)Vlcg/Notch3+ (more )
Structure Level Pattern Image Note
TS28: penis Present UC Davis_1875140

Specimen UC Davis_1875141: postnatal adult; Notch3tm1.1(KOMP)Vlcg/Notch3+ (more )
Structure Level Pattern Image Note
TS28: bone marrow Present UC Davis_1875141

Specimen UC Davis_1875142: postnatal adult; Notch3tm1.1(KOMP)Vlcg/Notch3+ (more )
Structure Level Pattern Image Note
TS28: ductus deferens Present UC Davis_1875142 vas deferens

Specimen UC Davis_1875145: postnatal adult; Notch3tm1.1(KOMP)Vlcg/Notch3+ (more )
Structure Level Pattern Image Note
TS28: seminal vesicle Present UC Davis_1875145 vesicular gland


Contributing Projects:
Mouse Genome Database (MGD), Gene Expression Database (GXD), Mouse Models of Human Cancer database (MMHCdb) (formerly Mouse Tumor Biology (MTB)), Gene Ontology (GO)
Citing These Resources
Funding Information
Warranty Disclaimer, Privacy Notice, Licensing, & Copyright
Send questions and comments to User Support.
last database update
10/07/2025
MGI 6.24
The Jackson Laboratory