About   Help   FAQ
Gene Expression Data
Assay Details
Assay
Reference: J:228563 Koscielny G, et al., The International Mouse Phenotyping Consortium Web Portal, a unified point of access for knockout mice and related phenotyping data. Nucleic Acids Res. 2014 Jan;42(Database issue):D802-9
Assay type: In situ reporter (knock in)
MGI Accession ID: MGI:6693243
Gene symbol: Adora1
Gene name: adenosine A1 receptor
Reporter: lacZ
Direct Detection
Results
Specimen JAX_1314257: embryonic day 12.5; Adora1tm1b(KOMP)Wtsi/Adora1+ (more )
Structure Level Pattern Image Note
TS20: embryo Present JAX_1314257

Specimen JAX_1314258: embryonic day 12.5; Adora1tm1b(KOMP)Wtsi/Adora1+ (more )
Structure Level Pattern Image Note
TS20: embryo Present JAX_1314258

Specimen JAX_1314259: embryonic day 12.5; Adora1tm1b(KOMP)Wtsi/Adora1+ (more )
Structure Level Pattern Image Note
TS20: embryo Present JAX_1314259

Specimen JAX_1314260: embryonic day 12.5; Adora1tm1b(KOMP)Wtsi/Adora1+ (more )
Structure Level Pattern Image Note
TS20: embryo Present JAX_1314260

Specimen JAX_1314265: embryonic day 12.5; Adora1tm1b(KOMP)Wtsi/Adora1+ (more )
Structure Level Pattern Image Note
TS20: embryo Present JAX_1314265

Specimen JAX_1314266: embryonic day 12.5; Adora1tm1b(KOMP)Wtsi/Adora1+ (more )
Structure Level Pattern Image Note
TS20: embryo Present JAX_1314266

Specimen JAX_1314267: embryonic day 12.5; Adora1tm1b(KOMP)Wtsi/Adora1+ (more )
Structure Level Pattern Image Note
TS20: embryo Present JAX_1314267

Specimen JAX_1314268: embryonic day 12.5; Adora1tm1b(KOMP)Wtsi/Adora1+ (more )
Structure Level Pattern Image Note
TS20: embryo Present JAX_1314268

Specimen JAX_1371756: postnatal adult; Adora1tm1b(KOMP)Wtsi/Adora1+ (more )
Structure Level Pattern Image Note
TS28: submandibular gland Present JAX_1371756

Specimen JAX_1371758: postnatal adult; Adora1tm1b(KOMP)Wtsi/Adora1+ (more )
Structure Level Pattern Image Note
TS28: corpus striatum Present JAX_1371758

Specimen JAX_1371759: postnatal adult; Adora1tm1b(KOMP)Wtsi/Adora1+ (more )
Structure Level Pattern Image Note
TS28: pituitary gland Present JAX_1371759

Specimen JAX_1371760: postnatal adult; Adora1tm1b(KOMP)Wtsi/Adora1+ (more )
Structure Level Pattern Image Note
TS28: large intestine Present JAX_1371760

Specimen JAX_1371761: postnatal adult; Adora1tm1b(KOMP)Wtsi/Adora1+ (more )
Structure Level Pattern Image Note
TS28: uterus Present JAX_1371761

Specimen JAX_1371762: postnatal adult; Adora1tm1b(KOMP)Wtsi/Adora1+ (more )
Structure Level Pattern Image Note
TS28: stomach Present JAX_1371762

Specimen JAX_1371763: postnatal adult; Adora1tm1b(KOMP)Wtsi/Adora1+ (more )
Structure Level Pattern Image Note
TS28: oviduct Present JAX_1371763

Specimen JAX_1371764: postnatal adult; Adora1tm1b(KOMP)Wtsi/Adora1+ (more )
Structure Level Pattern Image Note
TS28: ovary Present JAX_1371764

Specimen JAX_1371765: postnatal adult; Adora1tm1b(KOMP)Wtsi/Adora1+ (more )
Structure Level Pattern Image Note
TS28: metanephros Present JAX_1371765 kidney

Specimen JAX_1371766: postnatal adult; Adora1tm1b(KOMP)Wtsi/Adora1+ (more )
Structure Level Pattern Image Note
TS28: adrenal gland Present JAX_1371766

Specimen JAX_1371767: postnatal adult; Adora1tm1b(KOMP)Wtsi/Adora1+ (more )
Structure Level Pattern Image Note
TS28: thalamus Present JAX_1371767

Specimen JAX_1371768: postnatal adult; Adora1tm1b(KOMP)Wtsi/Adora1+ (more )
Structure Level Pattern Image Note
TS28: midbrain Present JAX_1371768

Specimen JAX_1371769: postnatal adult; Adora1tm1b(KOMP)Wtsi/Adora1+ (more )
Structure Level Pattern Image Note
TS28: epididymis Present JAX_1371769

Specimen JAX_1371770: postnatal adult; Adora1tm1b(KOMP)Wtsi/Adora1+ (more )
Structure Level Pattern Image Note
TS28: submandibular gland Present JAX_1371770

Specimen JAX_1371771: postnatal adult; Adora1tm1b(KOMP)Wtsi/Adora1+ (more )
Structure Level Pattern Image Note
TS28: brown fat Present JAX_1371771

Specimen JAX_1371772: postnatal adult; Adora1tm1b(KOMP)Wtsi/Adora1+ (more )
Structure Level Pattern Image Note
TS28: olfactory lobe Present JAX_1371772

Specimen JAX_1371773: postnatal adult; Adora1tm1b(KOMP)Wtsi/Adora1+ (more )
Structure Level Pattern Image Note
TS28: hypothalamus Present JAX_1371773

Specimen JAX_1371774: postnatal adult; Adora1tm1b(KOMP)Wtsi/Adora1+ (more )
Structure Level Pattern Image Note
TS28: hippocampus Present JAX_1371774

Specimen JAX_1371775: postnatal adult; Adora1tm1b(KOMP)Wtsi/Adora1+ (more )
Structure Level Pattern Image Note
TS28: cerebellum Present JAX_1371775

Specimen JAX_1371776: postnatal adult; Adora1tm1b(KOMP)Wtsi/Adora1+ (more )
Structure Level Pattern Image Note
TS28: cerebral cortex Present JAX_1371776

Specimen JAX_1371777: postnatal adult; Adora1tm1b(KOMP)Wtsi/Adora1+ (more )
Structure Level Pattern Image Note
TS28: cartilage Present JAX_1371777

Specimen JAX_1371778: postnatal adult; Adora1tm1b(KOMP)Wtsi/Adora1+ (more )
Structure Level Pattern Image Note
TS28: brainstem Present JAX_1371778

Specimen JAX_1371779: postnatal adult; Adora1tm1b(KOMP)Wtsi/Adora1+ (more )
Structure Level Pattern Image Note
TS28: spleen Present JAX_1371779

Specimen JAX_1371780: postnatal adult; Adora1tm1b(KOMP)Wtsi/Adora1+ (more )
Structure Level Pattern Image Note
TS28: pancreas Present JAX_1371780

Specimen JAX_1371781: postnatal adult; Adora1tm1b(KOMP)Wtsi/Adora1+ (more )
Structure Level Pattern Image Note
TS28: lung Present JAX_1371781

Specimen JAX_1371782: postnatal adult; Adora1tm1b(KOMP)Wtsi/Adora1+ (more )
Structure Level Pattern Image Note
TS28: white fat Present JAX_1371782

Specimen JAX_1371783: postnatal adult; Adora1tm1b(KOMP)Wtsi/Adora1+ (more )
Structure Level Pattern Image Note
TS28: small intestine Present JAX_1371783

Specimen JAX_1371784: postnatal adult; Adora1tm1b(KOMP)Wtsi/Adora1+ (more )
Structure Level Pattern Image Note
TS28: thyroid gland Present JAX_1371784

Specimen JAX_1371785: postnatal adult; Adora1tm1b(KOMP)Wtsi/Adora1+ (more )
Structure Level Pattern Image Note
TS28: spinal cord Present JAX_1371785

Specimen JAX_1371786: postnatal adult; Adora1tm1b(KOMP)Wtsi/Adora1+ (more )
Structure Level Pattern Image Note
TS28: thymus Present JAX_1371786

Specimen JAX_1371787: postnatal adult; Adora1tm1b(KOMP)Wtsi/Adora1+ (more )
Structure Level Pattern Image Note
TS28: testis Present JAX_1371787

Specimen JAX_1371788: postnatal adult; Adora1tm1b(KOMP)Wtsi/Adora1+ (more )
Structure Level Pattern Image Note
TS28: skin Present JAX_1371788

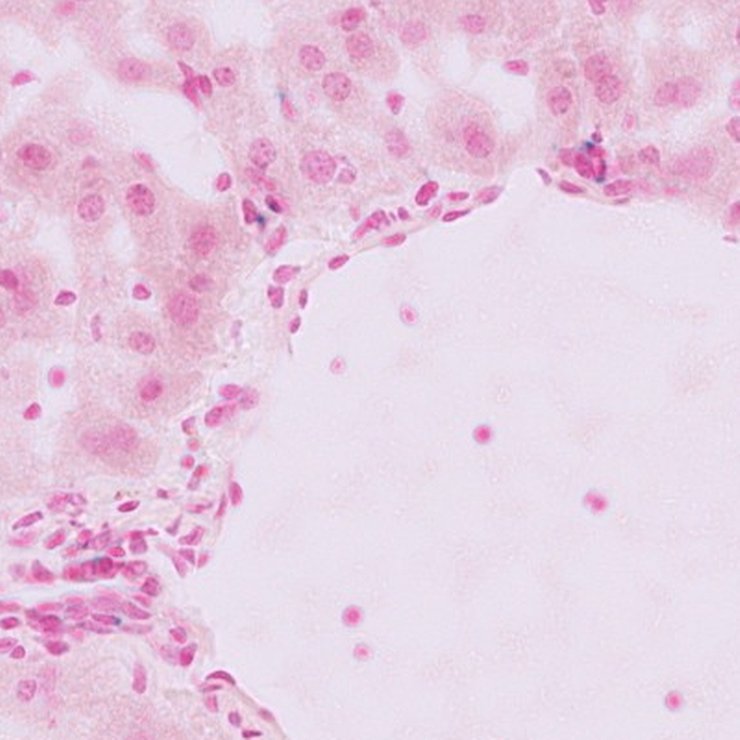
Specimen JAX_1371789: postnatal adult; Adora1tm1b(KOMP)Wtsi/Adora1+ (more )
Structure Level Pattern Image Note
TS28: liver Present JAX_1371789

Specimen JAX_1371790: postnatal adult; Adora1tm1b(KOMP)Wtsi/Adora1+ (more )
Structure Level Pattern Image Note
TS28: heart Present JAX_1371790

Specimen JAX_1371791: postnatal adult; Adora1tm1b(KOMP)Wtsi/Adora1+ (more )
Structure Level Pattern Image Note
TS28: eye Present JAX_1371791

Specimen JAX_1371792: postnatal adult; Adora1tm1b(KOMP)Wtsi/Adora1+ (more )
Structure Level Pattern Image Note
TS28: brain Present JAX_1371792


Contributing Projects:
Mouse Genome Database (MGD), Gene Expression Database (GXD), Mouse Models of Human Cancer database (MMHCdb) (formerly Mouse Tumor Biology (MTB)), Gene Ontology (GO)
Citing These Resources
Funding Information
Warranty Disclaimer, Privacy Notice, Licensing, & Copyright
Send questions and comments to User Support.
last database update
03/24/2026
MGI 6.24
The Jackson Laboratory