About   Help   FAQ
Gene Expression Data
Assay Details
Assay
Reference: J:228563 Koscielny G, et al., The International Mouse Phenotyping Consortium Web Portal, a unified point of access for knockout mice and related phenotyping data. Nucleic Acids Res. 2014 Jan;42(Database issue):D802-9
Assay type: In situ reporter (knock in)
MGI Accession ID: MGI:6693240
Gene symbol: Zfp60
Gene name: zinc finger protein 60
Reporter: lacZ
Direct Detection
Results
Specimen JAX_1470612: embryonic day 12.5; Zfp60tm1b(KOMP)Mbp/Zfp60+ (more )
Structure Level Pattern Image Note
TS20: embryo Present JAX_1470612

Specimen JAX_1470613: embryonic day 12.5; Zfp60tm1b(KOMP)Mbp/Zfp60+ (more )
Structure Level Pattern Image Note
TS20: embryo Present JAX_1470613

Specimen JAX_1470614: embryonic day 12.5; Zfp60tm1b(KOMP)Mbp/Zfp60+ (more )
Structure Level Pattern Image Note
TS20: embryo Present JAX_1470614

Specimen JAX_1470615: embryonic day 12.5; Zfp60tm1b(KOMP)Mbp/Zfp60+ (more )
Structure Level Pattern Image Note
TS20: embryo Present JAX_1470615

Specimen JAX_1470620: embryonic day 12.5; Zfp60tm1b(KOMP)Mbp/Zfp60+ (more )
Structure Level Pattern Image Note
TS20: embryo Present JAX_1470620

Specimen JAX_1470621: embryonic day 12.5; Zfp60tm1b(KOMP)Mbp/Zfp60+ (more )
Structure Level Pattern Image Note
TS20: embryo Present JAX_1470621

Specimen JAX_1470622: embryonic day 12.5; Zfp60tm1b(KOMP)Mbp/Zfp60+ (more )
Structure Level Pattern Image Note
TS20: embryo Present JAX_1470622

Specimen JAX_1470623: embryonic day 12.5; Zfp60tm1b(KOMP)Mbp/Zfp60+ (more )
Structure Level Pattern Image Note
TS20: embryo Present JAX_1470623

Specimen JAX_1625759: postnatal adult; Zfp60tm1b(KOMP)Mbp/Zfp60+ (more )
Structure Level Pattern Image Note
TS28: thalamus Present JAX_1625759

Specimen JAX_1625760: postnatal adult; Zfp60tm1b(KOMP)Mbp/Zfp60+ (more )
Structure Level Pattern Image Note
TS28: vascular system Present JAX_1625760

Specimen JAX_1625761: postnatal adult; Zfp60tm1b(KOMP)Mbp/Zfp60+ (more )
Structure Level Pattern Image Note
TS28: submandibular gland Present JAX_1625761

Specimen JAX_1625762: postnatal adult; Zfp60tm1b(KOMP)Mbp/Zfp60+ (more )
Structure Level Pattern Image Note
TS28: bladder Present JAX_1625762

Specimen JAX_1625763: postnatal adult; Zfp60tm1b(KOMP)Mbp/Zfp60+ (more )
Structure Level Pattern Image Note
TS28: peripheral nervous system Present JAX_1625763

Specimen JAX_1625764: postnatal adult; Zfp60tm1b(KOMP)Mbp/Zfp60+ (more )
Structure Level Pattern Image Note
TS28: olfactory lobe Present JAX_1625764

Specimen JAX_1625765: postnatal adult; Zfp60tm1b(KOMP)Mbp/Zfp60+ (more )
Structure Level Pattern Image Note
TS28: hypothalamus Present JAX_1625765

Specimen JAX_1625766: postnatal adult; Zfp60tm1b(KOMP)Mbp/Zfp60+ (more )
Structure Level Pattern Image Note
TS28: hippocampus Present JAX_1625766

Specimen JAX_1625767: postnatal adult; Zfp60tm1b(KOMP)Mbp/Zfp60+ (more )
Structure Level Pattern Image Note
TS28: cerebellum Present JAX_1625767

Specimen JAX_1625768: postnatal adult; Zfp60tm1b(KOMP)Mbp/Zfp60+ (more )
Structure Level Pattern Image Note
TS28: cartilage Present JAX_1625768

Specimen JAX_1625769: postnatal adult; Zfp60tm1b(KOMP)Mbp/Zfp60+ (more )
Structure Level Pattern Image Note
TS28: aorta Present JAX_1625769

Specimen JAX_1625770: postnatal adult; Zfp60tm1b(KOMP)Mbp/Zfp60+ (more )
Structure Level Pattern Image Note
TS28: white fat Present JAX_1625770

Specimen JAX_1625771: postnatal adult; Zfp60tm1b(KOMP)Mbp/Zfp60+ (more )
Structure Level Pattern Image Note
TS28: pituitary gland Present JAX_1625771

Specimen JAX_1625772: postnatal adult; Zfp60tm1b(KOMP)Mbp/Zfp60+ (more )
Structure Level Pattern Image Note
TS28: thyroid gland Present JAX_1625772

Specimen JAX_1625773: postnatal adult; Zfp60tm1b(KOMP)Mbp/Zfp60+ (more )
Structure Level Pattern Image Note
TS28: spinal cord Present JAX_1625773

Specimen JAX_1625774: postnatal adult; Zfp60tm1b(KOMP)Mbp/Zfp60+ (more )
Structure Level Pattern Image Note
TS28: esophagus Present JAX_1625774

Specimen JAX_1625775: postnatal adult; Zfp60tm1b(KOMP)Mbp/Zfp60+ (more )
Structure Level Pattern Image Note
TS28: large intestine Present JAX_1625775

Specimen JAX_1625776: postnatal adult; Zfp60tm1b(KOMP)Mbp/Zfp60+ (more )
Structure Level Pattern Image Note
TS28: uterus Present JAX_1625776

Specimen JAX_1625777: postnatal adult; Zfp60tm1b(KOMP)Mbp/Zfp60+ (more )
Structure Level Pattern Image Note
TS28: thymus Present JAX_1625777

Specimen JAX_1625778: postnatal adult; Zfp60tm1b(KOMP)Mbp/Zfp60+ (more )
Structure Level Pattern Image Note
TS28: stomach Present JAX_1625778

Specimen JAX_1625779: postnatal adult; Zfp60tm1b(KOMP)Mbp/Zfp60+ (more )
Structure Level Pattern Image Note
TS28: oviduct Present JAX_1625779

Specimen JAX_1625780: postnatal adult; Zfp60tm1b(KOMP)Mbp/Zfp60+ (more )
Structure Level Pattern Image Note
TS28: ovary Present JAX_1625780

Specimen JAX_1625781: postnatal adult; Zfp60tm1b(KOMP)Mbp/Zfp60+ (more )
Structure Level Pattern Image Note
TS28: mammary gland Present JAX_1625781

Specimen JAX_1625782: postnatal adult; Zfp60tm1b(KOMP)Mbp/Zfp60+ (more )
Structure Level Pattern Image Note
TS28: brain Present JAX_1625782

Specimen JAX_1625783: postnatal adult; Zfp60tm1b(KOMP)Mbp/Zfp60+ (more )
Structure Level Pattern Image Note
TS28: adrenal gland Present JAX_1625783

Specimen JAX_1625784: postnatal adult; Zfp60tm1b(KOMP)Mbp/Zfp60+ (more )
Structure Level Pattern Image Note
TS28: midbrain Present JAX_1625784

Specimen JAX_1625785: postnatal adult; Zfp60tm1b(KOMP)Mbp/Zfp60+ (more )
Structure Level Pattern Image Note
TS28: epididymis Present JAX_1625785

Specimen JAX_1625786: postnatal adult; Zfp60tm1b(KOMP)Mbp/Zfp60+ (more )
Structure Level Pattern Image Note
TS28: corpus striatum Present JAX_1625786

Specimen JAX_1625787: postnatal adult; Zfp60tm1b(KOMP)Mbp/Zfp60+ (more )
Structure Level Pattern Image Note
TS28: cerebral cortex Present JAX_1625787

Specimen JAX_1625788: postnatal adult; Zfp60tm1b(KOMP)Mbp/Zfp60+ (more )
Structure Level Pattern Image Note
TS28: brainstem Present JAX_1625788

Specimen JAX_1625789: postnatal adult; Zfp60tm1b(KOMP)Mbp/Zfp60+ (more )
Structure Level Pattern Image Note
TS28: pancreas Present JAX_1625789

Specimen JAX_1625790: postnatal adult; Zfp60tm1b(KOMP)Mbp/Zfp60+ (more )
Structure Level Pattern Image Note
TS28: lung Present JAX_1625790

Specimen JAX_1625791: postnatal adult; Zfp60tm1b(KOMP)Mbp/Zfp60+ (more )
Structure Level Pattern Image Note
TS28: small intestine Present JAX_1625791

Specimen JAX_1625792: postnatal adult; Zfp60tm1b(KOMP)Mbp/Zfp60+ (more )
Structure Level Pattern Image Note
TS28: trachea Present JAX_1625792

Specimen JAX_1625793: postnatal adult; Zfp60tm1b(KOMP)Mbp/Zfp60+ (more )
Structure Level Pattern Image Note
TS28: testis Present JAX_1625793

Specimen JAX_1625794: postnatal adult; Zfp60tm1b(KOMP)Mbp/Zfp60+ (more )
Structure Level Pattern Image Note
TS28: skin Present JAX_1625794

Specimen JAX_1625795: postnatal adult; Zfp60tm1b(KOMP)Mbp/Zfp60+ (more )
Structure Level Pattern Image Note
TS28: lymph node Present JAX_1625795

Specimen JAX_1625796: postnatal adult; Zfp60tm1b(KOMP)Mbp/Zfp60+ (more )
Structure Level Pattern Image Note
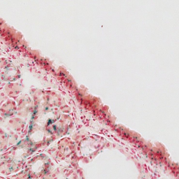
TS28: metanephros Present JAX_1625796 kidney

Specimen JAX_1625797: postnatal adult; Zfp60tm1b(KOMP)Mbp/Zfp60+ (more )
Structure Level Pattern Image Note
TS28: heart Present JAX_1625797

Specimen JAX_1625798: postnatal adult; Zfp60tm1b(KOMP)Mbp/Zfp60+ (more )
Structure Level Pattern Image Note
TS28: eye Present JAX_1625798


Contributing Projects:
Mouse Genome Database (MGD), Gene Expression Database (GXD), Mouse Models of Human Cancer database (MMHCdb) (formerly Mouse Tumor Biology (MTB)), Gene Ontology (GO)
Citing These Resources
Funding Information
Warranty Disclaimer, Privacy Notice, Licensing, & Copyright
Send questions and comments to User Support.
last database update
03/24/2026
MGI 6.24
The Jackson Laboratory