About   Help   FAQ
Gene Expression Data
Assay Details
Assay
Reference: J:228563 Koscielny G, et al., The International Mouse Phenotyping Consortium Web Portal, a unified point of access for knockout mice and related phenotyping data. Nucleic Acids Res. 2014 Jan;42(Database issue):D802-9
Assay type: In situ reporter (knock in)
MGI Accession ID: MGI:6693230
Gene symbol: Tst
Gene name: thiosulfate sulfurtransferase, mitochondrial
Reporter: lacZ
Direct Detection
Results
Specimen UC Davis_1866950: postnatal adult; Tsttm1(KOMP)Vlcg/Tst+ (more )
Structure Level Pattern Image Note
TS28: submandibular gland Present UC Davis_1866950

Specimen UC Davis_1866951: postnatal adult; Tsttm1(KOMP)Vlcg/Tst+ (more )
Structure Level Pattern Image Note
TS28: submandibular gland Present UC Davis_1866951

Specimen UC Davis_1866952: postnatal adult; Tsttm1(KOMP)Vlcg/Tst+ (more )
Structure Level Pattern Image Note
TS28: sublingual gland Present UC Davis_1866952

Specimen UC Davis_1866953: postnatal adult; Tsttm1(KOMP)Vlcg/Tst+ (more )
Structure Level Pattern Image Note
TS28: sublingual gland Present UC Davis_1866953

Specimen UC Davis_1866954: postnatal adult; Tsttm1(KOMP)Vlcg/Tst+ (more )
Structure Level Pattern Image Note
TS28: trachea Present UC Davis_1866954

Specimen UC Davis_1866955: postnatal adult; Tsttm1(KOMP)Vlcg/Tst+ (more )
Structure Level Pattern Image Note
TS28: trachea Present UC Davis_1866955

Specimen UC Davis_1866956: postnatal adult; Tsttm1(KOMP)Vlcg/Tst+ (more )
Structure Level Pattern Image Note
TS28: trachea Present UC Davis_1866956

Specimen UC Davis_1866957: postnatal adult; Tsttm1(KOMP)Vlcg/Tst+ (more )
Structure Level Pattern Image Note
TS28: esophagus Present UC Davis_1866957

Specimen UC Davis_1866958: postnatal adult; Tsttm1(KOMP)Vlcg/Tst+ (more )
Structure Level Pattern Image Note
TS28: esophagus Present UC Davis_1866958

Specimen UC Davis_1866959: postnatal adult; Tsttm1(KOMP)Vlcg/Tst+ (more )
Structure Level Pattern Image Note
TS28: esophagus Present UC Davis_1866959

Specimen UC Davis_1866960: postnatal adult; Tsttm1(KOMP)Vlcg/Tst+ (more )
Structure Level Pattern Image Note
TS28: esophagus Present UC Davis_1866960

Specimen UC Davis_1866961: postnatal adult; Tsttm1(KOMP)Vlcg/Tst+ (more )
Structure Level Pattern Image Note
TS28: parathyroid gland Present UC Davis_1866961

Specimen UC Davis_1866962: postnatal adult; Tsttm1(KOMP)Vlcg/Tst+ (more )
Structure Level Pattern Image Note
TS28: lung Present UC Davis_1866962

Specimen UC Davis_1866963: postnatal adult; Tsttm1(KOMP)Vlcg/Tst+ (more )
Structure Level Pattern Image Note
TS28: lung Present UC Davis_1866963

Specimen UC Davis_1866964: postnatal adult; Tsttm1(KOMP)Vlcg/Tst+ (more )
Structure Level Pattern Image Note
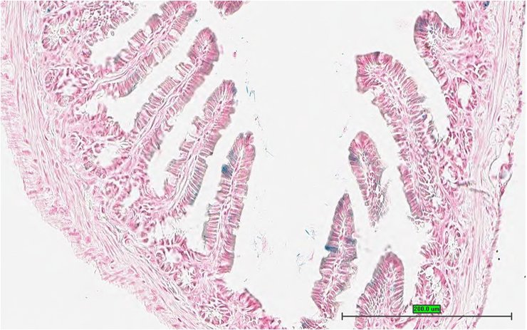
TS28: stomach Present UC Davis_1866964

Specimen UC Davis_1866965: postnatal adult; Tsttm1(KOMP)Vlcg/Tst+ (more )
Structure Level Pattern Image Note
TS28: stomach Present UC Davis_1866965

Specimen UC Davis_1866966: postnatal adult; Tsttm1(KOMP)Vlcg/Tst+ (more )
Structure Level Pattern Image Note
TS28: cecum Present UC Davis_1866966

Specimen UC Davis_1866967: postnatal adult; Tsttm1(KOMP)Vlcg/Tst+ (more )
Structure Level Pattern Image Note
TS28: cecum Present UC Davis_1866967

Specimen UC Davis_1866968: postnatal adult; Tsttm1(KOMP)Vlcg/Tst+ (more )
Structure Level Pattern Image Note
TS28: liver Present UC Davis_1866968

Specimen UC Davis_1866969: postnatal adult; Tsttm1(KOMP)Vlcg/Tst+ (more )
Structure Level Pattern Image Note
TS28: liver Present UC Davis_1866969

Specimen UC Davis_1866970: postnatal adult; Tsttm1(KOMP)Vlcg/Tst+ (more )
Structure Level Pattern Image Note
TS28: metanephros Present UC Davis_1866970 kidney

Specimen UC Davis_1866971: postnatal adult; Tsttm1(KOMP)Vlcg/Tst+ (more )
Structure Level Pattern Image Note
TS28: metanephros Present UC Davis_1866971 kidney

Specimen UC Davis_1866972: postnatal adult; Tsttm1(KOMP)Vlcg/Tst+ (more )
Structure Level Pattern Image Note
TS28: metanephros Present UC Davis_1866972 kidney

Specimen UC Davis_1866973: postnatal adult; Tsttm1(KOMP)Vlcg/Tst+ (more )
Structure Level Pattern Image Note
TS28: tongue Present UC Davis_1866973

Specimen UC Davis_1866974: postnatal adult; Tsttm1(KOMP)Vlcg/Tst+ (more )
Structure Level Pattern Image Note
TS28: tongue Present UC Davis_1866974

Specimen UC Davis_1866977: postnatal adult; Tsttm1(KOMP)Vlcg/Tst+ (more )
Structure Level Pattern Image Note
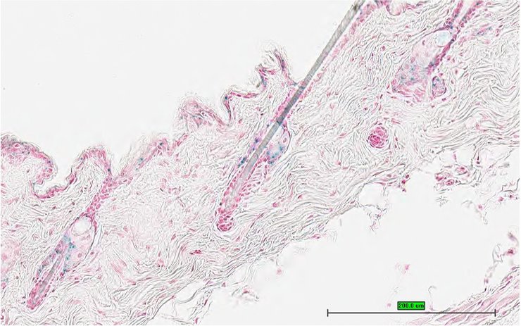
TS28: skin Present UC Davis_1866977

Specimen UC Davis_1866978: postnatal adult; Tsttm1(KOMP)Vlcg/Tst+ (more )
Structure Level Pattern Image Note
TS28: skin Present UC Davis_1866978

Specimen UC Davis_1866979: postnatal adult; Tsttm1(KOMP)Vlcg/Tst+ (more )
Structure Level Pattern Image Note
TS28: oviduct Present UC Davis_1866979

Specimen UC Davis_1866982: postnatal adult; Tsttm1(KOMP)Vlcg/Tst+ (more )
Structure Level Pattern Image Note
TS28: sublingual gland Present UC Davis_1866982

Specimen UC Davis_1866983: postnatal adult; Tsttm1(KOMP)Vlcg/Tst+ (more )
Structure Level Pattern Image Note
TS28: trachea Present UC Davis_1866983

Specimen UC Davis_1866984: postnatal adult; Tsttm1(KOMP)Vlcg/Tst+ (more )
Structure Level Pattern Image Note
TS28: esophagus Present UC Davis_1866984

Specimen UC Davis_1866985: postnatal adult; Tsttm1(KOMP)Vlcg/Tst+ (more )
Structure Level Pattern Image Note
TS28: esophagus Present UC Davis_1866985

Specimen UC Davis_1866986: postnatal adult; Tsttm1(KOMP)Vlcg/Tst+ (more )
Structure Level Pattern Image Note
TS28: esophagus Present UC Davis_1866986

Specimen UC Davis_1866988: postnatal adult; Tsttm1(KOMP)Vlcg/Tst+ (more )
Structure Level Pattern Image Note
TS28: lung Present UC Davis_1866988

Specimen UC Davis_1866989: postnatal adult; Tsttm1(KOMP)Vlcg/Tst+ (more )
Structure Level Pattern Image Note
TS28: lung Present UC Davis_1866989

Specimen UC Davis_1866990: postnatal adult; Tsttm1(KOMP)Vlcg/Tst+ (more )
Structure Level Pattern Image Note
TS28: lung Present UC Davis_1866990

Specimen UC Davis_1866991: postnatal adult; Tsttm1(KOMP)Vlcg/Tst+ (more )
Structure Level Pattern Image Note
TS28: thymus Present UC Davis_1866991

Specimen UC Davis_1866992: postnatal adult; Tsttm1(KOMP)Vlcg/Tst+ (more )
Structure Level Pattern Image Note
TS28: thymus Present UC Davis_1866992

Specimen UC Davis_1866993: postnatal adult; Tsttm1(KOMP)Vlcg/Tst+ (more )
Structure Level Pattern Image Note
TS28: stomach Present UC Davis_1866993

Specimen UC Davis_1866994: postnatal adult; Tsttm1(KOMP)Vlcg/Tst+ (more )
Structure Level Pattern Image Note
TS28: stomach Present UC Davis_1866994

Specimen UC Davis_1866995: postnatal adult; Tsttm1(KOMP)Vlcg/Tst+ (more )
Structure Level Pattern Image Note
TS28: stomach Present UC Davis_1866995

Specimen UC Davis_1866996: postnatal adult; Tsttm1(KOMP)Vlcg/Tst+ (more )
Structure Level Pattern Image Note
TS28: stomach Present UC Davis_1866996

Specimen UC Davis_1866997: postnatal adult; Tsttm1(KOMP)Vlcg/Tst+ (more )
Structure Level Pattern Image Note
TS28: liver Present UC Davis_1866997

Specimen UC Davis_1866998: postnatal adult; Tsttm1(KOMP)Vlcg/Tst+ (more )
Structure Level Pattern Image Note
TS28: liver Present UC Davis_1866998

Specimen UC Davis_1866999: postnatal adult; Tsttm1(KOMP)Vlcg/Tst+ (more )
Structure Level Pattern Image Note
TS28: liver Present UC Davis_1866999

Specimen UC Davis_1867000: postnatal adult; Tsttm1(KOMP)Vlcg/Tst+ (more )
Structure Level Pattern Image Note
TS28: liver Present UC Davis_1867000

Specimen UC Davis_1867001: postnatal adult; Tsttm1(KOMP)Vlcg/Tst+ (more )
Structure Level Pattern Image Note
TS28: metanephros Present UC Davis_1867001 kidney

Specimen UC Davis_1867002: postnatal adult; Tsttm1(KOMP)Vlcg/Tst+ (more )
Structure Level Pattern Image Note
TS28: metanephros Present UC Davis_1867002 kidney

Specimen UC Davis_1867003: postnatal adult; Tsttm1(KOMP)Vlcg/Tst+ (more )
Structure Level Pattern Image Note
TS28: metanephros Present UC Davis_1867003 kidney

Specimen UC Davis_1867004: postnatal adult; Tsttm1(KOMP)Vlcg/Tst+ (more )
Structure Level Pattern Image Note
TS28: tongue Present UC Davis_1867004

Specimen UC Davis_1867005: postnatal adult; Tsttm1(KOMP)Vlcg/Tst+ (more )
Structure Level Pattern Image Note
TS28: tongue Present UC Davis_1867005

Specimen UC Davis_1867006: postnatal adult; Tsttm1(KOMP)Vlcg/Tst+ (more )
Structure Level Pattern Image Note
TS28: tongue Present UC Davis_1867006

Specimen UC Davis_1867007: postnatal adult; Tsttm1(KOMP)Vlcg/Tst+ (more )
Structure Level Pattern Image Note
TS28: tongue Present UC Davis_1867007

Specimen UC Davis_1867008: postnatal adult; Tsttm1(KOMP)Vlcg/Tst+ (more )
Structure Level Pattern Image Note
TS28: eye Present UC Davis_1867008

Specimen UC Davis_1867009: postnatal adult; Tsttm1(KOMP)Vlcg/Tst+ (more )
Structure Level Pattern Image Note
TS28: eye Present UC Davis_1867009

Specimen UC Davis_1867011: postnatal adult; Tsttm1(KOMP)Vlcg/Tst+ (more )
Structure Level Pattern Image Note
TS28: skin Present UC Davis_1867011

Specimen UC Davis_1867015: postnatal adult; Tsttm1(KOMP)Vlcg/Tst+ (more )
Structure Level Pattern Image Note
TS28: midbrain Present UC Davis_1867015

Specimen UC Davis_1867016: postnatal adult; Tsttm1(KOMP)Vlcg/Tst+ (more )
Structure Level Pattern Image Note
TS28: cerebellum Present UC Davis_1867016

Specimen UC Davis_1867017: postnatal adult; Tsttm1(KOMP)Vlcg/Tst+ (more )
Structure Level Pattern Image Note
TS28: bladder Present UC Davis_1867017

Specimen UC Davis_1867018: postnatal adult; Tsttm1(KOMP)Vlcg/Tst+ (more )
Structure Level Pattern Image Note
TS28: testis Present UC Davis_1867018

Specimen UC Davis_1867019: postnatal adult; Tsttm1(KOMP)Vlcg/Tst+ (more )
Structure Level Pattern Image Note
TS28: testis Present UC Davis_1867019

Specimen UC Davis_1867020: postnatal adult; Tsttm1(KOMP)Vlcg/Tst+ (more )
Structure Level Pattern Image Note
TS28: epididymis Present UC Davis_1867020

Specimen UC Davis_1867021: postnatal adult; Tsttm1(KOMP)Vlcg/Tst+ (more )
Structure Level Pattern Image Note
TS28: epididymis Present UC Davis_1867021

Specimen UC Davis_1867022: postnatal adult; Tsttm1(KOMP)Vlcg/Tst+ (more )
Structure Level Pattern Image Note
TS28: prostate gland Present UC Davis_1867022

Specimen UC Davis_1867023: postnatal adult; Tsttm1(KOMP)Vlcg/Tst+ (more )
Structure Level Pattern Image Note
TS28: penis Present UC Davis_1867023

Specimen UC Davis_1867024: postnatal adult; Tsttm1(KOMP)Vlcg/Tst+ (more )
Structure Level Pattern Image Note
TS28: penis Present UC Davis_1867024

Specimen UC Davis_1867025: postnatal adult; Tsttm1(KOMP)Vlcg/Tst+ (more )
Structure Level Pattern Image Note
TS28: ductus deferens Present UC Davis_1867025 vas deferens

Specimen UC Davis_1863958: postnatal adult; Tsttm1.1(KOMP)Vlcg/Tst+ (more )
Structure Level Pattern Image Note
TS28: submandibular gland Present UC Davis_1863958

Specimen UC Davis_1863959: postnatal adult; Tsttm1.1(KOMP)Vlcg/Tst+ (more )
Structure Level Pattern Image Note
TS28: submandibular gland Present UC Davis_1863959

Specimen UC Davis_1863960: postnatal adult; Tsttm1.1(KOMP)Vlcg/Tst+ (more )
Structure Level Pattern Image Note
TS28: sublingual gland Present UC Davis_1863960

Specimen UC Davis_1863961: postnatal adult; Tsttm1.1(KOMP)Vlcg/Tst+ (more )
Structure Level Pattern Image Note
TS28: parotid gland Present UC Davis_1863961

Specimen UC Davis_1863962: postnatal adult; Tsttm1.1(KOMP)Vlcg/Tst+ (more )
Structure Level Pattern Image Note
TS28: trachea Present UC Davis_1863962

Specimen UC Davis_1863963: postnatal adult; Tsttm1.1(KOMP)Vlcg/Tst+ (more )
Structure Level Pattern Image Note
TS28: trachea Present UC Davis_1863963

Specimen UC Davis_1863964: postnatal adult; Tsttm1.1(KOMP)Vlcg/Tst+ (more )
Structure Level Pattern Image Note
TS28: esophagus Present UC Davis_1863964

Specimen UC Davis_1863965: postnatal adult; Tsttm1.1(KOMP)Vlcg/Tst+ (more )
Structure Level Pattern Image Note
TS28: esophagus Present UC Davis_1863965

Specimen UC Davis_1863969: postnatal adult; Tsttm1.1(KOMP)Vlcg/Tst+ (more )
Structure Level Pattern Image Note
TS28: parathyroid gland Present UC Davis_1863969

Specimen UC Davis_1863970: postnatal adult; Tsttm1.1(KOMP)Vlcg/Tst+ (more )
Structure Level Pattern Image Note
TS28: lung Present UC Davis_1863970

Specimen UC Davis_1863971: postnatal adult; Tsttm1.1(KOMP)Vlcg/Tst+ (more )
Structure Level Pattern Image Note
TS28: lung Present UC Davis_1863971

Specimen UC Davis_1863972: postnatal adult; Tsttm1.1(KOMP)Vlcg/Tst+ (more )
Structure Level Pattern Image Note
TS28: lung Present UC Davis_1863972

Specimen UC Davis_1863973: postnatal adult; Tsttm1.1(KOMP)Vlcg/Tst+ (more )
Structure Level Pattern Image Note
TS28: lung Present UC Davis_1863973

Specimen UC Davis_1863974: postnatal adult; Tsttm1.1(KOMP)Vlcg/Tst+ (more )
Structure Level Pattern Image Note
TS28: thymus Present UC Davis_1863974

Specimen UC Davis_1863975: postnatal adult; Tsttm1.1(KOMP)Vlcg/Tst+ (more )
Structure Level Pattern Image Note
TS28: stomach Present UC Davis_1863975

Specimen UC Davis_1863976: postnatal adult; Tsttm1.1(KOMP)Vlcg/Tst+ (more )
Structure Level Pattern Image Note
TS28: stomach Present UC Davis_1863976

Specimen UC Davis_1863977: postnatal adult; Tsttm1.1(KOMP)Vlcg/Tst+ (more )
Structure Level Pattern Image Note
TS28: jejunum Present UC Davis_1863977

Specimen UC Davis_1863978: postnatal adult; Tsttm1.1(KOMP)Vlcg/Tst+ (more )
Structure Level Pattern Image Note
TS28: jejunum Present UC Davis_1863978

Specimen UC Davis_1863979: postnatal adult; Tsttm1.1(KOMP)Vlcg/Tst+ (more )
Structure Level Pattern Image Note
TS28: jejunum Present UC Davis_1863979

Specimen UC Davis_1863980: postnatal adult; Tsttm1.1(KOMP)Vlcg/Tst+ (more )
Structure Level Pattern Image Note
TS28: ileum Present UC Davis_1863980

Specimen UC Davis_1863981: postnatal adult; Tsttm1.1(KOMP)Vlcg/Tst+ (more )
Structure Level Pattern Image Note
TS28: ileum Present UC Davis_1863981

Specimen UC Davis_1863982: postnatal adult; Tsttm1.1(KOMP)Vlcg/Tst+ (more )
Structure Level Pattern Image Note
TS28: ileum Present UC Davis_1863982

Specimen UC Davis_1863983: postnatal adult; Tsttm1.1(KOMP)Vlcg/Tst+ (more )
Structure Level Pattern Image Note
TS28: colon Present UC Davis_1863983

Specimen UC Davis_1863984: postnatal adult; Tsttm1.1(KOMP)Vlcg/Tst+ (more )
Structure Level Pattern Image Note
TS28: colon Present UC Davis_1863984

Specimen UC Davis_1863985: postnatal adult; Tsttm1.1(KOMP)Vlcg/Tst+ (more )
Structure Level Pattern Image Note
TS28: cecum Present UC Davis_1863985

Specimen UC Davis_1863986: postnatal adult; Tsttm1.1(KOMP)Vlcg/Tst+ (more )
Structure Level Pattern Image Note
TS28: cecum Present UC Davis_1863986

Specimen UC Davis_1863987: postnatal adult; Tsttm1.1(KOMP)Vlcg/Tst+ (more )
Structure Level Pattern Image Note
TS28: liver Present UC Davis_1863987

Specimen UC Davis_1863988: postnatal adult; Tsttm1.1(KOMP)Vlcg/Tst+ (more )
Structure Level Pattern Image Note
TS28: liver Present UC Davis_1863988

Specimen UC Davis_1863989: postnatal adult; Tsttm1.1(KOMP)Vlcg/Tst+ (more )
Structure Level Pattern Image Note
TS28: liver Present UC Davis_1863989

Specimen UC Davis_1863990: postnatal adult; Tsttm1.1(KOMP)Vlcg/Tst+ (more )
Structure Level Pattern Image Note
TS28: liver Present UC Davis_1863990

Specimen UC Davis_1863991: postnatal adult; Tsttm1.1(KOMP)Vlcg/Tst+ (more )
Structure Level Pattern Image Note
TS28: metanephros Present UC Davis_1863991 kidney

Specimen UC Davis_1863992: postnatal adult; Tsttm1.1(KOMP)Vlcg/Tst+ (more )
Structure Level Pattern Image Note
TS28: metanephros Present UC Davis_1863992 kidney

Specimen UC Davis_1863993: postnatal adult; Tsttm1.1(KOMP)Vlcg/Tst+ (more )
Structure Level Pattern Image Note
TS28: metanephros Present UC Davis_1863993 kidney

Specimen UC Davis_1863994: postnatal adult; Tsttm1.1(KOMP)Vlcg/Tst+ (more )
Structure Level Pattern Image Note
TS28: metanephros Present UC Davis_1863994 kidney

Specimen UC Davis_1863995: postnatal adult; Tsttm1.1(KOMP)Vlcg/Tst+ (more )
Structure Level Pattern Image Note
TS28: tongue Present UC Davis_1863995

Specimen UC Davis_1863996: postnatal adult; Tsttm1.1(KOMP)Vlcg/Tst+ (more )
Structure Level Pattern Image Note
TS28: tongue Present UC Davis_1863996

Specimen UC Davis_1863997: postnatal adult; Tsttm1.1(KOMP)Vlcg/Tst+ (more )
Structure Level Pattern Image Note
TS28: tongue Present UC Davis_1863997

Specimen UC Davis_1863998: postnatal adult; Tsttm1.1(KOMP)Vlcg/Tst+ (more )
Structure Level Pattern Image Note
TS28: tongue Present UC Davis_1863998

Specimen UC Davis_1863999: postnatal adult; Tsttm1.1(KOMP)Vlcg/Tst+ (more )
Structure Level Pattern Image Note
TS28: tongue Present UC Davis_1863999

Specimen UC Davis_1864000: postnatal adult; Tsttm1.1(KOMP)Vlcg/Tst+ (more )
Structure Level Pattern Image Note
TS28: spinal cord Present UC Davis_1864000

Specimen UC Davis_1864001: postnatal adult; Tsttm1.1(KOMP)Vlcg/Tst+ (more )
Structure Level Pattern Image Note
TS28: spinal cord Present UC Davis_1864001

Specimen UC Davis_1864002: postnatal adult; Tsttm1.1(KOMP)Vlcg/Tst+ (more )
Structure Level Pattern Image Note
TS28: eye Present UC Davis_1864002

Specimen UC Davis_1864003: postnatal adult; Tsttm1.1(KOMP)Vlcg/Tst+ (more )
Structure Level Pattern Image Note
TS28: eye Present UC Davis_1864003

Specimen UC Davis_1864004: postnatal adult; Tsttm1.1(KOMP)Vlcg/Tst+ (more )
Structure Level Pattern Image Note
TS28: eye Present UC Davis_1864004

Specimen UC Davis_1864005: postnatal adult; Tsttm1.1(KOMP)Vlcg/Tst+ (more )
Structure Level Pattern Image Note
TS28: eye Present UC Davis_1864005

Specimen UC Davis_1864006: postnatal adult; Tsttm1.1(KOMP)Vlcg/Tst+ (more )
Structure Level Pattern Image Note
TS28: eye Present UC Davis_1864006

Specimen UC Davis_1864007: postnatal adult; Tsttm1.1(KOMP)Vlcg/Tst+ (more )
Structure Level Pattern Image Note
TS28: skin Present UC Davis_1864007

Specimen UC Davis_1864008: postnatal adult; Tsttm1.1(KOMP)Vlcg/Tst+ (more )
Structure Level Pattern Image Note
TS28: skin Present UC Davis_1864008

Specimen UC Davis_1864009: postnatal adult; Tsttm1.1(KOMP)Vlcg/Tst+ (more )
Structure Level Pattern Image Note
TS28: skin Present UC Davis_1864009

Specimen UC Davis_1864010: postnatal adult; Tsttm1.1(KOMP)Vlcg/Tst+ (more )
Structure Level Pattern Image Note
TS28: olfactory lobe Present UC Davis_1864010

Specimen UC Davis_1864014: postnatal adult; Tsttm1.1(KOMP)Vlcg/Tst+ (more )
Structure Level Pattern Image Note
TS28: midbrain Present UC Davis_1864014

Specimen UC Davis_1864016: postnatal adult; Tsttm1.1(KOMP)Vlcg/Tst+ (more )
Structure Level Pattern Image Note
TS28: cerebellum Present UC Davis_1864016

Specimen UC Davis_1864017: postnatal adult; Tsttm1.1(KOMP)Vlcg/Tst+ (more )
Structure Level Pattern Image Note
TS28: cerebellum Present UC Davis_1864017

Specimen UC Davis_1864018: postnatal adult; Tsttm1.1(KOMP)Vlcg/Tst+ (more )
Structure Level Pattern Image Note
TS28: trigeminal nerve Present UC Davis_1864018

Specimen UC Davis_1864019: postnatal adult; Tsttm1.1(KOMP)Vlcg/Tst+ (more )
Structure Level Pattern Image Note
TS28: trigeminal nerve Present UC Davis_1864019

Specimen UC Davis_1864020: postnatal adult; Tsttm1.1(KOMP)Vlcg/Tst+ (more )
Structure Level Pattern Image Note
TS28: bladder Present UC Davis_1864020

Specimen UC Davis_1864021: postnatal adult; Tsttm1.1(KOMP)Vlcg/Tst+ (more )
Structure Level Pattern Image Note
TS28: bladder Present UC Davis_1864021

Specimen UC Davis_1864022: postnatal adult; Tsttm1.1(KOMP)Vlcg/Tst+ (more )
Structure Level Pattern Image Note
TS28: bladder Present UC Davis_1864022

Specimen UC Davis_1864023: postnatal adult; Tsttm1.1(KOMP)Vlcg/Tst+ (more )
Structure Level Pattern Image Note
TS28: testis Present UC Davis_1864023

Specimen UC Davis_1864024: postnatal adult; Tsttm1.1(KOMP)Vlcg/Tst+ (more )
Structure Level Pattern Image Note
TS28: testis Present UC Davis_1864024

Specimen UC Davis_1864025: postnatal adult; Tsttm1.1(KOMP)Vlcg/Tst+ (more )
Structure Level Pattern Image Note
TS28: epididymis Present UC Davis_1864025

Specimen UC Davis_1864026: postnatal adult; Tsttm1.1(KOMP)Vlcg/Tst+ (more )
Structure Level Pattern Image Note
TS28: epididymis Present UC Davis_1864026

Specimen UC Davis_1864027: postnatal adult; Tsttm1.1(KOMP)Vlcg/Tst+ (more )
Structure Level Pattern Image Note
TS28: prostate gland Present UC Davis_1864027

Specimen UC Davis_1864028: postnatal adult; Tsttm1.1(KOMP)Vlcg/Tst+ (more )
Structure Level Pattern Image Note
TS28: prostate gland Present UC Davis_1864028

Specimen UC Davis_1864029: postnatal adult; Tsttm1.1(KOMP)Vlcg/Tst+ (more )
Structure Level Pattern Image Note
TS28: prostate gland Present UC Davis_1864029

Specimen UC Davis_1864030: postnatal adult; Tsttm1.1(KOMP)Vlcg/Tst+ (more )
Structure Level Pattern Image Note
TS28: penis Present UC Davis_1864030

Specimen UC Davis_1864031: postnatal adult; Tsttm1.1(KOMP)Vlcg/Tst+ (more )
Structure Level Pattern Image Note
TS28: penis Present UC Davis_1864031

Specimen UC Davis_1864032: postnatal adult; Tsttm1.1(KOMP)Vlcg/Tst+ (more )
Structure Level Pattern Image Note
TS28: penis Present UC Davis_1864032

Specimen UC Davis_1864034: postnatal adult; Tsttm1.1(KOMP)Vlcg/Tst+ (more )
Structure Level Pattern Image Note
TS28: ductus deferens Present UC Davis_1864034 vas deferens

Specimen UC Davis_1864037: postnatal adult; Tsttm1.1(KOMP)Vlcg/Tst+ (more )
Structure Level Pattern Image Note
TS28: seminal vesicle Present UC Davis_1864037 vesicular gland

Specimen UC Davis_1864038: postnatal adult; Tsttm1.1(KOMP)Vlcg/Tst+ (more )
Structure Level Pattern Image Note
TS28: seminal vesicle Present UC Davis_1864038 vesicular gland

Specimen UC Davis_1864039: postnatal adult; Tsttm1.1(KOMP)Vlcg/Tst+ (more )
Structure Level Pattern Image Note
TS28: seminal vesicle Present UC Davis_1864039 vesicular gland


Contributing Projects:
Mouse Genome Database (MGD), Gene Expression Database (GXD), Mouse Models of Human Cancer database (MMHCdb) (formerly Mouse Tumor Biology (MTB)), Gene Ontology (GO)
Citing These Resources
Funding Information
Warranty Disclaimer, Privacy Notice, Licensing, & Copyright
Send questions and comments to User Support.
last database update
01/06/2026
MGI 6.24
The Jackson Laboratory