About   Help   FAQ
Gene Expression Data
Assay Details
Assay
Reference: J:228563 Koscielny G, et al., The International Mouse Phenotyping Consortium Web Portal, a unified point of access for knockout mice and related phenotyping data. Nucleic Acids Res. 2014 Jan;42(Database issue):D802-9
Assay type: In situ reporter (knock in)
MGI Accession ID: MGI:6693225
Gene symbol: Thra
Gene name: thyroid hormone receptor alpha
Reporter: lacZ
Direct Detection
Results
Specimen JAX_1314208: embryonic day 12.5; Thratm1b(EUCOMM)Wtsi/Thra+ (more )
Structure Level Pattern Image Note
TS20: embryo Present JAX_1314208

Specimen JAX_1314209: embryonic day 12.5; Thratm1b(EUCOMM)Wtsi/Thra+ (more )
Structure Level Pattern Image Note
TS20: embryo Present JAX_1314209

Specimen JAX_1314210: embryonic day 12.5; Thratm1b(EUCOMM)Wtsi/Thra+ (more )
Structure Level Pattern Image Note
TS20: embryo Present JAX_1314210

Specimen JAX_1314211: embryonic day 12.5; Thratm1b(EUCOMM)Wtsi/Thra+ (more )
Structure Level Pattern Image Note
TS20: embryo Present JAX_1314211

Specimen JAX_1314216: embryonic day 12.5; Thratm1b(EUCOMM)Wtsi/Thra+ (more )
Structure Level Pattern Image Note
TS20: embryo Present JAX_1314216

Specimen JAX_1314217: embryonic day 12.5; Thratm1b(EUCOMM)Wtsi/Thra+ (more )
Structure Level Pattern Image Note
TS20: embryo Present JAX_1314217

Specimen JAX_1314218: embryonic day 12.5; Thratm1b(EUCOMM)Wtsi/Thra+ (more )
Structure Level Pattern Image Note
TS20: embryo Present JAX_1314218

Specimen JAX_1314219: embryonic day 12.5; Thratm1b(EUCOMM)Wtsi/Thra+ (more )
Structure Level Pattern Image Note
TS20: embryo Present JAX_1314219

Specimen JAX_1371215: postnatal adult; Thratm1b(EUCOMM)Wtsi/Thra+ (more )
Structure Level Pattern Image Note
TS28: peripheral nervous system Present JAX_1371215

Specimen JAX_1371216: postnatal adult; Thratm1b(EUCOMM)Wtsi/Thra+ (more )
Structure Level Pattern Image Note
TS28: spinal cord Present JAX_1371216

Specimen JAX_1371217: postnatal adult; Thratm1b(EUCOMM)Wtsi/Thra+ (more )
Structure Level Pattern Image Note
TS28: uterus Present JAX_1371217

Specimen JAX_1371218: postnatal adult; Thratm1b(EUCOMM)Wtsi/Thra+ (more )
Structure Level Pattern Image Note
TS28: oviduct Present JAX_1371218

Specimen JAX_1371219: postnatal adult; Thratm1b(EUCOMM)Wtsi/Thra+ (more )
Structure Level Pattern Image Note
TS28: ovary Present JAX_1371219

Specimen JAX_1371220: postnatal adult; Thratm1b(EUCOMM)Wtsi/Thra+ (more )
Structure Level Pattern Image Note
TS28: mammary gland Present JAX_1371220

Specimen JAX_1371221: postnatal adult; Thratm1b(EUCOMM)Wtsi/Thra+ (more )
Structure Level Pattern Image Note
TS28: thalamus Present JAX_1371221

Specimen JAX_1371222: postnatal adult; Thratm1b(EUCOMM)Wtsi/Thra+ (more )
Structure Level Pattern Image Note
TS28: midbrain Present JAX_1371222

Specimen JAX_1371223: postnatal adult; Thratm1b(EUCOMM)Wtsi/Thra+ (more )
Structure Level Pattern Image Note
TS28: vascular system Present JAX_1371223

Specimen JAX_1371224: postnatal adult; Thratm1b(EUCOMM)Wtsi/Thra+ (more )
Structure Level Pattern Image Note
TS28: epididymis Present JAX_1371224

Specimen JAX_1371225: postnatal adult; Thratm1b(EUCOMM)Wtsi/Thra+ (more )
Structure Level Pattern Image Note
TS28: submandibular gland Present JAX_1371225

Specimen JAX_1371226: postnatal adult; Thratm1b(EUCOMM)Wtsi/Thra+ (more )
Structure Level Pattern Image Note
TS28: brown fat Present JAX_1371226

Specimen JAX_1371227: postnatal adult; Thratm1b(EUCOMM)Wtsi/Thra+ (more )
Structure Level Pattern Image Note
TS28: bladder Present JAX_1371227

Specimen JAX_1371228: postnatal adult; Thratm1b(EUCOMM)Wtsi/Thra+ (more )
Structure Level Pattern Image Note
TS28: corpus striatum Present JAX_1371228

Specimen JAX_1371229: postnatal adult; Thratm1b(EUCOMM)Wtsi/Thra+ (more )
Structure Level Pattern Image Note
TS28: Peyer's patch Present JAX_1371229

Specimen JAX_1371230: postnatal adult; Thratm1b(EUCOMM)Wtsi/Thra+ (more )
Structure Level Pattern Image Note
TS28: olfactory lobe Present JAX_1371230

Specimen JAX_1371231: postnatal adult; Thratm1b(EUCOMM)Wtsi/Thra+ (more )
Structure Level Pattern Image Note
TS28: hypothalamus Present JAX_1371231

Specimen JAX_1371232: postnatal adult; Thratm1b(EUCOMM)Wtsi/Thra+ (more )
Structure Level Pattern Image Note
TS28: hippocampus Present JAX_1371232

Specimen JAX_1371233: postnatal adult; Thratm1b(EUCOMM)Wtsi/Thra+ (more )
Structure Level Pattern Image Note
TS28: cerebellum Present JAX_1371233

Specimen JAX_1371234: postnatal adult; Thratm1b(EUCOMM)Wtsi/Thra+ (more )
Structure Level Pattern Image Note
TS28: cerebral cortex Present JAX_1371234

Specimen JAX_1371235: postnatal adult; Thratm1b(EUCOMM)Wtsi/Thra+ (more )
Structure Level Pattern Image Note
TS28: cartilage Present JAX_1371235

Specimen JAX_1371236: postnatal adult; Thratm1b(EUCOMM)Wtsi/Thra+ (more )
Structure Level Pattern Image Note
TS28: brainstem Present JAX_1371236

Specimen JAX_1371237: postnatal adult; Thratm1b(EUCOMM)Wtsi/Thra+ (more )
Structure Level Pattern Image Note
TS28: spleen Present JAX_1371237

Specimen JAX_1371238: postnatal adult; Thratm1b(EUCOMM)Wtsi/Thra+ (more )
Structure Level Pattern Image Note
TS28: pancreas Present JAX_1371238

Specimen JAX_1371239: postnatal adult; Thratm1b(EUCOMM)Wtsi/Thra+ (more )
Structure Level Pattern Image Note
TS28: aorta Present JAX_1371239

Specimen JAX_1371240: postnatal adult; Thratm1b(EUCOMM)Wtsi/Thra+ (more )
Structure Level Pattern Image Note
TS28: lung Present JAX_1371240

Specimen JAX_1371241: postnatal adult; Thratm1b(EUCOMM)Wtsi/Thra+ (more )
Structure Level Pattern Image Note
TS28: white fat Present JAX_1371241

Specimen JAX_1371242: postnatal adult; Thratm1b(EUCOMM)Wtsi/Thra+ (more )
Structure Level Pattern Image Note
TS28: small intestine Present JAX_1371242

Specimen JAX_1371243: postnatal adult; Thratm1b(EUCOMM)Wtsi/Thra+ (more )
Structure Level Pattern Image Note
TS28: skeletal muscle tissue Present JAX_1371243

Specimen JAX_1371244: postnatal adult; Thratm1b(EUCOMM)Wtsi/Thra+ (more )
Structure Level Pattern Image Note
TS28: pituitary gland Present JAX_1371244

Specimen JAX_1371245: postnatal adult; Thratm1b(EUCOMM)Wtsi/Thra+ (more )
Structure Level Pattern Image Note
TS28: thyroid gland Present JAX_1371245

Specimen JAX_1371246: postnatal adult; Thratm1b(EUCOMM)Wtsi/Thra+ (more )
Structure Level Pattern Image Note
TS28: esophagus Present JAX_1371246

Specimen JAX_1371247: postnatal adult; Thratm1b(EUCOMM)Wtsi/Thra+ (more )
Structure Level Pattern Image Note
TS28: large intestine Present JAX_1371247

Specimen JAX_1371248: postnatal adult; Thratm1b(EUCOMM)Wtsi/Thra+ (more )
Structure Level Pattern Image Note
TS28: trachea Present JAX_1371248

Specimen JAX_1371250: postnatal adult; Thratm1b(EUCOMM)Wtsi/Thra+ (more )
Structure Level Pattern Image Note
TS28: testis Present JAX_1371250

Specimen JAX_1371251: postnatal adult; Thratm1b(EUCOMM)Wtsi/Thra+ (more )
Structure Level Pattern Image Note
TS28: stomach Present JAX_1371251

Specimen JAX_1371252: postnatal adult; Thratm1b(EUCOMM)Wtsi/Thra+ (more )
Structure Level Pattern Image Note
TS28: skin Present JAX_1371252

Specimen JAX_1371253: postnatal adult; Thratm1b(EUCOMM)Wtsi/Thra+ (more )
Structure Level Pattern Image Note
TS28: lymph node Present JAX_1371253

Specimen JAX_1371254: postnatal adult; Thratm1b(EUCOMM)Wtsi/Thra+ (more )
Structure Level Pattern Image Note
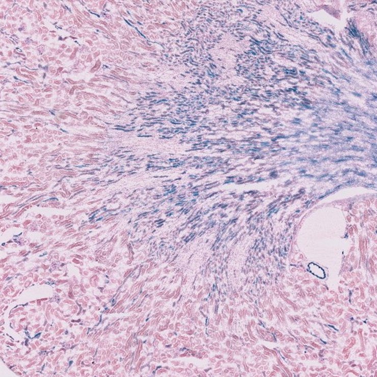
TS28: liver Present JAX_1371254

Specimen JAX_1371255: postnatal adult; Thratm1b(EUCOMM)Wtsi/Thra+ (more )
Structure Level Pattern Image Note
TS28: metanephros Present JAX_1371255 kidney

Specimen JAX_1371256: postnatal adult; Thratm1b(EUCOMM)Wtsi/Thra+ (more )
Structure Level Pattern Image Note
TS28: heart Present JAX_1371256

Specimen JAX_1371257: postnatal adult; Thratm1b(EUCOMM)Wtsi/Thra+ (more )
Structure Level Pattern Image Note
TS28: eye Present JAX_1371257

Specimen JAX_1371258: postnatal adult; Thratm1b(EUCOMM)Wtsi/Thra+ (more )
Structure Level Pattern Image Note
TS28: brain Present JAX_1371258

Specimen JAX_1371259: postnatal adult; Thratm1b(EUCOMM)Wtsi/Thra+ (more )
Structure Level Pattern Image Note
TS28: adrenal gland Present JAX_1371259


Contributing Projects:
Mouse Genome Database (MGD), Gene Expression Database (GXD), Mouse Models of Human Cancer database (MMHCdb) (formerly Mouse Tumor Biology (MTB)), Gene Ontology (GO)
Citing These Resources
Funding Information
Warranty Disclaimer, Privacy Notice, Licensing, & Copyright
Send questions and comments to User Support.
last database update
01/06/2026
MGI 6.24
The Jackson Laboratory