About   Help   FAQ
Gene Expression Data
Assay Details
Assay
Reference: J:228563 Koscielny G, et al., The International Mouse Phenotyping Consortium Web Portal, a unified point of access for knockout mice and related phenotyping data. Nucleic Acids Res. 2014 Jan;42(Database issue):D802-9
Assay type: In situ reporter (knock in)
MGI Accession ID: MGI:6693224
Gene symbol: Thbs1
Gene name: thrombospondin 1
Reporter: lacZ
Direct Detection
Results
Specimen UC Davis_1872701: postnatal adult; Thbs1tm1.1(KOMP)Vlcg/Thbs1+ (more )
Structure Level Pattern Image Note
TS28: submandibular gland Present UC Davis_1872701

Specimen UC Davis_1872702: postnatal adult; Thbs1tm1.1(KOMP)Vlcg/Thbs1+ (more )
Structure Level Pattern Image Note
TS28: submandibular gland Present UC Davis_1872702

Specimen UC Davis_1872703: postnatal adult; Thbs1tm1.1(KOMP)Vlcg/Thbs1+ (more )
Structure Level Pattern Image Note
TS28: sublingual gland Present UC Davis_1872703

Specimen UC Davis_1872704: postnatal adult; Thbs1tm1.1(KOMP)Vlcg/Thbs1+ (more )
Structure Level Pattern Image Note
TS28: sublingual gland Present UC Davis_1872704

Specimen UC Davis_1872705: postnatal adult; Thbs1tm1.1(KOMP)Vlcg/Thbs1+ (more )
Structure Level Pattern Image Note
TS28: parotid gland Present UC Davis_1872705

Specimen UC Davis_1872706: postnatal adult; Thbs1tm1.1(KOMP)Vlcg/Thbs1+ (more )
Structure Level Pattern Image Note
TS28: parotid gland Present UC Davis_1872706

Specimen UC Davis_1872709: postnatal adult; Thbs1tm1.1(KOMP)Vlcg/Thbs1+ (more )
Structure Level Pattern Image Note
TS28: esophagus Present UC Davis_1872709

Specimen UC Davis_1872710: postnatal adult; Thbs1tm1.1(KOMP)Vlcg/Thbs1+ (more )
Structure Level Pattern Image Note
TS28: esophagus Present UC Davis_1872710

Specimen UC Davis_1872711: postnatal adult; Thbs1tm1.1(KOMP)Vlcg/Thbs1+ (more )
Structure Level Pattern Image Note
TS28: esophagus Present UC Davis_1872711

Specimen UC Davis_1872712: postnatal adult; Thbs1tm1.1(KOMP)Vlcg/Thbs1+ (more )
Structure Level Pattern Image Note
TS28: thyroid gland Present UC Davis_1872712

Specimen UC Davis_1872713: postnatal adult; Thbs1tm1.1(KOMP)Vlcg/Thbs1+ (more )
Structure Level Pattern Image Note
TS28: thyroid gland Present UC Davis_1872713

Specimen UC Davis_1872714: postnatal adult; Thbs1tm1.1(KOMP)Vlcg/Thbs1+ (more )
Structure Level Pattern Image Note
TS28: thyroid gland Present UC Davis_1872714

Specimen UC Davis_1872715: postnatal adult; Thbs1tm1.1(KOMP)Vlcg/Thbs1+ (more )
Structure Level Pattern Image Note
TS28: parathyroid gland Present UC Davis_1872715

Specimen UC Davis_1872716: postnatal adult; Thbs1tm1.1(KOMP)Vlcg/Thbs1+ (more )
Structure Level Pattern Image Note
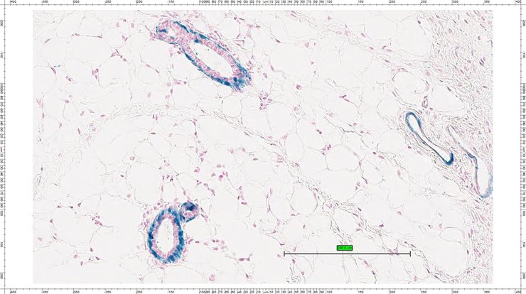
TS28: aorta Present UC Davis_1872716

Specimen UC Davis_1872717: postnatal adult; Thbs1tm1.1(KOMP)Vlcg/Thbs1+ (more )
Structure Level Pattern Image Note
TS28: lung Present UC Davis_1872717

Specimen UC Davis_1872718: postnatal adult; Thbs1tm1.1(KOMP)Vlcg/Thbs1+ (more )
Structure Level Pattern Image Note
TS28: lung Present UC Davis_1872718

Specimen UC Davis_1872719: postnatal adult; Thbs1tm1.1(KOMP)Vlcg/Thbs1+ (more )
Structure Level Pattern Image Note
TS28: thymus Present UC Davis_1872719

Specimen UC Davis_1872720: postnatal adult; Thbs1tm1.1(KOMP)Vlcg/Thbs1+ (more )
Structure Level Pattern Image Note
TS28: thymus Present UC Davis_1872720

Specimen UC Davis_1872723: postnatal adult; Thbs1tm1.1(KOMP)Vlcg/Thbs1+ (more )
Structure Level Pattern Image Note
TS28: mesenteric lymph node Present UC Davis_1872723

Specimen UC Davis_1872724: postnatal adult; Thbs1tm1.1(KOMP)Vlcg/Thbs1+ (more )
Structure Level Pattern Image Note
TS28: stomach Present UC Davis_1872724

Specimen UC Davis_1872725: postnatal adult; Thbs1tm1.1(KOMP)Vlcg/Thbs1+ (more )
Structure Level Pattern Image Note
TS28: stomach Present UC Davis_1872725

Specimen UC Davis_1872726: postnatal adult; Thbs1tm1.1(KOMP)Vlcg/Thbs1+ (more )
Structure Level Pattern Image Note
TS28: stomach Present UC Davis_1872726

Specimen UC Davis_1872727: postnatal adult; Thbs1tm1.1(KOMP)Vlcg/Thbs1+ (more )
Structure Level Pattern Image Note
TS28: stomach Present UC Davis_1872727

Specimen UC Davis_1872728: postnatal adult; Thbs1tm1.1(KOMP)Vlcg/Thbs1+ (more )
Structure Level Pattern Image Note
TS28: duodenum Present UC Davis_1872728

Specimen UC Davis_1872729: postnatal adult; Thbs1tm1.1(KOMP)Vlcg/Thbs1+ (more )
Structure Level Pattern Image Note
TS28: duodenum Present UC Davis_1872729

Specimen UC Davis_1872730: postnatal adult; Thbs1tm1.1(KOMP)Vlcg/Thbs1+ (more )
Structure Level Pattern Image Note
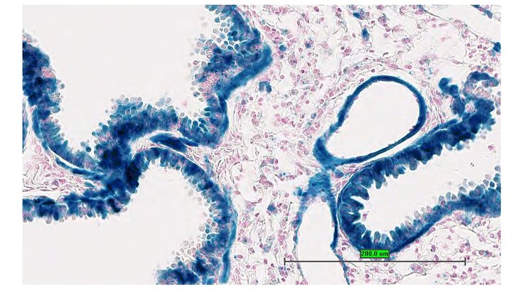
TS28: ileum Present UC Davis_1872730

Specimen UC Davis_1872731: postnatal adult; Thbs1tm1.1(KOMP)Vlcg/Thbs1+ (more )
Structure Level Pattern Image Note
TS28: ileum Present UC Davis_1872731

Specimen UC Davis_1872732: postnatal adult; Thbs1tm1.1(KOMP)Vlcg/Thbs1+ (more )
Structure Level Pattern Image Note
TS28: colon Present UC Davis_1872732

Specimen UC Davis_1872733: postnatal adult; Thbs1tm1.1(KOMP)Vlcg/Thbs1+ (more )
Structure Level Pattern Image Note
TS28: colon Present UC Davis_1872733

Specimen UC Davis_1872734: postnatal adult; Thbs1tm1.1(KOMP)Vlcg/Thbs1+ (more )
Structure Level Pattern Image Note
TS28: cecum Present UC Davis_1872734

Specimen UC Davis_1872735: postnatal adult; Thbs1tm1.1(KOMP)Vlcg/Thbs1+ (more )
Structure Level Pattern Image Note
TS28: cecum Present UC Davis_1872735

Specimen UC Davis_1872736: postnatal adult; Thbs1tm1.1(KOMP)Vlcg/Thbs1+ (more )
Structure Level Pattern Image Note
TS28: spleen Present UC Davis_1872736

Specimen UC Davis_1872737: postnatal adult; Thbs1tm1.1(KOMP)Vlcg/Thbs1+ (more )
Structure Level Pattern Image Note
TS28: spleen Present UC Davis_1872737

Specimen UC Davis_1872738: postnatal adult; Thbs1tm1.1(KOMP)Vlcg/Thbs1+ (more )
Structure Level Pattern Image Note
TS28: spleen Present UC Davis_1872738

Specimen UC Davis_1872739: postnatal adult; Thbs1tm1.1(KOMP)Vlcg/Thbs1+ (more )
Structure Level Pattern Image Note
TS28: spleen Present UC Davis_1872739

Specimen UC Davis_1872740: postnatal adult; Thbs1tm1.1(KOMP)Vlcg/Thbs1+ (more )
Structure Level Pattern Image Note
TS28: spleen Present UC Davis_1872740

Specimen UC Davis_1872741: postnatal adult; Thbs1tm1.1(KOMP)Vlcg/Thbs1+ (more )
Structure Level Pattern Image Note
TS28: pancreas Present UC Davis_1872741

Specimen UC Davis_1872742: postnatal adult; Thbs1tm1.1(KOMP)Vlcg/Thbs1+ (more )
Structure Level Pattern Image Note
TS28: pancreas Present UC Davis_1872742

Specimen UC Davis_1872743: postnatal adult; Thbs1tm1.1(KOMP)Vlcg/Thbs1+ (more )
Structure Level Pattern Image Note
TS28: pancreas Present UC Davis_1872743

Specimen UC Davis_1872744: postnatal adult; Thbs1tm1.1(KOMP)Vlcg/Thbs1+ (more )
Structure Level Pattern Image Note
TS28: liver Present UC Davis_1872744

Specimen UC Davis_1872745: postnatal adult; Thbs1tm1.1(KOMP)Vlcg/Thbs1+ (more )
Structure Level Pattern Image Note
TS28: liver Present UC Davis_1872745

Specimen UC Davis_1872746: postnatal adult; Thbs1tm1.1(KOMP)Vlcg/Thbs1+ (more )
Structure Level Pattern Image Note
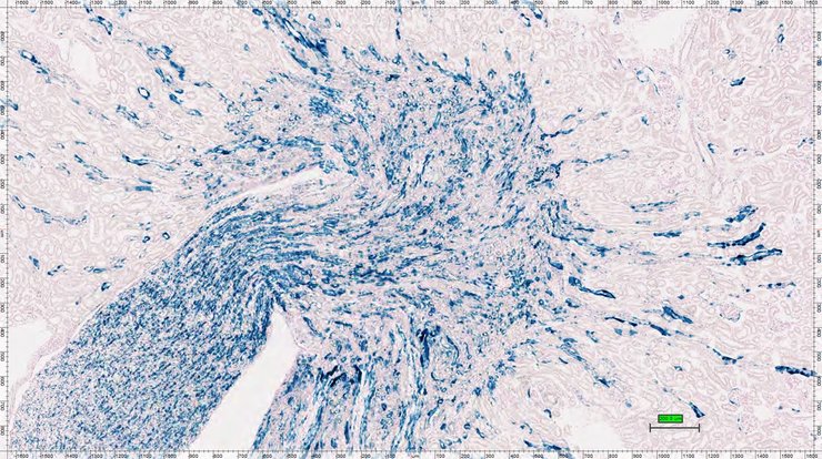
TS28: metanephros Present UC Davis_1872746 kidney

Specimen UC Davis_1872747: postnatal adult; Thbs1tm1.1(KOMP)Vlcg/Thbs1+ (more )
Structure Level Pattern Image Note
TS28: metanephros Present UC Davis_1872747 kidney

Specimen UC Davis_1872748: postnatal adult; Thbs1tm1.1(KOMP)Vlcg/Thbs1+ (more )
Structure Level Pattern Image Note
TS28: metanephros Present UC Davis_1872748 kidney

Specimen UC Davis_1872749: postnatal adult; Thbs1tm1.1(KOMP)Vlcg/Thbs1+ (more )
Structure Level Pattern Image Note
TS28: metanephros Present UC Davis_1872749 kidney

Specimen UC Davis_1872750: postnatal adult; Thbs1tm1.1(KOMP)Vlcg/Thbs1+ (more )
Structure Level Pattern Image Note
TS28: metanephros Present UC Davis_1872750 kidney

Specimen UC Davis_1872751: postnatal adult; Thbs1tm1.1(KOMP)Vlcg/Thbs1+ (more )
Structure Level Pattern Image Note
TS28: quadriceps femoris muscle Present UC Davis_1872751

Specimen UC Davis_1872752: postnatal adult; Thbs1tm1.1(KOMP)Vlcg/Thbs1+ (more )
Structure Level Pattern Image Note
TS28: quadriceps femoris muscle Present UC Davis_1872752

Specimen UC Davis_1872753: postnatal adult; Thbs1tm1.1(KOMP)Vlcg/Thbs1+ (more )
Structure Level Pattern Image Note
TS28: sciatic nerve Present UC Davis_1872753

Specimen UC Davis_1872754: postnatal adult; Thbs1tm1.1(KOMP)Vlcg/Thbs1+ (more )
Structure Level Pattern Image Note
TS28: tongue Present UC Davis_1872754

Specimen UC Davis_1872755: postnatal adult; Thbs1tm1.1(KOMP)Vlcg/Thbs1+ (more )
Structure Level Pattern Image Note
TS28: tongue Present UC Davis_1872755

Specimen UC Davis_1872756: postnatal adult; Thbs1tm1.1(KOMP)Vlcg/Thbs1+ (more )
Structure Level Pattern Image Note
TS28: tongue Present UC Davis_1872756

Specimen UC Davis_1872757: postnatal adult; Thbs1tm1.1(KOMP)Vlcg/Thbs1+ (more )
Structure Level Pattern Image Note
TS28: diaphragm Present UC Davis_1872757

Specimen UC Davis_1872758: postnatal adult; Thbs1tm1.1(KOMP)Vlcg/Thbs1+ (more )
Structure Level Pattern Image Note
TS28: diaphragm Present UC Davis_1872758

Specimen UC Davis_1872759: postnatal adult; Thbs1tm1.1(KOMP)Vlcg/Thbs1+ (more )
Structure Level Pattern Image Note
TS28: adrenal gland Present UC Davis_1872759

Specimen UC Davis_1872760: postnatal adult; Thbs1tm1.1(KOMP)Vlcg/Thbs1+ (more )
Structure Level Pattern Image Note
TS28: adrenal gland Present UC Davis_1872760

Specimen UC Davis_1872761: postnatal adult; Thbs1tm1.1(KOMP)Vlcg/Thbs1+ (more )
Structure Level Pattern Image Note
TS28: spinal cord Present UC Davis_1872761

Specimen UC Davis_1872762: postnatal adult; Thbs1tm1.1(KOMP)Vlcg/Thbs1+ (more )
Structure Level Pattern Image Note
TS28: spinal cord Present UC Davis_1872762

Specimen UC Davis_1872763: postnatal adult; Thbs1tm1.1(KOMP)Vlcg/Thbs1+ (more )
Structure Level Pattern Image Note
TS28: eye Present UC Davis_1872763

Specimen UC Davis_1872764: postnatal adult; Thbs1tm1.1(KOMP)Vlcg/Thbs1+ (more )
Structure Level Pattern Image Note
TS28: eye Present UC Davis_1872764

Specimen UC Davis_1872765: postnatal adult; Thbs1tm1.1(KOMP)Vlcg/Thbs1+ (more )
Structure Level Pattern Image Note
TS28: eye Present UC Davis_1872765

Specimen UC Davis_1872770: postnatal adult; Thbs1tm1.1(KOMP)Vlcg/Thbs1+ (more )
Structure Level Pattern Image Note
TS28: Harderian gland Present UC Davis_1872770

Specimen UC Davis_1872771: postnatal adult; Thbs1tm1.1(KOMP)Vlcg/Thbs1+ (more )
Structure Level Pattern Image Note
TS28: Harderian gland Present UC Davis_1872771

Specimen UC Davis_1872772: postnatal adult; Thbs1tm1.1(KOMP)Vlcg/Thbs1+ (more )
Structure Level Pattern Image Note
TS28: gonadal fat pad Present UC Davis_1872772

Specimen UC Davis_1872773: postnatal adult; Thbs1tm1.1(KOMP)Vlcg/Thbs1+ (more )
Structure Level Pattern Image Note
TS28: gonadal fat pad Present UC Davis_1872773

Specimen UC Davis_1872774: postnatal adult; Thbs1tm1.1(KOMP)Vlcg/Thbs1+ (more )
Structure Level Pattern Image Note
TS28: mesenteric adipose tissue Absent UC Davis_1872774

Specimen UC Davis_1872775: postnatal adult; Thbs1tm1.1(KOMP)Vlcg/Thbs1+ (more )
Structure Level Pattern Image Note
TS28: mesenteric adipose tissue Absent UC Davis_1872775

Specimen UC Davis_1872776: postnatal adult; Thbs1tm1.1(KOMP)Vlcg/Thbs1+ (more )
Structure Level Pattern Image Note
TS28: skin Present UC Davis_1872776

Specimen UC Davis_1872777: postnatal adult; Thbs1tm1.1(KOMP)Vlcg/Thbs1+ (more )
Structure Level Pattern Image Note
TS28: skin Present UC Davis_1872777

Specimen UC Davis_1872781: postnatal adult; Thbs1tm1.1(KOMP)Vlcg/Thbs1+ (more )
Structure Level Pattern Image Note
TS28: midbrain Present UC Davis_1872781

Specimen UC Davis_1872783: postnatal adult; Thbs1tm1.1(KOMP)Vlcg/Thbs1+ (more )
Structure Level Pattern Image Note
TS28: cerebellum Present UC Davis_1872783

Specimen UC Davis_1872784: postnatal adult; Thbs1tm1.1(KOMP)Vlcg/Thbs1+ (more )
Structure Level Pattern Image Note
TS28: ovary Present UC Davis_1872784

Specimen UC Davis_1872785: postnatal adult; Thbs1tm1.1(KOMP)Vlcg/Thbs1+ (more )
Structure Level Pattern Image Note
TS28: ovary Present UC Davis_1872785

Specimen UC Davis_1872786: postnatal adult; Thbs1tm1.1(KOMP)Vlcg/Thbs1+ (more )
Structure Level Pattern Image Note
TS28: ovary Present UC Davis_1872786

Specimen UC Davis_1872787: postnatal adult; Thbs1tm1.1(KOMP)Vlcg/Thbs1+ (more )
Structure Level Pattern Image Note
TS28: oviduct Present UC Davis_1872787

Specimen UC Davis_1872788: postnatal adult; Thbs1tm1.1(KOMP)Vlcg/Thbs1+ (more )
Structure Level Pattern Image Note
TS28: uterus Present UC Davis_1872788

Specimen UC Davis_1872789: postnatal adult; Thbs1tm1.1(KOMP)Vlcg/Thbs1+ (more )
Structure Level Pattern Image Note
TS28: uterus Present UC Davis_1872789

Specimen UC Davis_1872790: postnatal adult; Thbs1tm1.1(KOMP)Vlcg/Thbs1+ (more )
Structure Level Pattern Image Note
TS28: uterus Present UC Davis_1872790

Specimen UC Davis_1872791: postnatal adult; Thbs1tm1.1(KOMP)Vlcg/Thbs1+ (more )
Structure Level Pattern Image Note
TS28: vagina Present UC Davis_1872791

Specimen UC Davis_1872792: postnatal adult; Thbs1tm1.1(KOMP)Vlcg/Thbs1+ (more )
Structure Level Pattern Image Note
TS28: bladder Present UC Davis_1872792

Specimen UC Davis_1872793: postnatal adult; Thbs1tm1.1(KOMP)Vlcg/Thbs1+ (more )
Structure Level Pattern Image Note
TS28: bladder Present UC Davis_1872793

Specimen UC Davis_1872794: postnatal adult; Thbs1tm1.1(KOMP)Vlcg/Thbs1+ (more )
Structure Level Pattern Image Note
TS28: blood Present UC Davis_1872794

Specimen UC Davis_1872795: postnatal adult; Thbs1tm1.1(KOMP)Vlcg/Thbs1+ (more )
Structure Level Pattern Image Note
TS28: blood Present UC Davis_1872795

Specimen UC Davis_1872796: postnatal adult; Thbs1tm1.1(KOMP)Vlcg/Thbs1+ (more )
Structure Level Pattern Image Note
TS28: bone marrow Present UC Davis_1872796

Specimen UC Davis_1872797: postnatal adult; Thbs1tm1.1(KOMP)Vlcg/Thbs1+ (more )
Structure Level Pattern Image Note
TS28: bone marrow Present UC Davis_1872797

Specimen UC Davis_1872798: postnatal adult; Thbs1tm1.1(KOMP)Vlcg/Thbs1+ (more )
Structure Level Pattern Image Note
TS28: bone marrow Present UC Davis_1872798

Specimen UC Davis_1872799: postnatal adult; Thbs1tm1.1(KOMP)Vlcg/Thbs1+ (more )
Structure Level Pattern Image Note
TS28: mammary gland Present UC Davis_1872799

Specimen UC Davis_1872800: postnatal adult; Thbs1tm1.1(KOMP)Vlcg/Thbs1+ (more )
Structure Level Pattern Image Note
TS28: mammary gland Present UC Davis_1872800


Contributing Projects:
Mouse Genome Database (MGD), Gene Expression Database (GXD), Mouse Models of Human Cancer database (MMHCdb) (formerly Mouse Tumor Biology (MTB)), Gene Ontology (GO)
Citing These Resources
Funding Information
Warranty Disclaimer, Privacy Notice, Licensing, & Copyright
Send questions and comments to User Support.
last database update
01/20/2026
MGI 6.24
The Jackson Laboratory