About   Help   FAQ
Gene Expression Data
Assay Details
Assay
Reference: J:228563 Koscielny G, et al., The International Mouse Phenotyping Consortium Web Portal, a unified point of access for knockout mice and related phenotyping data. Nucleic Acids Res. 2014 Jan;42(Database issue):D802-9
Assay type: In situ reporter (knock in)
MGI Accession ID: MGI:6693223
Gene symbol: Thbd
Gene name: thrombomodulin
Reporter: lacZ
Direct Detection
Results
Specimen UC Davis_1876663: postnatal adult; Thbdtm1.1(KOMP)Vlcg/Thbd+ (more )
Structure Level Pattern Image Note
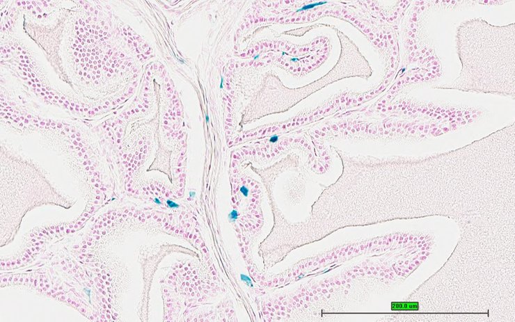
TS28: submandibular gland Present UC Davis_1876663

Specimen UC Davis_1876664: postnatal adult; Thbdtm1.1(KOMP)Vlcg/Thbd+ (more )
Structure Level Pattern Image Note
TS28: submandibular gland Present UC Davis_1876664

Specimen UC Davis_1876665: postnatal adult; Thbdtm1.1(KOMP)Vlcg/Thbd+ (more )
Structure Level Pattern Image Note
TS28: sublingual gland Present UC Davis_1876665

Specimen UC Davis_1876666: postnatal adult; Thbdtm1.1(KOMP)Vlcg/Thbd+ (more )
Structure Level Pattern Image Note
TS28: parotid gland Present UC Davis_1876666

Specimen UC Davis_1876668: postnatal adult; Thbdtm1.1(KOMP)Vlcg/Thbd+ (more )
Structure Level Pattern Image Note
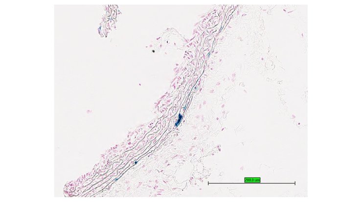
TS28: trachea Present UC Davis_1876668

Specimen UC Davis_1876669: postnatal adult; Thbdtm1.1(KOMP)Vlcg/Thbd+ (more )
Structure Level Pattern Image Note
TS28: esophagus Present UC Davis_1876669

Specimen UC Davis_1876670: postnatal adult; Thbdtm1.1(KOMP)Vlcg/Thbd+ (more )
Structure Level Pattern Image Note
TS28: esophagus Present UC Davis_1876670

Specimen UC Davis_1876671: postnatal adult; Thbdtm1.1(KOMP)Vlcg/Thbd+ (more )
Structure Level Pattern Image Note
TS28: thyroid gland Present UC Davis_1876671

Specimen UC Davis_1876672: postnatal adult; Thbdtm1.1(KOMP)Vlcg/Thbd+ (more )
Structure Level Pattern Image Note
TS28: thyroid gland Present UC Davis_1876672

Specimen UC Davis_1876673: postnatal adult; Thbdtm1.1(KOMP)Vlcg/Thbd+ (more )
Structure Level Pattern Image Note
TS28: parathyroid gland Present UC Davis_1876673

Specimen UC Davis_1876674: postnatal adult; Thbdtm1.1(KOMP)Vlcg/Thbd+ (more )
Structure Level Pattern Image Note
TS28: aorta Present UC Davis_1876674

Specimen UC Davis_1876675: postnatal adult; Thbdtm1.1(KOMP)Vlcg/Thbd+ (more )
Structure Level Pattern Image Note
TS28: lung Present UC Davis_1876675

Specimen UC Davis_1876676: postnatal adult; Thbdtm1.1(KOMP)Vlcg/Thbd+ (more )
Structure Level Pattern Image Note
TS28: lung Present UC Davis_1876676

Specimen UC Davis_1876677: postnatal adult; Thbdtm1.1(KOMP)Vlcg/Thbd+ (more )
Structure Level Pattern Image Note
TS28: thymus Present UC Davis_1876677

Specimen UC Davis_1876681: postnatal adult; Thbdtm1.1(KOMP)Vlcg/Thbd+ (more )
Structure Level Pattern Image Note
TS28: mesenteric lymph node Present UC Davis_1876681

Specimen UC Davis_1876682: postnatal adult; Thbdtm1.1(KOMP)Vlcg/Thbd+ (more )
Structure Level Pattern Image Note
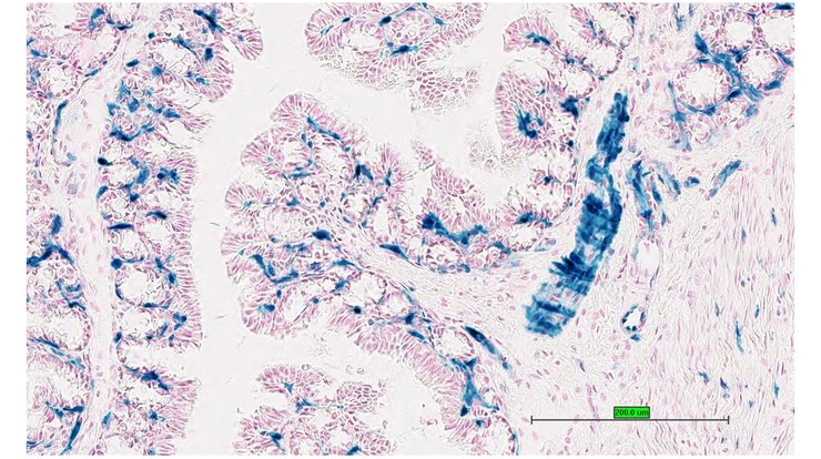
TS28: stomach Present UC Davis_1876682

Specimen UC Davis_1876683: postnatal adult; Thbdtm1.1(KOMP)Vlcg/Thbd+ (more )
Structure Level Pattern Image Note
TS28: stomach Present UC Davis_1876683

Specimen UC Davis_1876684: postnatal adult; Thbdtm1.1(KOMP)Vlcg/Thbd+ (more )
Structure Level Pattern Image Note
TS28: duodenum Present UC Davis_1876684

Specimen UC Davis_1876685: postnatal adult; Thbdtm1.1(KOMP)Vlcg/Thbd+ (more )
Structure Level Pattern Image Note
TS28: duodenum Present UC Davis_1876685

Specimen UC Davis_1876686: postnatal adult; Thbdtm1.1(KOMP)Vlcg/Thbd+ (more )
Structure Level Pattern Image Note
TS28: jejunum Present UC Davis_1876686

Specimen UC Davis_1876687: postnatal adult; Thbdtm1.1(KOMP)Vlcg/Thbd+ (more )
Structure Level Pattern Image Note
TS28: ileum Present UC Davis_1876687

Specimen UC Davis_1876688: postnatal adult; Thbdtm1.1(KOMP)Vlcg/Thbd+ (more )
Structure Level Pattern Image Note
TS28: colon Present UC Davis_1876688

Specimen UC Davis_1876689: postnatal adult; Thbdtm1.1(KOMP)Vlcg/Thbd+ (more )
Structure Level Pattern Image Note
TS28: colon Present UC Davis_1876689

Specimen UC Davis_1876690: postnatal adult; Thbdtm1.1(KOMP)Vlcg/Thbd+ (more )
Structure Level Pattern Image Note
TS28: cecum Present UC Davis_1876690

Specimen UC Davis_1876691: postnatal adult; Thbdtm1.1(KOMP)Vlcg/Thbd+ (more )
Structure Level Pattern Image Note
TS28: spleen Present UC Davis_1876691

Specimen UC Davis_1876692: postnatal adult; Thbdtm1.1(KOMP)Vlcg/Thbd+ (more )
Structure Level Pattern Image Note
TS28: spleen Present UC Davis_1876692

Specimen UC Davis_1876693: postnatal adult; Thbdtm1.1(KOMP)Vlcg/Thbd+ (more )
Structure Level Pattern Image Note
TS28: pancreas Present UC Davis_1876693

Specimen UC Davis_1876694: postnatal adult; Thbdtm1.1(KOMP)Vlcg/Thbd+ (more )
Structure Level Pattern Image Note
TS28: pancreas Present UC Davis_1876694

Specimen UC Davis_1876695: postnatal adult; Thbdtm1.1(KOMP)Vlcg/Thbd+ (more )
Structure Level Pattern Image Note
TS28: liver Present UC Davis_1876695

Specimen UC Davis_1876696: postnatal adult; Thbdtm1.1(KOMP)Vlcg/Thbd+ (more )
Structure Level Pattern Image Note
TS28: liver Present UC Davis_1876696

Specimen UC Davis_1876697: postnatal adult; Thbdtm1.1(KOMP)Vlcg/Thbd+ (more )
Structure Level Pattern Image Note
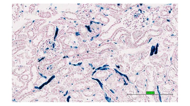
TS28: metanephros Present UC Davis_1876697 kidney

Specimen UC Davis_1876698: postnatal adult; Thbdtm1.1(KOMP)Vlcg/Thbd+ (more )
Structure Level Pattern Image Note
TS28: metanephros Present UC Davis_1876698 kidney

Specimen UC Davis_1876699: postnatal adult; Thbdtm1.1(KOMP)Vlcg/Thbd+ (more )
Structure Level Pattern Image Note
TS28: metanephros Present UC Davis_1876699 kidney

Specimen UC Davis_1876700: postnatal adult; Thbdtm1.1(KOMP)Vlcg/Thbd+ (more )
Structure Level Pattern Image Note
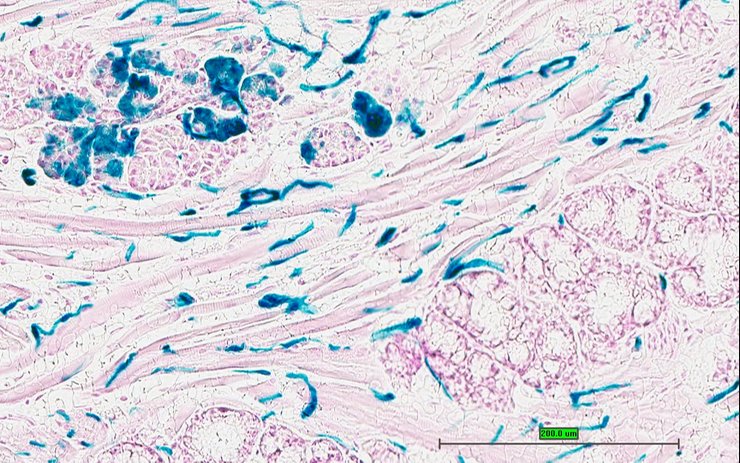
TS28: quadriceps femoris muscle Present UC Davis_1876700

Specimen UC Davis_1876701: postnatal adult; Thbdtm1.1(KOMP)Vlcg/Thbd+ (more )
Structure Level Pattern Image Note
TS28: quadriceps femoris muscle Present UC Davis_1876701

Specimen UC Davis_1876702: postnatal adult; Thbdtm1.1(KOMP)Vlcg/Thbd+ (more )
Structure Level Pattern Image Note
TS28: sciatic nerve Present UC Davis_1876702

Specimen UC Davis_1876703: postnatal adult; Thbdtm1.1(KOMP)Vlcg/Thbd+ (more )
Structure Level Pattern Image Note
TS28: tongue Present UC Davis_1876703

Specimen UC Davis_1876704: postnatal adult; Thbdtm1.1(KOMP)Vlcg/Thbd+ (more )
Structure Level Pattern Image Note
TS28: tongue Present UC Davis_1876704

Specimen UC Davis_1876705: postnatal adult; Thbdtm1.1(KOMP)Vlcg/Thbd+ (more )
Structure Level Pattern Image Note
TS28: tongue Present UC Davis_1876705

Specimen UC Davis_1876706: postnatal adult; Thbdtm1.1(KOMP)Vlcg/Thbd+ (more )
Structure Level Pattern Image Note
TS28: diaphragm Present UC Davis_1876706

Specimen UC Davis_1876707: postnatal adult; Thbdtm1.1(KOMP)Vlcg/Thbd+ (more )
Structure Level Pattern Image Note
TS28: diaphragm Present UC Davis_1876707

Specimen UC Davis_1876708: postnatal adult; Thbdtm1.1(KOMP)Vlcg/Thbd+ (more )
Structure Level Pattern Image Note
TS28: adrenal gland Present UC Davis_1876708

Specimen UC Davis_1876709: postnatal adult; Thbdtm1.1(KOMP)Vlcg/Thbd+ (more )
Structure Level Pattern Image Note
TS28: adrenal gland Present UC Davis_1876709

Specimen UC Davis_1876710: postnatal adult; Thbdtm1.1(KOMP)Vlcg/Thbd+ (more )
Structure Level Pattern Image Note
TS28: spinal cord Present UC Davis_1876710

Specimen UC Davis_1876711: postnatal adult; Thbdtm1.1(KOMP)Vlcg/Thbd+ (more )
Structure Level Pattern Image Note
TS28: eye Present UC Davis_1876711

Specimen UC Davis_1876712: postnatal adult; Thbdtm1.1(KOMP)Vlcg/Thbd+ (more )
Structure Level Pattern Image Note
TS28: eye Present UC Davis_1876712

Specimen UC Davis_1876713: postnatal adult; Thbdtm1.1(KOMP)Vlcg/Thbd+ (more )
Structure Level Pattern Image Note
TS28: eye Present UC Davis_1876713

Specimen UC Davis_1876714: postnatal adult; Thbdtm1.1(KOMP)Vlcg/Thbd+ (more )
Structure Level Pattern Image Note
TS28: Harderian gland Present UC Davis_1876714

Specimen UC Davis_1876715: postnatal adult; Thbdtm1.1(KOMP)Vlcg/Thbd+ (more )
Structure Level Pattern Image Note
TS28: skin Present UC Davis_1876715

Specimen UC Davis_1876716: postnatal adult; Thbdtm1.1(KOMP)Vlcg/Thbd+ (more )
Structure Level Pattern Image Note
TS28: skin Present UC Davis_1876716

Specimen UC Davis_1876717: postnatal adult; Thbdtm1.1(KOMP)Vlcg/Thbd+ (more )
Structure Level Pattern Image Note
TS28: brown fat Present UC Davis_1876717

Specimen UC Davis_1876718: postnatal adult; Thbdtm1.1(KOMP)Vlcg/Thbd+ (more )
Structure Level Pattern Image Note
TS28: brown fat Present UC Davis_1876718

Specimen UC Davis_1876719: postnatal adult; Thbdtm1.1(KOMP)Vlcg/Thbd+ (more )
Structure Level Pattern Image Note
TS28: olfactory lobe Present UC Davis_1876719

Specimen UC Davis_1876722: postnatal adult; Thbdtm1.1(KOMP)Vlcg/Thbd+ (more )
Structure Level Pattern Image Note
TS28: midbrain Present UC Davis_1876722

Specimen UC Davis_1876723: postnatal adult; Thbdtm1.1(KOMP)Vlcg/Thbd+ (more )
Structure Level Pattern Image Note
TS28: midbrain Present UC Davis_1876723

Specimen UC Davis_1876725: postnatal adult; Thbdtm1.1(KOMP)Vlcg/Thbd+ (more )
Structure Level Pattern Image Note
TS28: cerebellum Present UC Davis_1876725

Specimen UC Davis_1876726: postnatal adult; Thbdtm1.1(KOMP)Vlcg/Thbd+ (more )
Structure Level Pattern Image Note
TS28: trigeminal nerve Present UC Davis_1876726

Specimen UC Davis_1876727: postnatal adult; Thbdtm1.1(KOMP)Vlcg/Thbd+ (more )
Structure Level Pattern Image Note
TS28: trigeminal nerve Present UC Davis_1876727

Specimen UC Davis_1876728: postnatal adult; Thbdtm1.1(KOMP)Vlcg/Thbd+ (more )
Structure Level Pattern Image Note
TS28: ovary Present UC Davis_1876728

Specimen UC Davis_1876729: postnatal adult; Thbdtm1.1(KOMP)Vlcg/Thbd+ (more )
Structure Level Pattern Image Note
TS28: ovary Present UC Davis_1876729

Specimen UC Davis_1876730: postnatal adult; Thbdtm1.1(KOMP)Vlcg/Thbd+ (more )
Structure Level Pattern Image Note
TS28: oviduct Present UC Davis_1876730

Specimen UC Davis_1876731: postnatal adult; Thbdtm1.1(KOMP)Vlcg/Thbd+ (more )
Structure Level Pattern Image Note
TS28: oviduct Present UC Davis_1876731

Specimen UC Davis_1876732: postnatal adult; Thbdtm1.1(KOMP)Vlcg/Thbd+ (more )
Structure Level Pattern Image Note
TS28: uterus Present UC Davis_1876732

Specimen UC Davis_1876733: postnatal adult; Thbdtm1.1(KOMP)Vlcg/Thbd+ (more )
Structure Level Pattern Image Note
TS28: uterus Present UC Davis_1876733

Specimen UC Davis_1876734: postnatal adult; Thbdtm1.1(KOMP)Vlcg/Thbd+ (more )
Structure Level Pattern Image Note
TS28: bladder Present UC Davis_1876734

Specimen UC Davis_1876735: postnatal adult; Thbdtm1.1(KOMP)Vlcg/Thbd+ (more )
Structure Level Pattern Image Note
TS28: bladder Present UC Davis_1876735

Specimen UC Davis_1876736: postnatal adult; Thbdtm1.1(KOMP)Vlcg/Thbd+ (more )
Structure Level Pattern Image Note
TS28: bone marrow Present UC Davis_1876736

Specimen UC Davis_1876737: postnatal adult; Thbdtm1.1(KOMP)Vlcg/Thbd+ (more )
Structure Level Pattern Image Note
TS28: bone marrow Present UC Davis_1876737

Specimen UC Davis_1876581: postnatal adult; Thbdtm1.1(KOMP)Vlcg/Thbd+ (more )
Structure Level Pattern Image Note
TS28: submandibular gland Present UC Davis_1876581

Specimen UC Davis_1876582: postnatal adult; Thbdtm1.1(KOMP)Vlcg/Thbd+ (more )
Structure Level Pattern Image Note
TS28: submandibular gland Present UC Davis_1876582

Specimen UC Davis_1876583: postnatal adult; Thbdtm1.1(KOMP)Vlcg/Thbd+ (more )
Structure Level Pattern Image Note
TS28: sublingual gland Present UC Davis_1876583

Specimen UC Davis_1876584: postnatal adult; Thbdtm1.1(KOMP)Vlcg/Thbd+ (more )
Structure Level Pattern Image Note
TS28: parotid gland Present UC Davis_1876584

Specimen UC Davis_1876586: postnatal adult; Thbdtm1.1(KOMP)Vlcg/Thbd+ (more )
Structure Level Pattern Image Note
TS28: trachea Present UC Davis_1876586

Specimen UC Davis_1876587: postnatal adult; Thbdtm1.1(KOMP)Vlcg/Thbd+ (more )
Structure Level Pattern Image Note
TS28: trachea Present UC Davis_1876587

Specimen UC Davis_1876588: postnatal adult; Thbdtm1.1(KOMP)Vlcg/Thbd+ (more )
Structure Level Pattern Image Note
TS28: esophagus Present UC Davis_1876588

Specimen UC Davis_1876589: postnatal adult; Thbdtm1.1(KOMP)Vlcg/Thbd+ (more )
Structure Level Pattern Image Note
TS28: thyroid gland Present UC Davis_1876589

Specimen UC Davis_1876591: postnatal adult; Thbdtm1.1(KOMP)Vlcg/Thbd+ (more )
Structure Level Pattern Image Note
TS28: aorta Present UC Davis_1876591

Specimen UC Davis_1876592: postnatal adult; Thbdtm1.1(KOMP)Vlcg/Thbd+ (more )
Structure Level Pattern Image Note
TS28: lung Present UC Davis_1876592

Specimen UC Davis_1876593: postnatal adult; Thbdtm1.1(KOMP)Vlcg/Thbd+ (more )
Structure Level Pattern Image Note
TS28: lung Present UC Davis_1876593

Specimen UC Davis_1876594: postnatal adult; Thbdtm1.1(KOMP)Vlcg/Thbd+ (more )
Structure Level Pattern Image Note
TS28: lung Present UC Davis_1876594

Specimen UC Davis_1876595: postnatal adult; Thbdtm1.1(KOMP)Vlcg/Thbd+ (more )
Structure Level Pattern Image Note
TS28: thymus Present UC Davis_1876595

Specimen UC Davis_1876596: postnatal adult; Thbdtm1.1(KOMP)Vlcg/Thbd+ (more )
Structure Level Pattern Image Note
TS28: thymus Present UC Davis_1876596

Specimen UC Davis_1876597: postnatal adult; Thbdtm1.1(KOMP)Vlcg/Thbd+ (more )
Structure Level Pattern Image Note
TS28: thymus Present UC Davis_1876597

Specimen UC Davis_1876603: postnatal adult; Thbdtm1.1(KOMP)Vlcg/Thbd+ (more )
Structure Level Pattern Image Note
TS28: mesenteric lymph node Present UC Davis_1876603

Specimen UC Davis_1876604: postnatal adult; Thbdtm1.1(KOMP)Vlcg/Thbd+ (more )
Structure Level Pattern Image Note
TS28: stomach Present UC Davis_1876604

Specimen UC Davis_1876605: postnatal adult; Thbdtm1.1(KOMP)Vlcg/Thbd+ (more )
Structure Level Pattern Image Note
TS28: stomach Present UC Davis_1876605

Specimen UC Davis_1876606: postnatal adult; Thbdtm1.1(KOMP)Vlcg/Thbd+ (more )
Structure Level Pattern Image Note
TS28: stomach Present UC Davis_1876606

Specimen UC Davis_1876607: postnatal adult; Thbdtm1.1(KOMP)Vlcg/Thbd+ (more )
Structure Level Pattern Image Note
TS28: stomach Present UC Davis_1876607

Specimen UC Davis_1876608: postnatal adult; Thbdtm1.1(KOMP)Vlcg/Thbd+ (more )
Structure Level Pattern Image Note
TS28: duodenum Present UC Davis_1876608

Specimen UC Davis_1876609: postnatal adult; Thbdtm1.1(KOMP)Vlcg/Thbd+ (more )
Structure Level Pattern Image Note
TS28: ileum Present UC Davis_1876609

Specimen UC Davis_1876610: postnatal adult; Thbdtm1.1(KOMP)Vlcg/Thbd+ (more )
Structure Level Pattern Image Note
TS28: colon Present UC Davis_1876610

Specimen UC Davis_1876611: postnatal adult; Thbdtm1.1(KOMP)Vlcg/Thbd+ (more )
Structure Level Pattern Image Note
TS28: colon Present UC Davis_1876611

Specimen UC Davis_1876612: postnatal adult; Thbdtm1.1(KOMP)Vlcg/Thbd+ (more )
Structure Level Pattern Image Note
TS28: cecum Present UC Davis_1876612

Specimen UC Davis_1876613: postnatal adult; Thbdtm1.1(KOMP)Vlcg/Thbd+ (more )
Structure Level Pattern Image Note
TS28: spleen Present UC Davis_1876613

Specimen UC Davis_1876614: postnatal adult; Thbdtm1.1(KOMP)Vlcg/Thbd+ (more )
Structure Level Pattern Image Note
TS28: spleen Present UC Davis_1876614

Specimen UC Davis_1876615: postnatal adult; Thbdtm1.1(KOMP)Vlcg/Thbd+ (more )
Structure Level Pattern Image Note
TS28: pancreas Present UC Davis_1876615

Specimen UC Davis_1876616: postnatal adult; Thbdtm1.1(KOMP)Vlcg/Thbd+ (more )
Structure Level Pattern Image Note
TS28: pancreas Present UC Davis_1876616

Specimen UC Davis_1876617: postnatal adult; Thbdtm1.1(KOMP)Vlcg/Thbd+ (more )
Structure Level Pattern Image Note
TS28: liver Present UC Davis_1876617

Specimen UC Davis_1876618: postnatal adult; Thbdtm1.1(KOMP)Vlcg/Thbd+ (more )
Structure Level Pattern Image Note
TS28: liver Present UC Davis_1876618

Specimen UC Davis_1876619: postnatal adult; Thbdtm1.1(KOMP)Vlcg/Thbd+ (more )
Structure Level Pattern Image Note
TS28: liver Present UC Davis_1876619

Specimen UC Davis_1876620: postnatal adult; Thbdtm1.1(KOMP)Vlcg/Thbd+ (more )
Structure Level Pattern Image Note
TS28: metanephros Present UC Davis_1876620 kidney

Specimen UC Davis_1876621: postnatal adult; Thbdtm1.1(KOMP)Vlcg/Thbd+ (more )
Structure Level Pattern Image Note
TS28: metanephros Present UC Davis_1876621 kidney

Specimen UC Davis_1876622: postnatal adult; Thbdtm1.1(KOMP)Vlcg/Thbd+ (more )
Structure Level Pattern Image Note
TS28: metanephros Present UC Davis_1876622 kidney

Specimen UC Davis_1876623: postnatal adult; Thbdtm1.1(KOMP)Vlcg/Thbd+ (more )
Structure Level Pattern Image Note
TS28: quadriceps femoris muscle Present UC Davis_1876623

Specimen UC Davis_1876624: postnatal adult; Thbdtm1.1(KOMP)Vlcg/Thbd+ (more )
Structure Level Pattern Image Note
TS28: quadriceps femoris muscle Present UC Davis_1876624

Specimen UC Davis_1876625: postnatal adult; Thbdtm1.1(KOMP)Vlcg/Thbd+ (more )
Structure Level Pattern Image Note
TS28: sciatic nerve Present UC Davis_1876625

Specimen UC Davis_1876626: postnatal adult; Thbdtm1.1(KOMP)Vlcg/Thbd+ (more )
Structure Level Pattern Image Note
TS28: tongue Present UC Davis_1876626

Specimen UC Davis_1876627: postnatal adult; Thbdtm1.1(KOMP)Vlcg/Thbd+ (more )
Structure Level Pattern Image Note
TS28: tongue Present UC Davis_1876627

Specimen UC Davis_1876628: postnatal adult; Thbdtm1.1(KOMP)Vlcg/Thbd+ (more )
Structure Level Pattern Image Note
TS28: tongue Present UC Davis_1876628

Specimen UC Davis_1876629: postnatal adult; Thbdtm1.1(KOMP)Vlcg/Thbd+ (more )
Structure Level Pattern Image Note
TS28: diaphragm Present UC Davis_1876629

Specimen UC Davis_1876630: postnatal adult; Thbdtm1.1(KOMP)Vlcg/Thbd+ (more )
Structure Level Pattern Image Note
TS28: spinal cord Present UC Davis_1876630

Specimen UC Davis_1876631: postnatal adult; Thbdtm1.1(KOMP)Vlcg/Thbd+ (more )
Structure Level Pattern Image Note
TS28: spinal cord Present UC Davis_1876631

Specimen UC Davis_1876632: postnatal adult; Thbdtm1.1(KOMP)Vlcg/Thbd+ (more )
Structure Level Pattern Image Note
TS28: spinal cord Present UC Davis_1876632

Specimen UC Davis_1876633: postnatal adult; Thbdtm1.1(KOMP)Vlcg/Thbd+ (more )
Structure Level Pattern Image Note
TS28: eye Present UC Davis_1876633

Specimen UC Davis_1876634: postnatal adult; Thbdtm1.1(KOMP)Vlcg/Thbd+ (more )
Structure Level Pattern Image Note
TS28: eye Present UC Davis_1876634

Specimen UC Davis_1876635: postnatal adult; Thbdtm1.1(KOMP)Vlcg/Thbd+ (more )
Structure Level Pattern Image Note
TS28: Harderian gland Present UC Davis_1876635

Specimen UC Davis_1876636: postnatal adult; Thbdtm1.1(KOMP)Vlcg/Thbd+ (more )
Structure Level Pattern Image Note
TS28: Harderian gland Present UC Davis_1876636

Specimen UC Davis_1876637: postnatal adult; Thbdtm1.1(KOMP)Vlcg/Thbd+ (more )
Structure Level Pattern Image Note
TS28: skin Present UC Davis_1876637

Specimen UC Davis_1876638: postnatal adult; Thbdtm1.1(KOMP)Vlcg/Thbd+ (more )
Structure Level Pattern Image Note
TS28: skin Present UC Davis_1876638

Specimen UC Davis_1876639: postnatal adult; Thbdtm1.1(KOMP)Vlcg/Thbd+ (more )
Structure Level Pattern Image Note
TS28: brown fat Present UC Davis_1876639

Specimen UC Davis_1876640: postnatal adult; Thbdtm1.1(KOMP)Vlcg/Thbd+ (more )
Structure Level Pattern Image Note
TS28: brown fat Present UC Davis_1876640

Specimen UC Davis_1876641: postnatal adult; Thbdtm1.1(KOMP)Vlcg/Thbd+ (more )
Structure Level Pattern Image Note
TS28: brown fat Present UC Davis_1876641

Specimen UC Davis_1876645: postnatal adult; Thbdtm1.1(KOMP)Vlcg/Thbd+ (more )
Structure Level Pattern Image Note
TS28: midbrain Present UC Davis_1876645

Specimen UC Davis_1876647: postnatal adult; Thbdtm1.1(KOMP)Vlcg/Thbd+ (more )
Structure Level Pattern Image Note
TS28: trigeminal nerve Present UC Davis_1876647

Specimen UC Davis_1876648: postnatal adult; Thbdtm1.1(KOMP)Vlcg/Thbd+ (more )
Structure Level Pattern Image Note
TS28: trigeminal nerve Present UC Davis_1876648

Specimen UC Davis_1876649: postnatal adult; Thbdtm1.1(KOMP)Vlcg/Thbd+ (more )
Structure Level Pattern Image Note
TS28: bladder Present UC Davis_1876649

Specimen UC Davis_1876650: postnatal adult; Thbdtm1.1(KOMP)Vlcg/Thbd+ (more )
Structure Level Pattern Image Note
TS28: bladder Present UC Davis_1876650

Specimen UC Davis_1876651: postnatal adult; Thbdtm1.1(KOMP)Vlcg/Thbd+ (more )
Structure Level Pattern Image Note
TS28: testis Present UC Davis_1876651

Specimen UC Davis_1876652: postnatal adult; Thbdtm1.1(KOMP)Vlcg/Thbd+ (more )
Structure Level Pattern Image Note
TS28: testis Present UC Davis_1876652

Specimen UC Davis_1876653: postnatal adult; Thbdtm1.1(KOMP)Vlcg/Thbd+ (more )
Structure Level Pattern Image Note
TS28: prostate gland Present UC Davis_1876653

Specimen UC Davis_1876654: postnatal adult; Thbdtm1.1(KOMP)Vlcg/Thbd+ (more )
Structure Level Pattern Image Note
TS28: penis Present UC Davis_1876654

Specimen UC Davis_1876655: postnatal adult; Thbdtm1.1(KOMP)Vlcg/Thbd+ (more )
Structure Level Pattern Image Note
TS28: penis Present UC Davis_1876655

Specimen UC Davis_1876656: postnatal adult; Thbdtm1.1(KOMP)Vlcg/Thbd+ (more )
Structure Level Pattern Image Note
TS28: bone marrow Present UC Davis_1876656

Specimen UC Davis_1876657: postnatal adult; Thbdtm1.1(KOMP)Vlcg/Thbd+ (more )
Structure Level Pattern Image Note
TS28: bone marrow Present UC Davis_1876657

Specimen UC Davis_1876658: postnatal adult; Thbdtm1.1(KOMP)Vlcg/Thbd+ (more )
Structure Level Pattern Image Note
TS28: ductus deferens Present UC Davis_1876658 vas deferens

Specimen UC Davis_1876661: postnatal adult; Thbdtm1.1(KOMP)Vlcg/Thbd+ (more )
Structure Level Pattern Image Note
TS28: seminal vesicle Present UC Davis_1876661 vesicular gland

Specimen UC Davis_1876662: postnatal adult; Thbdtm1.1(KOMP)Vlcg/Thbd+ (more )
Structure Level Pattern Image Note
TS28: seminal vesicle Present UC Davis_1876662 vesicular gland


Contributing Projects:
Mouse Genome Database (MGD), Gene Expression Database (GXD), Mouse Models of Human Cancer database (MMHCdb) (formerly Mouse Tumor Biology (MTB)), Gene Ontology (GO)
Citing These Resources
Funding Information
Warranty Disclaimer, Privacy Notice, Licensing, & Copyright
Send questions and comments to User Support.
last database update
03/24/2026
MGI 6.24
The Jackson Laboratory