About   Help   FAQ
Gene Expression Data
Assay Details
Assay
Reference: J:228563 Koscielny G, et al., The International Mouse Phenotyping Consortium Web Portal, a unified point of access for knockout mice and related phenotyping data. Nucleic Acids Res. 2014 Jan;42(Database issue):D802-9
Assay type: In situ reporter (knock in)
MGI Accession ID: MGI:6693203
Gene symbol: Reg2
Gene name: regenerating islet-derived 2
Reporter: lacZ
Direct Detection
Results
Specimen UC Davis_1850973: postnatal adult; Reg2tm1.1(KOMP)Vlcg/Reg2+ (more )
Structure Level Pattern Image Note
TS28: esophagus Present UC Davis_1850973

Specimen UC Davis_1850974: postnatal adult; Reg2tm1.1(KOMP)Vlcg/Reg2+ (more )
Structure Level Pattern Image Note
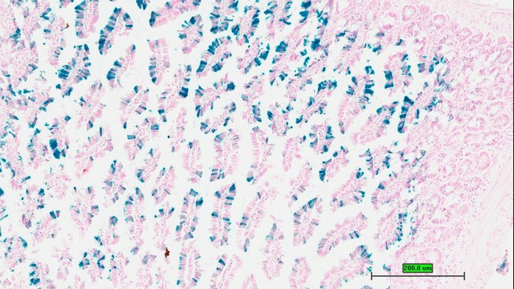
TS28: ileum Present UC Davis_1850974

Specimen UC Davis_1850975: postnatal adult; Reg2tm1.1(KOMP)Vlcg/Reg2+ (more )
Structure Level Pattern Image Note
TS28: ileum Present UC Davis_1850975

Specimen UC Davis_1850976: postnatal adult; Reg2tm1.1(KOMP)Vlcg/Reg2+ (more )
Structure Level Pattern Image Note
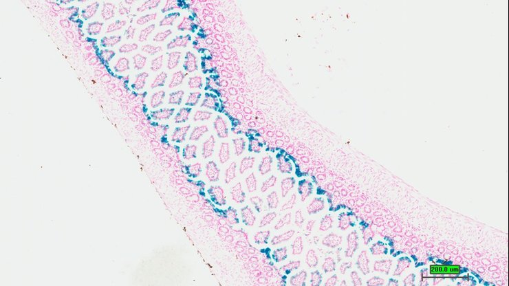
TS28: colon Present UC Davis_1850976

Specimen UC Davis_1850999: postnatal adult; Reg2tm1.1(KOMP)Vlcg/Reg2+ (more )
Structure Level Pattern Image Note
TS28: duodenum Present UC Davis_1850999

Specimen UC Davis_1851000: postnatal adult; Reg2tm1.1(KOMP)Vlcg/Reg2+ (more )
Structure Level Pattern Image Note
TS28: ileum Present UC Davis_1851000

Specimen UC Davis_1851001: postnatal adult; Reg2tm1.1(KOMP)Vlcg/Reg2+ (more )
Structure Level Pattern Image Note
TS28: ileum Present UC Davis_1851001

Specimen UC Davis_1851002: postnatal adult; Reg2tm1.1(KOMP)Vlcg/Reg2+ (more )
Structure Level Pattern Image Note
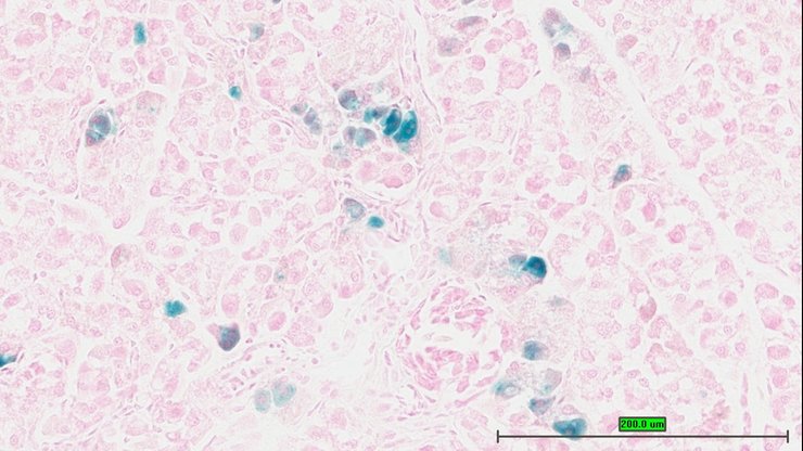
TS28: pancreas Present UC Davis_1851002

Specimen UC Davis_1851003: postnatal adult; Reg2tm1.1(KOMP)Vlcg/Reg2+ (more )
Structure Level Pattern Image Note
TS28: pancreas Present UC Davis_1851003

Specimen UC Davis_1851004: postnatal adult; Reg2tm1.1(KOMP)Vlcg/Reg2+ (more )
Structure Level Pattern Image Note
TS28: pancreas Present UC Davis_1851004

Specimen UC Davis_1851005: postnatal adult; Reg2tm1.1(KOMP)Vlcg/Reg2+ (more )
Structure Level Pattern Image Note
TS28: pancreas Present UC Davis_1851005

Specimen UC Davis_1851006: postnatal adult; Reg2tm1.1(KOMP)Vlcg/Reg2+ (more )
Structure Level Pattern Image Note
TS28: pancreas Present UC Davis_1851006

Specimen UC Davis_1850977: postnatal adult; Reg2tm1.1(KOMP)Vlcg/Reg2+ (more )
Structure Level Pattern Image Note
TS28: jejunum Present UC Davis_1850977

Specimen UC Davis_1850978: postnatal adult; Reg2tm1.1(KOMP)Vlcg/Reg2+ (more )
Structure Level Pattern Image Note
TS28: jejunum Present UC Davis_1850978

Specimen UC Davis_1850979: postnatal adult; Reg2tm1.1(KOMP)Vlcg/Reg2+ (more )
Structure Level Pattern Image Note
TS28: jejunum Present UC Davis_1850979

Specimen UC Davis_1850980: postnatal adult; Reg2tm1.1(KOMP)Vlcg/Reg2+ (more )
Structure Level Pattern Image Note
TS28: jejunum Present UC Davis_1850980

Specimen UC Davis_1850981: postnatal adult; Reg2tm1.1(KOMP)Vlcg/Reg2+ (more )
Structure Level Pattern Image Note
TS28: jejunum Present UC Davis_1850981

Specimen UC Davis_1850982: postnatal adult; Reg2tm1.1(KOMP)Vlcg/Reg2+ (more )
Structure Level Pattern Image Note
TS28: jejunum Present UC Davis_1850982

Specimen UC Davis_1850983: postnatal adult; Reg2tm1.1(KOMP)Vlcg/Reg2+ (more )
Structure Level Pattern Image Note
TS28: ileum Present UC Davis_1850983

Specimen UC Davis_1850984: postnatal adult; Reg2tm1.1(KOMP)Vlcg/Reg2+ (more )
Structure Level Pattern Image Note
TS28: ileum Present UC Davis_1850984

Specimen UC Davis_1850985: postnatal adult; Reg2tm1.1(KOMP)Vlcg/Reg2+ (more )
Structure Level Pattern Image Note
TS28: ileum Present UC Davis_1850985

Specimen UC Davis_1850986: postnatal adult; Reg2tm1.1(KOMP)Vlcg/Reg2+ (more )
Structure Level Pattern Image Note
TS28: ileum Present UC Davis_1850986

Specimen UC Davis_1850987: postnatal adult; Reg2tm1.1(KOMP)Vlcg/Reg2+ (more )
Structure Level Pattern Image Note
TS28: colon Present UC Davis_1850987

Specimen UC Davis_1850988: postnatal adult; Reg2tm1.1(KOMP)Vlcg/Reg2+ (more )
Structure Level Pattern Image Note
TS28: colon Present UC Davis_1850988

Specimen UC Davis_1850989: postnatal adult; Reg2tm1.1(KOMP)Vlcg/Reg2+ (more )
Structure Level Pattern Image Note
TS28: cecum Present UC Davis_1850989

Specimen UC Davis_1850990: postnatal adult; Reg2tm1.1(KOMP)Vlcg/Reg2+ (more )
Structure Level Pattern Image Note
TS28: pancreas Present UC Davis_1850990

Specimen UC Davis_1850991: postnatal adult; Reg2tm1.1(KOMP)Vlcg/Reg2+ (more )
Structure Level Pattern Image Note
TS28: pancreas Present UC Davis_1850991

Specimen UC Davis_1850992: postnatal adult; Reg2tm1.1(KOMP)Vlcg/Reg2+ (more )
Structure Level Pattern Image Note
TS28: pancreas Present UC Davis_1850992

Specimen UC Davis_1850993: postnatal adult; Reg2tm1.1(KOMP)Vlcg/Reg2+ (more )
Structure Level Pattern Image Note
TS28: epididymis Present UC Davis_1850993

Specimen UC Davis_1850994: postnatal adult; Reg2tm1.1(KOMP)Vlcg/Reg2+ (more )
Structure Level Pattern Image Note
TS28: epididymis Present UC Davis_1850994

Specimen UC Davis_1850995: postnatal adult; Reg2tm1.1(KOMP)Vlcg/Reg2+ (more )
Structure Level Pattern Image Note
TS28: epididymis Present UC Davis_1850995

Specimen UC Davis_1850996: postnatal adult; Reg2tm1.1(KOMP)Vlcg/Reg2+ (more )
Structure Level Pattern Image Note
TS28: ductus deferens Present UC Davis_1850996 vas deferens

Specimen UC Davis_1850997: postnatal adult; Reg2tm1.1(KOMP)Vlcg/Reg2+ (more )
Structure Level Pattern Image Note
TS28: ductus deferens Present UC Davis_1850997 vas deferens

Specimen UC Davis_1850998: postnatal adult; Reg2tm1.1(KOMP)Vlcg/Reg2+ (more )
Structure Level Pattern Image Note
TS28: ductus deferens Present UC Davis_1850998 vas deferens

Specimen UC Davis_1851007: postnatal adult; Reg2tm1.1(KOMP)Vlcg/Reg2+ (more )
Structure Level Pattern Image Note
TS28: esophagus Present UC Davis_1851007

Specimen UC Davis_1851008: postnatal adult; Reg2tm1.1(KOMP)Vlcg/Reg2+ (more )
Structure Level Pattern Image Note
TS28: esophagus Present UC Davis_1851008

Specimen UC Davis_1851009: postnatal adult; Reg2tm1.1(KOMP)Vlcg/Reg2+ (more )
Structure Level Pattern Image Note
TS28: esophagus Present UC Davis_1851009

Specimen UC Davis_1851010: postnatal adult; Reg2tm1.1(KOMP)Vlcg/Reg2+ (more )
Structure Level Pattern Image Note
TS28: esophagus Present UC Davis_1851010

Specimen UC Davis_1851011: postnatal adult; Reg2tm1.1(KOMP)Vlcg/Reg2+ (more )
Structure Level Pattern Image Note
TS28: esophagus Present UC Davis_1851011

Specimen UC Davis_1851012: postnatal adult; Reg2tm1.1(KOMP)Vlcg/Reg2+ (more )
Structure Level Pattern Image Note
TS28: esophagus Present UC Davis_1851012

Specimen UC Davis_1851013: postnatal adult; Reg2tm1.1(KOMP)Vlcg/Reg2+ (more )
Structure Level Pattern Image Note
TS28: ileum Present UC Davis_1851013

Specimen UC Davis_1851014: postnatal adult; Reg2tm1.1(KOMP)Vlcg/Reg2+ (more )
Structure Level Pattern Image Note
TS28: ileum Present UC Davis_1851014

Specimen UC Davis_1851015: postnatal adult; Reg2tm1.1(KOMP)Vlcg/Reg2+ (more )
Structure Level Pattern Image Note
TS28: ileum Present UC Davis_1851015

Specimen UC Davis_1851016: postnatal adult; Reg2tm1.1(KOMP)Vlcg/Reg2+ (more )
Structure Level Pattern Image Note
TS28: ileum Present UC Davis_1851016

Specimen UC Davis_1851017: postnatal adult; Reg2tm1.1(KOMP)Vlcg/Reg2+ (more )
Structure Level Pattern Image Note
TS28: ileum Present UC Davis_1851017

Specimen UC Davis_1851018: postnatal adult; Reg2tm1.1(KOMP)Vlcg/Reg2+ (more )
Structure Level Pattern Image Note
TS28: ileum Present UC Davis_1851018

Specimen UC Davis_1851019: postnatal adult; Reg2tm1.1(KOMP)Vlcg/Reg2+ (more )
Structure Level Pattern Image Note
TS28: ileum Present UC Davis_1851019

Specimen UC Davis_1851020: postnatal adult; Reg2tm1.1(KOMP)Vlcg/Reg2+ (more )
Structure Level Pattern Image Note
TS28: ileum Present UC Davis_1851020

Specimen UC Davis_1851021: postnatal adult; Reg2tm1.1(KOMP)Vlcg/Reg2+ (more )
Structure Level Pattern Image Note
TS28: pancreas Present UC Davis_1851021

Specimen UC Davis_1851022: postnatal adult; Reg2tm1.1(KOMP)Vlcg/Reg2+ (more )
Structure Level Pattern Image Note
TS28: pancreas Present UC Davis_1851022

Specimen UC Davis_1851023: postnatal adult; Reg2tm1.1(KOMP)Vlcg/Reg2+ (more )
Structure Level Pattern Image Note
TS28: pancreas Present UC Davis_1851023

Specimen UC Davis_1851024: postnatal adult; Reg2tm1.1(KOMP)Vlcg/Reg2+ (more )
Structure Level Pattern Image Note
TS28: pancreas Present UC Davis_1851024

Specimen UC Davis_1851025: postnatal adult; Reg2tm1.1(KOMP)Vlcg/Reg2+ (more )
Structure Level Pattern Image Note
TS28: pancreas Present UC Davis_1851025

Specimen UC Davis_1851026: postnatal adult; Reg2tm1.1(KOMP)Vlcg/Reg2+ (more )
Structure Level Pattern Image Note
TS28: pancreas Present UC Davis_1851026

Specimen UC Davis_1851027: postnatal adult; Reg2tm1.1(KOMP)Vlcg/Reg2+ (more )
Structure Level Pattern Image Note
TS28: epididymis Present UC Davis_1851027

Specimen UC Davis_1851028: postnatal adult; Reg2tm1.1(KOMP)Vlcg/Reg2+ (more )
Structure Level Pattern Image Note
TS28: epididymis Present UC Davis_1851028

Specimen UC Davis_1851029: postnatal adult; Reg2tm1.1(KOMP)Vlcg/Reg2+ (more )
Structure Level Pattern Image Note
TS28: epididymis Present UC Davis_1851029

Specimen UC Davis_1851030: postnatal adult; Reg2tm1.1(KOMP)Vlcg/Reg2+ (more )
Structure Level Pattern Image Note
TS28: epididymis Present UC Davis_1851030

Specimen UC Davis_1851031: postnatal adult; Reg2tm1.1(KOMP)Vlcg/Reg2+ (more )
Structure Level Pattern Image Note
TS28: epididymis Present UC Davis_1851031

Specimen UC Davis_1851032: postnatal adult; Reg2tm1.1(KOMP)Vlcg/Reg2+ (more )
Structure Level Pattern Image Note
TS28: epididymis Present UC Davis_1851032

Specimen UC Davis_1851033: postnatal adult; Reg2tm1.1(KOMP)Vlcg/Reg2+ (more )
Structure Level Pattern Image Note
TS28: ductus deferens Present UC Davis_1851033 vas deferens

Specimen UC Davis_1851034: postnatal adult; Reg2tm1.1(KOMP)Vlcg/Reg2+ (more )
Structure Level Pattern Image Note
TS28: ductus deferens Present UC Davis_1851034 vas deferens

Specimen UC Davis_1851035: postnatal adult; Reg2tm1.1(KOMP)Vlcg/Reg2+ (more )
Structure Level Pattern Image Note
TS28: ductus deferens Present UC Davis_1851035 vas deferens

Specimen UC Davis_1851036: postnatal adult; Reg2tm1.1(KOMP)Vlcg/Reg2+ (more )
Structure Level Pattern Image Note
TS28: ductus deferens Present UC Davis_1851036 vas deferens

Specimen UC Davis_1851037: postnatal adult; Reg2tm1.1(KOMP)Vlcg/Reg2+ (more )
Structure Level Pattern Image Note
TS28: ductus deferens Present UC Davis_1851037 vas deferens

Specimen UC Davis_1851038: postnatal adult; Reg2tm1.1(KOMP)Vlcg/Reg2+ (more )
Structure Level Pattern Image Note
TS28: ductus deferens Present UC Davis_1851038 vas deferens

Specimen UC Davis_1851044: postnatal adult; Reg2tm1.1(KOMP)Vlcg/Reg2+ (more )
Structure Level Pattern Image Note
TS28: pancreas Present UC Davis_1851044

Specimen UC Davis_1851045: postnatal adult; Reg2tm1.1(KOMP)Vlcg/Reg2+ (more )
Structure Level Pattern Image Note
TS28: duodenum Present UC Davis_1851045

Specimen UC Davis_1851046: postnatal adult; Reg2tm1.1(KOMP)Vlcg/Reg2+ (more )
Structure Level Pattern Image Note
TS28: jejunum Present UC Davis_1851046

Specimen UC Davis_1851047: postnatal adult; Reg2tm1.1(KOMP)Vlcg/Reg2+ (more )
Structure Level Pattern Image Note
TS28: ileum Present UC Davis_1851047

Specimen UC Davis_1851048: postnatal adult; Reg2tm1.1(KOMP)Vlcg/Reg2+ (more )
Structure Level Pattern Image Note
TS28: cecum Present UC Davis_1851048

Specimen UC Davis_1851049: postnatal adult; Reg2tm1.1(KOMP)Vlcg/Reg2+ (more )
Structure Level Pattern Image Note
TS28: colon Present UC Davis_1851049

Specimen UC Davis_1851050: postnatal adult; Reg2tm1.1(KOMP)Vlcg/Reg2+ (more )
Structure Level Pattern Image Note
TS28: mesenteric lymph node Present UC Davis_1851050

Specimen UC Davis_1851051: postnatal adult; Reg2tm1.1(KOMP)Vlcg/Reg2+ (more )
Structure Level Pattern Image Note
TS28: mesenteric adipose tissue Present UC Davis_1851051

Specimen UC Davis_1851039: postnatal adult; Reg2tm1.1(KOMP)Vlcg/Reg2tm1.1(KOMP)Vlcg (more )
Structure Level Pattern Image Note
TS28: pancreas Present UC Davis_1851039

Specimen UC Davis_1851040: postnatal adult; Reg2tm1.1(KOMP)Vlcg/Reg2tm1.1(KOMP)Vlcg (more )
Structure Level Pattern Image Note
TS28: duodenum Present UC Davis_1851040

Specimen UC Davis_1851041: postnatal adult; Reg2tm1.1(KOMP)Vlcg/Reg2tm1.1(KOMP)Vlcg (more )
Structure Level Pattern Image Note
TS28: jejunum Present UC Davis_1851041

Specimen UC Davis_1851042: postnatal adult; Reg2tm1.1(KOMP)Vlcg/Reg2tm1.1(KOMP)Vlcg (more )
Structure Level Pattern Image Note
TS28: ileum Present UC Davis_1851042

Specimen UC Davis_1851043: postnatal adult; Reg2tm1.1(KOMP)Vlcg/Reg2tm1.1(KOMP)Vlcg (more )
Structure Level Pattern Image Note
TS28: mesenteric adipose tissue Present UC Davis_1851043


Contributing Projects:
Mouse Genome Database (MGD), Gene Expression Database (GXD), Mouse Models of Human Cancer database (MMHCdb) (formerly Mouse Tumor Biology (MTB)), Gene Ontology (GO)
Citing These Resources
Funding Information
Warranty Disclaimer, Privacy Notice, Licensing, & Copyright
Send questions and comments to User Support.
last database update
01/06/2026
MGI 6.24
The Jackson Laboratory