About   Help   FAQ
Gene Expression Data
Assay Details
Assay
Reference: J:228563 Koscielny G, et al., The International Mouse Phenotyping Consortium Web Portal, a unified point of access for knockout mice and related phenotyping data. Nucleic Acids Res. 2014 Jan;42(Database issue):D802-9
Assay type: In situ reporter (knock in)
MGI Accession ID: MGI:6693201
Gene symbol: Rdx
Gene name: radixin
Reporter: lacZ
Direct Detection
Results
Specimen JAX_1469480: embryonic day 12.5; Rdxtm1.1(KOMP)Vlcg/Rdx+ (more )
Structure Level Pattern Image Note
TS20: embryo Present JAX_1469480

Specimen JAX_1469481: embryonic day 12.5; Rdxtm1.1(KOMP)Vlcg/Rdx+ (more )
Structure Level Pattern Image Note
TS20: embryo Present JAX_1469481

Specimen JAX_1469482: embryonic day 12.5; Rdxtm1.1(KOMP)Vlcg/Rdx+ (more )
Structure Level Pattern Image Note
TS20: embryo Present JAX_1469482

Specimen JAX_1469483: embryonic day 12.5; Rdxtm1.1(KOMP)Vlcg/Rdx+ (more )
Structure Level Pattern Image Note
TS20: embryo Present JAX_1469483

Specimen JAX_900379: embryonic day 12.5; Rdxtm1.1(KOMP)Vlcg/Rdx+ (more )
Structure Level Pattern Image Note
TS20: embryo Present JAX_900379

Specimen JAX_900381: embryonic day 12.5; Rdxtm1.1(KOMP)Vlcg/Rdx+ (more )
Structure Level Pattern Image Note
TS20: embryo Present JAX_900381

Specimen JAX_900383: embryonic day 12.5; Rdxtm1.1(KOMP)Vlcg/Rdx+ (more )
Structure Level Pattern Image Note
TS20: embryo Present JAX_900383

Specimen JAX_900385: embryonic day 12.5; Rdxtm1.1(KOMP)Vlcg/Rdx+ (more )
Structure Level Pattern Image Note
TS20: embryo Present JAX_900385

Specimen JAX_1798662: postnatal adult; Rdxtm1.1(KOMP)Vlcg/Rdx+ (more )
Structure Level Pattern Image Note
TS28: uterus Present JAX_1798662

Specimen JAX_1798663: postnatal adult; Rdxtm1.1(KOMP)Vlcg/Rdx+ (more )
Structure Level Pattern Image Note
TS28: oviduct Present JAX_1798663

Specimen JAX_1798664: postnatal adult; Rdxtm1.1(KOMP)Vlcg/Rdx+ (more )
Structure Level Pattern Image Note
TS28: ovary Present JAX_1798664

Specimen JAX_1798665: postnatal adult; Rdxtm1.1(KOMP)Vlcg/Rdx+ (more )
Structure Level Pattern Image Note
TS28: thalamus Present JAX_1798665

Specimen JAX_1798666: postnatal adult; Rdxtm1.1(KOMP)Vlcg/Rdx+ (more )
Structure Level Pattern Image Note
TS28: midbrain Present JAX_1798666

Specimen JAX_1798667: postnatal adult; Rdxtm1.1(KOMP)Vlcg/Rdx+ (more )
Structure Level Pattern Image Note
TS28: vascular system Present JAX_1798667

Specimen JAX_1798668: postnatal adult; Rdxtm1.1(KOMP)Vlcg/Rdx+ (more )
Structure Level Pattern Image Note
TS28: epididymis Present JAX_1798668

Specimen JAX_1798669: postnatal adult; Rdxtm1.1(KOMP)Vlcg/Rdx+ (more )
Structure Level Pattern Image Note
TS28: submandibular gland Present JAX_1798669

Specimen JAX_1798670: postnatal adult; Rdxtm1.1(KOMP)Vlcg/Rdx+ (more )
Structure Level Pattern Image Note
TS28: brown fat Present JAX_1798670

Specimen JAX_1798671: postnatal adult; Rdxtm1.1(KOMP)Vlcg/Rdx+ (more )
Structure Level Pattern Image Note
TS28: bone marrow Present JAX_1798671

Specimen JAX_1798672: postnatal adult; Rdxtm1.1(KOMP)Vlcg/Rdx+ (more )
Structure Level Pattern Image Note
TS28: bladder Present JAX_1798672

Specimen JAX_1798673: postnatal adult; Rdxtm1.1(KOMP)Vlcg/Rdx+ (more )
Structure Level Pattern Image Note
TS28: corpus striatum Present JAX_1798673

Specimen JAX_1798674: postnatal adult; Rdxtm1.1(KOMP)Vlcg/Rdx+ (more )
Structure Level Pattern Image Note
TS28: Peyer's patch Present JAX_1798674

Specimen JAX_1798675: postnatal adult; Rdxtm1.1(KOMP)Vlcg/Rdx+ (more )
Structure Level Pattern Image Note
TS28: peripheral nervous system Present JAX_1798675

Specimen JAX_1798676: postnatal adult; Rdxtm1.1(KOMP)Vlcg/Rdx+ (more )
Structure Level Pattern Image Note
TS28: olfactory lobe Present JAX_1798676

Specimen JAX_1798677: postnatal adult; Rdxtm1.1(KOMP)Vlcg/Rdx+ (more )
Structure Level Pattern Image Note
TS28: hypothalamus Present JAX_1798677

Specimen JAX_1798678: postnatal adult; Rdxtm1.1(KOMP)Vlcg/Rdx+ (more )
Structure Level Pattern Image Note
TS28: hippocampus Present JAX_1798678

Specimen JAX_1798679: postnatal adult; Rdxtm1.1(KOMP)Vlcg/Rdx+ (more )
Structure Level Pattern Image Note
TS28: cerebellum Present JAX_1798679

Specimen JAX_1798680: postnatal adult; Rdxtm1.1(KOMP)Vlcg/Rdx+ (more )
Structure Level Pattern Image Note
TS28: cerebral cortex Present JAX_1798680

Specimen JAX_1798681: postnatal adult; Rdxtm1.1(KOMP)Vlcg/Rdx+ (more )
Structure Level Pattern Image Note
TS28: cartilage Present JAX_1798681

Specimen JAX_1798682: postnatal adult; Rdxtm1.1(KOMP)Vlcg/Rdx+ (more )
Structure Level Pattern Image Note
TS28: brainstem Present JAX_1798682

Specimen JAX_1798683: postnatal adult; Rdxtm1.1(KOMP)Vlcg/Rdx+ (more )
Structure Level Pattern Image Note
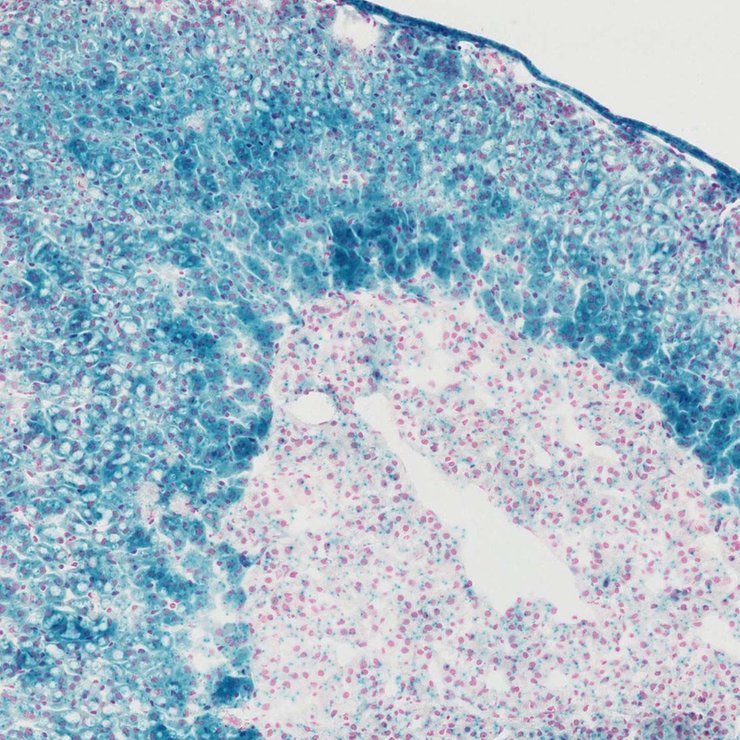
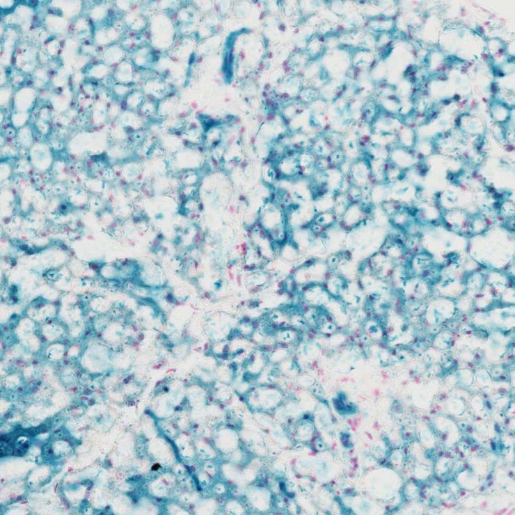
TS28: spleen Present JAX_1798683

Specimen JAX_1798684: postnatal adult; Rdxtm1.1(KOMP)Vlcg/Rdx+ (more )
Structure Level Pattern Image Note
TS28: pancreas Present JAX_1798684

Specimen JAX_1798685: postnatal adult; Rdxtm1.1(KOMP)Vlcg/Rdx+ (more )
Structure Level Pattern Image Note
TS28: aorta Present JAX_1798685

Specimen JAX_1798686: postnatal adult; Rdxtm1.1(KOMP)Vlcg/Rdx+ (more )
Structure Level Pattern Image Note
TS28: lung Present JAX_1798686

Specimen JAX_1798687: postnatal adult; Rdxtm1.1(KOMP)Vlcg/Rdx+ (more )
Structure Level Pattern Image Note
TS28: white fat Present JAX_1798687

Specimen JAX_1798688: postnatal adult; Rdxtm1.1(KOMP)Vlcg/Rdx+ (more )
Structure Level Pattern Image Note
TS28: small intestine Present JAX_1798688

Specimen JAX_1798689: postnatal adult; Rdxtm1.1(KOMP)Vlcg/Rdx+ (more )
Structure Level Pattern Image Note
TS28: skeletal muscle tissue Present JAX_1798689

Specimen JAX_1798690: postnatal adult; Rdxtm1.1(KOMP)Vlcg/Rdx+ (more )
Structure Level Pattern Image Note
TS28: pituitary gland Present JAX_1798690

Specimen JAX_1798691: postnatal adult; Rdxtm1.1(KOMP)Vlcg/Rdx+ (more )
Structure Level Pattern Image Note
TS28: thyroid gland Present JAX_1798691

Specimen JAX_1798692: postnatal adult; Rdxtm1.1(KOMP)Vlcg/Rdx+ (more )
Structure Level Pattern Image Note
TS28: spinal cord Present JAX_1798692

Specimen JAX_1798693: postnatal adult; Rdxtm1.1(KOMP)Vlcg/Rdx+ (more )
Structure Level Pattern Image Note
TS28: esophagus Present JAX_1798693

Specimen JAX_1798694: postnatal adult; Rdxtm1.1(KOMP)Vlcg/Rdx+ (more )
Structure Level Pattern Image Note
TS28: large intestine Present JAX_1798694

Specimen JAX_1798695: postnatal adult; Rdxtm1.1(KOMP)Vlcg/Rdx+ (more )
Structure Level Pattern Image Note
TS28: trachea Present JAX_1798695

Specimen JAX_1798696: postnatal adult; Rdxtm1.1(KOMP)Vlcg/Rdx+ (more )
Structure Level Pattern Image Note
TS28: thymus Present JAX_1798696

Specimen JAX_1798697: postnatal adult; Rdxtm1.1(KOMP)Vlcg/Rdx+ (more )
Structure Level Pattern Image Note
TS28: testis Present JAX_1798697

Specimen JAX_1798698: postnatal adult; Rdxtm1.1(KOMP)Vlcg/Rdx+ (more )
Structure Level Pattern Image Note
TS28: stomach Present JAX_1798698

Specimen JAX_1798699: postnatal adult; Rdxtm1.1(KOMP)Vlcg/Rdx+ (more )
Structure Level Pattern Image Note
TS28: skin Present JAX_1798699

Specimen JAX_1798700: postnatal adult; Rdxtm1.1(KOMP)Vlcg/Rdx+ (more )
Structure Level Pattern Image Note
TS28: lymph node Present JAX_1798700

Specimen JAX_1798701: postnatal adult; Rdxtm1.1(KOMP)Vlcg/Rdx+ (more )
Structure Level Pattern Image Note
TS28: liver Present JAX_1798701

Specimen JAX_1798702: postnatal adult; Rdxtm1.1(KOMP)Vlcg/Rdx+ (more )
Structure Level Pattern Image Note
TS28: metanephros Present JAX_1798702 kidney

Specimen JAX_1798703: postnatal adult; Rdxtm1.1(KOMP)Vlcg/Rdx+ (more )
Structure Level Pattern Image Note
TS28: heart Present JAX_1798703

Specimen JAX_1798704: postnatal adult; Rdxtm1.1(KOMP)Vlcg/Rdx+ (more )
Structure Level Pattern Image Note
TS28: eye Present JAX_1798704

Specimen JAX_1798705: postnatal adult; Rdxtm1.1(KOMP)Vlcg/Rdx+ (more )
Structure Level Pattern Image Note
TS28: brain Present JAX_1798705

Specimen JAX_1798706: postnatal adult; Rdxtm1.1(KOMP)Vlcg/Rdx+ (more )
Structure Level Pattern Image Note
TS28: adrenal gland Present JAX_1798706


Contributing Projects:
Mouse Genome Database (MGD), Gene Expression Database (GXD), Mouse Models of Human Cancer database (MMHCdb) (formerly Mouse Tumor Biology (MTB)), Gene Ontology (GO)
Citing These Resources
Funding Information
Warranty Disclaimer, Privacy Notice, Licensing, & Copyright
Send questions and comments to User Support.
last database update
05/05/2026
MGI 6.24
The Jackson Laboratory