About   Help   FAQ
Gene Expression Data
Assay Details
Assay
Reference: J:228563 Koscielny G, et al., The International Mouse Phenotyping Consortium Web Portal, a unified point of access for knockout mice and related phenotyping data. Nucleic Acids Res. 2014 Jan;42(Database issue):D802-9
Assay type: In situ reporter (knock in)
MGI Accession ID: MGI:6693198
Gene symbol: Rasa1
Gene name: RAS p21 protein activator 1
Reporter: lacZ
Direct Detection
Results
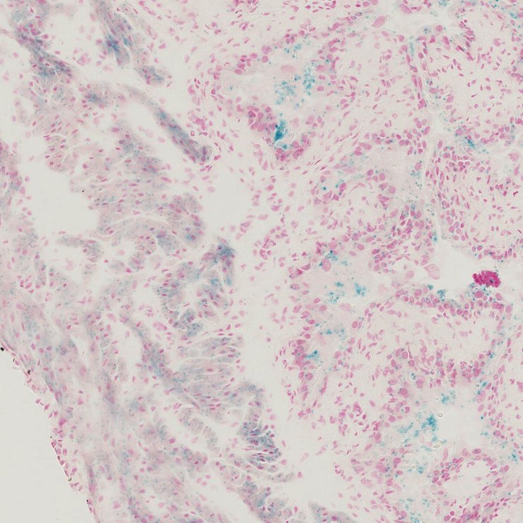
Specimen JAX_1049379: embryonic day 12.5; Rasa1tm1b(EUCOMM)Hmgu/Rasa1+ (more )
Structure Level Pattern Image Note
TS20: embryo Present JAX_1049379

Specimen JAX_1049381: embryonic day 12.5; Rasa1tm1b(EUCOMM)Hmgu/Rasa1+ (more )
Structure Level Pattern Image Note
TS20: embryo Present JAX_1049381

Specimen JAX_1049383: embryonic day 12.5; Rasa1tm1b(EUCOMM)Hmgu/Rasa1+ (more )
Structure Level Pattern Image Note
TS20: embryo Present JAX_1049383

Specimen JAX_1049385: embryonic day 12.5; Rasa1tm1b(EUCOMM)Hmgu/Rasa1+ (more )
Structure Level Pattern Image Note
TS20: embryo Present JAX_1049385

Specimen JAX_1125413: embryonic day 12.5; Rasa1tm1b(EUCOMM)Hmgu/Rasa1+ (more )
Structure Level Pattern Image Note
TS20: embryo Present JAX_1125413

Specimen JAX_1125415: embryonic day 12.5; Rasa1tm1b(EUCOMM)Hmgu/Rasa1+ (more )
Structure Level Pattern Image Note
TS20: embryo Present JAX_1125415

Specimen JAX_1125417: embryonic day 12.5; Rasa1tm1b(EUCOMM)Hmgu/Rasa1+ (more )
Structure Level Pattern Image Note
TS20: embryo Present JAX_1125417

Specimen JAX_1125419: embryonic day 12.5; Rasa1tm1b(EUCOMM)Hmgu/Rasa1+ (more )
Structure Level Pattern Image Note
TS20: embryo Present JAX_1125419

Specimen JAX_1125335: postnatal adult; Rasa1tm1b(EUCOMM)Hmgu/Rasa1+ (more )
Structure Level Pattern Image Note
TS28: peripheral nervous system Present JAX_1125335

Specimen JAX_1125337: postnatal adult; Rasa1tm1b(EUCOMM)Hmgu/Rasa1+ (more )
Structure Level Pattern Image Note
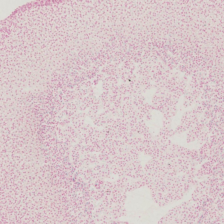
TS28: pancreas Present JAX_1125337

Specimen JAX_1125339: postnatal adult; Rasa1tm1b(EUCOMM)Hmgu/Rasa1+ (more )
Structure Level Pattern Image Note
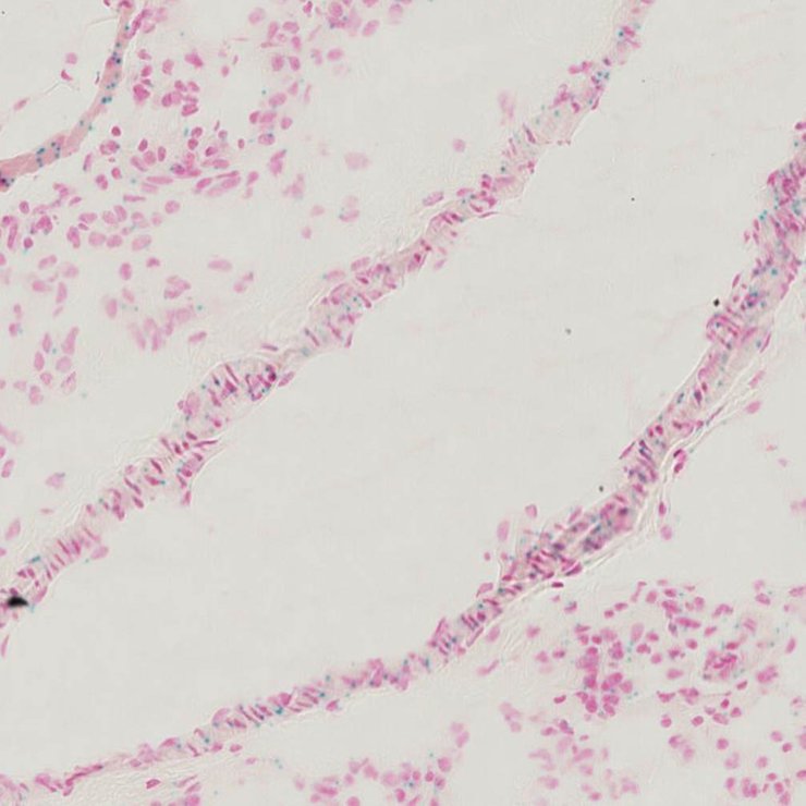
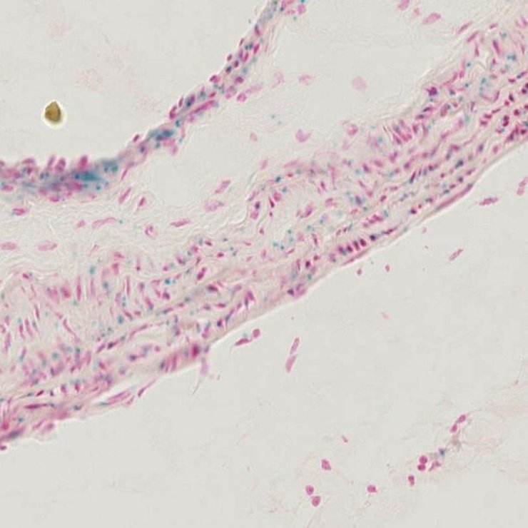
TS28: aorta Present JAX_1125339

Specimen JAX_1125341: postnatal adult; Rasa1tm1b(EUCOMM)Hmgu/Rasa1+ (more )
Structure Level Pattern Image Note
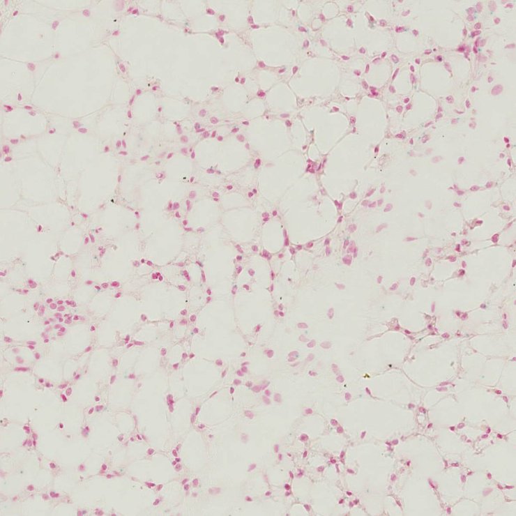
TS28: white fat Present JAX_1125341

Specimen JAX_1125343: postnatal adult; Rasa1tm1b(EUCOMM)Hmgu/Rasa1+ (more )
Structure Level Pattern Image Note
TS28: esophagus Present JAX_1125343

Specimen JAX_1125345: postnatal adult; Rasa1tm1b(EUCOMM)Hmgu/Rasa1+ (more )
Structure Level Pattern Image Note
TS28: large intestine Present JAX_1125345

Specimen JAX_1125347: postnatal adult; Rasa1tm1b(EUCOMM)Hmgu/Rasa1+ (more )
Structure Level Pattern Image Note
TS28: uterus Present JAX_1125347

Specimen JAX_1125349: postnatal adult; Rasa1tm1b(EUCOMM)Hmgu/Rasa1+ (more )
Structure Level Pattern Image Note
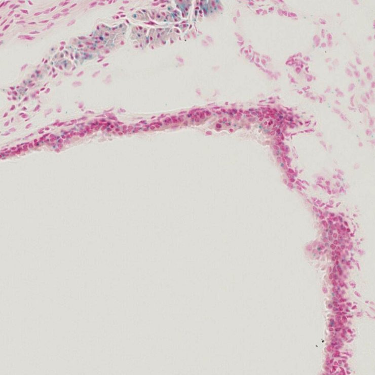
TS28: trachea Present JAX_1125349

Specimen JAX_1125351: postnatal adult; Rasa1tm1b(EUCOMM)Hmgu/Rasa1+ (more )
Structure Level Pattern Image Note
TS28: oviduct Present JAX_1125351

Specimen JAX_1125353: postnatal adult; Rasa1tm1b(EUCOMM)Hmgu/Rasa1+ (more )
Structure Level Pattern Image Note
TS28: ovary Present JAX_1125353

Specimen JAX_1125355: postnatal adult; Rasa1tm1b(EUCOMM)Hmgu/Rasa1+ (more )
Structure Level Pattern Image Note
TS28: mammary gland Present JAX_1125355

Specimen JAX_1125357: postnatal adult; Rasa1tm1b(EUCOMM)Hmgu/Rasa1+ (more )
Structure Level Pattern Image Note
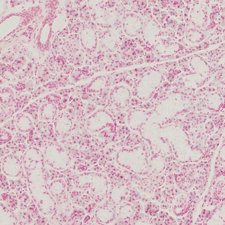
TS28: metanephros Present JAX_1125357 kidney

Specimen JAX_1125359: postnatal adult; Rasa1tm1b(EUCOMM)Hmgu/Rasa1+ (more )
Structure Level Pattern Image Note
TS28: heart Present JAX_1125359

Specimen JAX_1125361: postnatal adult; Rasa1tm1b(EUCOMM)Hmgu/Rasa1+ (more )
Structure Level Pattern Image Note
TS28: eye Present JAX_1125361

Specimen JAX_1125363: postnatal adult; Rasa1tm1b(EUCOMM)Hmgu/Rasa1+ (more )
Structure Level Pattern Image Note
TS28: adrenal gland Present JAX_1125363

Specimen JAX_1125365: postnatal adult; Rasa1tm1b(EUCOMM)Hmgu/Rasa1+ (more )
Structure Level Pattern Image Note
TS28: midbrain Present JAX_1125365

Specimen JAX_1125367: postnatal adult; Rasa1tm1b(EUCOMM)Hmgu/Rasa1+ (more )
Structure Level Pattern Image Note
TS28: vascular system Present JAX_1125367

Specimen JAX_1125369: postnatal adult; Rasa1tm1b(EUCOMM)Hmgu/Rasa1+ (more )
Structure Level Pattern Image Note
TS28: epididymis Present JAX_1125369

Specimen JAX_1125371: postnatal adult; Rasa1tm1b(EUCOMM)Hmgu/Rasa1+ (more )
Structure Level Pattern Image Note
TS28: submandibular gland Present JAX_1125371

Specimen JAX_1125373: postnatal adult; Rasa1tm1b(EUCOMM)Hmgu/Rasa1+ (more )
Structure Level Pattern Image Note
TS28: bladder Present JAX_1125373

Specimen JAX_1125375: postnatal adult; Rasa1tm1b(EUCOMM)Hmgu/Rasa1+ (more )
Structure Level Pattern Image Note
TS28: corpus striatum Present JAX_1125375

Specimen JAX_1125377: postnatal adult; Rasa1tm1b(EUCOMM)Hmgu/Rasa1+ (more )
Structure Level Pattern Image Note
TS28: olfactory lobe Present JAX_1125377

Specimen JAX_1125379: postnatal adult; Rasa1tm1b(EUCOMM)Hmgu/Rasa1+ (more )
Structure Level Pattern Image Note
TS28: hypothalamus Present JAX_1125379

Specimen JAX_1125381: postnatal adult; Rasa1tm1b(EUCOMM)Hmgu/Rasa1+ (more )
Structure Level Pattern Image Note
TS28: hippocampus Present JAX_1125381

Specimen JAX_1125383: postnatal adult; Rasa1tm1b(EUCOMM)Hmgu/Rasa1+ (more )
Structure Level Pattern Image Note
TS28: cerebellum Present JAX_1125383

Specimen JAX_1125385: postnatal adult; Rasa1tm1b(EUCOMM)Hmgu/Rasa1+ (more )
Structure Level Pattern Image Note
TS28: cerebral cortex Present JAX_1125385

Specimen JAX_1125387: postnatal adult; Rasa1tm1b(EUCOMM)Hmgu/Rasa1+ (more )
Structure Level Pattern Image Note
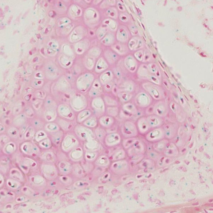
TS28: cartilage Present JAX_1125387

Specimen JAX_1125389: postnatal adult; Rasa1tm1b(EUCOMM)Hmgu/Rasa1+ (more )
Structure Level Pattern Image Note
TS28: brainstem Present JAX_1125389

Specimen JAX_1125391: postnatal adult; Rasa1tm1b(EUCOMM)Hmgu/Rasa1+ (more )
Structure Level Pattern Image Note
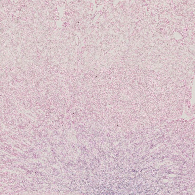
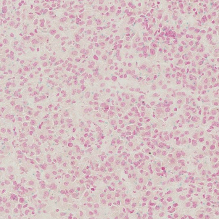
TS28: spleen Present JAX_1125391

Specimen JAX_1125393: postnatal adult; Rasa1tm1b(EUCOMM)Hmgu/Rasa1+ (more )
Structure Level Pattern Image Note
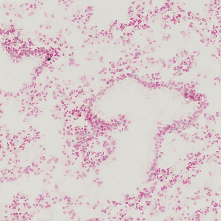
TS28: lung Present JAX_1125393

Specimen JAX_1125395: postnatal adult; Rasa1tm1b(EUCOMM)Hmgu/Rasa1+ (more )
Structure Level Pattern Image Note
TS28: small intestine Present JAX_1125395

Specimen JAX_1125397: postnatal adult; Rasa1tm1b(EUCOMM)Hmgu/Rasa1+ (more )
Structure Level Pattern Image Note
TS28: pituitary gland Present JAX_1125397

Specimen JAX_1125399: postnatal adult; Rasa1tm1b(EUCOMM)Hmgu/Rasa1+ (more )
Structure Level Pattern Image Note
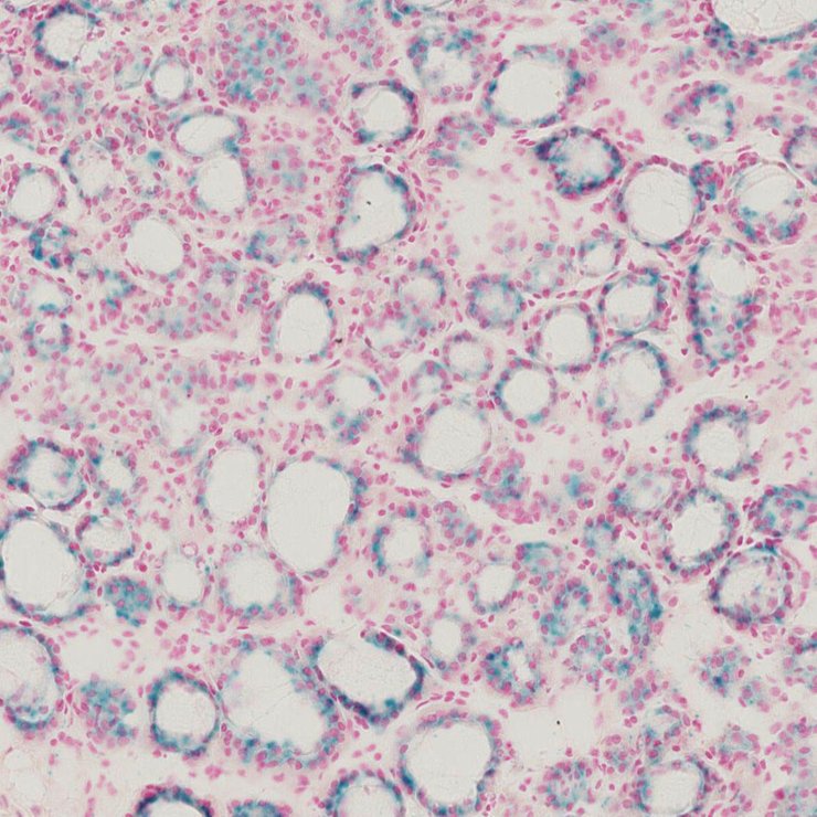
TS28: thyroid gland Present JAX_1125399

Specimen JAX_1125401: postnatal adult; Rasa1tm1b(EUCOMM)Hmgu/Rasa1+ (more )
Structure Level Pattern Image Note
TS28: spinal cord Present JAX_1125401

Specimen JAX_1125403: postnatal adult; Rasa1tm1b(EUCOMM)Hmgu/Rasa1+ (more )
Structure Level Pattern Image Note
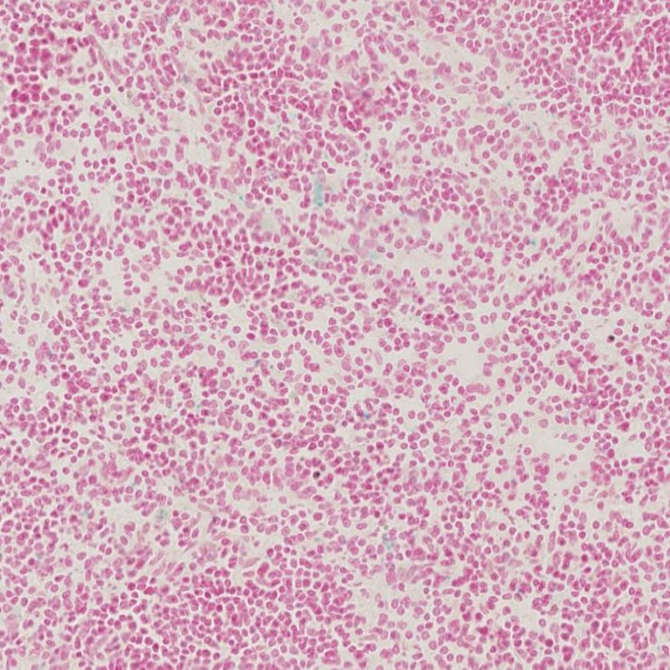
TS28: thymus Present JAX_1125403

Specimen JAX_1125405: postnatal adult; Rasa1tm1b(EUCOMM)Hmgu/Rasa1+ (more )
Structure Level Pattern Image Note
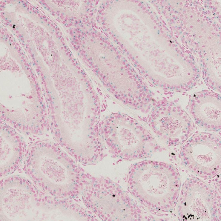
TS28: testis Present JAX_1125405

Specimen JAX_1125407: postnatal adult; Rasa1tm1b(EUCOMM)Hmgu/Rasa1+ (more )
Structure Level Pattern Image Note
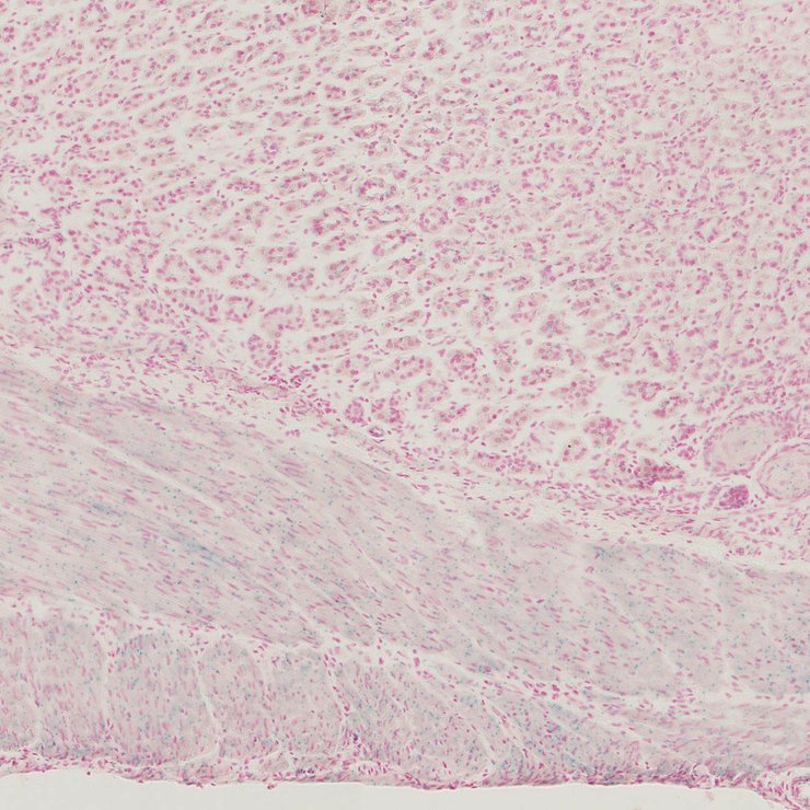
TS28: stomach Present JAX_1125407

Specimen JAX_1125409: postnatal adult; Rasa1tm1b(EUCOMM)Hmgu/Rasa1+ (more )
Structure Level Pattern Image Note
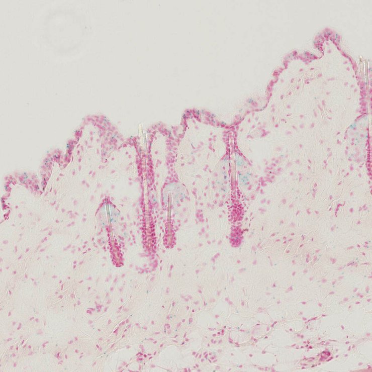
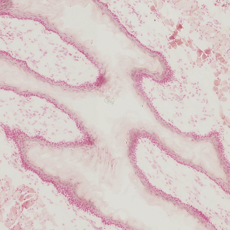
TS28: skin Present JAX_1125409

Specimen JAX_1125411: postnatal adult; Rasa1tm1b(EUCOMM)Hmgu/Rasa1+ (more )
Structure Level Pattern Image Note
TS28: brain Present JAX_1125411


Contributing Projects:
Mouse Genome Database (MGD), Gene Expression Database (GXD), Mouse Models of Human Cancer database (MMHCdb) (formerly Mouse Tumor Biology (MTB)), Gene Ontology (GO)
Citing These Resources
Funding Information
Warranty Disclaimer, Privacy Notice, Licensing, & Copyright
Send questions and comments to User Support.
last database update
12/30/2025
MGI 6.24
The Jackson Laboratory