About   Help   FAQ
Gene Expression Data
Assay Details
Assay
Reference: J:228563 Koscielny G, et al., The International Mouse Phenotyping Consortium Web Portal, a unified point of access for knockout mice and related phenotyping data. Nucleic Acids Res. 2014 Jan;42(Database issue):D802-9
Assay type: In situ reporter (knock in)
MGI Accession ID: MGI:6693195
Gene symbol: Ptprs
Gene name: protein tyrosine phosphatase receptor type S
Reporter: lacZ
Direct Detection
Results
Specimen TCP_2460542: postnatal adult; Ptprstm1b(KOMP)Mbp/Ptprs+ (more )
Structure Level Pattern Image Note
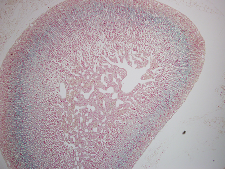
TS28: adrenal gland Present TCP_2460542

Specimen TCP_2460543: postnatal adult; Ptprstm1b(KOMP)Mbp/Ptprs+ (more )
Structure Level Pattern Image Note
TS28: bladder Present TCP_2460543

Specimen TCP_2460544: postnatal adult; Ptprstm1b(KOMP)Mbp/Ptprs+ (more )
Structure Level Pattern Image Note
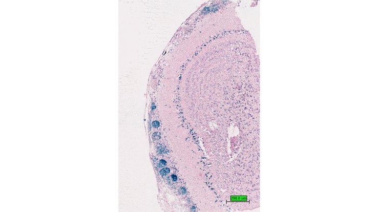
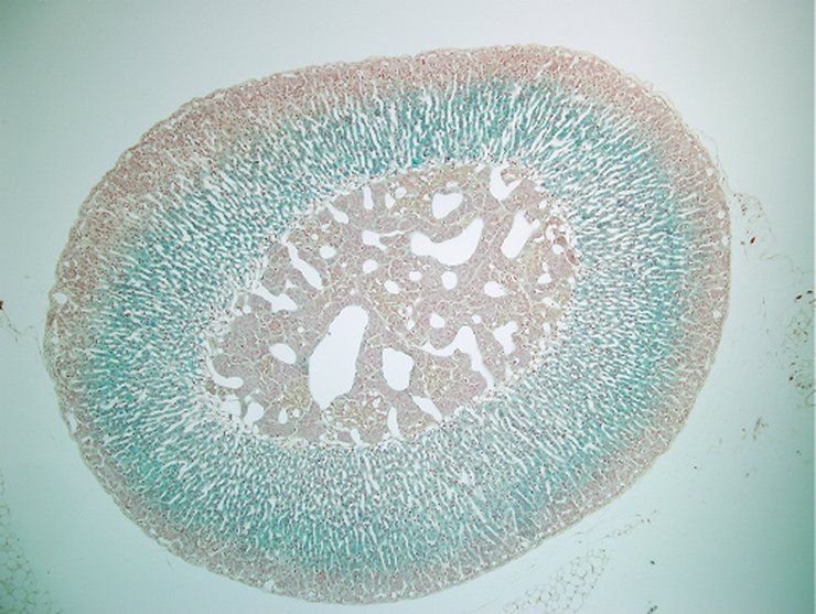
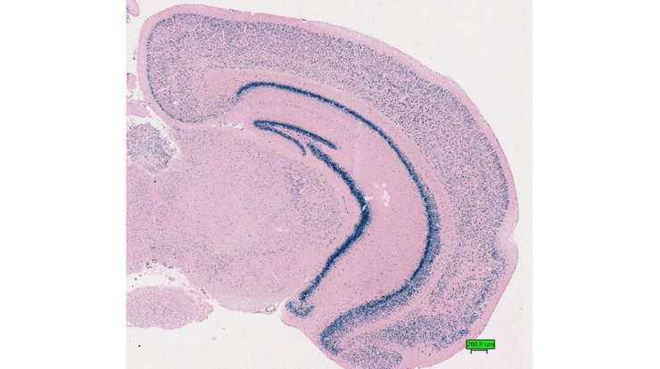
TS28: brain Present TCP_2460544

Specimen TCP_2460545: postnatal adult; Ptprstm1b(KOMP)Mbp/Ptprs+ (more )
Structure Level Pattern Image Note
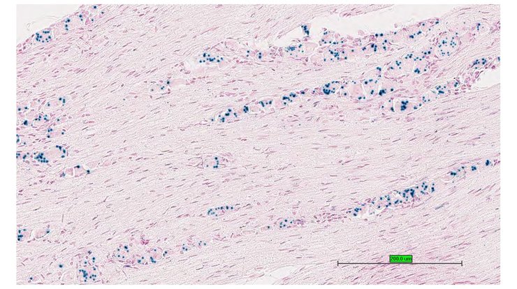
TS28: heart Present TCP_2460545

Specimen TCP_2460546: postnatal adult; Ptprstm1b(KOMP)Mbp/Ptprs+ (more )
Structure Level Pattern Image Note
TS28: cerebellum Present TCP_2460546

Specimen TCP_2460547: postnatal adult; Ptprstm1b(KOMP)Mbp/Ptprs+ (more )
Structure Level Pattern Image Note
TS28: vascular system Present TCP_2460547

Specimen TCP_2460548: postnatal adult; Ptprstm1b(KOMP)Mbp/Ptprs+ (more )
Structure Level Pattern Image Note
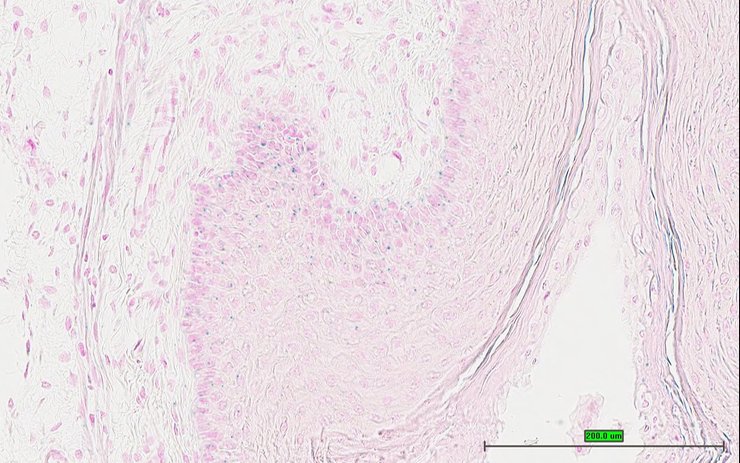
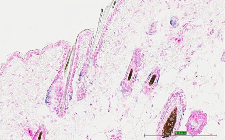
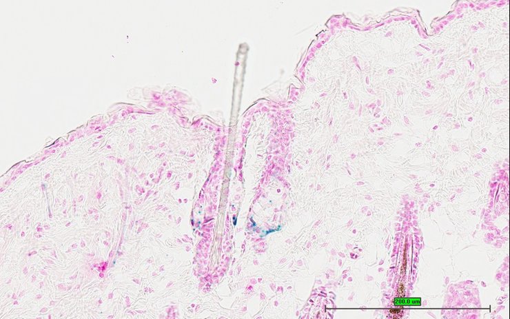
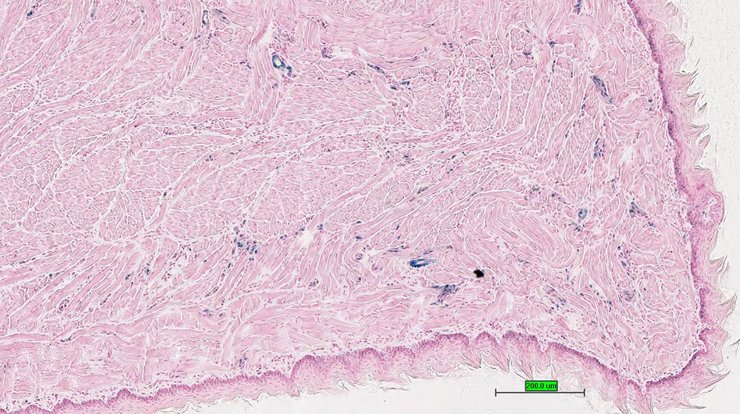
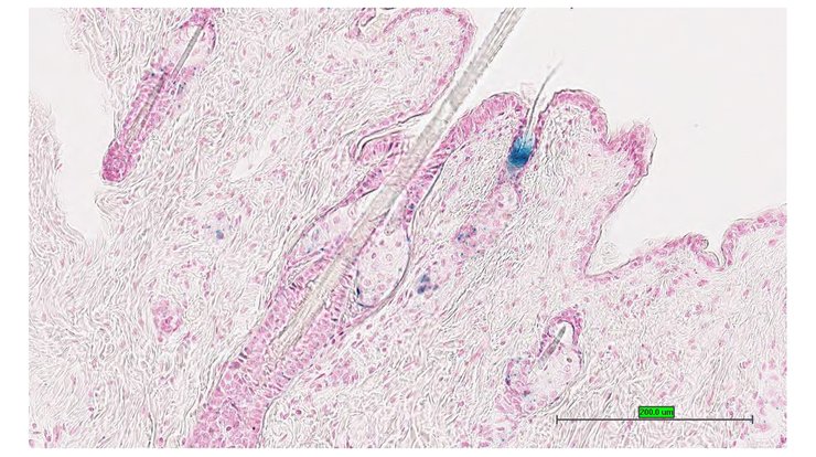
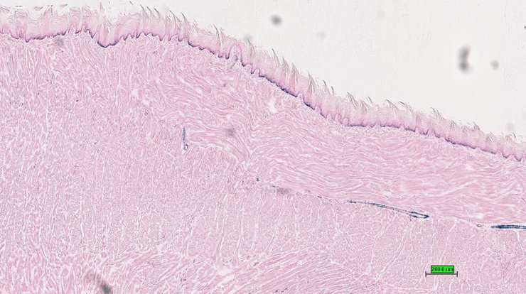
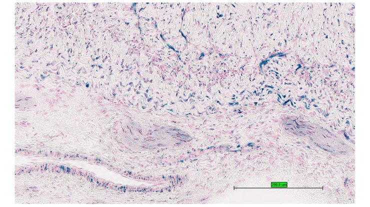
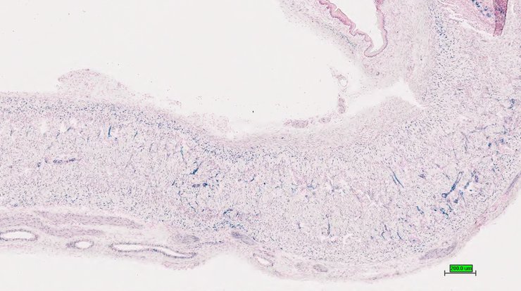
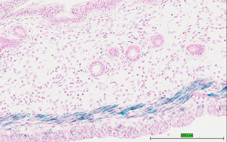
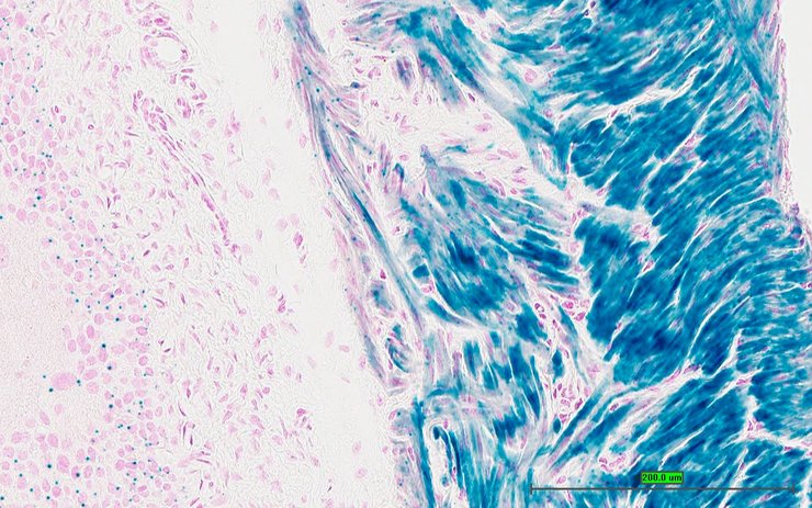
TS28: skin Present TCP_2460548

Specimen TCP_2460549: postnatal adult; Ptprstm1b(KOMP)Mbp/Ptprs+ (more )
Structure Level Pattern Image Note
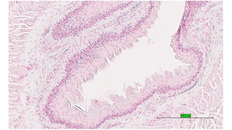
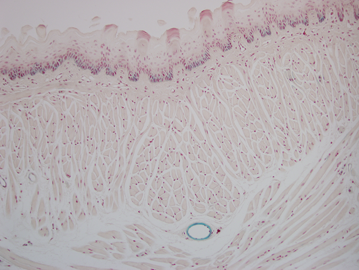
TS28: tongue Absent TCP_2460549

Specimen TCP_2460550: postnatal adult; Ptprstm1b(KOMP)Mbp/Ptprs+ (more )
Structure Level Pattern Image Note
TS28: spinal cord Present TCP_2460550

Specimen TCP_2460551: postnatal adult; Ptprstm1b(KOMP)Mbp/Ptprs+ (more )
Structure Level Pattern Image Note
TS28: gallbladder Absent TCP_2460551

Specimen UC Davis_1889906: postnatal adult; Ptprstm1b(KOMP)Mbp/Ptprs+ (more )
Structure Level Pattern Image Note
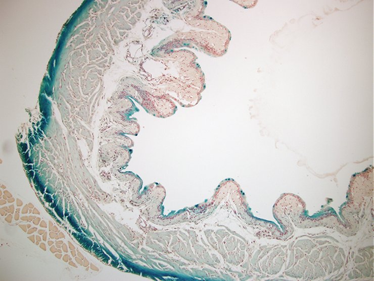
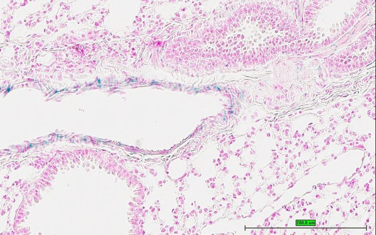
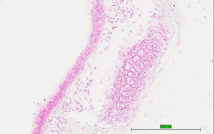
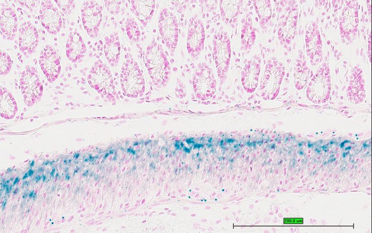
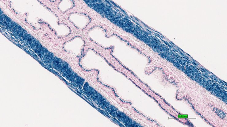
TS28: trachea Present UC Davis_1889906

Specimen UC Davis_1889907: postnatal adult; Ptprstm1b(KOMP)Mbp/Ptprs+ (more )
Structure Level Pattern Image Note
TS28: esophagus Present UC Davis_1889907

Specimen UC Davis_1889908: postnatal adult; Ptprstm1b(KOMP)Mbp/Ptprs+ (more )
Structure Level Pattern Image Note
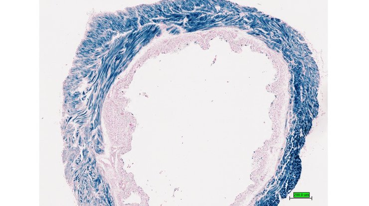
TS28: aorta Present UC Davis_1889908

Specimen UC Davis_1889909: postnatal adult; Ptprstm1b(KOMP)Mbp/Ptprs+ (more )
Structure Level Pattern Image Note
TS28: lung Present UC Davis_1889909

Specimen UC Davis_1889910: postnatal adult; Ptprstm1b(KOMP)Mbp/Ptprs+ (more )
Structure Level Pattern Image Note
TS28: lung Present UC Davis_1889910

Specimen UC Davis_1889914: postnatal adult; Ptprstm1b(KOMP)Mbp/Ptprs+ (more )
Structure Level Pattern Image Note
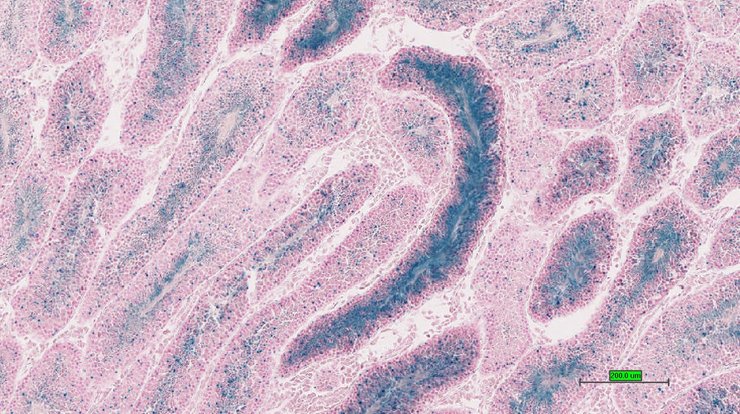
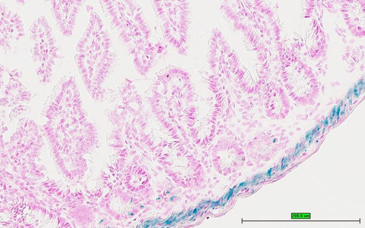
TS28: stomach Present UC Davis_1889914

Specimen UC Davis_1889915: postnatal adult; Ptprstm1b(KOMP)Mbp/Ptprs+ (more )
Structure Level Pattern Image Note
TS28: stomach Present UC Davis_1889915

Specimen UC Davis_1889916: postnatal adult; Ptprstm1b(KOMP)Mbp/Ptprs+ (more )
Structure Level Pattern Image Note
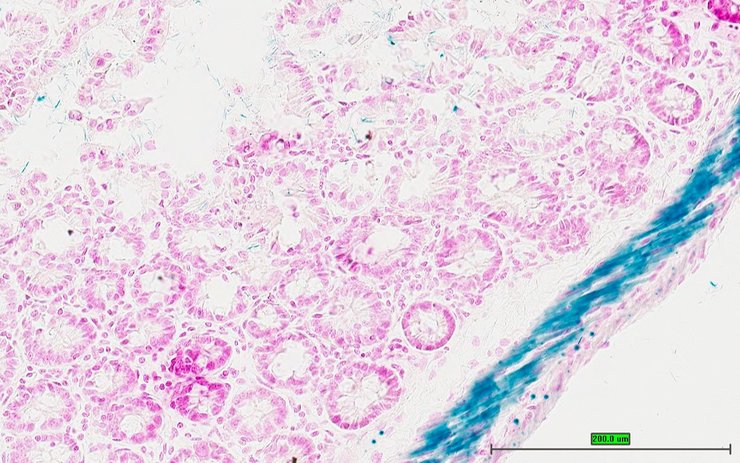
TS28: stomach Present UC Davis_1889916

Specimen UC Davis_1889917: postnatal adult; Ptprstm1b(KOMP)Mbp/Ptprs+ (more )
Structure Level Pattern Image Note
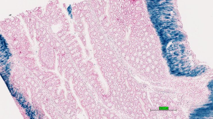
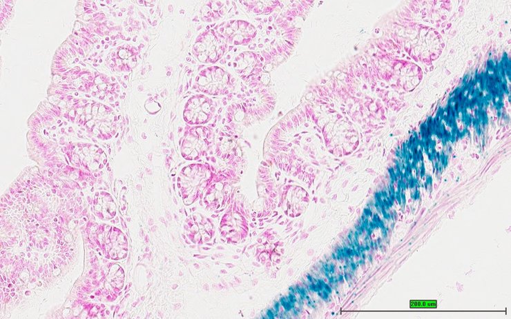
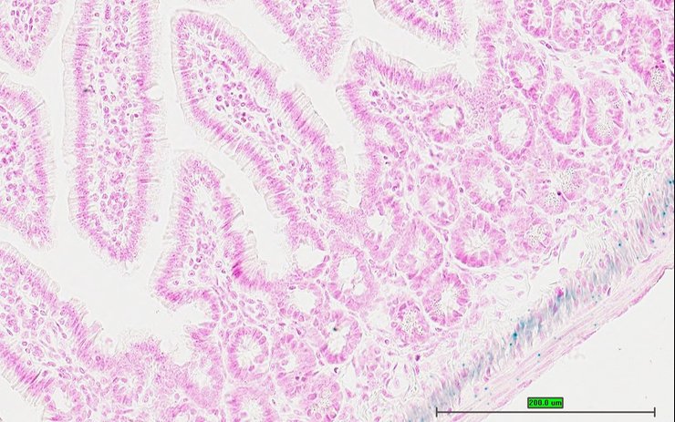
TS28: duodenum Present UC Davis_1889917

Specimen UC Davis_1889918: postnatal adult; Ptprstm1b(KOMP)Mbp/Ptprs+ (more )
Structure Level Pattern Image Note
TS28: jejunum Present UC Davis_1889918

Specimen UC Davis_1889919: postnatal adult; Ptprstm1b(KOMP)Mbp/Ptprs+ (more )
Structure Level Pattern Image Note
TS28: ileum Present UC Davis_1889919

Specimen UC Davis_1889920: postnatal adult; Ptprstm1b(KOMP)Mbp/Ptprs+ (more )
Structure Level Pattern Image Note
TS28: colon Present UC Davis_1889920

Specimen UC Davis_1889921: postnatal adult; Ptprstm1b(KOMP)Mbp/Ptprs+ (more )
Structure Level Pattern Image Note
TS28: colon Present UC Davis_1889921

Specimen UC Davis_1889922: postnatal adult; Ptprstm1b(KOMP)Mbp/Ptprs+ (more )
Structure Level Pattern Image Note
TS28: cecum Present UC Davis_1889922

Specimen UC Davis_1889923: postnatal adult; Ptprstm1b(KOMP)Mbp/Ptprs+ (more )
Structure Level Pattern Image Note
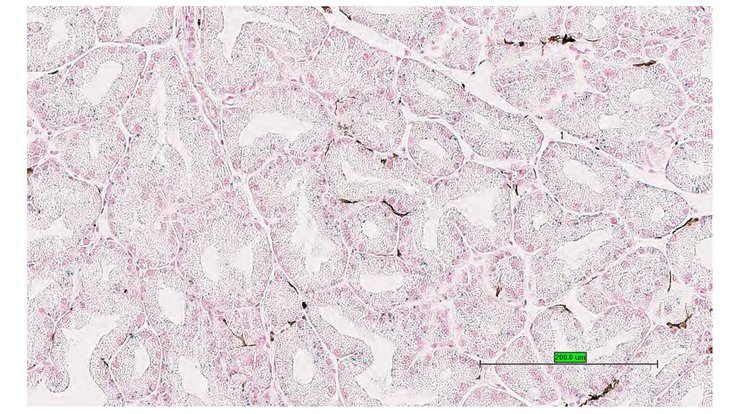
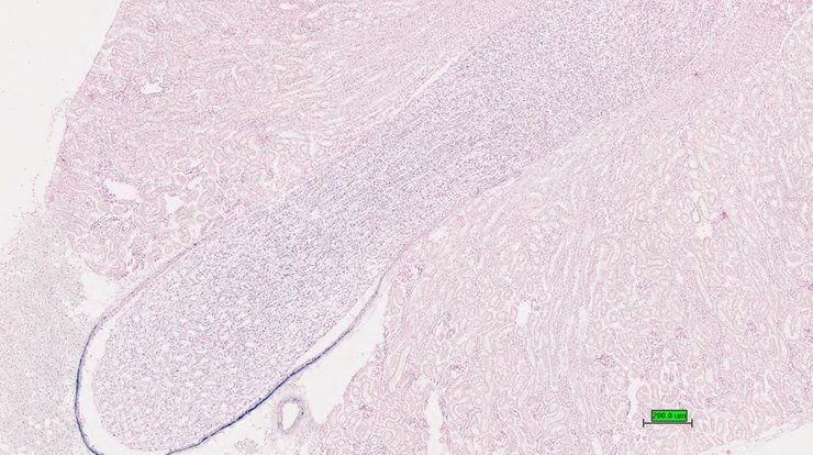
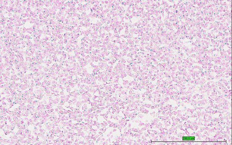
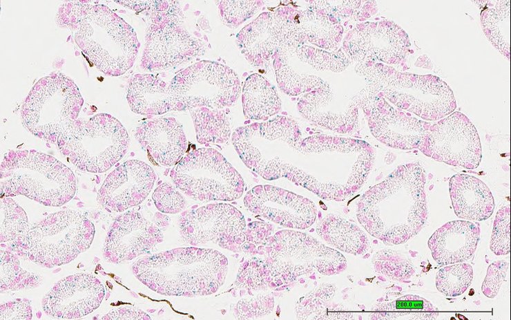
TS28: metanephros Present UC Davis_1889923 kidney

Specimen UC Davis_1889924: postnatal adult; Ptprstm1b(KOMP)Mbp/Ptprs+ (more )
Structure Level Pattern Image Note
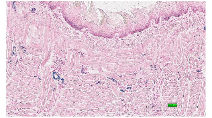
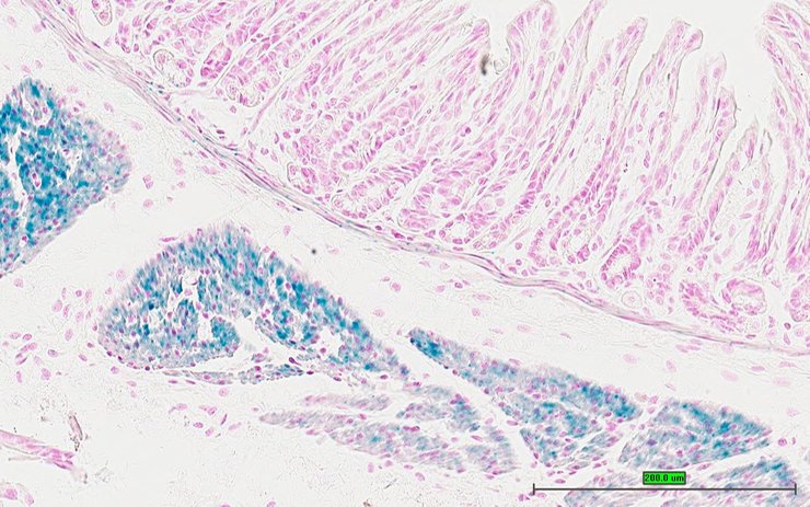
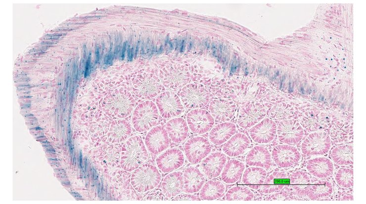
TS28: tongue Present UC Davis_1889924

Specimen UC Davis_1889925: postnatal adult; Ptprstm1b(KOMP)Mbp/Ptprs+ (more )
Structure Level Pattern Image Note
TS28: pituitary gland Present UC Davis_1889925

Specimen UC Davis_1889926: postnatal adult; Ptprstm1b(KOMP)Mbp/Ptprs+ (more )
Structure Level Pattern Image Note
TS28: pituitary gland Present UC Davis_1889926

Specimen UC Davis_1889927: postnatal adult; Ptprstm1b(KOMP)Mbp/Ptprs+ (more )
Structure Level Pattern Image Note
TS28: spinal cord Present UC Davis_1889927

Specimen UC Davis_1889928: postnatal adult; Ptprstm1b(KOMP)Mbp/Ptprs+ (more )
Structure Level Pattern Image Note
TS28: spinal cord Present UC Davis_1889928

Specimen UC Davis_1889929: postnatal adult; Ptprstm1b(KOMP)Mbp/Ptprs+ (more )
Structure Level Pattern Image Note
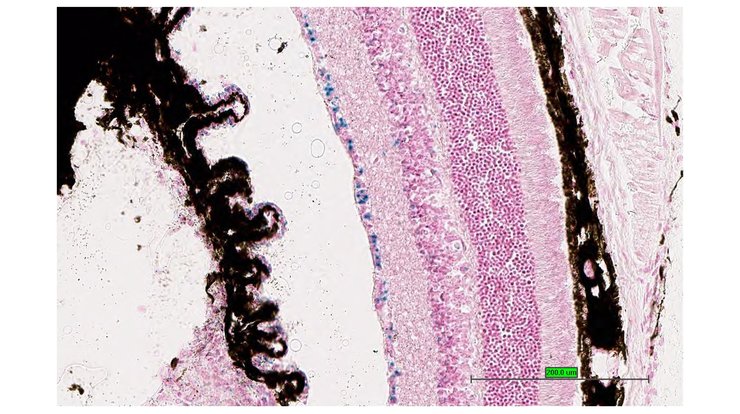
TS28: eye Present UC Davis_1889929

Specimen UC Davis_1889930: postnatal adult; Ptprstm1b(KOMP)Mbp/Ptprs+ (more )
Structure Level Pattern Image Note
TS28: eye Present UC Davis_1889930

Specimen UC Davis_1889931: postnatal adult; Ptprstm1b(KOMP)Mbp/Ptprs+ (more )
Structure Level Pattern Image Note
TS28: Harderian gland Present UC Davis_1889931

Specimen UC Davis_1889932: postnatal adult; Ptprstm1b(KOMP)Mbp/Ptprs+ (more )
Structure Level Pattern Image Note
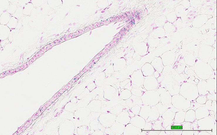
TS28: gonadal fat pad Present UC Davis_1889932

Specimen UC Davis_1889933: postnatal adult; Ptprstm1b(KOMP)Mbp/Ptprs+ (more )
Structure Level Pattern Image Note
TS28: mesenteric adipose tissue Present UC Davis_1889933

Specimen UC Davis_1889934: postnatal adult; Ptprstm1b(KOMP)Mbp/Ptprs+ (more )
Structure Level Pattern Image Note
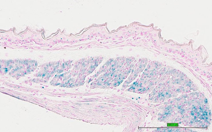
TS28: skin Present UC Davis_1889934

Specimen UC Davis_1889935: postnatal adult; Ptprstm1b(KOMP)Mbp/Ptprs+ (more )
Structure Level Pattern Image Note
TS28: skin Present UC Davis_1889935

Specimen UC Davis_1889936: postnatal adult; Ptprstm1b(KOMP)Mbp/Ptprs+ (more )
Structure Level Pattern Image Note
TS28: brown fat Present UC Davis_1889936

Specimen UC Davis_1889937: postnatal adult; Ptprstm1b(KOMP)Mbp/Ptprs+ (more )
Structure Level Pattern Image Note
TS28: olfactory lobe Present UC Davis_1889937

Specimen UC Davis_1889941: postnatal adult; Ptprstm1b(KOMP)Mbp/Ptprs+ (more )
Structure Level Pattern Image Note
TS28: midbrain Present UC Davis_1889941

Specimen UC Davis_1889943: postnatal adult; Ptprstm1b(KOMP)Mbp/Ptprs+ (more )
Structure Level Pattern Image Note
TS28: cerebellum Present UC Davis_1889943

Specimen UC Davis_1889944: postnatal adult; Ptprstm1b(KOMP)Mbp/Ptprs+ (more )
Structure Level Pattern Image Note
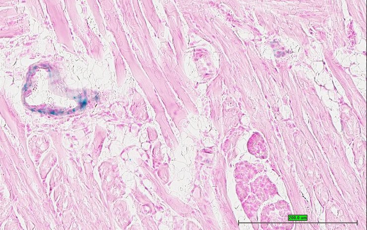
TS28: trigeminal nerve Present UC Davis_1889944

Specimen UC Davis_1889945: postnatal adult; Ptprstm1b(KOMP)Mbp/Ptprs+ (more )
Structure Level Pattern Image Note
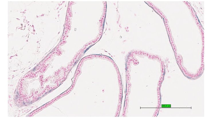
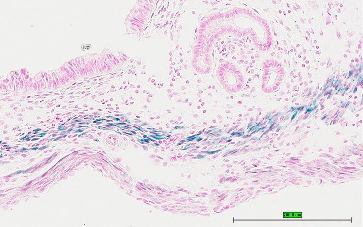
TS28: oviduct Present UC Davis_1889945

Specimen UC Davis_1889946: postnatal adult; Ptprstm1b(KOMP)Mbp/Ptprs+ (more )
Structure Level Pattern Image Note
TS28: uterus Present UC Davis_1889946

Specimen UC Davis_1889947: postnatal adult; Ptprstm1b(KOMP)Mbp/Ptprs+ (more )
Structure Level Pattern Image Note
TS28: uterus Present UC Davis_1889947

Specimen UC Davis_1889948: postnatal adult; Ptprstm1b(KOMP)Mbp/Ptprs+ (more )
Structure Level Pattern Image Note
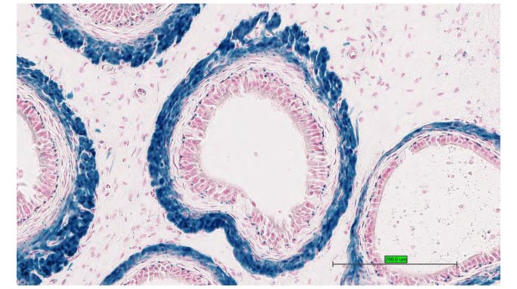
TS28: vagina Present UC Davis_1889948

Specimen UC Davis_1889949: postnatal adult; Ptprstm1b(KOMP)Mbp/Ptprs+ (more )
Structure Level Pattern Image Note
TS28: bladder Present UC Davis_1889949

Specimen TCP_2460530: postnatal adult; Ptprstm1b(KOMP)Mbp/Ptprs+ (more )
Structure Level Pattern Image Note
TS28: adrenal gland Present TCP_2460530

Specimen TCP_2460531: postnatal adult; Ptprstm1b(KOMP)Mbp/Ptprs+ (more )
Structure Level Pattern Image Note
TS28: bladder Present TCP_2460531

Specimen TCP_2460532: postnatal adult; Ptprstm1b(KOMP)Mbp/Ptprs+ (more )
Structure Level Pattern Image Note
TS28: brain Present TCP_2460532

Specimen TCP_2460533: postnatal adult; Ptprstm1b(KOMP)Mbp/Ptprs+ (more )
Structure Level Pattern Image Note
TS28: skin Present TCP_2460533

Specimen TCP_2460534: postnatal adult; Ptprstm1b(KOMP)Mbp/Ptprs+ (more )
Structure Level Pattern Image Note
TS28: heart Present TCP_2460534

Specimen TCP_2460535: postnatal adult; Ptprstm1b(KOMP)Mbp/Ptprs+ (more )
Structure Level Pattern Image Note
TS28: spinal cord Present TCP_2460535

Specimen TCP_2460536: postnatal adult; Ptprstm1b(KOMP)Mbp/Ptprs+ (more )
Structure Level Pattern Image Note
TS28: cerebral cortex Present TCP_2460536

Specimen TCP_2460537: postnatal adult; Ptprstm1b(KOMP)Mbp/Ptprs+ (more )
Structure Level Pattern Image Note
TS28: cerebellum Present TCP_2460537

Specimen TCP_2460538: postnatal adult; Ptprstm1b(KOMP)Mbp/Ptprs+ (more )
Structure Level Pattern Image Note
TS28: trachea Present TCP_2460538

Specimen TCP_2460539: postnatal adult; Ptprstm1b(KOMP)Mbp/Ptprs+ (more )
Structure Level Pattern Image Note
TS28: small intestine Absent TCP_2460539

Specimen TCP_2460540: postnatal adult; Ptprstm1b(KOMP)Mbp/Ptprs+ (more )
Structure Level Pattern Image Note
TS28: tongue Absent TCP_2460540

Specimen TCP_2460541: postnatal adult; Ptprstm1b(KOMP)Mbp/Ptprs+ (more )
Structure Level Pattern Image Note
TS28: large intestine Present TCP_2460541

Specimen UC Davis_1889951: postnatal adult; Ptprstm1b(KOMP)Mbp/Ptprs+ (more )
Structure Level Pattern Image Note
TS28: submandibular gland Present UC Davis_1889951

Specimen UC Davis_1889952: postnatal adult; Ptprstm1b(KOMP)Mbp/Ptprs+ (more )
Structure Level Pattern Image Note
TS28: submandibular gland Present UC Davis_1889952

Specimen UC Davis_1889953: postnatal adult; Ptprstm1b(KOMP)Mbp/Ptprs+ (more )
Structure Level Pattern Image Note
TS28: submandibular gland Present UC Davis_1889953

Specimen UC Davis_1889954: postnatal adult; Ptprstm1b(KOMP)Mbp/Ptprs+ (more )
Structure Level Pattern Image Note
TS28: trachea Present UC Davis_1889954

Specimen UC Davis_1889955: postnatal adult; Ptprstm1b(KOMP)Mbp/Ptprs+ (more )
Structure Level Pattern Image Note
TS28: esophagus Present UC Davis_1889955

Specimen UC Davis_1889956: postnatal adult; Ptprstm1b(KOMP)Mbp/Ptprs+ (more )
Structure Level Pattern Image Note
TS28: esophagus Present UC Davis_1889956

Specimen UC Davis_1889960: postnatal adult; Ptprstm1b(KOMP)Mbp/Ptprs+ (more )
Structure Level Pattern Image Note
TS28: aorta Present UC Davis_1889960

Specimen UC Davis_1889961: postnatal adult; Ptprstm1b(KOMP)Mbp/Ptprs+ (more )
Structure Level Pattern Image Note
TS28: lung Present UC Davis_1889961

Specimen UC Davis_1889962: postnatal adult; Ptprstm1b(KOMP)Mbp/Ptprs+ (more )
Structure Level Pattern Image Note
TS28: lung Present UC Davis_1889962

Specimen UC Davis_1889963: postnatal adult; Ptprstm1b(KOMP)Mbp/Ptprs+ (more )
Structure Level Pattern Image Note
TS28: lung Present UC Davis_1889963

Specimen UC Davis_1889967: postnatal adult; Ptprstm1b(KOMP)Mbp/Ptprs+ (more )
Structure Level Pattern Image Note
TS28: stomach Present UC Davis_1889967

Specimen UC Davis_1889968: postnatal adult; Ptprstm1b(KOMP)Mbp/Ptprs+ (more )
Structure Level Pattern Image Note
TS28: stomach Present UC Davis_1889968

Specimen UC Davis_1889969: postnatal adult; Ptprstm1b(KOMP)Mbp/Ptprs+ (more )
Structure Level Pattern Image Note
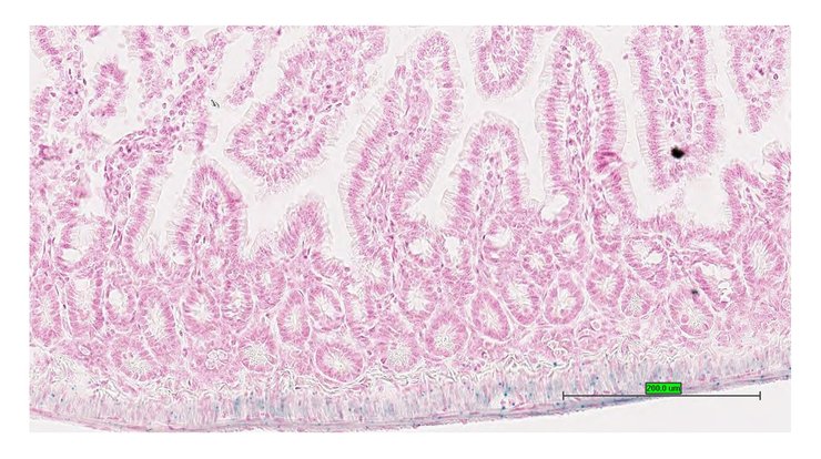
TS28: duodenum Present UC Davis_1889969

Specimen UC Davis_1889970: postnatal adult; Ptprstm1b(KOMP)Mbp/Ptprs+ (more )
Structure Level Pattern Image Note
TS28: duodenum Present UC Davis_1889970

Specimen UC Davis_1889971: postnatal adult; Ptprstm1b(KOMP)Mbp/Ptprs+ (more )
Structure Level Pattern Image Note
TS28: jejunum Present UC Davis_1889971

Specimen UC Davis_1889972: postnatal adult; Ptprstm1b(KOMP)Mbp/Ptprs+ (more )
Structure Level Pattern Image Note
TS28: jejunum Present UC Davis_1889972

Specimen UC Davis_1889973: postnatal adult; Ptprstm1b(KOMP)Mbp/Ptprs+ (more )
Structure Level Pattern Image Note
TS28: ileum Present UC Davis_1889973

Specimen UC Davis_1889974: postnatal adult; Ptprstm1b(KOMP)Mbp/Ptprs+ (more )
Structure Level Pattern Image Note
TS28: ileum Present UC Davis_1889974

Specimen UC Davis_1889975: postnatal adult; Ptprstm1b(KOMP)Mbp/Ptprs+ (more )
Structure Level Pattern Image Note
TS28: colon Present UC Davis_1889975

Specimen UC Davis_1889976: postnatal adult; Ptprstm1b(KOMP)Mbp/Ptprs+ (more )
Structure Level Pattern Image Note
TS28: colon Present UC Davis_1889976

Specimen UC Davis_1889977: postnatal adult; Ptprstm1b(KOMP)Mbp/Ptprs+ (more )
Structure Level Pattern Image Note
TS28: cecum Present UC Davis_1889977

Specimen UC Davis_1889978: postnatal adult; Ptprstm1b(KOMP)Mbp/Ptprs+ (more )
Structure Level Pattern Image Note
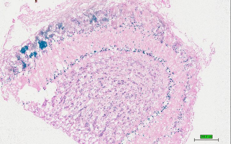
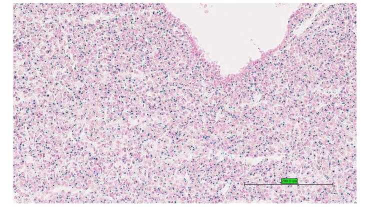
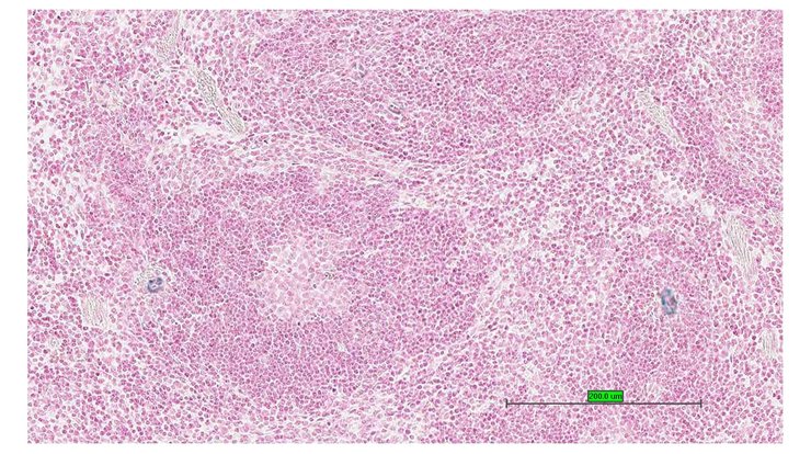
TS28: spleen Present UC Davis_1889978

Specimen UC Davis_1889979: postnatal adult; Ptprstm1b(KOMP)Mbp/Ptprs+ (more )
Structure Level Pattern Image Note
TS28: metanephros Present UC Davis_1889979 kidney

Specimen UC Davis_1889980: postnatal adult; Ptprstm1b(KOMP)Mbp/Ptprs+ (more )
Structure Level Pattern Image Note
TS28: metanephros Present UC Davis_1889980 kidney

Specimen UC Davis_1889981: postnatal adult; Ptprstm1b(KOMP)Mbp/Ptprs+ (more )
Structure Level Pattern Image Note
TS28: metanephros Present UC Davis_1889981 kidney

Specimen UC Davis_1889982: postnatal adult; Ptprstm1b(KOMP)Mbp/Ptprs+ (more )
Structure Level Pattern Image Note
TS28: tongue Present UC Davis_1889982

Specimen UC Davis_1889983: postnatal adult; Ptprstm1b(KOMP)Mbp/Ptprs+ (more )
Structure Level Pattern Image Note
TS28: tongue Present UC Davis_1889983

Specimen UC Davis_1889984: postnatal adult; Ptprstm1b(KOMP)Mbp/Ptprs+ (more )
Structure Level Pattern Image Note
TS28: tongue Present UC Davis_1889984

Specimen UC Davis_1889985: postnatal adult; Ptprstm1b(KOMP)Mbp/Ptprs+ (more )
Structure Level Pattern Image Note
TS28: tongue Present UC Davis_1889985

Specimen UC Davis_1889986: postnatal adult; Ptprstm1b(KOMP)Mbp/Ptprs+ (more )
Structure Level Pattern Image Note
TS28: adrenal gland Present UC Davis_1889986

Specimen UC Davis_1889987: postnatal adult; Ptprstm1b(KOMP)Mbp/Ptprs+ (more )
Structure Level Pattern Image Note
TS28: pituitary gland Present UC Davis_1889987

Specimen UC Davis_1889988: postnatal adult; Ptprstm1b(KOMP)Mbp/Ptprs+ (more )
Structure Level Pattern Image Note
TS28: pituitary gland Present UC Davis_1889988

Specimen UC Davis_1889989: postnatal adult; Ptprstm1b(KOMP)Mbp/Ptprs+ (more )
Structure Level Pattern Image Note
TS28: spinal cord Present UC Davis_1889989

Specimen UC Davis_1889990: postnatal adult; Ptprstm1b(KOMP)Mbp/Ptprs+ (more )
Structure Level Pattern Image Note
TS28: spinal cord Present UC Davis_1889990

Specimen UC Davis_1889991: postnatal adult; Ptprstm1b(KOMP)Mbp/Ptprs+ (more )
Structure Level Pattern Image Note
TS28: spinal cord Present UC Davis_1889991

Specimen UC Davis_1889992: postnatal adult; Ptprstm1b(KOMP)Mbp/Ptprs+ (more )
Structure Level Pattern Image Note
TS28: eye Present UC Davis_1889992

Specimen UC Davis_1889993: postnatal adult; Ptprstm1b(KOMP)Mbp/Ptprs+ (more )
Structure Level Pattern Image Note
TS28: Harderian gland Present UC Davis_1889993

Specimen UC Davis_1889994: postnatal adult; Ptprstm1b(KOMP)Mbp/Ptprs+ (more )
Structure Level Pattern Image Note
TS28: skin Present UC Davis_1889994

Specimen UC Davis_1889995: postnatal adult; Ptprstm1b(KOMP)Mbp/Ptprs+ (more )
Structure Level Pattern Image Note
TS28: skin Present UC Davis_1889995

Specimen UC Davis_1889996: postnatal adult; Ptprstm1b(KOMP)Mbp/Ptprs+ (more )
Structure Level Pattern Image Note
TS28: skin Present UC Davis_1889996

Specimen UC Davis_1889997: postnatal adult; Ptprstm1b(KOMP)Mbp/Ptprs+ (more )
Structure Level Pattern Image Note
TS28: olfactory lobe Present UC Davis_1889997

Specimen UC Davis_1890000: postnatal adult; Ptprstm1b(KOMP)Mbp/Ptprs+ (more )
Structure Level Pattern Image Note
TS28: midbrain Present UC Davis_1890000

Specimen UC Davis_1890002: postnatal adult; Ptprstm1b(KOMP)Mbp/Ptprs+ (more )
Structure Level Pattern Image Note
TS28: cerebellum Present UC Davis_1890002

Specimen UC Davis_1890003: postnatal adult; Ptprstm1b(KOMP)Mbp/Ptprs+ (more )
Structure Level Pattern Image Note
TS28: trigeminal nerve Present UC Davis_1890003

Specimen UC Davis_1890004: postnatal adult; Ptprstm1b(KOMP)Mbp/Ptprs+ (more )
Structure Level Pattern Image Note
TS28: bladder Present UC Davis_1890004

Specimen UC Davis_1890005: postnatal adult; Ptprstm1b(KOMP)Mbp/Ptprs+ (more )
Structure Level Pattern Image Note
TS28: bladder Present UC Davis_1890005

Specimen UC Davis_1890006: postnatal adult; Ptprstm1b(KOMP)Mbp/Ptprs+ (more )
Structure Level Pattern Image Note
TS28: testis Present UC Davis_1890006

Specimen UC Davis_1890007: postnatal adult; Ptprstm1b(KOMP)Mbp/Ptprs+ (more )
Structure Level Pattern Image Note
TS28: testis Present UC Davis_1890007

Specimen UC Davis_1890008: postnatal adult; Ptprstm1b(KOMP)Mbp/Ptprs+ (more )
Structure Level Pattern Image Note
TS28: testis Present UC Davis_1890008

Specimen UC Davis_1890009: postnatal adult; Ptprstm1b(KOMP)Mbp/Ptprs+ (more )
Structure Level Pattern Image Note
TS28: epididymis Present UC Davis_1890009

Specimen UC Davis_1890010: postnatal adult; Ptprstm1b(KOMP)Mbp/Ptprs+ (more )
Structure Level Pattern Image Note
TS28: epididymis Present UC Davis_1890010

Specimen UC Davis_1890011: postnatal adult; Ptprstm1b(KOMP)Mbp/Ptprs+ (more )
Structure Level Pattern Image Note
TS28: epididymis Present UC Davis_1890011

Specimen UC Davis_1890012: postnatal adult; Ptprstm1b(KOMP)Mbp/Ptprs+ (more )
Structure Level Pattern Image Note
TS28: prostate gland Present UC Davis_1890012

Specimen UC Davis_1890013: postnatal adult; Ptprstm1b(KOMP)Mbp/Ptprs+ (more )
Structure Level Pattern Image Note
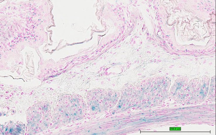
TS28: penis Present UC Davis_1890013

Specimen UC Davis_1890014: postnatal adult; Ptprstm1b(KOMP)Mbp/Ptprs+ (more )
Structure Level Pattern Image Note
TS28: penis Present UC Davis_1890014

Specimen UC Davis_1890015: postnatal adult; Ptprstm1b(KOMP)Mbp/Ptprs+ (more )
Structure Level Pattern Image Note
TS28: penis Present UC Davis_1890015

Specimen UC Davis_1890018: postnatal adult; Ptprstm1b(KOMP)Mbp/Ptprs+ (more )
Structure Level Pattern Image Note
TS28: ductus deferens Present UC Davis_1890018 vas deferens

Specimen UC Davis_1890019: postnatal adult; Ptprstm1b(KOMP)Mbp/Ptprs+ (more )
Structure Level Pattern Image Note
TS28: ductus deferens Present UC Davis_1890019 vas deferens

Specimen UC Davis_1890020: postnatal adult; Ptprstm1b(KOMP)Mbp/Ptprs+ (more )
Structure Level Pattern Image Note
TS28: ductus deferens Present UC Davis_1890020 vas deferens

Specimen UC Davis_1890023: postnatal adult; Ptprstm1b(KOMP)Mbp/Ptprs+ (more )
Structure Level Pattern Image Note
TS28: seminal vesicle Present UC Davis_1890023 vesicular gland

Specimen UC Davis_1890024: postnatal adult; Ptprstm1b(KOMP)Mbp/Ptprs+ (more )
Structure Level Pattern Image Note
TS28: seminal vesicle Present UC Davis_1890024 vesicular gland


Contributing Projects:
Mouse Genome Database (MGD), Gene Expression Database (GXD), Mouse Models of Human Cancer database (MMHCdb) (formerly Mouse Tumor Biology (MTB)), Gene Ontology (GO)
Citing These Resources
Funding Information
Warranty Disclaimer, Privacy Notice, Licensing, & Copyright
Send questions and comments to User Support.
last database update
01/20/2026
MGI 6.24
The Jackson Laboratory