About   Help   FAQ
Gene Expression Data
Assay Details
Assay
Reference: J:228563 Koscielny G, et al., The International Mouse Phenotyping Consortium Web Portal, a unified point of access for knockout mice and related phenotyping data. Nucleic Acids Res. 2014 Jan;42(Database issue):D802-9
Assay type: In situ reporter (knock in)
MGI Accession ID: MGI:6693184
Gene symbol: Plat
Gene name: plasminogen activator, tissue
Reporter: lacZ
Direct Detection
Results
Specimen UC Davis_1873759: postnatal adult; Plattm1.1(KOMP)Vlcg/Plat+ (more )
Structure Level Pattern Image Note
TS28: esophagus Present UC Davis_1873759

Specimen UC Davis_1873760: postnatal adult; Plattm1.1(KOMP)Vlcg/Plat+ (more )
Structure Level Pattern Image Note
TS28: esophagus Present UC Davis_1873760

Specimen UC Davis_1873761: postnatal adult; Plattm1.1(KOMP)Vlcg/Plat+ (more )
Structure Level Pattern Image Note
TS28: thymus Present UC Davis_1873761

Specimen UC Davis_1873762: postnatal adult; Plattm1.1(KOMP)Vlcg/Plat+ (more )
Structure Level Pattern Image Note
TS28: thymus Present UC Davis_1873762

Specimen UC Davis_1873763: postnatal adult; Plattm1.1(KOMP)Vlcg/Plat+ (more )
Structure Level Pattern Image Note
TS28: stomach Present UC Davis_1873763

Specimen UC Davis_1873764: postnatal adult; Plattm1.1(KOMP)Vlcg/Plat+ (more )
Structure Level Pattern Image Note
TS28: stomach Present UC Davis_1873764

Specimen UC Davis_1873765: postnatal adult; Plattm1.1(KOMP)Vlcg/Plat+ (more )
Structure Level Pattern Image Note
TS28: jejunum Present UC Davis_1873765

Specimen UC Davis_1873766: postnatal adult; Plattm1.1(KOMP)Vlcg/Plat+ (more )
Structure Level Pattern Image Note
TS28: jejunum Present UC Davis_1873766

Specimen UC Davis_1873767: postnatal adult; Plattm1.1(KOMP)Vlcg/Plat+ (more )
Structure Level Pattern Image Note
TS28: ileum Present UC Davis_1873767

Specimen UC Davis_1873768: postnatal adult; Plattm1.1(KOMP)Vlcg/Plat+ (more )
Structure Level Pattern Image Note
TS28: ileum Present UC Davis_1873768

Specimen UC Davis_1873769: postnatal adult; Plattm1.1(KOMP)Vlcg/Plat+ (more )
Structure Level Pattern Image Note
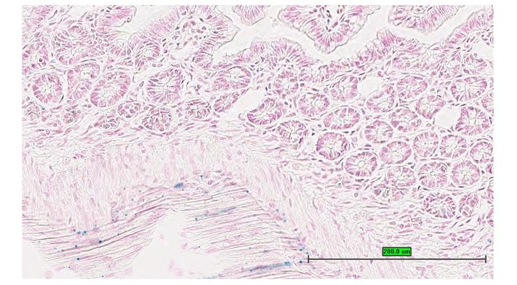
TS28: colon Present UC Davis_1873769

Specimen UC Davis_1873770: postnatal adult; Plattm1.1(KOMP)Vlcg/Plat+ (more )
Structure Level Pattern Image Note
TS28: colon Present UC Davis_1873770

Specimen UC Davis_1873771: postnatal adult; Plattm1.1(KOMP)Vlcg/Plat+ (more )
Structure Level Pattern Image Note
TS28: cecum Present UC Davis_1873771

Specimen UC Davis_1873772: postnatal adult; Plattm1.1(KOMP)Vlcg/Plat+ (more )
Structure Level Pattern Image Note
TS28: metanephros Present UC Davis_1873772 kidney

Specimen UC Davis_1873773: postnatal adult; Plattm1.1(KOMP)Vlcg/Plat+ (more )
Structure Level Pattern Image Note
TS28: metanephros Present UC Davis_1873773 kidney

Specimen UC Davis_1873774: postnatal adult; Plattm1.1(KOMP)Vlcg/Plat+ (more )
Structure Level Pattern Image Note
TS28: metanephros Present UC Davis_1873774 kidney

Specimen UC Davis_1873775: postnatal adult; Plattm1.1(KOMP)Vlcg/Plat+ (more )
Structure Level Pattern Image Note
TS28: metanephros Present UC Davis_1873775 kidney

Specimen UC Davis_1873776: postnatal adult; Plattm1.1(KOMP)Vlcg/Plat+ (more )
Structure Level Pattern Image Note
TS28: tongue Present UC Davis_1873776

Specimen UC Davis_1873777: postnatal adult; Plattm1.1(KOMP)Vlcg/Plat+ (more )
Structure Level Pattern Image Note
TS28: tongue Present UC Davis_1873777

Specimen UC Davis_1873778: postnatal adult; Plattm1.1(KOMP)Vlcg/Plat+ (more )
Structure Level Pattern Image Note
TS28: tongue Present UC Davis_1873778

Specimen UC Davis_1873779: postnatal adult; Plattm1.1(KOMP)Vlcg/Plat+ (more )
Structure Level Pattern Image Note
TS28: spinal cord Present UC Davis_1873779

Specimen UC Davis_1873780: postnatal adult; Plattm1.1(KOMP)Vlcg/Plat+ (more )
Structure Level Pattern Image Note
TS28: eye Present UC Davis_1873780

Specimen UC Davis_1873781: postnatal adult; Plattm1.1(KOMP)Vlcg/Plat+ (more )
Structure Level Pattern Image Note
TS28: eye Present UC Davis_1873781

Specimen UC Davis_1873782: postnatal adult; Plattm1.1(KOMP)Vlcg/Plat+ (more )
Structure Level Pattern Image Note
TS28: eye Present UC Davis_1873782

Specimen UC Davis_1873783: postnatal adult; Plattm1.1(KOMP)Vlcg/Plat+ (more )
Structure Level Pattern Image Note
TS28: gonadal fat pad Present UC Davis_1873783

Specimen UC Davis_1873784: postnatal adult; Plattm1.1(KOMP)Vlcg/Plat+ (more )
Structure Level Pattern Image Note
TS28: skin Present UC Davis_1873784

Specimen UC Davis_1873785: postnatal adult; Plattm1.1(KOMP)Vlcg/Plat+ (more )
Structure Level Pattern Image Note
TS28: skin Present UC Davis_1873785

Specimen UC Davis_1873786: postnatal adult; Plattm1.1(KOMP)Vlcg/Plat+ (more )
Structure Level Pattern Image Note
TS28: brown fat Present UC Davis_1873786

Specimen UC Davis_1873787: postnatal adult; Plattm1.1(KOMP)Vlcg/Plat+ (more )
Structure Level Pattern Image Note
TS28: olfactory lobe Present UC Davis_1873787

Specimen UC Davis_1873791: postnatal adult; Plattm1.1(KOMP)Vlcg/Plat+ (more )
Structure Level Pattern Image Note
TS28: midbrain Present UC Davis_1873791

Specimen UC Davis_1873793: postnatal adult; Plattm1.1(KOMP)Vlcg/Plat+ (more )
Structure Level Pattern Image Note
TS28: cerebellum Present UC Davis_1873793

Specimen UC Davis_1873794: postnatal adult; Plattm1.1(KOMP)Vlcg/Plat+ (more )
Structure Level Pattern Image Note
TS28: trigeminal nerve Present UC Davis_1873794

Specimen UC Davis_1873795: postnatal adult; Plattm1.1(KOMP)Vlcg/Plat+ (more )
Structure Level Pattern Image Note
TS28: ovary Present UC Davis_1873795

Specimen UC Davis_1873796: postnatal adult; Plattm1.1(KOMP)Vlcg/Plat+ (more )
Structure Level Pattern Image Note
TS28: ovary Present UC Davis_1873796

Specimen UC Davis_1873797: postnatal adult; Plattm1.1(KOMP)Vlcg/Plat+ (more )
Structure Level Pattern Image Note
TS28: oviduct Present UC Davis_1873797

Specimen UC Davis_1873798: postnatal adult; Plattm1.1(KOMP)Vlcg/Plat+ (more )
Structure Level Pattern Image Note
TS28: uterus Present UC Davis_1873798

Specimen UC Davis_1873799: postnatal adult; Plattm1.1(KOMP)Vlcg/Plat+ (more )
Structure Level Pattern Image Note
TS28: uterus Present UC Davis_1873799

Specimen UC Davis_1873800: postnatal adult; Plattm1.1(KOMP)Vlcg/Plat+ (more )
Structure Level Pattern Image Note
TS28: vagina Present UC Davis_1873800

Specimen UC Davis_1873801: postnatal adult; Plattm1.1(KOMP)Vlcg/Plat+ (more )
Structure Level Pattern Image Note
TS28: vagina Present UC Davis_1873801

Specimen UC Davis_1873802: postnatal adult; Plattm1.1(KOMP)Vlcg/Plat+ (more )
Structure Level Pattern Image Note
TS28: bladder Present UC Davis_1873802

Specimen UC Davis_1873803: postnatal adult; Plattm1.1(KOMP)Vlcg/Plat+ (more )
Structure Level Pattern Image Note
TS28: bladder Present UC Davis_1873803

Specimen UC Davis_1873805: postnatal adult; Plattm1.1(KOMP)Vlcg/Plat+ (more )
Structure Level Pattern Image Note
TS28: mammary gland Present UC Davis_1873805

Specimen UC Davis_1873806: postnatal adult; Plattm1.1(KOMP)Vlcg/Plat+ (more )
Structure Level Pattern Image Note
TS28: mammary gland Present UC Davis_1873806

Specimen UC Davis_1873727: postnatal adult; Plattm1.1(KOMP)Vlcg/Plat+ (more )
Structure Level Pattern Image Note
TS28: thymus Present UC Davis_1873727

Specimen UC Davis_1873728: postnatal adult; Plattm1.1(KOMP)Vlcg/Plat+ (more )
Structure Level Pattern Image Note
TS28: thymus Present UC Davis_1873728

Specimen UC Davis_1873729: postnatal adult; Plattm1.1(KOMP)Vlcg/Plat+ (more )
Structure Level Pattern Image Note
TS28: jejunum Present UC Davis_1873729

Specimen UC Davis_1873730: postnatal adult; Plattm1.1(KOMP)Vlcg/Plat+ (more )
Structure Level Pattern Image Note
TS28: ileum Present UC Davis_1873730

Specimen UC Davis_1873731: postnatal adult; Plattm1.1(KOMP)Vlcg/Plat+ (more )
Structure Level Pattern Image Note
TS28: ileum Present UC Davis_1873731

Specimen UC Davis_1873732: postnatal adult; Plattm1.1(KOMP)Vlcg/Plat+ (more )
Structure Level Pattern Image Note
TS28: metanephros Present UC Davis_1873732 kidney

Specimen UC Davis_1873733: postnatal adult; Plattm1.1(KOMP)Vlcg/Plat+ (more )
Structure Level Pattern Image Note
TS28: metanephros Present UC Davis_1873733 kidney

Specimen UC Davis_1873734: postnatal adult; Plattm1.1(KOMP)Vlcg/Plat+ (more )
Structure Level Pattern Image Note
TS28: metanephros Present UC Davis_1873734 kidney

Specimen UC Davis_1873735: postnatal adult; Plattm1.1(KOMP)Vlcg/Plat+ (more )
Structure Level Pattern Image Note
TS28: metanephros Present UC Davis_1873735 kidney

Specimen UC Davis_1873736: postnatal adult; Plattm1.1(KOMP)Vlcg/Plat+ (more )
Structure Level Pattern Image Note
TS28: metanephros Present UC Davis_1873736 kidney

Specimen UC Davis_1873737: postnatal adult; Plattm1.1(KOMP)Vlcg/Plat+ (more )
Structure Level Pattern Image Note
TS28: pituitary gland Present UC Davis_1873737

Specimen UC Davis_1873738: postnatal adult; Plattm1.1(KOMP)Vlcg/Plat+ (more )
Structure Level Pattern Image Note
TS28: pituitary gland Present UC Davis_1873738

Specimen UC Davis_1873739: postnatal adult; Plattm1.1(KOMP)Vlcg/Plat+ (more )
Structure Level Pattern Image Note
TS28: spinal cord Present UC Davis_1873739

Specimen UC Davis_1873740: postnatal adult; Plattm1.1(KOMP)Vlcg/Plat+ (more )
Structure Level Pattern Image Note
TS28: skin Present UC Davis_1873740

Specimen UC Davis_1873741: postnatal adult; Plattm1.1(KOMP)Vlcg/Plat+ (more )
Structure Level Pattern Image Note
TS28: skin Present UC Davis_1873741

Specimen UC Davis_1873742: postnatal adult; Plattm1.1(KOMP)Vlcg/Plat+ (more )
Structure Level Pattern Image Note
TS28: olfactory lobe Present UC Davis_1873742

Specimen UC Davis_1873743: postnatal adult; Plattm1.1(KOMP)Vlcg/Plat+ (more )
Structure Level Pattern Image Note
TS28: olfactory lobe Present UC Davis_1873743

Specimen UC Davis_1873746: postnatal adult; Plattm1.1(KOMP)Vlcg/Plat+ (more )
Structure Level Pattern Image Note
TS28: midbrain Present UC Davis_1873746

Specimen UC Davis_1873748: postnatal adult; Plattm1.1(KOMP)Vlcg/Plat+ (more )
Structure Level Pattern Image Note
TS28: cerebellum Present UC Davis_1873748

Specimen UC Davis_1873749: postnatal adult; Plattm1.1(KOMP)Vlcg/Plat+ (more )
Structure Level Pattern Image Note
TS28: testis Present UC Davis_1873749

Specimen UC Davis_1873750: postnatal adult; Plattm1.1(KOMP)Vlcg/Plat+ (more )
Structure Level Pattern Image Note
TS28: testis Present UC Davis_1873750

Specimen UC Davis_1873751: postnatal adult; Plattm1.1(KOMP)Vlcg/Plat+ (more )
Structure Level Pattern Image Note
TS28: epididymis Present UC Davis_1873751

Specimen UC Davis_1873752: postnatal adult; Plattm1.1(KOMP)Vlcg/Plat+ (more )
Structure Level Pattern Image Note
TS28: epididymis Present UC Davis_1873752

Specimen UC Davis_1873753: postnatal adult; Plattm1.1(KOMP)Vlcg/Plat+ (more )
Structure Level Pattern Image Note
TS28: prostate gland Present UC Davis_1873753

Specimen UC Davis_1873754: postnatal adult; Plattm1.1(KOMP)Vlcg/Plat+ (more )
Structure Level Pattern Image Note
TS28: prostate gland Present UC Davis_1873754

Specimen UC Davis_1873755: postnatal adult; Plattm1.1(KOMP)Vlcg/Plat+ (more )
Structure Level Pattern Image Note
TS28: penis Present UC Davis_1873755

Specimen UC Davis_1873756: postnatal adult; Plattm1.1(KOMP)Vlcg/Plat+ (more )
Structure Level Pattern Image Note
TS28: penis Present UC Davis_1873756

Specimen UC Davis_1873757: postnatal adult; Plattm1.1(KOMP)Vlcg/Plat+ (more )
Structure Level Pattern Image Note
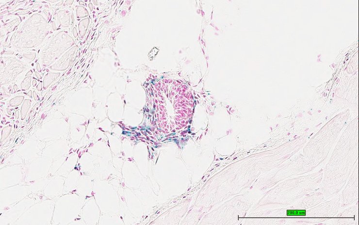
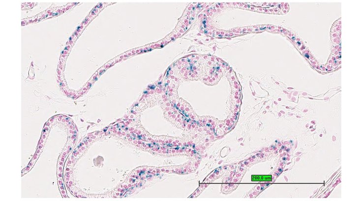
TS28: ductus deferens Present UC Davis_1873757 vas deferens

Specimen UC Davis_1873758: postnatal adult; Plattm1.1(KOMP)Vlcg/Plat+ (more )
Structure Level Pattern Image Note
TS28: ductus deferens Present UC Davis_1873758 vas deferens


Contributing Projects:
Mouse Genome Database (MGD), Gene Expression Database (GXD), Mouse Models of Human Cancer database (MMHCdb) (formerly Mouse Tumor Biology (MTB)), Gene Ontology (GO)
Citing These Resources
Funding Information
Warranty Disclaimer, Privacy Notice, Licensing, & Copyright
Send questions and comments to User Support.
last database update
01/06/2026
MGI 6.24
The Jackson Laboratory