About   Help   FAQ
Gene Expression Data
Assay Details
Assay
Reference: J:228563 Koscielny G, et al., The International Mouse Phenotyping Consortium Web Portal, a unified point of access for knockout mice and related phenotyping data. Nucleic Acids Res. 2014 Jan;42(Database issue):D802-9
Assay type: In situ reporter (knock in)
MGI Accession ID: MGI:6693158
Gene symbol: Nhlh2
Gene name: nescient helix loop helix 2
Reporter: lacZ
Direct Detection
Results
Specimen UC Davis_1858660: postnatal adult; Nhlh2tm1b(KOMP)Mbp/Nhlh2+ (more )
Structure Level Pattern Image Note
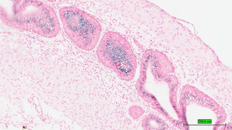
TS28: esophagus Present UC Davis_1858660

Specimen UC Davis_1858661: postnatal adult; Nhlh2tm1b(KOMP)Mbp/Nhlh2+ (more )
Structure Level Pattern Image Note
TS28: esophagus Present UC Davis_1858661

Specimen UC Davis_1858663: postnatal adult; Nhlh2tm1b(KOMP)Mbp/Nhlh2+ (more )
Structure Level Pattern Image Note
TS28: midbrain Present UC Davis_1858663

Specimen UC Davis_1858666: postnatal adult; Nhlh2tm1b(KOMP)Mbp/Nhlh2+ (more )
Structure Level Pattern Image Note
TS28: midbrain Present UC Davis_1858666

Specimen UC Davis_1858668: postnatal adult; Nhlh2tm1b(KOMP)Mbp/Nhlh2+ (more )
Structure Level Pattern Image Note
TS28: cerebellum Present UC Davis_1858668

Specimen UC Davis_1858669: postnatal adult; Nhlh2tm1b(KOMP)Mbp/Nhlh2+ (more )
Structure Level Pattern Image Note
TS28: testis Present UC Davis_1858669

Specimen UC Davis_1858670: postnatal adult; Nhlh2tm1b(KOMP)Mbp/Nhlh2+ (more )
Structure Level Pattern Image Note
TS28: testis Present UC Davis_1858670

Specimen UC Davis_1858671: postnatal adult; Nhlh2tm1b(KOMP)Mbp/Nhlh2+ (more )
Structure Level Pattern Image Note
TS28: epididymis Present UC Davis_1858671

Specimen UC Davis_1858672: postnatal adult; Nhlh2tm1b(KOMP)Mbp/Nhlh2+ (more )
Structure Level Pattern Image Note
TS28: epididymis Present UC Davis_1858672

Specimen UC Davis_1858673: postnatal adult; Nhlh2tm1b(KOMP)Mbp/Nhlh2+ (more )
Structure Level Pattern Image Note
TS28: epididymis Present UC Davis_1858673

Specimen UC Davis_1858674: postnatal adult; Nhlh2tm1b(KOMP)Mbp/Nhlh2+ (more )
Structure Level Pattern Image Note
TS28: ductus deferens Present UC Davis_1858674 vas deferens

Specimen UC Davis_1858675: postnatal adult; Nhlh2tm1b(KOMP)Mbp/Nhlh2+ (more )
Structure Level Pattern Image Note
TS28: ductus deferens Present UC Davis_1858675 vas deferens

Specimen UC Davis_1858676: postnatal adult; Nhlh2tm1b(KOMP)Mbp/Nhlh2+ (more )
Structure Level Pattern Image Note
TS28: ductus deferens Present UC Davis_1858676 vas deferens

Specimen UC Davis_1858679: postnatal adult; Nhlh2tm1b(KOMP)Mbp/Nhlh2+ (more )
Structure Level Pattern Image Note
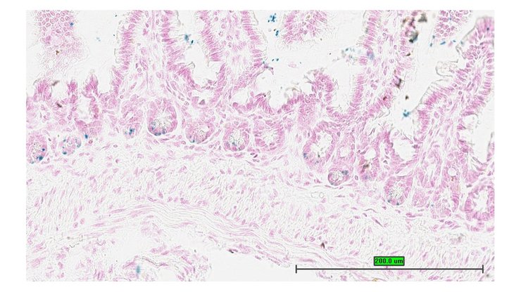
TS28: ileum Present UC Davis_1858679

Specimen UC Davis_1858680: postnatal adult; Nhlh2tm1b(KOMP)Mbp/Nhlh2+ (more )
Structure Level Pattern Image Note
TS28: ileum Present UC Davis_1858680

Specimen UC Davis_1858681: postnatal adult; Nhlh2tm1b(KOMP)Mbp/Nhlh2+ (more )
Structure Level Pattern Image Note
TS28: ileum Present UC Davis_1858681

Specimen UC Davis_1858682: postnatal adult; Nhlh2tm1b(KOMP)Mbp/Nhlh2+ (more )
Structure Level Pattern Image Note
TS28: ileum Present UC Davis_1858682

Specimen UC Davis_1858683: postnatal adult; Nhlh2tm1b(KOMP)Mbp/Nhlh2+ (more )
Structure Level Pattern Image Note
TS28: ileum Present UC Davis_1858683

Specimen UC Davis_1858684: postnatal adult; Nhlh2tm1b(KOMP)Mbp/Nhlh2+ (more )
Structure Level Pattern Image Note
TS28: eye Present UC Davis_1858684

Specimen UC Davis_1858685: postnatal adult; Nhlh2tm1b(KOMP)Mbp/Nhlh2+ (more )
Structure Level Pattern Image Note
TS28: eye Present UC Davis_1858685

Specimen UC Davis_1858686: postnatal adult; Nhlh2tm1b(KOMP)Mbp/Nhlh2+ (more )
Structure Level Pattern Image Note
TS28: eye Present UC Davis_1858686

Specimen UC Davis_1858688: postnatal adult; Nhlh2tm1b(KOMP)Mbp/Nhlh2+ (more )
Structure Level Pattern Image Note
TS28: midbrain Present UC Davis_1858688

Specimen UC Davis_1858690: postnatal adult; Nhlh2tm1b(KOMP)Mbp/Nhlh2+ (more )
Structure Level Pattern Image Note
TS28: cerebellum Present UC Davis_1858690

Specimen UC Davis_1858691: postnatal adult; Nhlh2tm1b(KOMP)Mbp/Nhlh2+ (more )
Structure Level Pattern Image Note
TS28: testis Present UC Davis_1858691

Specimen UC Davis_1858692: postnatal adult; Nhlh2tm1b(KOMP)Mbp/Nhlh2+ (more )
Structure Level Pattern Image Note
TS28: testis Present UC Davis_1858692

Specimen UC Davis_1858693: postnatal adult; Nhlh2tm1b(KOMP)Mbp/Nhlh2+ (more )
Structure Level Pattern Image Note
TS28: testis Present UC Davis_1858693

Specimen UC Davis_1858694: postnatal adult; Nhlh2tm1b(KOMP)Mbp/Nhlh2+ (more )
Structure Level Pattern Image Note
TS28: epididymis Present UC Davis_1858694

Specimen UC Davis_1858695: postnatal adult; Nhlh2tm1b(KOMP)Mbp/Nhlh2+ (more )
Structure Level Pattern Image Note
TS28: epididymis Present UC Davis_1858695

Specimen UC Davis_1858696: postnatal adult; Nhlh2tm1b(KOMP)Mbp/Nhlh2+ (more )
Structure Level Pattern Image Note
TS28: olfactory lobe Present UC Davis_1858696

Specimen UC Davis_1858699: postnatal adult; Nhlh2tm1b(KOMP)Mbp/Nhlh2+ (more )
Structure Level Pattern Image Note
TS28: midbrain Present UC Davis_1858699

Specimen UC Davis_1858701: postnatal adult; Nhlh2tm1b(KOMP)Mbp/Nhlh2+ (more )
Structure Level Pattern Image Note
TS28: cerebellum Present UC Davis_1858701

Specimen UC Davis_1858702: postnatal adult; Nhlh2tm1b(KOMP)Mbp/Nhlh2+ (more )
Structure Level Pattern Image Note
TS28: brain Present UC Davis_1858702

Specimen UC Davis_1858703: postnatal adult; Nhlh2tm1b(KOMP)Mbp/Nhlh2+ (more )
Structure Level Pattern Image Note
TS28: trachea Present UC Davis_1858703

Specimen UC Davis_1858705: postnatal adult; Nhlh2tm1b(KOMP)Mbp/Nhlh2+ (more )
Structure Level Pattern Image Note
TS28: spinal cord Present UC Davis_1858705

Specimen UC Davis_1858706: postnatal adult; Nhlh2tm1b(KOMP)Mbp/Nhlh2+ (more )
Structure Level Pattern Image Note
TS28: pituitary gland Present UC Davis_1858706

Specimen UC Davis_1858707: postnatal adult; Nhlh2tm1b(KOMP)Mbp/Nhlh2+ (more )
Structure Level Pattern Image Note
TS28: testis Present UC Davis_1858707


Contributing Projects:
Mouse Genome Database (MGD), Gene Expression Database (GXD), Mouse Models of Human Cancer database (MMHCdb) (formerly Mouse Tumor Biology (MTB)), Gene Ontology (GO)
Citing These Resources
Funding Information
Warranty Disclaimer, Privacy Notice, Licensing, & Copyright
Send questions and comments to User Support.
last database update
01/06/2026
MGI 6.24
The Jackson Laboratory