About   Help   FAQ
Gene Expression Data
Assay Details
Assay
Reference: J:228563 Koscielny G, et al., The International Mouse Phenotyping Consortium Web Portal, a unified point of access for knockout mice and related phenotyping data. Nucleic Acids Res. 2014 Jan;42(Database issue):D802-9
Assay type: In situ reporter (knock in)
MGI Accession ID: MGI:6693153
Gene symbol: Myb
Gene name: Myb proto-oncogene, transcription factor
Reporter: lacZ
Direct Detection
Results
Specimen UC Davis_1880052: postnatal adult; Mybtm1b(KOMP)Wtsi/Myb+ (more )
Structure Level Pattern Image Note
TS28: trachea Present UC Davis_1880052

Specimen UC Davis_1880053: postnatal adult; Mybtm1b(KOMP)Wtsi/Myb+ (more )
Structure Level Pattern Image Note
TS28: lung Present UC Davis_1880053

Specimen UC Davis_1880054: postnatal adult; Mybtm1b(KOMP)Wtsi/Myb+ (more )
Structure Level Pattern Image Note
TS28: stomach Present UC Davis_1880054

Specimen UC Davis_1880055: postnatal adult; Mybtm1b(KOMP)Wtsi/Myb+ (more )
Structure Level Pattern Image Note
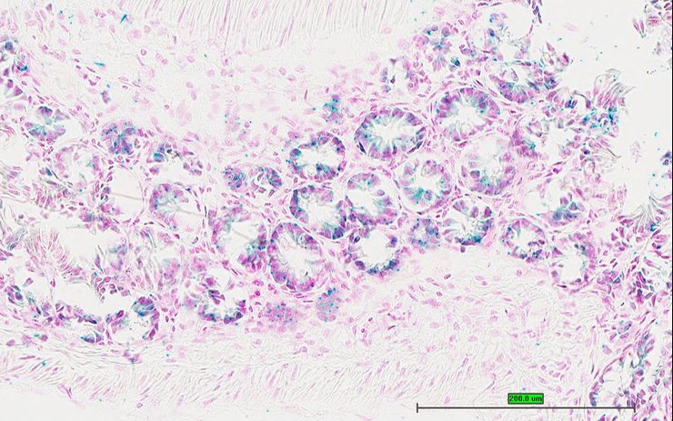
TS28: duodenum Present UC Davis_1880055

Specimen UC Davis_1880056: postnatal adult; Mybtm1b(KOMP)Wtsi/Myb+ (more )
Structure Level Pattern Image Note
TS28: ileum Present UC Davis_1880056

Specimen UC Davis_1880057: postnatal adult; Mybtm1b(KOMP)Wtsi/Myb+ (more )
Structure Level Pattern Image Note
TS28: ileum Present UC Davis_1880057

Specimen UC Davis_1880058: postnatal adult; Mybtm1b(KOMP)Wtsi/Myb+ (more )
Structure Level Pattern Image Note
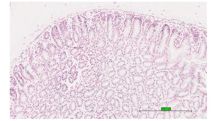
TS28: colon Present UC Davis_1880058

Specimen UC Davis_1880059: postnatal adult; Mybtm1b(KOMP)Wtsi/Myb+ (more )
Structure Level Pattern Image Note
TS28: colon Present UC Davis_1880059

Specimen UC Davis_1880060: postnatal adult; Mybtm1b(KOMP)Wtsi/Myb+ (more )
Structure Level Pattern Image Note
TS28: cecum Present UC Davis_1880060

Specimen UC Davis_1880061: postnatal adult; Mybtm1b(KOMP)Wtsi/Myb+ (more )
Structure Level Pattern Image Note
TS28: spleen Present UC Davis_1880061

Specimen UC Davis_1880062: postnatal adult; Mybtm1b(KOMP)Wtsi/Myb+ (more )
Structure Level Pattern Image Note
TS28: spleen Present UC Davis_1880062

Specimen UC Davis_1880065: postnatal adult; Mybtm1b(KOMP)Wtsi/Myb+ (more )
Structure Level Pattern Image Note
TS28: midbrain Present UC Davis_1880065

Specimen UC Davis_1880067: postnatal adult; Mybtm1b(KOMP)Wtsi/Myb+ (more )
Structure Level Pattern Image Note
TS28: cerebellum Present UC Davis_1880067

Specimen UC Davis_1880068: postnatal adult; Mybtm1b(KOMP)Wtsi/Myb+ (more )
Structure Level Pattern Image Note
TS28: oviduct Present UC Davis_1880068

Specimen UC Davis_1880069: postnatal adult; Mybtm1b(KOMP)Wtsi/Myb+ (more )
Structure Level Pattern Image Note
TS28: bone marrow Present UC Davis_1880069

Specimen UC Davis_1880070: postnatal adult; Mybtm1b(KOMP)Wtsi/Myb+ (more )
Structure Level Pattern Image Note
TS28: lung Present UC Davis_1880070

Specimen UC Davis_1880071: postnatal adult; Mybtm1b(KOMP)Wtsi/Myb+ (more )
Structure Level Pattern Image Note
TS28: lung Present UC Davis_1880071

Specimen UC Davis_1880072: postnatal adult; Mybtm1b(KOMP)Wtsi/Myb+ (more )
Structure Level Pattern Image Note
TS28: stomach Present UC Davis_1880072

Specimen UC Davis_1880073: postnatal adult; Mybtm1b(KOMP)Wtsi/Myb+ (more )
Structure Level Pattern Image Note
TS28: stomach Present UC Davis_1880073

Specimen UC Davis_1880074: postnatal adult; Mybtm1b(KOMP)Wtsi/Myb+ (more )
Structure Level Pattern Image Note
TS28: ileum Present UC Davis_1880074

Specimen UC Davis_1880075: postnatal adult; Mybtm1b(KOMP)Wtsi/Myb+ (more )
Structure Level Pattern Image Note
TS28: ileum Present UC Davis_1880075

Specimen UC Davis_1880076: postnatal adult; Mybtm1b(KOMP)Wtsi/Myb+ (more )
Structure Level Pattern Image Note
TS28: colon Present UC Davis_1880076

Specimen UC Davis_1880077: postnatal adult; Mybtm1b(KOMP)Wtsi/Myb+ (more )
Structure Level Pattern Image Note
TS28: colon Present UC Davis_1880077

Specimen UC Davis_1880078: postnatal adult; Mybtm1b(KOMP)Wtsi/Myb+ (more )
Structure Level Pattern Image Note
TS28: colon Present UC Davis_1880078

Specimen UC Davis_1880079: postnatal adult; Mybtm1b(KOMP)Wtsi/Myb+ (more )
Structure Level Pattern Image Note
TS28: cecum Present UC Davis_1880079

Specimen UC Davis_1880082: postnatal adult; Mybtm1b(KOMP)Wtsi/Myb+ (more )
Structure Level Pattern Image Note
TS28: epididymis Present UC Davis_1880082

Specimen UC Davis_1880083: postnatal adult; Mybtm1b(KOMP)Wtsi/Myb+ (more )
Structure Level Pattern Image Note
TS28: bone marrow Present UC Davis_1880083

Specimen UC Davis_1880084: postnatal adult; Mybtm1b(KOMP)Wtsi/Myb+ (more )
Structure Level Pattern Image Note
TS28: bone marrow Present UC Davis_1880084

Specimen UC Davis_1880085: postnatal adult; Mybtm1b(KOMP)Wtsi/Myb+ (more )
Structure Level Pattern Image Note
TS28: ductus deferens Present UC Davis_1880085 vas deferens


Contributing Projects:
Mouse Genome Database (MGD), Gene Expression Database (GXD), Mouse Models of Human Cancer database (MMHCdb) (formerly Mouse Tumor Biology (MTB)), Gene Ontology (GO)
Citing These Resources
Funding Information
Warranty Disclaimer, Privacy Notice, Licensing, & Copyright
Send questions and comments to User Support.
last database update
01/20/2026
MGI 6.24
The Jackson Laboratory