About   Help   FAQ
Gene Expression Data
Assay Details
Assay
Reference: J:228563 Koscielny G, et al., The International Mouse Phenotyping Consortium Web Portal, a unified point of access for knockout mice and related phenotyping data. Nucleic Acids Res. 2014 Jan;42(Database issue):D802-9
Assay type: In situ reporter (knock in)
MGI Accession ID: MGI:6693125
Gene symbol: Kcnc2
Gene name: potassium voltage gated channel, Shaw-related subfamily, member 2
Reporter: lacZ
Direct Detection
Results
Specimen UC Davis_1860187: postnatal adult; Kcnc2tm1.1(KOMP)Vlcg/Kcnc2+ (more )
Structure Level Pattern Image Note
TS28: ileum Present UC Davis_1860187

Specimen UC Davis_1860188: postnatal adult; Kcnc2tm1.1(KOMP)Vlcg/Kcnc2+ (more )
Structure Level Pattern Image Note
TS28: metanephros Present UC Davis_1860188 kidney

Specimen UC Davis_1860189: postnatal adult; Kcnc2tm1.1(KOMP)Vlcg/Kcnc2+ (more )
Structure Level Pattern Image Note
TS28: metanephros Present UC Davis_1860189 kidney

Specimen UC Davis_1860190: postnatal adult; Kcnc2tm1.1(KOMP)Vlcg/Kcnc2+ (more )
Structure Level Pattern Image Note
TS28: metanephros Present UC Davis_1860190 kidney

Specimen UC Davis_1860191: postnatal adult; Kcnc2tm1.1(KOMP)Vlcg/Kcnc2+ (more )
Structure Level Pattern Image Note
TS28: eye Present UC Davis_1860191

Specimen UC Davis_1860192: postnatal adult; Kcnc2tm1.1(KOMP)Vlcg/Kcnc2+ (more )
Structure Level Pattern Image Note
TS28: eye Present UC Davis_1860192

Specimen UC Davis_1860193: postnatal adult; Kcnc2tm1.1(KOMP)Vlcg/Kcnc2+ (more )
Structure Level Pattern Image Note
TS28: olfactory lobe Present UC Davis_1860193

Specimen UC Davis_1860195: postnatal adult; Kcnc2tm1.1(KOMP)Vlcg/Kcnc2+ (more )
Structure Level Pattern Image Note
TS28: midbrain Present UC Davis_1860195

Specimen UC Davis_1860197: postnatal adult; Kcnc2tm1.1(KOMP)Vlcg/Kcnc2+ (more )
Structure Level Pattern Image Note
TS28: cerebellum Present UC Davis_1860197

Specimen UC Davis_1860198: postnatal adult; Kcnc2tm1.1(KOMP)Vlcg/Kcnc2+ (more )
Structure Level Pattern Image Note
TS28: trigeminal nerve Present UC Davis_1860198

Specimen UC Davis_1860199: postnatal adult; Kcnc2tm1.1(KOMP)Vlcg/Kcnc2+ (more )
Structure Level Pattern Image Note
TS28: trigeminal nerve Present UC Davis_1860199

Specimen UC Davis_1860200: postnatal adult; Kcnc2tm1.1(KOMP)Vlcg/Kcnc2+ (more )
Structure Level Pattern Image Note
TS28: oviduct Present UC Davis_1860200

Specimen UC Davis_1860201: postnatal adult; Kcnc2tm1.1(KOMP)Vlcg/Kcnc2+ (more )
Structure Level Pattern Image Note
TS28: oviduct Present UC Davis_1860201

Specimen UC Davis_1860202: postnatal adult; Kcnc2tm1.1(KOMP)Vlcg/Kcnc2+ (more )
Structure Level Pattern Image Note
TS28: oviduct Present UC Davis_1860202

Specimen UC Davis_1860154: postnatal adult; Kcnc2tm1.1(KOMP)Vlcg/Kcnc2+ (more )
Structure Level Pattern Image Note
TS28: esophagus Present UC Davis_1860154

Specimen UC Davis_1860157: postnatal adult; Kcnc2tm1.1(KOMP)Vlcg/Kcnc2+ (more )
Structure Level Pattern Image Note
TS28: stomach Present UC Davis_1860157

Specimen UC Davis_1860158: postnatal adult; Kcnc2tm1.1(KOMP)Vlcg/Kcnc2+ (more )
Structure Level Pattern Image Note
TS28: ileum Present UC Davis_1860158

Specimen UC Davis_1860159: postnatal adult; Kcnc2tm1.1(KOMP)Vlcg/Kcnc2+ (more )
Structure Level Pattern Image Note
TS28: ileum Present UC Davis_1860159

Specimen UC Davis_1860160: postnatal adult; Kcnc2tm1.1(KOMP)Vlcg/Kcnc2+ (more )
Structure Level Pattern Image Note
TS28: colon Present UC Davis_1860160

Specimen UC Davis_1860161: postnatal adult; Kcnc2tm1.1(KOMP)Vlcg/Kcnc2+ (more )
Structure Level Pattern Image Note
TS28: colon Present UC Davis_1860161

Specimen UC Davis_1860162: postnatal adult; Kcnc2tm1.1(KOMP)Vlcg/Kcnc2+ (more )
Structure Level Pattern Image Note
TS28: cecum Present UC Davis_1860162

Specimen UC Davis_1860163: postnatal adult; Kcnc2tm1.1(KOMP)Vlcg/Kcnc2+ (more )
Structure Level Pattern Image Note
TS28: metanephros Present UC Davis_1860163 kidney

Specimen UC Davis_1860164: postnatal adult; Kcnc2tm1.1(KOMP)Vlcg/Kcnc2+ (more )
Structure Level Pattern Image Note
TS28: metanephros Present UC Davis_1860164 kidney

Specimen UC Davis_1860165: postnatal adult; Kcnc2tm1.1(KOMP)Vlcg/Kcnc2+ (more )
Structure Level Pattern Image Note
TS28: metanephros Present UC Davis_1860165 kidney

Specimen UC Davis_1860166: postnatal adult; Kcnc2tm1.1(KOMP)Vlcg/Kcnc2+ (more )
Structure Level Pattern Image Note
TS28: metanephros Present UC Davis_1860166 kidney

Specimen UC Davis_1860167: postnatal adult; Kcnc2tm1.1(KOMP)Vlcg/Kcnc2+ (more )
Structure Level Pattern Image Note
TS28: metanephros Present UC Davis_1860167 kidney

Specimen UC Davis_1860168: postnatal adult; Kcnc2tm1.1(KOMP)Vlcg/Kcnc2+ (more )
Structure Level Pattern Image Note
TS28: spinal cord Present UC Davis_1860168

Specimen UC Davis_1860169: postnatal adult; Kcnc2tm1.1(KOMP)Vlcg/Kcnc2+ (more )
Structure Level Pattern Image Note
TS28: spinal cord Present UC Davis_1860169

Specimen UC Davis_1860170: postnatal adult; Kcnc2tm1.1(KOMP)Vlcg/Kcnc2+ (more )
Structure Level Pattern Image Note
TS28: spinal cord Present UC Davis_1860170

Specimen UC Davis_1860171: postnatal adult; Kcnc2tm1.1(KOMP)Vlcg/Kcnc2+ (more )
Structure Level Pattern Image Note
TS28: spinal cord Present UC Davis_1860171

Specimen UC Davis_1860172: postnatal adult; Kcnc2tm1.1(KOMP)Vlcg/Kcnc2+ (more )
Structure Level Pattern Image Note
TS28: eye Present UC Davis_1860172

Specimen UC Davis_1860173: postnatal adult; Kcnc2tm1.1(KOMP)Vlcg/Kcnc2+ (more )
Structure Level Pattern Image Note
TS28: eye Present UC Davis_1860173

Specimen UC Davis_1860174: postnatal adult; Kcnc2tm1.1(KOMP)Vlcg/Kcnc2+ (more )
Structure Level Pattern Image Note
TS28: olfactory lobe Present UC Davis_1860174

Specimen UC Davis_1860175: postnatal adult; Kcnc2tm1.1(KOMP)Vlcg/Kcnc2+ (more )
Structure Level Pattern Image Note
TS28: olfactory lobe Present UC Davis_1860175

Specimen UC Davis_1860178: postnatal adult; Kcnc2tm1.1(KOMP)Vlcg/Kcnc2+ (more )
Structure Level Pattern Image Note
TS28: midbrain Present UC Davis_1860178

Specimen UC Davis_1860180: postnatal adult; Kcnc2tm1.1(KOMP)Vlcg/Kcnc2+ (more )
Structure Level Pattern Image Note
TS28: trigeminal nerve Present UC Davis_1860180

Specimen UC Davis_1860181: postnatal adult; Kcnc2tm1.1(KOMP)Vlcg/Kcnc2+ (more )
Structure Level Pattern Image Note
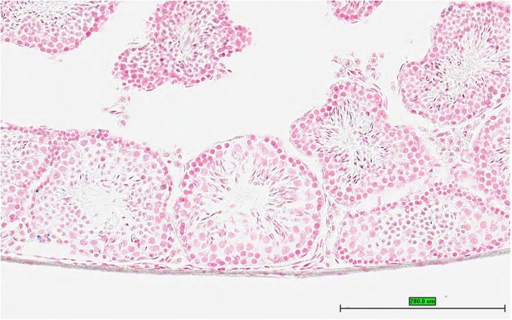
TS28: testis Present UC Davis_1860181

Specimen UC Davis_1860182: postnatal adult; Kcnc2tm1.1(KOMP)Vlcg/Kcnc2+ (more )
Structure Level Pattern Image Note
TS28: testis Present UC Davis_1860182

Specimen UC Davis_1860183: postnatal adult; Kcnc2tm1.1(KOMP)Vlcg/Kcnc2+ (more )
Structure Level Pattern Image Note
TS28: epididymis Present UC Davis_1860183

Specimen UC Davis_1860184: postnatal adult; Kcnc2tm1.1(KOMP)Vlcg/Kcnc2+ (more )
Structure Level Pattern Image Note
TS28: epididymis Present UC Davis_1860184

Specimen UC Davis_1860185: postnatal adult; Kcnc2tm1.1(KOMP)Vlcg/Kcnc2+ (more )
Structure Level Pattern Image Note
TS28: prostate gland Present UC Davis_1860185

Specimen UC Davis_1860186: postnatal adult; Kcnc2tm1.1(KOMP)Vlcg/Kcnc2+ (more )
Structure Level Pattern Image Note
TS28: ductus deferens Present UC Davis_1860186 vas deferens

Specimen UC Davis_1860203: postnatal adult; Kcnc2tm1.1(KOMP)Vlcg/Kcnc2+ (more )
Structure Level Pattern Image Note
TS28: olfactory lobe Present UC Davis_1860203

Specimen UC Davis_1860206: postnatal adult; Kcnc2tm1.1(KOMP)Vlcg/Kcnc2+ (more )
Structure Level Pattern Image Note
TS28: midbrain Present UC Davis_1860206

Specimen UC Davis_1860208: postnatal adult; Kcnc2tm1.1(KOMP)Vlcg/Kcnc2+ (more )
Structure Level Pattern Image Note
TS28: brain Present UC Davis_1860208

Specimen UC Davis_1860209: postnatal adult; Kcnc2tm1.1(KOMP)Vlcg/Kcnc2+ (more )
Structure Level Pattern Image Note
TS28: metanephros Present UC Davis_1860209 kidney

Specimen UC Davis_1860210: postnatal adult; Kcnc2tm1.1(KOMP)Vlcg/Kcnc2+ (more )
Structure Level Pattern Image Note
TS28: spinal cord Absent UC Davis_1860210

Specimen UC Davis_1860211: postnatal adult; Kcnc2tm1.1(KOMP)Vlcg/Kcnc2+ (more )
Structure Level Pattern Image Note
TS28: pituitary gland Present UC Davis_1860211


Contributing Projects:
Mouse Genome Database (MGD), Gene Expression Database (GXD), Mouse Models of Human Cancer database (MMHCdb) (formerly Mouse Tumor Biology (MTB)), Gene Ontology (GO)
Citing These Resources
Funding Information
Warranty Disclaimer, Privacy Notice, Licensing, & Copyright
Send questions and comments to User Support.
last database update
01/06/2026
MGI 6.24
The Jackson Laboratory