About   Help   FAQ
Gene Expression Data
Assay Details
Assay
Reference: J:228563 Koscielny G, et al., The International Mouse Phenotyping Consortium Web Portal, a unified point of access for knockout mice and related phenotyping data. Nucleic Acids Res. 2014 Jan;42(Database issue):D802-9
Assay type: In situ reporter (knock in)
MGI Accession ID: MGI:6693123
Gene symbol: Kcna1
Gene name: potassium voltage-gated channel, shaker-related subfamily, member 1
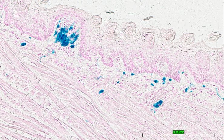
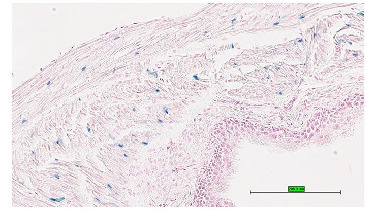
Reporter: lacZ
Direct Detection
Results
Specimen UC Davis_1876075: postnatal adult; Kcna1tm1.1(KOMP)Vlcg/Kcna1+ (more )
Structure Level Pattern Image Note
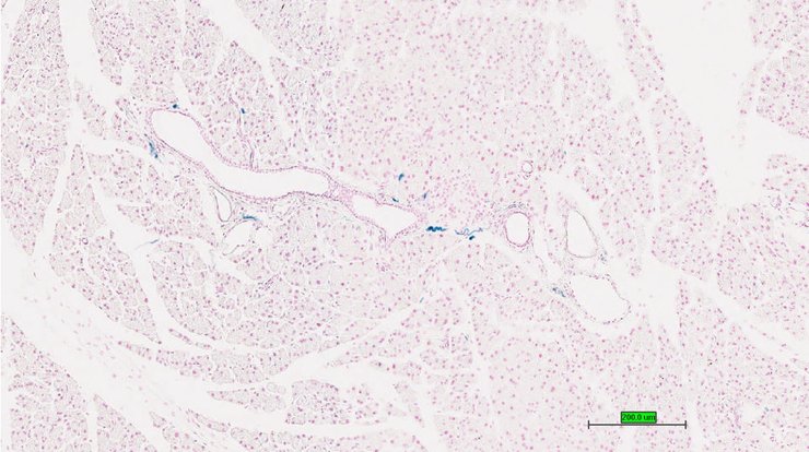
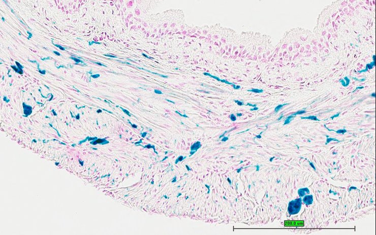
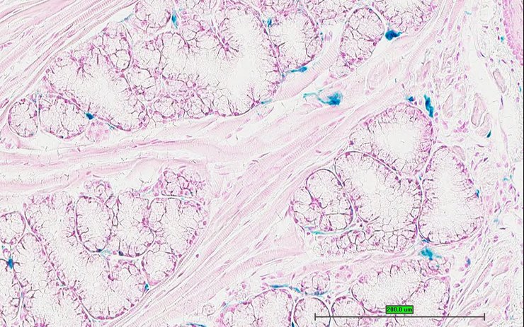
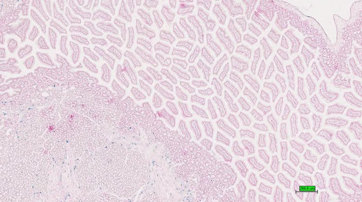
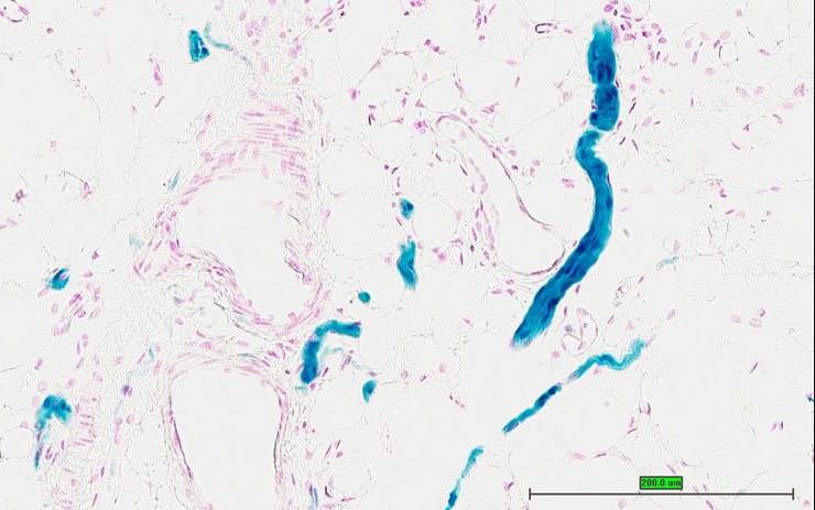
TS28: submandibular gland Present UC Davis_1876075

Specimen UC Davis_1876076: postnatal adult; Kcna1tm1.1(KOMP)Vlcg/Kcna1+ (more )
Structure Level Pattern Image Note
TS28: submandibular gland Present UC Davis_1876076

Specimen UC Davis_1876077: postnatal adult; Kcna1tm1.1(KOMP)Vlcg/Kcna1+ (more )
Structure Level Pattern Image Note
TS28: submandibular gland Present UC Davis_1876077

Specimen UC Davis_1876078: postnatal adult; Kcna1tm1.1(KOMP)Vlcg/Kcna1+ (more )
Structure Level Pattern Image Note
TS28: sublingual gland Present UC Davis_1876078

Specimen UC Davis_1876079: postnatal adult; Kcna1tm1.1(KOMP)Vlcg/Kcna1+ (more )
Structure Level Pattern Image Note
TS28: sublingual gland Present UC Davis_1876079

Specimen UC Davis_1876080: postnatal adult; Kcna1tm1.1(KOMP)Vlcg/Kcna1+ (more )
Structure Level Pattern Image Note
TS28: sublingual gland Present UC Davis_1876080

Specimen UC Davis_1876081: postnatal adult; Kcna1tm1.1(KOMP)Vlcg/Kcna1+ (more )
Structure Level Pattern Image Note
TS28: parotid gland Present UC Davis_1876081

Specimen UC Davis_1876082: postnatal adult; Kcna1tm1.1(KOMP)Vlcg/Kcna1+ (more )
Structure Level Pattern Image Note
TS28: parotid gland Present UC Davis_1876082

Specimen UC Davis_1876083: postnatal adult; Kcna1tm1.1(KOMP)Vlcg/Kcna1+ (more )
Structure Level Pattern Image Note
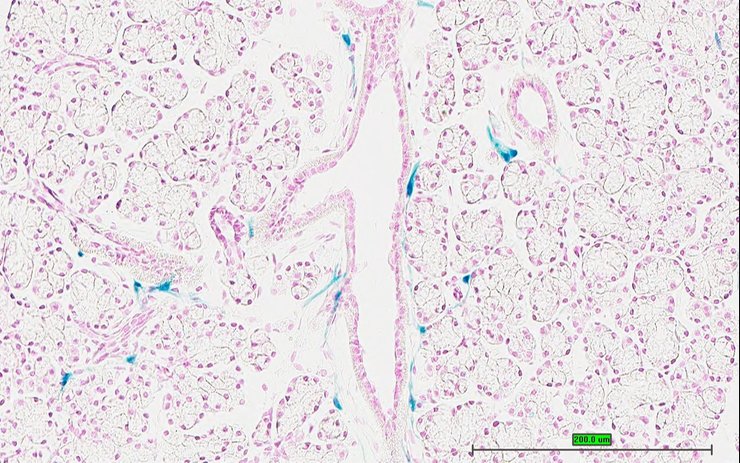
TS28: trachea Present UC Davis_1876083

Specimen UC Davis_1876084: postnatal adult; Kcna1tm1.1(KOMP)Vlcg/Kcna1+ (more )
Structure Level Pattern Image Note
TS28: esophagus Present UC Davis_1876084

Specimen UC Davis_1876085: postnatal adult; Kcna1tm1.1(KOMP)Vlcg/Kcna1+ (more )
Structure Level Pattern Image Note
TS28: esophagus Present UC Davis_1876085

Specimen UC Davis_1876086: postnatal adult; Kcna1tm1.1(KOMP)Vlcg/Kcna1+ (more )
Structure Level Pattern Image Note
TS28: thyroid gland Present UC Davis_1876086

Specimen UC Davis_1876087: postnatal adult; Kcna1tm1.1(KOMP)Vlcg/Kcna1+ (more )
Structure Level Pattern Image Note
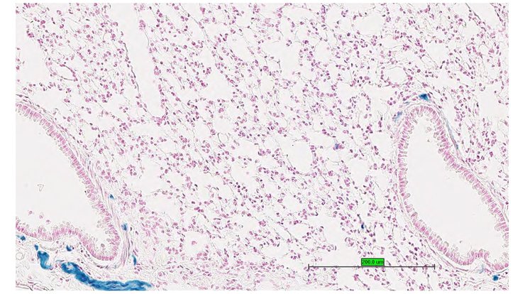
TS28: lung Present UC Davis_1876087

Specimen UC Davis_1876088: postnatal adult; Kcna1tm1.1(KOMP)Vlcg/Kcna1+ (more )
Structure Level Pattern Image Note
TS28: lung Present UC Davis_1876088

Specimen UC Davis_1876089: postnatal adult; Kcna1tm1.1(KOMP)Vlcg/Kcna1+ (more )
Structure Level Pattern Image Note
TS28: thymus Present UC Davis_1876089

Specimen UC Davis_1876092: postnatal adult; Kcna1tm1.1(KOMP)Vlcg/Kcna1+ (more )
Structure Level Pattern Image Note
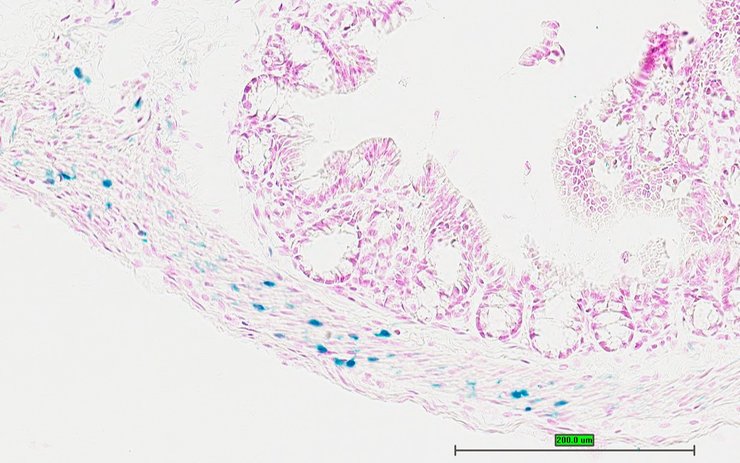
TS28: stomach Present UC Davis_1876092

Specimen UC Davis_1876093: postnatal adult; Kcna1tm1.1(KOMP)Vlcg/Kcna1+ (more )
Structure Level Pattern Image Note
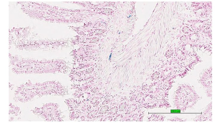
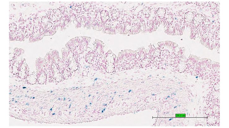
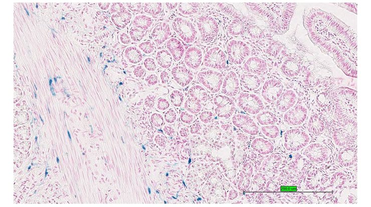
TS28: ileum Present UC Davis_1876093

Specimen UC Davis_1876094: postnatal adult; Kcna1tm1.1(KOMP)Vlcg/Kcna1+ (more )
Structure Level Pattern Image Note
TS28: ileum Present UC Davis_1876094

Specimen UC Davis_1876095: postnatal adult; Kcna1tm1.1(KOMP)Vlcg/Kcna1+ (more )
Structure Level Pattern Image Note
TS28: colon Present UC Davis_1876095

Specimen UC Davis_1876096: postnatal adult; Kcna1tm1.1(KOMP)Vlcg/Kcna1+ (more )
Structure Level Pattern Image Note
TS28: colon Present UC Davis_1876096

Specimen UC Davis_1876097: postnatal adult; Kcna1tm1.1(KOMP)Vlcg/Kcna1+ (more )
Structure Level Pattern Image Note
TS28: colon Present UC Davis_1876097

Specimen UC Davis_1876098: postnatal adult; Kcna1tm1.1(KOMP)Vlcg/Kcna1+ (more )
Structure Level Pattern Image Note
TS28: cecum Present UC Davis_1876098

Specimen UC Davis_1876099: postnatal adult; Kcna1tm1.1(KOMP)Vlcg/Kcna1+ (more )
Structure Level Pattern Image Note
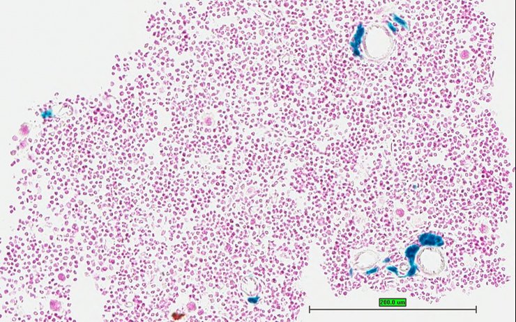
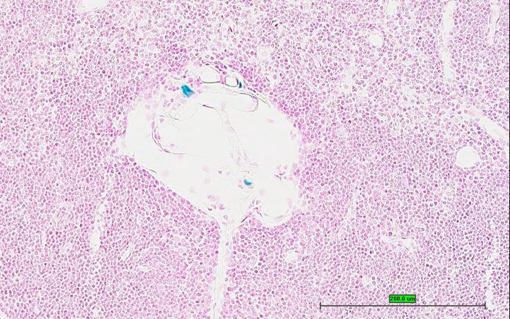
TS28: spleen Present UC Davis_1876099

Specimen UC Davis_1876100: postnatal adult; Kcna1tm1.1(KOMP)Vlcg/Kcna1+ (more )
Structure Level Pattern Image Note
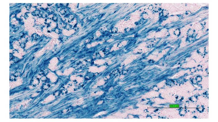
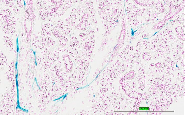
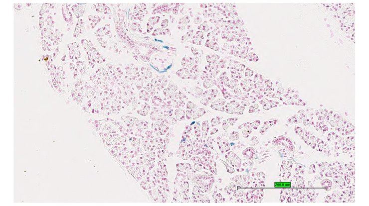
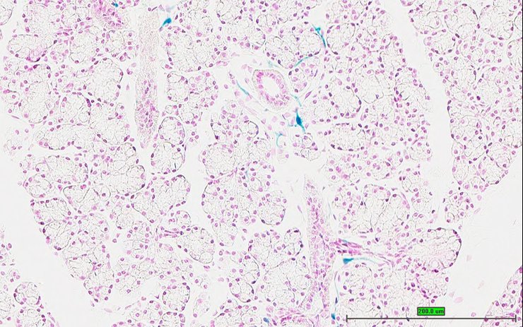
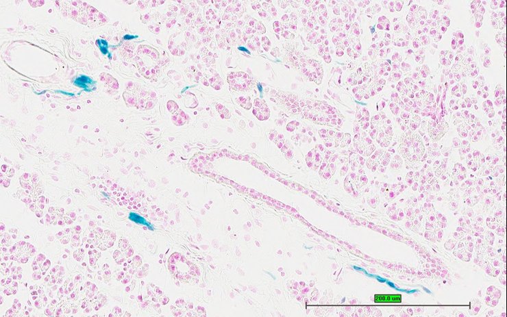
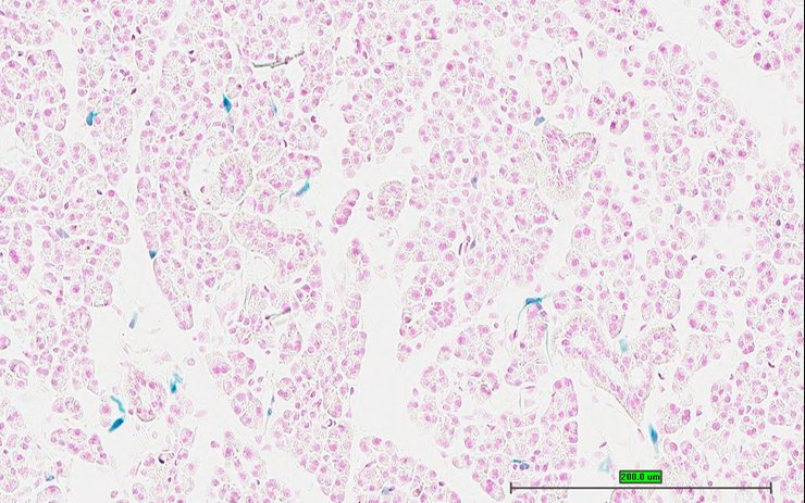
TS28: pancreas Present UC Davis_1876100

Specimen UC Davis_1876101: postnatal adult; Kcna1tm1.1(KOMP)Vlcg/Kcna1+ (more )
Structure Level Pattern Image Note
TS28: liver Present UC Davis_1876101

Specimen UC Davis_1876102: postnatal adult; Kcna1tm1.1(KOMP)Vlcg/Kcna1+ (more )
Structure Level Pattern Image Note
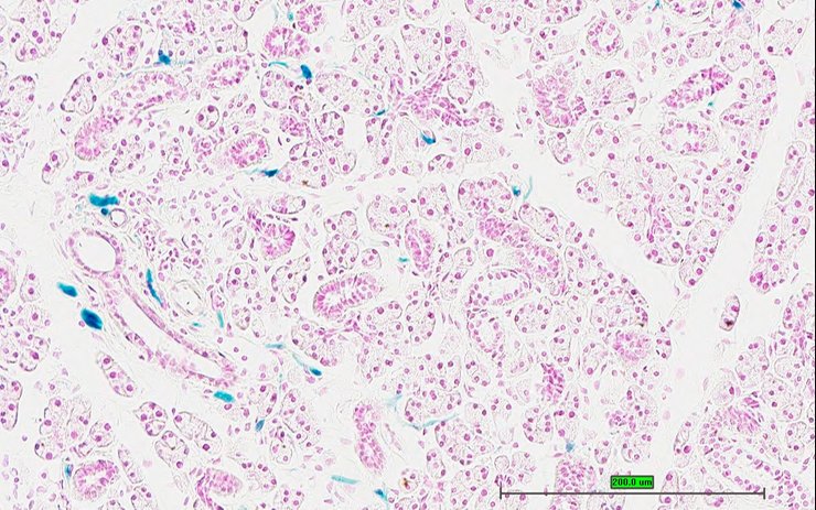
TS28: metanephros Present UC Davis_1876102 kidney

Specimen UC Davis_1876103: postnatal adult; Kcna1tm1.1(KOMP)Vlcg/Kcna1+ (more )
Structure Level Pattern Image Note
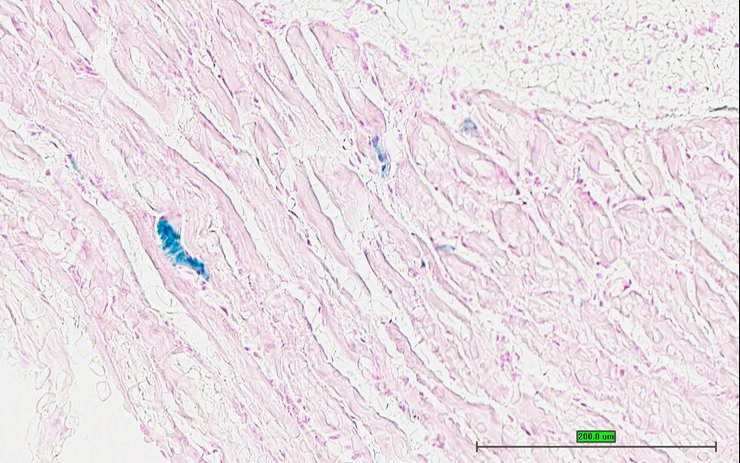
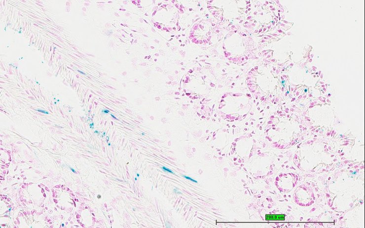
TS28: quadriceps femoris muscle Present UC Davis_1876103

Specimen UC Davis_1876104: postnatal adult; Kcna1tm1.1(KOMP)Vlcg/Kcna1+ (more )
Structure Level Pattern Image Note
TS28: quadriceps femoris muscle Present UC Davis_1876104

Specimen UC Davis_1876105: postnatal adult; Kcna1tm1.1(KOMP)Vlcg/Kcna1+ (more )
Structure Level Pattern Image Note
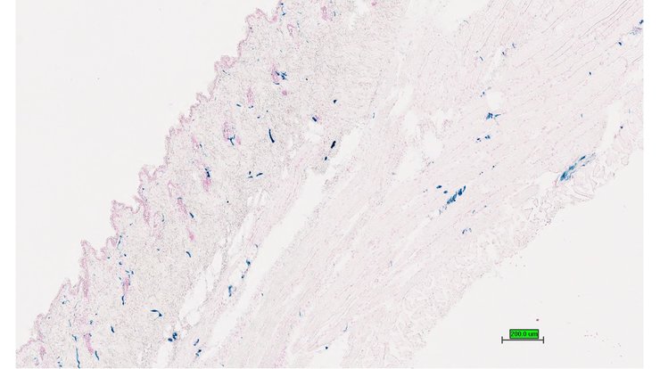
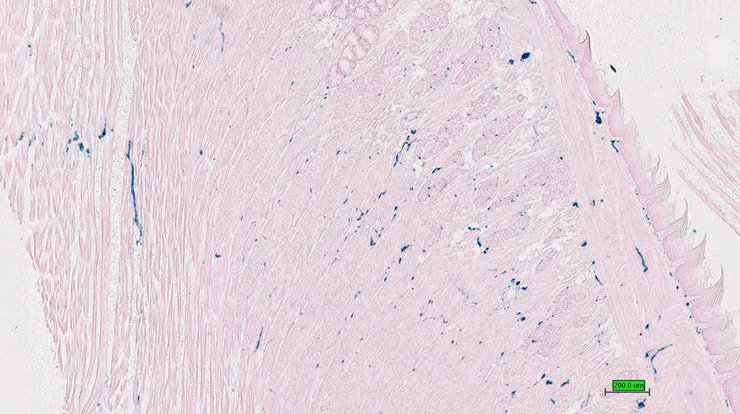
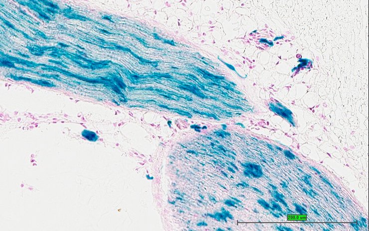
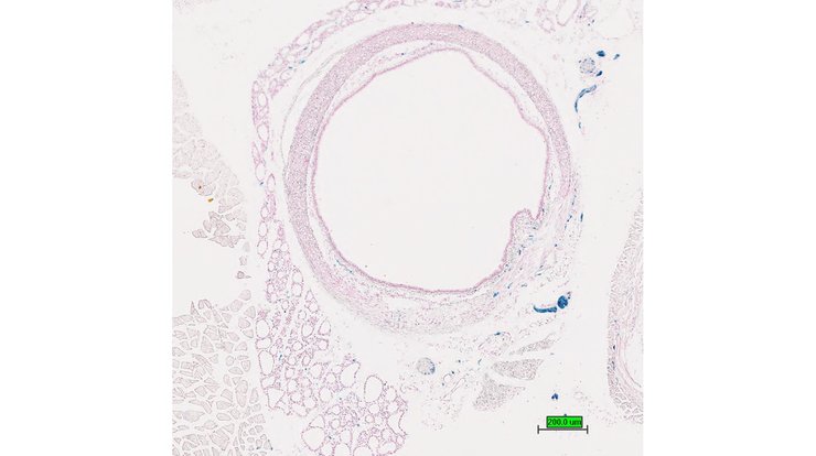
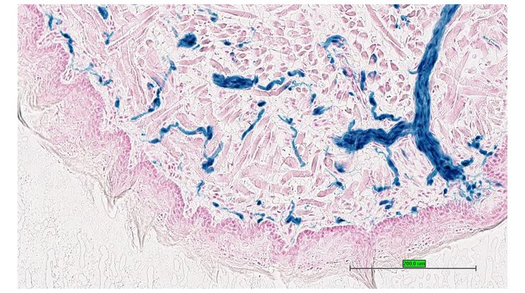
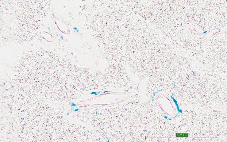
TS28: sciatic nerve Present UC Davis_1876105

Specimen UC Davis_1876106: postnatal adult; Kcna1tm1.1(KOMP)Vlcg/Kcna1+ (more )
Structure Level Pattern Image Note
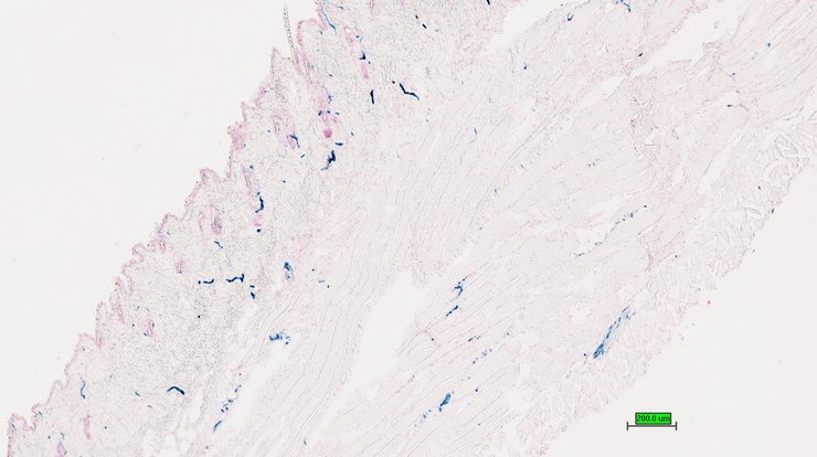
TS28: tongue Present UC Davis_1876106

Specimen UC Davis_1876107: postnatal adult; Kcna1tm1.1(KOMP)Vlcg/Kcna1+ (more )
Structure Level Pattern Image Note
TS28: tongue Present UC Davis_1876107

Specimen UC Davis_1876108: postnatal adult; Kcna1tm1.1(KOMP)Vlcg/Kcna1+ (more )
Structure Level Pattern Image Note
TS28: tongue Present UC Davis_1876108

Specimen UC Davis_1876109: postnatal adult; Kcna1tm1.1(KOMP)Vlcg/Kcna1+ (more )
Structure Level Pattern Image Note
TS28: tongue Present UC Davis_1876109

Specimen UC Davis_1876110: postnatal adult; Kcna1tm1.1(KOMP)Vlcg/Kcna1+ (more )
Structure Level Pattern Image Note
TS28: diaphragm Present UC Davis_1876110

Specimen UC Davis_1876111: postnatal adult; Kcna1tm1.1(KOMP)Vlcg/Kcna1+ (more )
Structure Level Pattern Image Note
TS28: diaphragm Present UC Davis_1876111

Specimen UC Davis_1876112: postnatal adult; Kcna1tm1.1(KOMP)Vlcg/Kcna1+ (more )
Structure Level Pattern Image Note
TS28: spinal cord Present UC Davis_1876112

Specimen UC Davis_1876113: postnatal adult; Kcna1tm1.1(KOMP)Vlcg/Kcna1+ (more )
Structure Level Pattern Image Note
TS28: spinal cord Present UC Davis_1876113

Specimen UC Davis_1876114: postnatal adult; Kcna1tm1.1(KOMP)Vlcg/Kcna1+ (more )
Structure Level Pattern Image Note
TS28: eye Present UC Davis_1876114

Specimen UC Davis_1876115: postnatal adult; Kcna1tm1.1(KOMP)Vlcg/Kcna1+ (more )
Structure Level Pattern Image Note
TS28: eye Present UC Davis_1876115

Specimen UC Davis_1876116: postnatal adult; Kcna1tm1.1(KOMP)Vlcg/Kcna1+ (more )
Structure Level Pattern Image Note
TS28: eye Present UC Davis_1876116

Specimen UC Davis_1876118: postnatal adult; Kcna1tm1.1(KOMP)Vlcg/Kcna1+ (more )
Structure Level Pattern Image Note
TS28: Harderian gland Present UC Davis_1876118

Specimen UC Davis_1876119: postnatal adult; Kcna1tm1.1(KOMP)Vlcg/Kcna1+ (more )
Structure Level Pattern Image Note
TS28: gonadal fat pad Present UC Davis_1876119

Specimen UC Davis_1876120: postnatal adult; Kcna1tm1.1(KOMP)Vlcg/Kcna1+ (more )
Structure Level Pattern Image Note
TS28: mesenteric adipose tissue Present UC Davis_1876120

Specimen UC Davis_1876121: postnatal adult; Kcna1tm1.1(KOMP)Vlcg/Kcna1+ (more )
Structure Level Pattern Image Note
TS28: mesenteric adipose tissue Present UC Davis_1876121

Specimen UC Davis_1876122: postnatal adult; Kcna1tm1.1(KOMP)Vlcg/Kcna1+ (more )
Structure Level Pattern Image Note
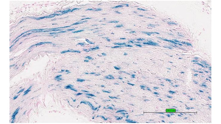
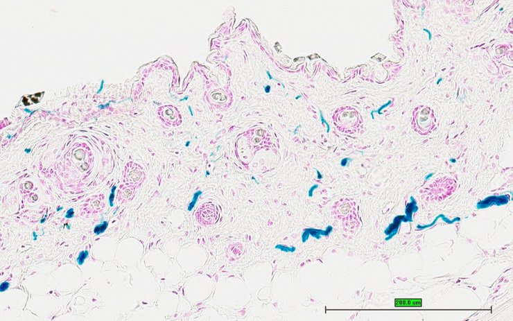
TS28: skin Present UC Davis_1876122

Specimen UC Davis_1876123: postnatal adult; Kcna1tm1.1(KOMP)Vlcg/Kcna1+ (more )
Structure Level Pattern Image Note
TS28: skin Present UC Davis_1876123

Specimen UC Davis_1876124: postnatal adult; Kcna1tm1.1(KOMP)Vlcg/Kcna1+ (more )
Structure Level Pattern Image Note
TS28: brown fat Present UC Davis_1876124

Specimen UC Davis_1876125: postnatal adult; Kcna1tm1.1(KOMP)Vlcg/Kcna1+ (more )
Structure Level Pattern Image Note
TS28: brown fat Present UC Davis_1876125

Specimen UC Davis_1876126: postnatal adult; Kcna1tm1.1(KOMP)Vlcg/Kcna1+ (more )
Structure Level Pattern Image Note
TS28: olfactory lobe Present UC Davis_1876126

Specimen UC Davis_1876130: postnatal adult; Kcna1tm1.1(KOMP)Vlcg/Kcna1+ (more )
Structure Level Pattern Image Note
TS28: midbrain Present UC Davis_1876130

Specimen UC Davis_1876132: postnatal adult; Kcna1tm1.1(KOMP)Vlcg/Kcna1+ (more )
Structure Level Pattern Image Note
TS28: cerebellum Present UC Davis_1876132

Specimen UC Davis_1876133: postnatal adult; Kcna1tm1.1(KOMP)Vlcg/Kcna1+ (more )
Structure Level Pattern Image Note
TS28: trigeminal nerve Present UC Davis_1876133

Specimen UC Davis_1876134: postnatal adult; Kcna1tm1.1(KOMP)Vlcg/Kcna1+ (more )
Structure Level Pattern Image Note
TS28: trigeminal nerve Present UC Davis_1876134

Specimen UC Davis_1876135: postnatal adult; Kcna1tm1.1(KOMP)Vlcg/Kcna1+ (more )
Structure Level Pattern Image Note
TS28: uterus Present UC Davis_1876135

Specimen UC Davis_1876136: postnatal adult; Kcna1tm1.1(KOMP)Vlcg/Kcna1+ (more )
Structure Level Pattern Image Note
TS28: uterus Present UC Davis_1876136

Specimen UC Davis_1876137: postnatal adult; Kcna1tm1.1(KOMP)Vlcg/Kcna1+ (more )
Structure Level Pattern Image Note
TS28: bladder Present UC Davis_1876137

Specimen UC Davis_1876138: postnatal adult; Kcna1tm1.1(KOMP)Vlcg/Kcna1+ (more )
Structure Level Pattern Image Note
TS28: bladder Present UC Davis_1876138

Specimen UC Davis_1876139: postnatal adult; Kcna1tm1.1(KOMP)Vlcg/Kcna1+ (more )
Structure Level Pattern Image Note
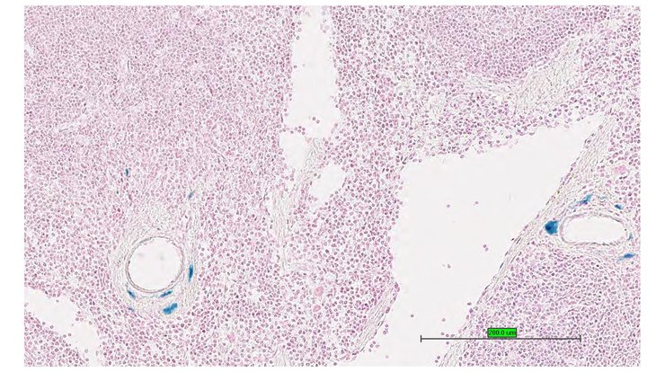
TS28: bone marrow Present UC Davis_1876139

Specimen UC Davis_1876140: postnatal adult; Kcna1tm1.1(KOMP)Vlcg/Kcna1+ (more )
Structure Level Pattern Image Note
TS28: bone marrow Present UC Davis_1876140

Specimen UC Davis_1876011: postnatal adult; Kcna1tm1.1(KOMP)Vlcg/Kcna1+ (more )
Structure Level Pattern Image Note
TS28: submandibular gland Present UC Davis_1876011

Specimen UC Davis_1876012: postnatal adult; Kcna1tm1.1(KOMP)Vlcg/Kcna1+ (more )
Structure Level Pattern Image Note
TS28: submandibular gland Present UC Davis_1876012

Specimen UC Davis_1876013: postnatal adult; Kcna1tm1.1(KOMP)Vlcg/Kcna1+ (more )
Structure Level Pattern Image Note
TS28: sublingual gland Present UC Davis_1876013

Specimen UC Davis_1876014: postnatal adult; Kcna1tm1.1(KOMP)Vlcg/Kcna1+ (more )
Structure Level Pattern Image Note
TS28: parotid gland Present UC Davis_1876014

Specimen UC Davis_1876015: postnatal adult; Kcna1tm1.1(KOMP)Vlcg/Kcna1+ (more )
Structure Level Pattern Image Note
TS28: trachea Present UC Davis_1876015

Specimen UC Davis_1876016: postnatal adult; Kcna1tm1.1(KOMP)Vlcg/Kcna1+ (more )
Structure Level Pattern Image Note
TS28: trachea Present UC Davis_1876016

Specimen UC Davis_1876017: postnatal adult; Kcna1tm1.1(KOMP)Vlcg/Kcna1+ (more )
Structure Level Pattern Image Note
TS28: esophagus Present UC Davis_1876017

Specimen UC Davis_1876018: postnatal adult; Kcna1tm1.1(KOMP)Vlcg/Kcna1+ (more )
Structure Level Pattern Image Note
TS28: thyroid gland Present UC Davis_1876018

Specimen UC Davis_1876021: postnatal adult; Kcna1tm1.1(KOMP)Vlcg/Kcna1+ (more )
Structure Level Pattern Image Note
TS28: lung Present UC Davis_1876021

Specimen UC Davis_1876022: postnatal adult; Kcna1tm1.1(KOMP)Vlcg/Kcna1+ (more )
Structure Level Pattern Image Note
TS28: lung Present UC Davis_1876022

Specimen UC Davis_1876023: postnatal adult; Kcna1tm1.1(KOMP)Vlcg/Kcna1+ (more )
Structure Level Pattern Image Note
TS28: lung Present UC Davis_1876023

Specimen UC Davis_1876024: postnatal adult; Kcna1tm1.1(KOMP)Vlcg/Kcna1+ (more )
Structure Level Pattern Image Note
TS28: stomach Present UC Davis_1876024

Specimen UC Davis_1876025: postnatal adult; Kcna1tm1.1(KOMP)Vlcg/Kcna1+ (more )
Structure Level Pattern Image Note
TS28: stomach Present UC Davis_1876025

Specimen UC Davis_1876026: postnatal adult; Kcna1tm1.1(KOMP)Vlcg/Kcna1+ (more )
Structure Level Pattern Image Note
TS28: duodenum Present UC Davis_1876026

Specimen UC Davis_1876027: postnatal adult; Kcna1tm1.1(KOMP)Vlcg/Kcna1+ (more )
Structure Level Pattern Image Note
TS28: duodenum Present UC Davis_1876027

Specimen UC Davis_1876028: postnatal adult; Kcna1tm1.1(KOMP)Vlcg/Kcna1+ (more )
Structure Level Pattern Image Note
TS28: ileum Present UC Davis_1876028

Specimen UC Davis_1876029: postnatal adult; Kcna1tm1.1(KOMP)Vlcg/Kcna1+ (more )
Structure Level Pattern Image Note
TS28: colon Present UC Davis_1876029

Specimen UC Davis_1876030: postnatal adult; Kcna1tm1.1(KOMP)Vlcg/Kcna1+ (more )
Structure Level Pattern Image Note
TS28: spleen Present UC Davis_1876030

Specimen UC Davis_1876031: postnatal adult; Kcna1tm1.1(KOMP)Vlcg/Kcna1+ (more )
Structure Level Pattern Image Note
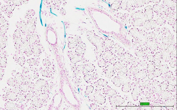
TS28: pancreas Present UC Davis_1876031

Specimen UC Davis_1876032: postnatal adult; Kcna1tm1.1(KOMP)Vlcg/Kcna1+ (more )
Structure Level Pattern Image Note
TS28: pancreas Present UC Davis_1876032

Specimen UC Davis_1876033: postnatal adult; Kcna1tm1.1(KOMP)Vlcg/Kcna1+ (more )
Structure Level Pattern Image Note
TS28: pancreas Present UC Davis_1876033

Specimen UC Davis_1876034: postnatal adult; Kcna1tm1.1(KOMP)Vlcg/Kcna1+ (more )
Structure Level Pattern Image Note
TS28: pancreas Present UC Davis_1876034

Specimen UC Davis_1876035: postnatal adult; Kcna1tm1.1(KOMP)Vlcg/Kcna1+ (more )
Structure Level Pattern Image Note
TS28: quadriceps femoris muscle Present UC Davis_1876035

Specimen UC Davis_1876036: postnatal adult; Kcna1tm1.1(KOMP)Vlcg/Kcna1+ (more )
Structure Level Pattern Image Note
TS28: quadriceps femoris muscle Present UC Davis_1876036

Specimen UC Davis_1876037: postnatal adult; Kcna1tm1.1(KOMP)Vlcg/Kcna1+ (more )
Structure Level Pattern Image Note
TS28: sciatic nerve Present UC Davis_1876037

Specimen UC Davis_1876038: postnatal adult; Kcna1tm1.1(KOMP)Vlcg/Kcna1+ (more )
Structure Level Pattern Image Note
TS28: tongue Present UC Davis_1876038

Specimen UC Davis_1876039: postnatal adult; Kcna1tm1.1(KOMP)Vlcg/Kcna1+ (more )
Structure Level Pattern Image Note
TS28: tongue Present UC Davis_1876039

Specimen UC Davis_1876040: postnatal adult; Kcna1tm1.1(KOMP)Vlcg/Kcna1+ (more )
Structure Level Pattern Image Note
TS28: tongue Present UC Davis_1876040

Specimen UC Davis_1876041: postnatal adult; Kcna1tm1.1(KOMP)Vlcg/Kcna1+ (more )
Structure Level Pattern Image Note
TS28: tongue Present UC Davis_1876041

Specimen UC Davis_1876042: postnatal adult; Kcna1tm1.1(KOMP)Vlcg/Kcna1+ (more )
Structure Level Pattern Image Note
TS28: diaphragm Present UC Davis_1876042

Specimen UC Davis_1876043: postnatal adult; Kcna1tm1.1(KOMP)Vlcg/Kcna1+ (more )
Structure Level Pattern Image Note
TS28: diaphragm Present UC Davis_1876043

Specimen UC Davis_1876044: postnatal adult; Kcna1tm1.1(KOMP)Vlcg/Kcna1+ (more )
Structure Level Pattern Image Note
TS28: spinal cord Present UC Davis_1876044

Specimen UC Davis_1876045: postnatal adult; Kcna1tm1.1(KOMP)Vlcg/Kcna1+ (more )
Structure Level Pattern Image Note
TS28: eye Present UC Davis_1876045

Specimen UC Davis_1876047: postnatal adult; Kcna1tm1.1(KOMP)Vlcg/Kcna1+ (more )
Structure Level Pattern Image Note
TS28: Harderian gland Present UC Davis_1876047

Specimen UC Davis_1876048: postnatal adult; Kcna1tm1.1(KOMP)Vlcg/Kcna1+ (more )
Structure Level Pattern Image Note
TS28: Harderian gland Present UC Davis_1876048

Specimen UC Davis_1876049: postnatal adult; Kcna1tm1.1(KOMP)Vlcg/Kcna1+ (more )
Structure Level Pattern Image Note
TS28: skin Present UC Davis_1876049

Specimen UC Davis_1876050: postnatal adult; Kcna1tm1.1(KOMP)Vlcg/Kcna1+ (more )
Structure Level Pattern Image Note
TS28: skin Present UC Davis_1876050

Specimen UC Davis_1876051: postnatal adult; Kcna1tm1.1(KOMP)Vlcg/Kcna1+ (more )
Structure Level Pattern Image Note
TS28: skin Present UC Davis_1876051

Specimen UC Davis_1876052: postnatal adult; Kcna1tm1.1(KOMP)Vlcg/Kcna1+ (more )
Structure Level Pattern Image Note
TS28: skin Present UC Davis_1876052

Specimen UC Davis_1876053: postnatal adult; Kcna1tm1.1(KOMP)Vlcg/Kcna1+ (more )
Structure Level Pattern Image Note
TS28: brown fat Present UC Davis_1876053

Specimen UC Davis_1876054: postnatal adult; Kcna1tm1.1(KOMP)Vlcg/Kcna1+ (more )
Structure Level Pattern Image Note
TS28: brown fat Present UC Davis_1876054

Specimen UC Davis_1876057: postnatal adult; Kcna1tm1.1(KOMP)Vlcg/Kcna1+ (more )
Structure Level Pattern Image Note
TS28: midbrain Present UC Davis_1876057

Specimen UC Davis_1876059: postnatal adult; Kcna1tm1.1(KOMP)Vlcg/Kcna1+ (more )
Structure Level Pattern Image Note
TS28: cerebellum Present UC Davis_1876059

Specimen UC Davis_1876060: postnatal adult; Kcna1tm1.1(KOMP)Vlcg/Kcna1+ (more )
Structure Level Pattern Image Note
TS28: trigeminal nerve Present UC Davis_1876060

Specimen UC Davis_1876061: postnatal adult; Kcna1tm1.1(KOMP)Vlcg/Kcna1+ (more )
Structure Level Pattern Image Note
TS28: trigeminal nerve Present UC Davis_1876061

Specimen UC Davis_1876062: postnatal adult; Kcna1tm1.1(KOMP)Vlcg/Kcna1+ (more )
Structure Level Pattern Image Note
TS28: bladder Present UC Davis_1876062

Specimen UC Davis_1876063: postnatal adult; Kcna1tm1.1(KOMP)Vlcg/Kcna1+ (more )
Structure Level Pattern Image Note
TS28: bladder Present UC Davis_1876063

Specimen UC Davis_1876064: postnatal adult; Kcna1tm1.1(KOMP)Vlcg/Kcna1+ (more )
Structure Level Pattern Image Note
TS28: testis Present UC Davis_1876064

Specimen UC Davis_1876065: postnatal adult; Kcna1tm1.1(KOMP)Vlcg/Kcna1+ (more )
Structure Level Pattern Image Note
TS28: epididymis Present UC Davis_1876065

Specimen UC Davis_1876066: postnatal adult; Kcna1tm1.1(KOMP)Vlcg/Kcna1+ (more )
Structure Level Pattern Image Note
TS28: penis Present UC Davis_1876066

Specimen UC Davis_1876067: postnatal adult; Kcna1tm1.1(KOMP)Vlcg/Kcna1+ (more )
Structure Level Pattern Image Note
TS28: penis Present UC Davis_1876067

Specimen UC Davis_1876068: postnatal adult; Kcna1tm1.1(KOMP)Vlcg/Kcna1+ (more )
Structure Level Pattern Image Note
TS28: bone marrow Present UC Davis_1876068

Specimen UC Davis_1876069: postnatal adult; Kcna1tm1.1(KOMP)Vlcg/Kcna1+ (more )
Structure Level Pattern Image Note
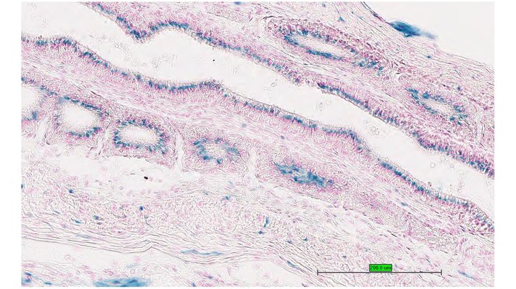
TS28: ductus deferens Present UC Davis_1876069 vas deferens

Specimen UC Davis_1876074: postnatal adult; Kcna1tm1.1(KOMP)Vlcg/Kcna1+ (more )
Structure Level Pattern Image Note
TS28: seminal vesicle Present UC Davis_1876074 vesicular gland


Contributing Projects:
Mouse Genome Database (MGD), Gene Expression Database (GXD), Mouse Models of Human Cancer database (MMHCdb) (formerly Mouse Tumor Biology (MTB)), Gene Ontology (GO)
Citing These Resources
Funding Information
Warranty Disclaimer, Privacy Notice, Licensing, & Copyright
Send questions and comments to User Support.
last database update
01/28/2026
MGI 6.24
The Jackson Laboratory