About   Help   FAQ
Gene Expression Data
Assay Details
Assay
Reference: J:228563 Koscielny G, et al., The International Mouse Phenotyping Consortium Web Portal, a unified point of access for knockout mice and related phenotyping data. Nucleic Acids Res. 2014 Jan;42(Database issue):D802-9
Assay type: In situ reporter (knock in)
MGI Accession ID: MGI:6693122
Gene symbol: Jup
Gene name: junction plakoglobin
Reporter: lacZ
Direct Detection
Results
Specimen JAX_1469770: embryonic day 12.5; Juptm1.1(KOMP)Vlcg/Jup+ (more )
Structure Level Pattern Image Note
TS20: embryo Present JAX_1469770

Specimen JAX_1469771: embryonic day 12.5; Juptm1.1(KOMP)Vlcg/Jup+ (more )
Structure Level Pattern Image Note
TS20: embryo Present JAX_1469771

Specimen JAX_1469772: embryonic day 12.5; Juptm1.1(KOMP)Vlcg/Jup+ (more )
Structure Level Pattern Image Note
TS20: embryo Present JAX_1469772

Specimen JAX_1469773: embryonic day 12.5; Juptm1.1(KOMP)Vlcg/Jup+ (more )
Structure Level Pattern Image Note
TS20: embryo Present JAX_1469773

Specimen JAX_1802562: postnatal adult; Juptm1.1(KOMP)Vlcg/Jup+ (more )
Structure Level Pattern Image Note
TS28: thalamus Present JAX_1802562

Specimen JAX_1802563: postnatal adult; Juptm1.1(KOMP)Vlcg/Jup+ (more )
Structure Level Pattern Image Note
TS28: midbrain Present JAX_1802563

Specimen JAX_1802564: postnatal adult; Juptm1.1(KOMP)Vlcg/Jup+ (more )
Structure Level Pattern Image Note
TS28: submandibular gland Present JAX_1802564

Specimen JAX_1802565: postnatal adult; Juptm1.1(KOMP)Vlcg/Jup+ (more )
Structure Level Pattern Image Note
TS28: brown fat Present JAX_1802565

Specimen JAX_1802566: postnatal adult; Juptm1.1(KOMP)Vlcg/Jup+ (more )
Structure Level Pattern Image Note
TS28: bone marrow Present JAX_1802566

Specimen JAX_1802567: postnatal adult; Juptm1.1(KOMP)Vlcg/Jup+ (more )
Structure Level Pattern Image Note
TS28: corpus striatum Present JAX_1802567

Specimen JAX_1802568: postnatal adult; Juptm1.1(KOMP)Vlcg/Jup+ (more )
Structure Level Pattern Image Note
TS28: Peyer's patch Present JAX_1802568

Specimen JAX_1802569: postnatal adult; Juptm1.1(KOMP)Vlcg/Jup+ (more )
Structure Level Pattern Image Note
TS28: peripheral nervous system Present JAX_1802569

Specimen JAX_1802570: postnatal adult; Juptm1.1(KOMP)Vlcg/Jup+ (more )
Structure Level Pattern Image Note
TS28: olfactory lobe Present JAX_1802570

Specimen JAX_1802571: postnatal adult; Juptm1.1(KOMP)Vlcg/Jup+ (more )
Structure Level Pattern Image Note
TS28: hypothalamus Present JAX_1802571

Specimen JAX_1802572: postnatal adult; Juptm1.1(KOMP)Vlcg/Jup+ (more )
Structure Level Pattern Image Note
TS28: hippocampus Present JAX_1802572

Specimen JAX_1802573: postnatal adult; Juptm1.1(KOMP)Vlcg/Jup+ (more )
Structure Level Pattern Image Note
TS28: cerebellum Present JAX_1802573

Specimen JAX_1802574: postnatal adult; Juptm1.1(KOMP)Vlcg/Jup+ (more )
Structure Level Pattern Image Note
TS28: cerebral cortex Present JAX_1802574

Specimen JAX_1802575: postnatal adult; Juptm1.1(KOMP)Vlcg/Jup+ (more )
Structure Level Pattern Image Note
TS28: cartilage Present JAX_1802575

Specimen JAX_1802576: postnatal adult; Juptm1.1(KOMP)Vlcg/Jup+ (more )
Structure Level Pattern Image Note
TS28: brainstem Present JAX_1802576

Specimen JAX_1802577: postnatal adult; Juptm1.1(KOMP)Vlcg/Jup+ (more )
Structure Level Pattern Image Note
TS28: spleen Present JAX_1802577

Specimen JAX_1802578: postnatal adult; Juptm1.1(KOMP)Vlcg/Jup+ (more )
Structure Level Pattern Image Note
TS28: pancreas Present JAX_1802578

Specimen JAX_1802579: postnatal adult; Juptm1.1(KOMP)Vlcg/Jup+ (more )
Structure Level Pattern Image Note
TS28: aorta Present JAX_1802579

Specimen JAX_1802580: postnatal adult; Juptm1.1(KOMP)Vlcg/Jup+ (more )
Structure Level Pattern Image Note
TS28: white fat Present JAX_1802580

Specimen JAX_1802581: postnatal adult; Juptm1.1(KOMP)Vlcg/Jup+ (more )
Structure Level Pattern Image Note
TS28: small intestine Present JAX_1802581

Specimen JAX_1802582: postnatal adult; Juptm1.1(KOMP)Vlcg/Jup+ (more )
Structure Level Pattern Image Note
TS28: skeletal muscle tissue Present JAX_1802582

Specimen JAX_1802583: postnatal adult; Juptm1.1(KOMP)Vlcg/Jup+ (more )
Structure Level Pattern Image Note
TS28: pituitary gland Present JAX_1802583

Specimen JAX_1802584: postnatal adult; Juptm1.1(KOMP)Vlcg/Jup+ (more )
Structure Level Pattern Image Note
TS28: thyroid gland Present JAX_1802584

Specimen JAX_1802585: postnatal adult; Juptm1.1(KOMP)Vlcg/Jup+ (more )
Structure Level Pattern Image Note
TS28: spinal cord Present JAX_1802585

Specimen JAX_1802586: postnatal adult; Juptm1.1(KOMP)Vlcg/Jup+ (more )
Structure Level Pattern Image Note
TS28: large intestine Present JAX_1802586

Specimen JAX_1802587: postnatal adult; Juptm1.1(KOMP)Vlcg/Jup+ (more )
Structure Level Pattern Image Note
TS28: uterus Present JAX_1802587

Specimen JAX_1802588: postnatal adult; Juptm1.1(KOMP)Vlcg/Jup+ (more )
Structure Level Pattern Image Note
TS28: trachea Present JAX_1802588

Specimen JAX_1802589: postnatal adult; Juptm1.1(KOMP)Vlcg/Jup+ (more )
Structure Level Pattern Image Note
TS28: thymus Present JAX_1802589

Specimen JAX_1802590: postnatal adult; Juptm1.1(KOMP)Vlcg/Jup+ (more )
Structure Level Pattern Image Note
TS28: stomach Present JAX_1802590

Specimen JAX_1802591: postnatal adult; Juptm1.1(KOMP)Vlcg/Jup+ (more )
Structure Level Pattern Image Note
TS28: skin Present JAX_1802591

Specimen JAX_1802592: postnatal adult; Juptm1.1(KOMP)Vlcg/Jup+ (more )
Structure Level Pattern Image Note
TS28: oviduct Present JAX_1802592

Specimen JAX_1802593: postnatal adult; Juptm1.1(KOMP)Vlcg/Jup+ (more )
Structure Level Pattern Image Note
TS28: ovary Present JAX_1802593

Specimen JAX_1802594: postnatal adult; Juptm1.1(KOMP)Vlcg/Jup+ (more )
Structure Level Pattern Image Note
TS28: mammary gland Present JAX_1802594

Specimen JAX_1802595: postnatal adult; Juptm1.1(KOMP)Vlcg/Jup+ (more )
Structure Level Pattern Image Note
TS28: lymph node Present JAX_1802595

Specimen JAX_1802596: postnatal adult; Juptm1.1(KOMP)Vlcg/Jup+ (more )
Structure Level Pattern Image Note
TS28: liver Present JAX_1802596

Specimen JAX_1802597: postnatal adult; Juptm1.1(KOMP)Vlcg/Jup+ (more )
Structure Level Pattern Image Note
TS28: metanephros Present JAX_1802597 kidney

Specimen JAX_1802598: postnatal adult; Juptm1.1(KOMP)Vlcg/Jup+ (more )
Structure Level Pattern Image Note
TS28: heart Present JAX_1802598

Specimen JAX_1802599: postnatal adult; Juptm1.1(KOMP)Vlcg/Jup+ (more )
Structure Level Pattern Image Note
TS28: eye Present JAX_1802599

Specimen JAX_1802600: postnatal adult; Juptm1.1(KOMP)Vlcg/Jup+ (more )
Structure Level Pattern Image Note
TS28: brain Present JAX_1802600

Specimen JAX_1802601: postnatal adult; Juptm1.1(KOMP)Vlcg/Jup+ (more )
Structure Level Pattern Image Note
TS28: adrenal gland Present JAX_1802601

Specimen JAX_1802556: postnatal adult; Juptm1.1(KOMP)Vlcg/Jup+ (more )
Structure Level Pattern Image Note
TS28: vascular system Present JAX_1802556

Specimen JAX_1802557: postnatal adult; Juptm1.1(KOMP)Vlcg/Jup+ (more )
Structure Level Pattern Image Note
TS28: epididymis Present JAX_1802557

Specimen JAX_1802558: postnatal adult; Juptm1.1(KOMP)Vlcg/Jup+ (more )
Structure Level Pattern Image Note
TS28: bladder Present JAX_1802558

Specimen JAX_1802559: postnatal adult; Juptm1.1(KOMP)Vlcg/Jup+ (more )
Structure Level Pattern Image Note
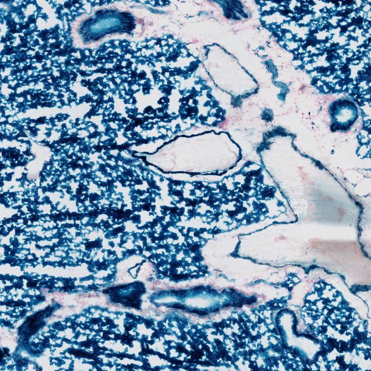
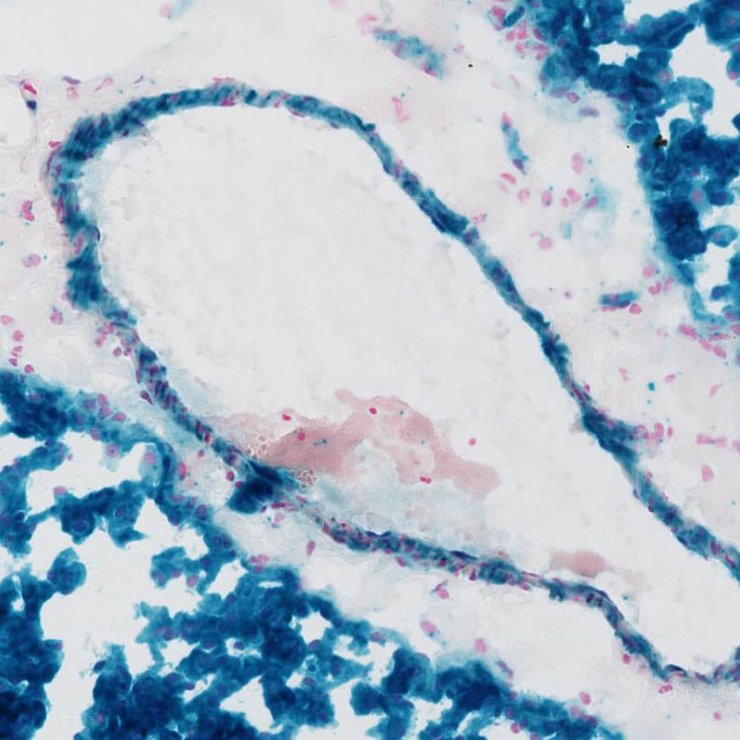
TS28: lung Present JAX_1802559

Specimen JAX_1802560: postnatal adult; Juptm1.1(KOMP)Vlcg/Jup+ (more )
Structure Level Pattern Image Note
TS28: esophagus Present JAX_1802560

Specimen JAX_1802561: postnatal adult; Juptm1.1(KOMP)Vlcg/Jup+ (more )
Structure Level Pattern Image Note
TS28: testis Present JAX_1802561


Contributing Projects:
Mouse Genome Database (MGD), Gene Expression Database (GXD), Mouse Models of Human Cancer database (MMHCdb) (formerly Mouse Tumor Biology (MTB)), Gene Ontology (GO)
Citing These Resources
Funding Information
Warranty Disclaimer, Privacy Notice, Licensing, & Copyright
Send questions and comments to User Support.
last database update
01/20/2026
MGI 6.24
The Jackson Laboratory