About   Help   FAQ
Gene Expression Data
Assay Details
Assay
Reference: J:228563 Koscielny G, et al., The International Mouse Phenotyping Consortium Web Portal, a unified point of access for knockout mice and related phenotyping data. Nucleic Acids Res. 2014 Jan;42(Database issue):D802-9
Assay type: In situ reporter (knock in)
MGI Accession ID: MGI:6693087
Gene symbol: Pfdn6
Gene name: prefoldin subunit 6
Reporter: lacZ
Direct Detection
Results
Specimen JAX_1123849: embryonic day 12.5; Pfdn6tm1.1(KOMP)Vlcg/Pfdn6+ (more )
Structure Level Pattern Image Note
TS20: embryo Present JAX_1123849

Specimen JAX_1123851: embryonic day 12.5; Pfdn6tm1.1(KOMP)Vlcg/Pfdn6+ (more )
Structure Level Pattern Image Note
TS20: embryo Present JAX_1123851

Specimen JAX_1123853: embryonic day 12.5; Pfdn6tm1.1(KOMP)Vlcg/Pfdn6+ (more )
Structure Level Pattern Image Note
TS20: embryo Present JAX_1123853

Specimen JAX_1123855: embryonic day 12.5; Pfdn6tm1.1(KOMP)Vlcg/Pfdn6+ (more )
Structure Level Pattern Image Note
TS20: embryo Present JAX_1123855

Specimen JAX_1123857: embryonic day 12.5; Pfdn6tm1.1(KOMP)Vlcg/Pfdn6+ (more )
Structure Level Pattern Image Note
TS20: embryo Present JAX_1123857

Specimen JAX_1123859: embryonic day 12.5; Pfdn6tm1.1(KOMP)Vlcg/Pfdn6+ (more )
Structure Level Pattern Image Note
TS20: embryo Present JAX_1123859

Specimen JAX_1123861: embryonic day 12.5; Pfdn6tm1.1(KOMP)Vlcg/Pfdn6+ (more )
Structure Level Pattern Image Note
TS20: embryo Present JAX_1123861

Specimen JAX_1123863: embryonic day 12.5; Pfdn6tm1.1(KOMP)Vlcg/Pfdn6+ (more )
Structure Level Pattern Image Note
TS20: embryo Present JAX_1123863

Specimen JAX_1803792: postnatal adult; Pfdn6tm1.1(KOMP)Vlcg/Pfdn6+ (more )
Structure Level Pattern Image Note
TS28: thalamus Present JAX_1803792

Specimen JAX_1803793: postnatal adult; Pfdn6tm1.1(KOMP)Vlcg/Pfdn6+ (more )
Structure Level Pattern Image Note
TS28: midbrain Present JAX_1803793

Specimen JAX_1803794: postnatal adult; Pfdn6tm1.1(KOMP)Vlcg/Pfdn6+ (more )
Structure Level Pattern Image Note
TS28: submandibular gland Present JAX_1803794

Specimen JAX_1803795: postnatal adult; Pfdn6tm1.1(KOMP)Vlcg/Pfdn6+ (more )
Structure Level Pattern Image Note
TS28: brown fat Present JAX_1803795

Specimen JAX_1803796: postnatal adult; Pfdn6tm1.1(KOMP)Vlcg/Pfdn6+ (more )
Structure Level Pattern Image Note
TS28: bladder Present JAX_1803796

Specimen JAX_1803797: postnatal adult; Pfdn6tm1.1(KOMP)Vlcg/Pfdn6+ (more )
Structure Level Pattern Image Note
TS28: corpus striatum Present JAX_1803797

Specimen JAX_1803798: postnatal adult; Pfdn6tm1.1(KOMP)Vlcg/Pfdn6+ (more )
Structure Level Pattern Image Note
TS28: Peyer's patch Present JAX_1803798

Specimen JAX_1803799: postnatal adult; Pfdn6tm1.1(KOMP)Vlcg/Pfdn6+ (more )
Structure Level Pattern Image Note
TS28: olfactory lobe Present JAX_1803799

Specimen JAX_1803800: postnatal adult; Pfdn6tm1.1(KOMP)Vlcg/Pfdn6+ (more )
Structure Level Pattern Image Note
TS28: hypothalamus Present JAX_1803800

Specimen JAX_1803801: postnatal adult; Pfdn6tm1.1(KOMP)Vlcg/Pfdn6+ (more )
Structure Level Pattern Image Note
TS28: cerebellum Present JAX_1803801

Specimen JAX_1803802: postnatal adult; Pfdn6tm1.1(KOMP)Vlcg/Pfdn6+ (more )
Structure Level Pattern Image Note
TS28: cerebral cortex Present JAX_1803802

Specimen JAX_1803803: postnatal adult; Pfdn6tm1.1(KOMP)Vlcg/Pfdn6+ (more )
Structure Level Pattern Image Note
TS28: brainstem Present JAX_1803803

Specimen JAX_1803804: postnatal adult; Pfdn6tm1.1(KOMP)Vlcg/Pfdn6+ (more )
Structure Level Pattern Image Note
TS28: pancreas Present JAX_1803804

Specimen JAX_1803805: postnatal adult; Pfdn6tm1.1(KOMP)Vlcg/Pfdn6+ (more )
Structure Level Pattern Image Note
TS28: white fat Present JAX_1803805

Specimen JAX_1803806: postnatal adult; Pfdn6tm1.1(KOMP)Vlcg/Pfdn6+ (more )
Structure Level Pattern Image Note
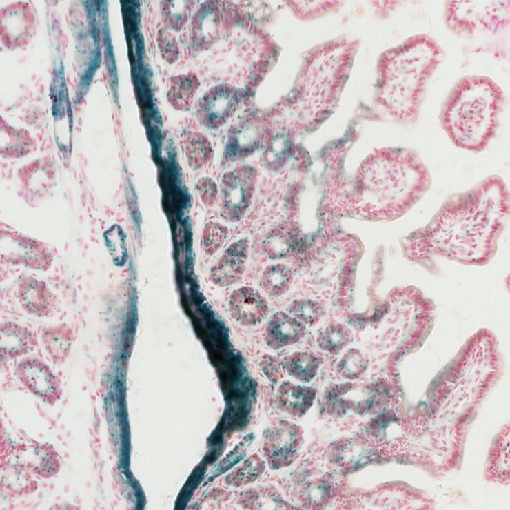
TS28: small intestine Present JAX_1803806

Specimen JAX_1803807: postnatal adult; Pfdn6tm1.1(KOMP)Vlcg/Pfdn6+ (more )
Structure Level Pattern Image Note
TS28: skeletal muscle tissue Present JAX_1803807

Specimen JAX_1803808: postnatal adult; Pfdn6tm1.1(KOMP)Vlcg/Pfdn6+ (more )
Structure Level Pattern Image Note
TS28: pituitary gland Present JAX_1803808

Specimen JAX_1803809: postnatal adult; Pfdn6tm1.1(KOMP)Vlcg/Pfdn6+ (more )
Structure Level Pattern Image Note
TS28: spinal cord Present JAX_1803809

Specimen JAX_1803810: postnatal adult; Pfdn6tm1.1(KOMP)Vlcg/Pfdn6+ (more )
Structure Level Pattern Image Note
TS28: esophagus Present JAX_1803810

Specimen JAX_1803811: postnatal adult; Pfdn6tm1.1(KOMP)Vlcg/Pfdn6+ (more )
Structure Level Pattern Image Note
TS28: uterus Present JAX_1803811

Specimen JAX_1803812: postnatal adult; Pfdn6tm1.1(KOMP)Vlcg/Pfdn6+ (more )
Structure Level Pattern Image Note
TS28: stomach Present JAX_1803812

Specimen JAX_1803813: postnatal adult; Pfdn6tm1.1(KOMP)Vlcg/Pfdn6+ (more )
Structure Level Pattern Image Note
TS28: skin Present JAX_1803813

Specimen JAX_1803814: postnatal adult; Pfdn6tm1.1(KOMP)Vlcg/Pfdn6+ (more )
Structure Level Pattern Image Note
TS28: oviduct Present JAX_1803814

Specimen JAX_1803815: postnatal adult; Pfdn6tm1.1(KOMP)Vlcg/Pfdn6+ (more )
Structure Level Pattern Image Note
TS28: ovary Present JAX_1803815

Specimen JAX_1803816: postnatal adult; Pfdn6tm1.1(KOMP)Vlcg/Pfdn6+ (more )
Structure Level Pattern Image Note
TS28: mammary gland Present JAX_1803816

Specimen JAX_1803817: postnatal adult; Pfdn6tm1.1(KOMP)Vlcg/Pfdn6+ (more )
Structure Level Pattern Image Note
TS28: lymph node Present JAX_1803817

Specimen JAX_1803818: postnatal adult; Pfdn6tm1.1(KOMP)Vlcg/Pfdn6+ (more )
Structure Level Pattern Image Note
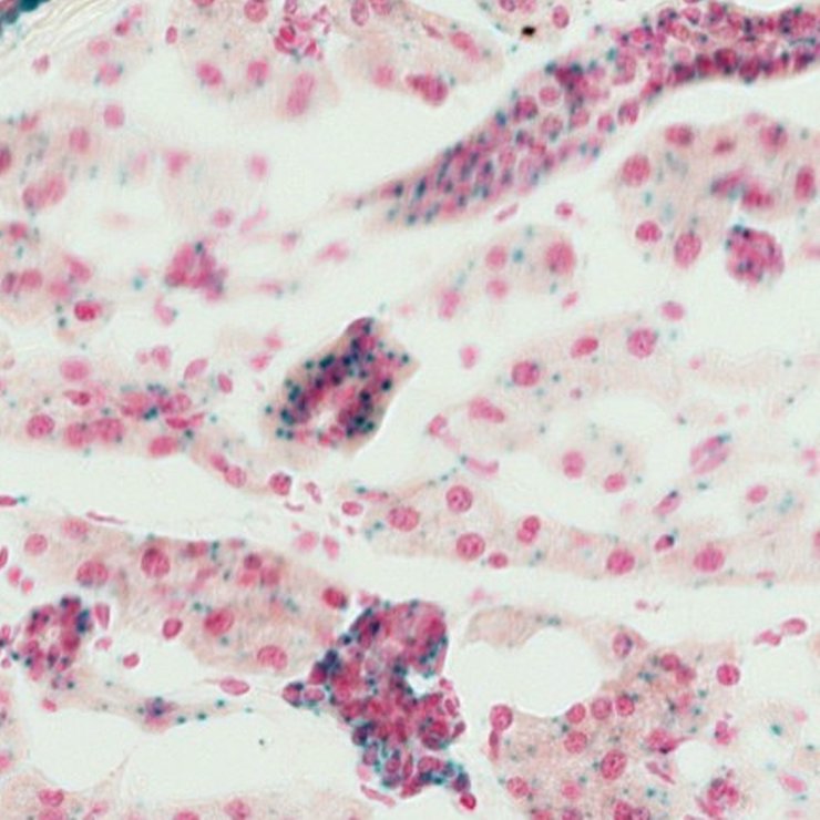
TS28: liver Present JAX_1803818

Specimen JAX_1803819: postnatal adult; Pfdn6tm1.1(KOMP)Vlcg/Pfdn6+ (more )
Structure Level Pattern Image Note
TS28: metanephros Present JAX_1803819 kidney

Specimen JAX_1803820: postnatal adult; Pfdn6tm1.1(KOMP)Vlcg/Pfdn6+ (more )
Structure Level Pattern Image Note
TS28: eye Present JAX_1803820

Specimen JAX_1803821: postnatal adult; Pfdn6tm1.1(KOMP)Vlcg/Pfdn6+ (more )
Structure Level Pattern Image Note
TS28: brain Present JAX_1803821

Specimen JAX_1803822: postnatal adult; Pfdn6tm1.1(KOMP)Vlcg/Pfdn6+ (more )
Structure Level Pattern Image Note
TS28: vascular system Present JAX_1803822

Specimen JAX_1803823: postnatal adult; Pfdn6tm1.1(KOMP)Vlcg/Pfdn6+ (more )
Structure Level Pattern Image Note
TS28: epididymis Present JAX_1803823

Specimen JAX_1803824: postnatal adult; Pfdn6tm1.1(KOMP)Vlcg/Pfdn6+ (more )
Structure Level Pattern Image Note
TS28: peripheral nervous system Present JAX_1803824

Specimen JAX_1803825: postnatal adult; Pfdn6tm1.1(KOMP)Vlcg/Pfdn6+ (more )
Structure Level Pattern Image Note
TS28: hippocampus Present JAX_1803825

Specimen JAX_1803826: postnatal adult; Pfdn6tm1.1(KOMP)Vlcg/Pfdn6+ (more )
Structure Level Pattern Image Note
TS28: cartilage Present JAX_1803826

Specimen JAX_1803827: postnatal adult; Pfdn6tm1.1(KOMP)Vlcg/Pfdn6+ (more )
Structure Level Pattern Image Note
TS28: spleen Present JAX_1803827

Specimen JAX_1803828: postnatal adult; Pfdn6tm1.1(KOMP)Vlcg/Pfdn6+ (more )
Structure Level Pattern Image Note
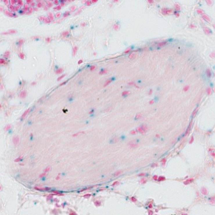
TS28: aorta Present JAX_1803828

Specimen JAX_1803829: postnatal adult; Pfdn6tm1.1(KOMP)Vlcg/Pfdn6+ (more )
Structure Level Pattern Image Note
TS28: lung Present JAX_1803829

Specimen JAX_1803830: postnatal adult; Pfdn6tm1.1(KOMP)Vlcg/Pfdn6+ (more )
Structure Level Pattern Image Note
TS28: thyroid gland Present JAX_1803830

Specimen JAX_1803831: postnatal adult; Pfdn6tm1.1(KOMP)Vlcg/Pfdn6+ (more )
Structure Level Pattern Image Note
TS28: large intestine Present JAX_1803831

Specimen JAX_1803832: postnatal adult; Pfdn6tm1.1(KOMP)Vlcg/Pfdn6+ (more )
Structure Level Pattern Image Note
TS28: trachea Present JAX_1803832

Specimen JAX_1803833: postnatal adult; Pfdn6tm1.1(KOMP)Vlcg/Pfdn6+ (more )
Structure Level Pattern Image Note
TS28: thymus Present JAX_1803833

Specimen JAX_1803834: postnatal adult; Pfdn6tm1.1(KOMP)Vlcg/Pfdn6+ (more )
Structure Level Pattern Image Note
TS28: testis Present JAX_1803834

Specimen JAX_1803835: postnatal adult; Pfdn6tm1.1(KOMP)Vlcg/Pfdn6+ (more )
Structure Level Pattern Image Note
TS28: heart Present JAX_1803835

Specimen JAX_1803836: postnatal adult; Pfdn6tm1.1(KOMP)Vlcg/Pfdn6+ (more )
Structure Level Pattern Image Note
TS28: adrenal gland Present JAX_1803836


Contributing Projects:
Mouse Genome Database (MGD), Gene Expression Database (GXD), Mouse Models of Human Cancer database (MMHCdb) (formerly Mouse Tumor Biology (MTB)), Gene Ontology (GO)
Citing These Resources
Funding Information
Warranty Disclaimer, Privacy Notice, Licensing, & Copyright
Send questions and comments to User Support.
last database update
03/24/2026
MGI 6.24
The Jackson Laboratory