About   Help   FAQ
Gene Expression Data
Assay Details
Assay
Reference: J:228563 Koscielny G, et al., The International Mouse Phenotyping Consortium Web Portal, a unified point of access for knockout mice and related phenotyping data. Nucleic Acids Res. 2014 Jan;42(Database issue):D802-9
Assay type: In situ reporter (knock in)
MGI Accession ID: MGI:6693074
Gene symbol: Gjb3
Gene name: gap junction protein, beta 3
Reporter: lacZ
Direct Detection
Results
Specimen UC Davis_1881174: postnatal adult; Gjb3tm1.1(KOMP)Vlcg/Gjb3+ (more )
Structure Level Pattern Image Note
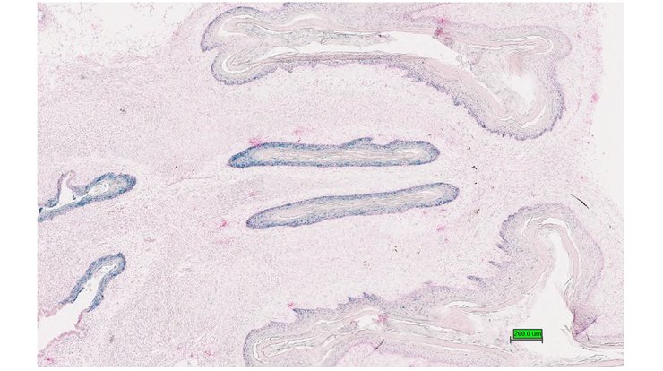
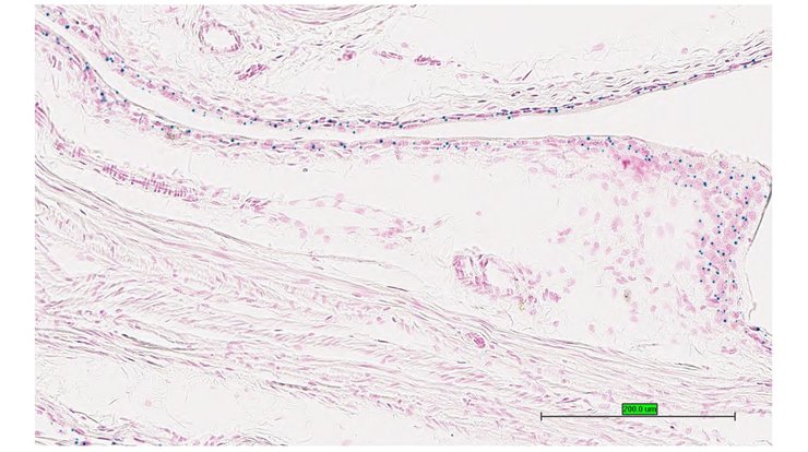
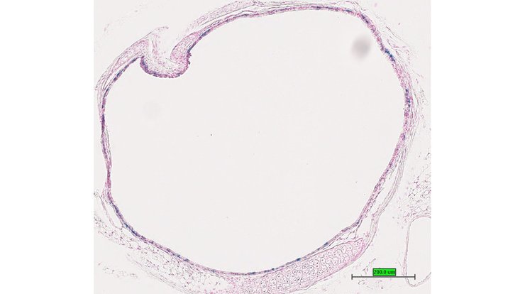
TS28: trachea Present UC Davis_1881174

Specimen UC Davis_1881175: postnatal adult; Gjb3tm1.1(KOMP)Vlcg/Gjb3+ (more )
Structure Level Pattern Image Note
TS28: trachea Present UC Davis_1881175

Specimen UC Davis_1881176: postnatal adult; Gjb3tm1.1(KOMP)Vlcg/Gjb3+ (more )
Structure Level Pattern Image Note
TS28: esophagus Present UC Davis_1881176

Specimen UC Davis_1881177: postnatal adult; Gjb3tm1.1(KOMP)Vlcg/Gjb3+ (more )
Structure Level Pattern Image Note
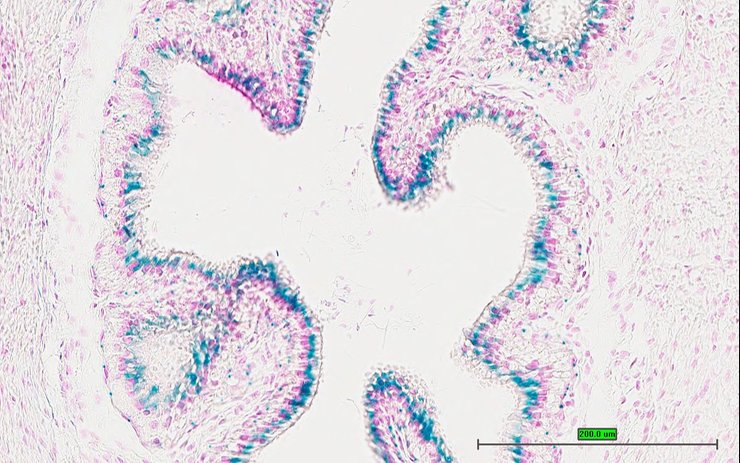
TS28: stomach Present UC Davis_1881177

Specimen UC Davis_1881178: postnatal adult; Gjb3tm1.1(KOMP)Vlcg/Gjb3+ (more )
Structure Level Pattern Image Note
TS28: stomach Present UC Davis_1881178

Specimen UC Davis_1881179: postnatal adult; Gjb3tm1.1(KOMP)Vlcg/Gjb3+ (more )
Structure Level Pattern Image Note
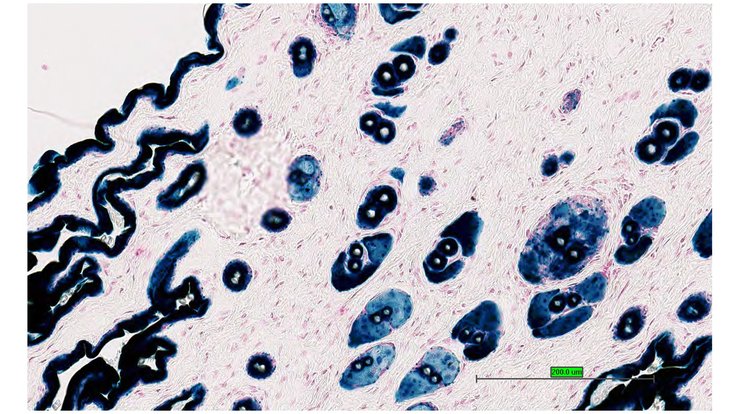
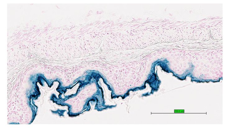
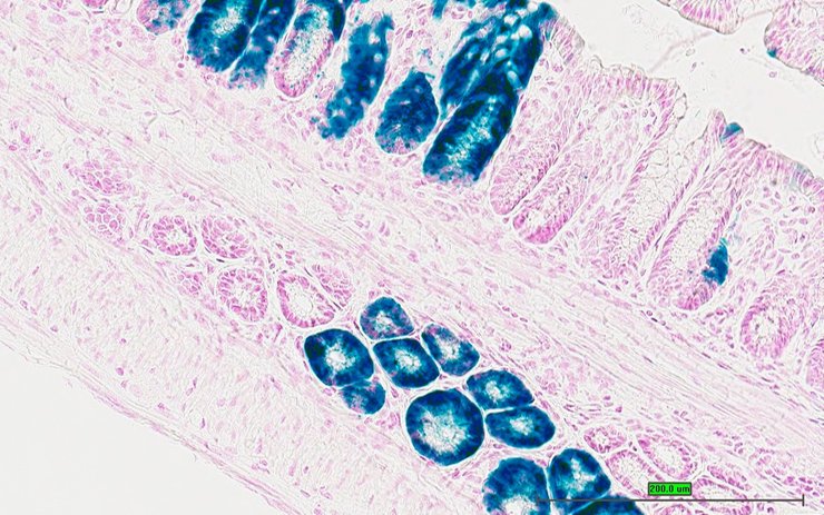
TS28: tongue Present UC Davis_1881179

Specimen UC Davis_1881180: postnatal adult; Gjb3tm1.1(KOMP)Vlcg/Gjb3+ (more )
Structure Level Pattern Image Note
TS28: tongue Present UC Davis_1881180

Specimen UC Davis_1881181: postnatal adult; Gjb3tm1.1(KOMP)Vlcg/Gjb3+ (more )
Structure Level Pattern Image Note
TS28: tongue Present UC Davis_1881181

Specimen UC Davis_1881182: postnatal adult; Gjb3tm1.1(KOMP)Vlcg/Gjb3+ (more )
Structure Level Pattern Image Note
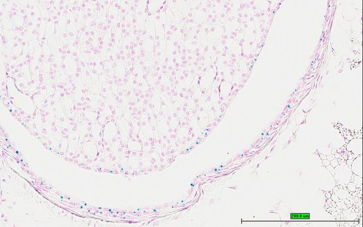
TS28: eye Present UC Davis_1881182

Specimen UC Davis_1881185: postnatal adult; Gjb3tm1.1(KOMP)Vlcg/Gjb3+ (more )
Structure Level Pattern Image Note
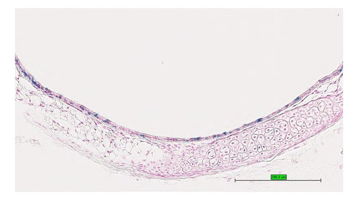
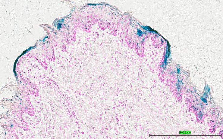
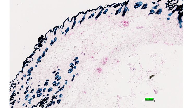
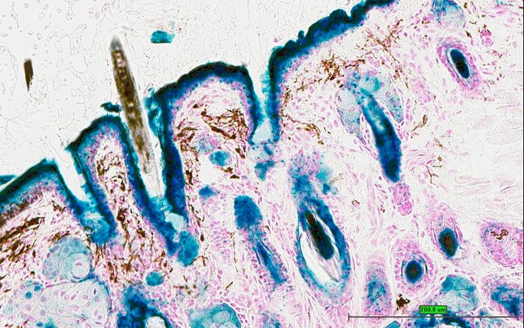
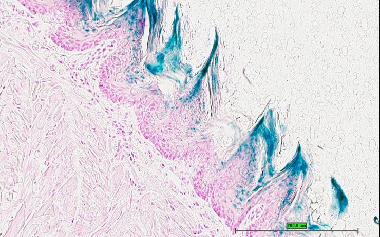
TS28: skin Present UC Davis_1881185

Specimen UC Davis_1881186: postnatal adult; Gjb3tm1.1(KOMP)Vlcg/Gjb3+ (more )
Structure Level Pattern Image Note
TS28: skin Present UC Davis_1881186

Specimen UC Davis_1881187: postnatal adult; Gjb3tm1.1(KOMP)Vlcg/Gjb3+ (more )
Structure Level Pattern Image Note
TS28: skin Present UC Davis_1881187

Specimen UC Davis_1881188: postnatal adult; Gjb3tm1.1(KOMP)Vlcg/Gjb3+ (more )
Structure Level Pattern Image Note
TS28: skin Present UC Davis_1881188

Specimen UC Davis_1881189: postnatal adult; Gjb3tm1.1(KOMP)Vlcg/Gjb3+ (more )
Structure Level Pattern Image Note
TS28: vagina Present UC Davis_1881189

Specimen UC Davis_1881190: postnatal adult; Gjb3tm1.1(KOMP)Vlcg/Gjb3+ (more )
Structure Level Pattern Image Note
TS28: vagina Present UC Davis_1881190

Specimen UC Davis_1881191: postnatal adult; Gjb3tm1.1(KOMP)Vlcg/Gjb3+ (more )
Structure Level Pattern Image Note
TS28: bladder Present UC Davis_1881191

Specimen UC Davis_1881192: postnatal adult; Gjb3tm1.1(KOMP)Vlcg/Gjb3+ (more )
Structure Level Pattern Image Note
TS28: mammary gland Present UC Davis_1881192

Specimen UC Davis_1881149: postnatal adult; Gjb3tm1.1(KOMP)Vlcg/Gjb3+ (more )
Structure Level Pattern Image Note
TS28: trachea Present UC Davis_1881149

Specimen UC Davis_1881150: postnatal adult; Gjb3tm1.1(KOMP)Vlcg/Gjb3+ (more )
Structure Level Pattern Image Note
TS28: esophagus Present UC Davis_1881150

Specimen UC Davis_1881151: postnatal adult; Gjb3tm1.1(KOMP)Vlcg/Gjb3+ (more )
Structure Level Pattern Image Note
TS28: esophagus Present UC Davis_1881151

Specimen UC Davis_1881153: postnatal adult; Gjb3tm1.1(KOMP)Vlcg/Gjb3+ (more )
Structure Level Pattern Image Note
TS28: stomach Present UC Davis_1881153

Specimen UC Davis_1881154: postnatal adult; Gjb3tm1.1(KOMP)Vlcg/Gjb3+ (more )
Structure Level Pattern Image Note
TS28: stomach Present UC Davis_1881154

Specimen UC Davis_1881155: postnatal adult; Gjb3tm1.1(KOMP)Vlcg/Gjb3+ (more )
Structure Level Pattern Image Note
TS28: stomach Present UC Davis_1881155

Specimen UC Davis_1881156: postnatal adult; Gjb3tm1.1(KOMP)Vlcg/Gjb3+ (more )
Structure Level Pattern Image Note
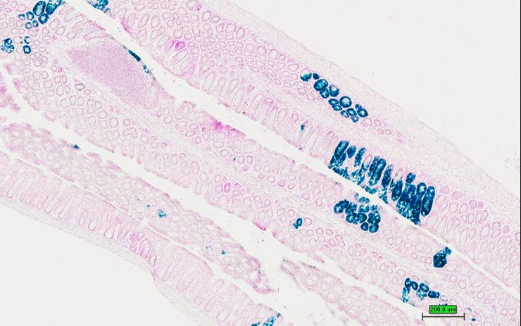
TS28: colon Present UC Davis_1881156

Specimen UC Davis_1881157: postnatal adult; Gjb3tm1.1(KOMP)Vlcg/Gjb3+ (more )
Structure Level Pattern Image Note
TS28: colon Present UC Davis_1881157

Specimen UC Davis_1881158: postnatal adult; Gjb3tm1.1(KOMP)Vlcg/Gjb3+ (more )
Structure Level Pattern Image Note
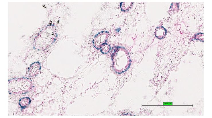
TS28: metanephros Present UC Davis_1881158 kidney

Specimen UC Davis_1881159: postnatal adult; Gjb3tm1.1(KOMP)Vlcg/Gjb3+ (more )
Structure Level Pattern Image Note
TS28: tongue Present UC Davis_1881159

Specimen UC Davis_1881160: postnatal adult; Gjb3tm1.1(KOMP)Vlcg/Gjb3+ (more )
Structure Level Pattern Image Note
TS28: tongue Present UC Davis_1881160

Specimen UC Davis_1881161: postnatal adult; Gjb3tm1.1(KOMP)Vlcg/Gjb3+ (more )
Structure Level Pattern Image Note
TS28: eye Present UC Davis_1881161

Specimen UC Davis_1881162: postnatal adult; Gjb3tm1.1(KOMP)Vlcg/Gjb3+ (more )
Structure Level Pattern Image Note
TS28: skin Present UC Davis_1881162

Specimen UC Davis_1881163: postnatal adult; Gjb3tm1.1(KOMP)Vlcg/Gjb3+ (more )
Structure Level Pattern Image Note
TS28: skin Present UC Davis_1881163

Specimen UC Davis_1881164: postnatal adult; Gjb3tm1.1(KOMP)Vlcg/Gjb3+ (more )
Structure Level Pattern Image Note
TS28: bladder Present UC Davis_1881164

Specimen UC Davis_1881165: postnatal adult; Gjb3tm1.1(KOMP)Vlcg/Gjb3+ (more )
Structure Level Pattern Image Note
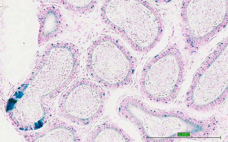
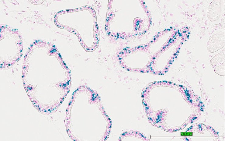
TS28: epididymis Present UC Davis_1881165

Specimen UC Davis_1881166: postnatal adult; Gjb3tm1.1(KOMP)Vlcg/Gjb3+ (more )
Structure Level Pattern Image Note
TS28: prostate gland Present UC Davis_1881166

Specimen UC Davis_1881167: postnatal adult; Gjb3tm1.1(KOMP)Vlcg/Gjb3+ (more )
Structure Level Pattern Image Note
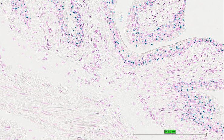
TS28: penis Present UC Davis_1881167

Specimen UC Davis_1881168: postnatal adult; Gjb3tm1.1(KOMP)Vlcg/Gjb3+ (more )
Structure Level Pattern Image Note
TS28: penis Present UC Davis_1881168

Specimen UC Davis_1881169: postnatal adult; Gjb3tm1.1(KOMP)Vlcg/Gjb3+ (more )
Structure Level Pattern Image Note
TS28: penis Present UC Davis_1881169

Specimen UC Davis_1881170: postnatal adult; Gjb3tm1.1(KOMP)Vlcg/Gjb3+ (more )
Structure Level Pattern Image Note
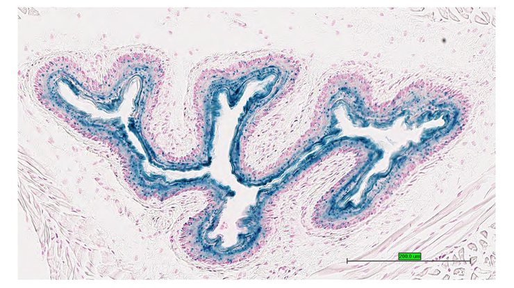
TS28: ductus deferens Present UC Davis_1881170 vas deferens

Specimen UC Davis_1881173: postnatal adult; Gjb3tm1.1(KOMP)Vlcg/Gjb3+ (more )
Structure Level Pattern Image Note
TS28: seminal vesicle Present UC Davis_1881173 vesicular gland


Contributing Projects:
Mouse Genome Database (MGD), Gene Expression Database (GXD), Mouse Models of Human Cancer database (MMHCdb) (formerly Mouse Tumor Biology (MTB)), Gene Ontology (GO)
Citing These Resources
Funding Information
Warranty Disclaimer, Privacy Notice, Licensing, & Copyright
Send questions and comments to User Support.
last database update
01/28/2026
MGI 6.24
The Jackson Laboratory