About   Help   FAQ
Gene Expression Data
Assay Details
Assay
Reference: J:228563 Koscielny G, et al., The International Mouse Phenotyping Consortium Web Portal, a unified point of access for knockout mice and related phenotyping data. Nucleic Acids Res. 2014 Jan;42(Database issue):D802-9
Assay type: In situ reporter (knock in)
MGI Accession ID: MGI:6693073
Gene symbol: Gjc1
Gene name: gap junction protein, gamma 1
Reporter: lacZ
Direct Detection
Results
Specimen TCP_2460629: postnatal adult; Gjc1tm1.1(KOMP)Vlcg/Gjc1+ (more )
Structure Level Pattern Image Note
TS28: brain Present TCP_2460629

Specimen TCP_2460630: postnatal adult; Gjc1tm1.1(KOMP)Vlcg/Gjc1+ (more )
Structure Level Pattern Image Note
TS28: brown fat Present TCP_2460630

Specimen TCP_2460631: postnatal adult; Gjc1tm1.1(KOMP)Vlcg/Gjc1+ (more )
Structure Level Pattern Image Note
TS28: bone Present TCP_2460631

Specimen TCP_2460632: postnatal adult; Gjc1tm1.1(KOMP)Vlcg/Gjc1+ (more )
Structure Level Pattern Image Note
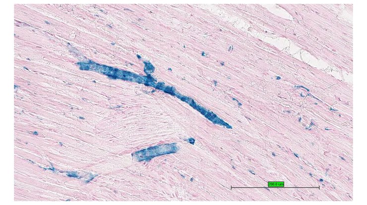
TS28: heart Present TCP_2460632

Specimen TCP_2460633: postnatal adult; Gjc1tm1.1(KOMP)Vlcg/Gjc1+ (more )
Structure Level Pattern Image Note
TS28: lung Present TCP_2460633

Specimen TCP_2460634: postnatal adult; Gjc1tm1.1(KOMP)Vlcg/Gjc1+ (more )
Structure Level Pattern Image Note
TS28: skin Present TCP_2460634

Specimen TCP_2460635: postnatal adult; Gjc1tm1.1(KOMP)Vlcg/Gjc1+ (more )
Structure Level Pattern Image Note
TS28: spinal cord Absent TCP_2460635

Specimen UC Davis_1889796: postnatal adult; Gjc1tm1.1(KOMP)Vlcg/Gjc1+ (more )
Structure Level Pattern Image Note
TS28: submandibular gland Present UC Davis_1889796

Specimen UC Davis_1889797: postnatal adult; Gjc1tm1.1(KOMP)Vlcg/Gjc1+ (more )
Structure Level Pattern Image Note
TS28: parotid gland Present UC Davis_1889797

Specimen UC Davis_1889798: postnatal adult; Gjc1tm1.1(KOMP)Vlcg/Gjc1+ (more )
Structure Level Pattern Image Note
TS28: lung Present UC Davis_1889798

Specimen UC Davis_1889800: postnatal adult; Gjc1tm1.1(KOMP)Vlcg/Gjc1+ (more )
Structure Level Pattern Image Note
TS28: stomach Present UC Davis_1889800

Specimen UC Davis_1889801: postnatal adult; Gjc1tm1.1(KOMP)Vlcg/Gjc1+ (more )
Structure Level Pattern Image Note
TS28: stomach Present UC Davis_1889801

Specimen UC Davis_1889802: postnatal adult; Gjc1tm1.1(KOMP)Vlcg/Gjc1+ (more )
Structure Level Pattern Image Note
TS28: stomach Present UC Davis_1889802

Specimen UC Davis_1889803: postnatal adult; Gjc1tm1.1(KOMP)Vlcg/Gjc1+ (more )
Structure Level Pattern Image Note
TS28: colon Present UC Davis_1889803

Specimen UC Davis_1889804: postnatal adult; Gjc1tm1.1(KOMP)Vlcg/Gjc1+ (more )
Structure Level Pattern Image Note
TS28: colon Present UC Davis_1889804

Specimen UC Davis_1889805: postnatal adult; Gjc1tm1.1(KOMP)Vlcg/Gjc1+ (more )
Structure Level Pattern Image Note
TS28: cecum Present UC Davis_1889805

Specimen UC Davis_1889806: postnatal adult; Gjc1tm1.1(KOMP)Vlcg/Gjc1+ (more )
Structure Level Pattern Image Note
TS28: spleen Present UC Davis_1889806

Specimen UC Davis_1889807: postnatal adult; Gjc1tm1.1(KOMP)Vlcg/Gjc1+ (more )
Structure Level Pattern Image Note
TS28: pancreas Present UC Davis_1889807

Specimen UC Davis_1889808: postnatal adult; Gjc1tm1.1(KOMP)Vlcg/Gjc1+ (more )
Structure Level Pattern Image Note
TS28: metanephros Present UC Davis_1889808 kidney

Specimen UC Davis_1889809: postnatal adult; Gjc1tm1.1(KOMP)Vlcg/Gjc1+ (more )
Structure Level Pattern Image Note
TS28: quadriceps femoris muscle Present UC Davis_1889809

Specimen UC Davis_1889810: postnatal adult; Gjc1tm1.1(KOMP)Vlcg/Gjc1+ (more )
Structure Level Pattern Image Note
TS28: quadriceps femoris muscle Present UC Davis_1889810

Specimen UC Davis_1889811: postnatal adult; Gjc1tm1.1(KOMP)Vlcg/Gjc1+ (more )
Structure Level Pattern Image Note
TS28: tongue Present UC Davis_1889811

Specimen UC Davis_1889812: postnatal adult; Gjc1tm1.1(KOMP)Vlcg/Gjc1+ (more )
Structure Level Pattern Image Note
TS28: tongue Present UC Davis_1889812

Specimen UC Davis_1889813: postnatal adult; Gjc1tm1.1(KOMP)Vlcg/Gjc1+ (more )
Structure Level Pattern Image Note
TS28: tongue Present UC Davis_1889813

Specimen UC Davis_1889814: postnatal adult; Gjc1tm1.1(KOMP)Vlcg/Gjc1+ (more )
Structure Level Pattern Image Note
TS28: diaphragm Present UC Davis_1889814

Specimen UC Davis_1889815: postnatal adult; Gjc1tm1.1(KOMP)Vlcg/Gjc1+ (more )
Structure Level Pattern Image Note
TS28: adrenal gland Present UC Davis_1889815

Specimen UC Davis_1889816: postnatal adult; Gjc1tm1.1(KOMP)Vlcg/Gjc1+ (more )
Structure Level Pattern Image Note
TS28: spinal cord Present UC Davis_1889816

Specimen UC Davis_1889817: postnatal adult; Gjc1tm1.1(KOMP)Vlcg/Gjc1+ (more )
Structure Level Pattern Image Note
TS28: spinal cord Present UC Davis_1889817

Specimen UC Davis_1889818: postnatal adult; Gjc1tm1.1(KOMP)Vlcg/Gjc1+ (more )
Structure Level Pattern Image Note
TS28: eye Present UC Davis_1889818

Specimen UC Davis_1889820: postnatal adult; Gjc1tm1.1(KOMP)Vlcg/Gjc1+ (more )
Structure Level Pattern Image Note
TS28: Harderian gland Present UC Davis_1889820

Specimen UC Davis_1889821: postnatal adult; Gjc1tm1.1(KOMP)Vlcg/Gjc1+ (more )
Structure Level Pattern Image Note
TS28: gonadal fat pad Present UC Davis_1889821

Specimen UC Davis_1889822: postnatal adult; Gjc1tm1.1(KOMP)Vlcg/Gjc1+ (more )
Structure Level Pattern Image Note
TS28: gonadal fat pad Present UC Davis_1889822

Specimen UC Davis_1889823: postnatal adult; Gjc1tm1.1(KOMP)Vlcg/Gjc1+ (more )
Structure Level Pattern Image Note
TS28: gonadal fat pad Present UC Davis_1889823

Specimen UC Davis_1889824: postnatal adult; Gjc1tm1.1(KOMP)Vlcg/Gjc1+ (more )
Structure Level Pattern Image Note
TS28: mesenteric adipose tissue Present UC Davis_1889824

Specimen UC Davis_1889825: postnatal adult; Gjc1tm1.1(KOMP)Vlcg/Gjc1+ (more )
Structure Level Pattern Image Note
TS28: skin Present UC Davis_1889825

Specimen UC Davis_1889826: postnatal adult; Gjc1tm1.1(KOMP)Vlcg/Gjc1+ (more )
Structure Level Pattern Image Note
TS28: skin Present UC Davis_1889826

Specimen UC Davis_1889827: postnatal adult; Gjc1tm1.1(KOMP)Vlcg/Gjc1+ (more )
Structure Level Pattern Image Note
TS28: brown fat Present UC Davis_1889827

Specimen UC Davis_1889828: postnatal adult; Gjc1tm1.1(KOMP)Vlcg/Gjc1+ (more )
Structure Level Pattern Image Note
TS28: brown fat Present UC Davis_1889828

Specimen UC Davis_1889829: postnatal adult; Gjc1tm1.1(KOMP)Vlcg/Gjc1+ (more )
Structure Level Pattern Image Note
TS28: olfactory lobe Present UC Davis_1889829

Specimen UC Davis_1889833: postnatal adult; Gjc1tm1.1(KOMP)Vlcg/Gjc1+ (more )
Structure Level Pattern Image Note
TS28: midbrain Present UC Davis_1889833

Specimen UC Davis_1889835: postnatal adult; Gjc1tm1.1(KOMP)Vlcg/Gjc1+ (more )
Structure Level Pattern Image Note
TS28: cerebellum Present UC Davis_1889835

Specimen UC Davis_1889836: postnatal adult; Gjc1tm1.1(KOMP)Vlcg/Gjc1+ (more )
Structure Level Pattern Image Note
TS28: trigeminal nerve Present UC Davis_1889836

Specimen UC Davis_1889837: postnatal adult; Gjc1tm1.1(KOMP)Vlcg/Gjc1+ (more )
Structure Level Pattern Image Note
TS28: trigeminal nerve Present UC Davis_1889837

Specimen UC Davis_1889838: postnatal adult; Gjc1tm1.1(KOMP)Vlcg/Gjc1+ (more )
Structure Level Pattern Image Note
TS28: ovary Present UC Davis_1889838

Specimen UC Davis_1889839: postnatal adult; Gjc1tm1.1(KOMP)Vlcg/Gjc1+ (more )
Structure Level Pattern Image Note
TS28: ovary Present UC Davis_1889839

Specimen UC Davis_1889840: postnatal adult; Gjc1tm1.1(KOMP)Vlcg/Gjc1+ (more )
Structure Level Pattern Image Note
TS28: ovary Present UC Davis_1889840

Specimen UC Davis_1889841: postnatal adult; Gjc1tm1.1(KOMP)Vlcg/Gjc1+ (more )
Structure Level Pattern Image Note
TS28: oviduct Present UC Davis_1889841

Specimen UC Davis_1889842: postnatal adult; Gjc1tm1.1(KOMP)Vlcg/Gjc1+ (more )
Structure Level Pattern Image Note
TS28: oviduct Present UC Davis_1889842

Specimen UC Davis_1889843: postnatal adult; Gjc1tm1.1(KOMP)Vlcg/Gjc1+ (more )
Structure Level Pattern Image Note
TS28: oviduct Present UC Davis_1889843

Specimen UC Davis_1889844: postnatal adult; Gjc1tm1.1(KOMP)Vlcg/Gjc1+ (more )
Structure Level Pattern Image Note
TS28: uterus Present UC Davis_1889844

Specimen UC Davis_1889845: postnatal adult; Gjc1tm1.1(KOMP)Vlcg/Gjc1+ (more )
Structure Level Pattern Image Note
TS28: uterus Present UC Davis_1889845

Specimen UC Davis_1889846: postnatal adult; Gjc1tm1.1(KOMP)Vlcg/Gjc1+ (more )
Structure Level Pattern Image Note
TS28: vagina Present UC Davis_1889846

Specimen UC Davis_1889847: postnatal adult; Gjc1tm1.1(KOMP)Vlcg/Gjc1+ (more )
Structure Level Pattern Image Note
TS28: bladder Present UC Davis_1889847

Specimen UC Davis_1889848: postnatal adult; Gjc1tm1.1(KOMP)Vlcg/Gjc1+ (more )
Structure Level Pattern Image Note
TS28: bladder Present UC Davis_1889848

Specimen UC Davis_1889849: postnatal adult; Gjc1tm1.1(KOMP)Vlcg/Gjc1+ (more )
Structure Level Pattern Image Note
TS28: mammary gland Present UC Davis_1889849

Specimen TCP_2460621: postnatal adult; Gjc1tm1.1(KOMP)Vlcg/Gjc1+ (more )
Structure Level Pattern Image Note
TS28: brain Present TCP_2460621

Specimen TCP_2460622: postnatal adult; Gjc1tm1.1(KOMP)Vlcg/Gjc1+ (more )
Structure Level Pattern Image Note
TS28: brown fat Present TCP_2460622

Specimen TCP_2460623: postnatal adult; Gjc1tm1.1(KOMP)Vlcg/Gjc1+ (more )
Structure Level Pattern Image Note
TS28: bone Present TCP_2460623

Specimen TCP_2460624: postnatal adult; Gjc1tm1.1(KOMP)Vlcg/Gjc1+ (more )
Structure Level Pattern Image Note
TS28: heart Present TCP_2460624

Specimen TCP_2460625: postnatal adult; Gjc1tm1.1(KOMP)Vlcg/Gjc1+ (more )
Structure Level Pattern Image Note
TS28: lung Present TCP_2460625

Specimen TCP_2460626: postnatal adult; Gjc1tm1.1(KOMP)Vlcg/Gjc1+ (more )
Structure Level Pattern Image Note
TS28: skin Present TCP_2460626

Specimen TCP_2460627: postnatal adult; Gjc1tm1.1(KOMP)Vlcg/Gjc1+ (more )
Structure Level Pattern Image Note
TS28: spinal cord Absent TCP_2460627

Specimen TCP_2460628: postnatal adult; Gjc1tm1.1(KOMP)Vlcg/Gjc1+ (more )
Structure Level Pattern Image Note
TS28: tongue Present TCP_2460628

Specimen UC Davis_1889850: postnatal adult; Gjc1tm1.1(KOMP)Vlcg/Gjc1+ (more )
Structure Level Pattern Image Note
TS28: submandibular gland Present UC Davis_1889850

Specimen UC Davis_1889851: postnatal adult; Gjc1tm1.1(KOMP)Vlcg/Gjc1+ (more )
Structure Level Pattern Image Note
TS28: submandibular gland Present UC Davis_1889851

Specimen UC Davis_1889852: postnatal adult; Gjc1tm1.1(KOMP)Vlcg/Gjc1+ (more )
Structure Level Pattern Image Note
TS28: parotid gland Present UC Davis_1889852

Specimen UC Davis_1889854: postnatal adult; Gjc1tm1.1(KOMP)Vlcg/Gjc1+ (more )
Structure Level Pattern Image Note
TS28: trachea Present UC Davis_1889854

Specimen UC Davis_1889855: postnatal adult; Gjc1tm1.1(KOMP)Vlcg/Gjc1+ (more )
Structure Level Pattern Image Note
TS28: esophagus Present UC Davis_1889855

Specimen UC Davis_1889856: postnatal adult; Gjc1tm1.1(KOMP)Vlcg/Gjc1+ (more )
Structure Level Pattern Image Note
TS28: esophagus Present UC Davis_1889856

Specimen UC Davis_1889858: postnatal adult; Gjc1tm1.1(KOMP)Vlcg/Gjc1+ (more )
Structure Level Pattern Image Note
TS28: aorta Present UC Davis_1889858

Specimen UC Davis_1889859: postnatal adult; Gjc1tm1.1(KOMP)Vlcg/Gjc1+ (more )
Structure Level Pattern Image Note
TS28: lung Present UC Davis_1889859

Specimen UC Davis_1889860: postnatal adult; Gjc1tm1.1(KOMP)Vlcg/Gjc1+ (more )
Structure Level Pattern Image Note
TS28: lung Present UC Davis_1889860

Specimen UC Davis_1889865: postnatal adult; Gjc1tm1.1(KOMP)Vlcg/Gjc1+ (more )
Structure Level Pattern Image Note
TS28: stomach Present UC Davis_1889865

Specimen UC Davis_1889866: postnatal adult; Gjc1tm1.1(KOMP)Vlcg/Gjc1+ (more )
Structure Level Pattern Image Note
TS28: stomach Present UC Davis_1889866

Specimen UC Davis_1889867: postnatal adult; Gjc1tm1.1(KOMP)Vlcg/Gjc1+ (more )
Structure Level Pattern Image Note
TS28: colon Present UC Davis_1889867

Specimen UC Davis_1889868: postnatal adult; Gjc1tm1.1(KOMP)Vlcg/Gjc1+ (more )
Structure Level Pattern Image Note
TS28: spleen Present UC Davis_1889868

Specimen UC Davis_1889869: postnatal adult; Gjc1tm1.1(KOMP)Vlcg/Gjc1+ (more )
Structure Level Pattern Image Note
TS28: pancreas Present UC Davis_1889869

Specimen UC Davis_1889870: postnatal adult; Gjc1tm1.1(KOMP)Vlcg/Gjc1+ (more )
Structure Level Pattern Image Note
TS28: liver Present UC Davis_1889870

Specimen UC Davis_1889871: postnatal adult; Gjc1tm1.1(KOMP)Vlcg/Gjc1+ (more )
Structure Level Pattern Image Note
TS28: metanephros Present UC Davis_1889871 kidney

Specimen UC Davis_1889872: postnatal adult; Gjc1tm1.1(KOMP)Vlcg/Gjc1+ (more )
Structure Level Pattern Image Note
TS28: metanephros Present UC Davis_1889872 kidney

Specimen UC Davis_1889873: postnatal adult; Gjc1tm1.1(KOMP)Vlcg/Gjc1+ (more )
Structure Level Pattern Image Note
TS28: metanephros Present UC Davis_1889873 kidney

Specimen UC Davis_1889874: postnatal adult; Gjc1tm1.1(KOMP)Vlcg/Gjc1+ (more )
Structure Level Pattern Image Note
TS28: quadriceps femoris muscle Present UC Davis_1889874

Specimen UC Davis_1889875: postnatal adult; Gjc1tm1.1(KOMP)Vlcg/Gjc1+ (more )
Structure Level Pattern Image Note
TS28: quadriceps femoris muscle Present UC Davis_1889875

Specimen UC Davis_1889876: postnatal adult; Gjc1tm1.1(KOMP)Vlcg/Gjc1+ (more )
Structure Level Pattern Image Note
TS28: sciatic nerve Present UC Davis_1889876

Specimen UC Davis_1889877: postnatal adult; Gjc1tm1.1(KOMP)Vlcg/Gjc1+ (more )
Structure Level Pattern Image Note
TS28: tongue Present UC Davis_1889877

Specimen UC Davis_1889878: postnatal adult; Gjc1tm1.1(KOMP)Vlcg/Gjc1+ (more )
Structure Level Pattern Image Note
TS28: tongue Present UC Davis_1889878

Specimen UC Davis_1889879: postnatal adult; Gjc1tm1.1(KOMP)Vlcg/Gjc1+ (more )
Structure Level Pattern Image Note
TS28: diaphragm Present UC Davis_1889879

Specimen UC Davis_1889880: postnatal adult; Gjc1tm1.1(KOMP)Vlcg/Gjc1+ (more )
Structure Level Pattern Image Note
TS28: adrenal gland Present UC Davis_1889880

Specimen UC Davis_1889881: postnatal adult; Gjc1tm1.1(KOMP)Vlcg/Gjc1+ (more )
Structure Level Pattern Image Note
TS28: spinal cord Present UC Davis_1889881

Specimen UC Davis_1889882: postnatal adult; Gjc1tm1.1(KOMP)Vlcg/Gjc1+ (more )
Structure Level Pattern Image Note
TS28: spinal cord Present UC Davis_1889882

Specimen UC Davis_1889883: postnatal adult; Gjc1tm1.1(KOMP)Vlcg/Gjc1+ (more )
Structure Level Pattern Image Note
TS28: eye Present UC Davis_1889883

Specimen UC Davis_1889884: postnatal adult; Gjc1tm1.1(KOMP)Vlcg/Gjc1+ (more )
Structure Level Pattern Image Note
TS28: eye Present UC Davis_1889884

Specimen UC Davis_1889885: postnatal adult; Gjc1tm1.1(KOMP)Vlcg/Gjc1+ (more )
Structure Level Pattern Image Note
TS28: Harderian gland Present UC Davis_1889885

Specimen UC Davis_1889886: postnatal adult; Gjc1tm1.1(KOMP)Vlcg/Gjc1+ (more )
Structure Level Pattern Image Note
TS28: mesenteric adipose tissue Present UC Davis_1889886

Specimen UC Davis_1889887: postnatal adult; Gjc1tm1.1(KOMP)Vlcg/Gjc1+ (more )
Structure Level Pattern Image Note
TS28: skin Present UC Davis_1889887

Specimen UC Davis_1889888: postnatal adult; Gjc1tm1.1(KOMP)Vlcg/Gjc1+ (more )
Structure Level Pattern Image Note
TS28: skin Present UC Davis_1889888

Specimen UC Davis_1889889: postnatal adult; Gjc1tm1.1(KOMP)Vlcg/Gjc1+ (more )
Structure Level Pattern Image Note
TS28: brown fat Present UC Davis_1889889

Specimen UC Davis_1889890: postnatal adult; Gjc1tm1.1(KOMP)Vlcg/Gjc1+ (more )
Structure Level Pattern Image Note
TS28: brown fat Present UC Davis_1889890

Specimen UC Davis_1889892: postnatal adult; Gjc1tm1.1(KOMP)Vlcg/Gjc1+ (more )
Structure Level Pattern Image Note
TS28: midbrain Present UC Davis_1889892

Specimen UC Davis_1889893: postnatal adult; Gjc1tm1.1(KOMP)Vlcg/Gjc1+ (more )
Structure Level Pattern Image Note
TS28: cerebellum Present UC Davis_1889893

Specimen UC Davis_1889894: postnatal adult; Gjc1tm1.1(KOMP)Vlcg/Gjc1+ (more )
Structure Level Pattern Image Note
TS28: trigeminal nerve Present UC Davis_1889894

Specimen UC Davis_1889895: postnatal adult; Gjc1tm1.1(KOMP)Vlcg/Gjc1+ (more )
Structure Level Pattern Image Note
TS28: bladder Present UC Davis_1889895

Specimen UC Davis_1889896: postnatal adult; Gjc1tm1.1(KOMP)Vlcg/Gjc1+ (more )
Structure Level Pattern Image Note
TS28: testis Present UC Davis_1889896

Specimen UC Davis_1889897: postnatal adult; Gjc1tm1.1(KOMP)Vlcg/Gjc1+ (more )
Structure Level Pattern Image Note
TS28: epididymis Present UC Davis_1889897

Specimen UC Davis_1889898: postnatal adult; Gjc1tm1.1(KOMP)Vlcg/Gjc1+ (more )
Structure Level Pattern Image Note
TS28: epididymis Present UC Davis_1889898

Specimen UC Davis_1889899: postnatal adult; Gjc1tm1.1(KOMP)Vlcg/Gjc1+ (more )
Structure Level Pattern Image Note
TS28: prostate gland Present UC Davis_1889899

Specimen UC Davis_1889900: postnatal adult; Gjc1tm1.1(KOMP)Vlcg/Gjc1+ (more )
Structure Level Pattern Image Note
TS28: penis Present UC Davis_1889900

Specimen UC Davis_1889901: postnatal adult; Gjc1tm1.1(KOMP)Vlcg/Gjc1+ (more )
Structure Level Pattern Image Note
TS28: penis Present UC Davis_1889901

Specimen UC Davis_1889902: postnatal adult; Gjc1tm1.1(KOMP)Vlcg/Gjc1+ (more )
Structure Level Pattern Image Note
TS28: bone marrow Present UC Davis_1889902

Specimen UC Davis_1889903: postnatal adult; Gjc1tm1.1(KOMP)Vlcg/Gjc1+ (more )
Structure Level Pattern Image Note
TS28: ductus deferens Present UC Davis_1889903 vas deferens

Specimen UC Davis_1889905: postnatal adult; Gjc1tm1.1(KOMP)Vlcg/Gjc1+ (more )
Structure Level Pattern Image Note
TS28: seminal vesicle Present UC Davis_1889905 vesicular gland


Contributing Projects:
Mouse Genome Database (MGD), Gene Expression Database (GXD), Mouse Models of Human Cancer database (MMHCdb) (formerly Mouse Tumor Biology (MTB)), Gene Ontology (GO)
Citing These Resources
Funding Information
Warranty Disclaimer, Privacy Notice, Licensing, & Copyright
Send questions and comments to User Support.
last database update
01/28/2026
MGI 6.24
The Jackson Laboratory