About   Help   FAQ
Gene Expression Data
Assay Details
Assay
Reference: J:228563 Koscielny G, et al., The International Mouse Phenotyping Consortium Web Portal, a unified point of access for knockout mice and related phenotyping data. Nucleic Acids Res. 2014 Jan;42(Database issue):D802-9
Assay type: In situ reporter (knock in)
MGI Accession ID: MGI:6693063
Gene symbol: Gas6
Gene name: growth arrest specific 6
Reporter: lacZ
Direct Detection
Results
Specimen UC Davis_1886144: postnatal adult; Gas6tm1.1(KOMP)Vlcg/Gas6+ (more )
Structure Level Pattern Image Note
TS28: stomach Present UC Davis_1886144

Specimen UC Davis_1886145: postnatal adult; Gas6tm1.1(KOMP)Vlcg/Gas6+ (more )
Structure Level Pattern Image Note
TS28: stomach Present UC Davis_1886145

Specimen UC Davis_1886146: postnatal adult; Gas6tm1.1(KOMP)Vlcg/Gas6+ (more )
Structure Level Pattern Image Note
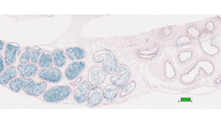
TS28: duodenum Present UC Davis_1886146

Specimen UC Davis_1886147: postnatal adult; Gas6tm1.1(KOMP)Vlcg/Gas6+ (more )
Structure Level Pattern Image Note
TS28: jejunum Present UC Davis_1886147

Specimen UC Davis_1886148: postnatal adult; Gas6tm1.1(KOMP)Vlcg/Gas6+ (more )
Structure Level Pattern Image Note
TS28: jejunum Present UC Davis_1886148

Specimen UC Davis_1886149: postnatal adult; Gas6tm1.1(KOMP)Vlcg/Gas6+ (more )
Structure Level Pattern Image Note
TS28: ileum Present UC Davis_1886149

Specimen UC Davis_1886150: postnatal adult; Gas6tm1.1(KOMP)Vlcg/Gas6+ (more )
Structure Level Pattern Image Note
TS28: ileum Present UC Davis_1886150

Specimen UC Davis_1886151: postnatal adult; Gas6tm1.1(KOMP)Vlcg/Gas6+ (more )
Structure Level Pattern Image Note
TS28: colon Present UC Davis_1886151

Specimen UC Davis_1886152: postnatal adult; Gas6tm1.1(KOMP)Vlcg/Gas6+ (more )
Structure Level Pattern Image Note
TS28: colon Present UC Davis_1886152

Specimen UC Davis_1886153: postnatal adult; Gas6tm1.1(KOMP)Vlcg/Gas6+ (more )
Structure Level Pattern Image Note
TS28: colon Present UC Davis_1886153

Specimen UC Davis_1886154: postnatal adult; Gas6tm1.1(KOMP)Vlcg/Gas6+ (more )
Structure Level Pattern Image Note
TS28: cecum Present UC Davis_1886154

Specimen UC Davis_1886155: postnatal adult; Gas6tm1.1(KOMP)Vlcg/Gas6+ (more )
Structure Level Pattern Image Note
TS28: spleen Present UC Davis_1886155

Specimen UC Davis_1886156: postnatal adult; Gas6tm1.1(KOMP)Vlcg/Gas6+ (more )
Structure Level Pattern Image Note
TS28: spleen Present UC Davis_1886156

Specimen UC Davis_1886157: postnatal adult; Gas6tm1.1(KOMP)Vlcg/Gas6+ (more )
Structure Level Pattern Image Note
TS28: liver Present UC Davis_1886157

Specimen UC Davis_1886158: postnatal adult; Gas6tm1.1(KOMP)Vlcg/Gas6+ (more )
Structure Level Pattern Image Note
TS28: liver Present UC Davis_1886158

Specimen UC Davis_1886159: postnatal adult; Gas6tm1.1(KOMP)Vlcg/Gas6+ (more )
Structure Level Pattern Image Note
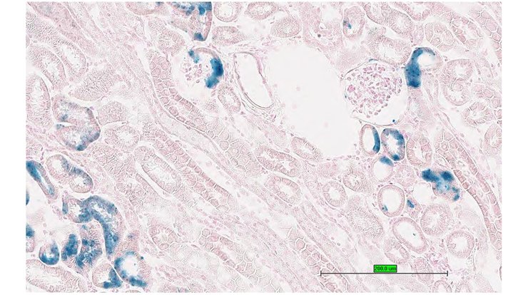
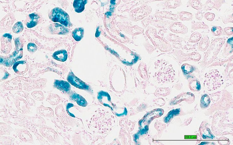
TS28: metanephros Present UC Davis_1886159 kidney

Specimen UC Davis_1886160: postnatal adult; Gas6tm1.1(KOMP)Vlcg/Gas6+ (more )
Structure Level Pattern Image Note
TS28: metanephros Present UC Davis_1886160 kidney

Specimen UC Davis_1886161: postnatal adult; Gas6tm1.1(KOMP)Vlcg/Gas6+ (more )
Structure Level Pattern Image Note
TS28: eye Present UC Davis_1886161

Specimen UC Davis_1886162: postnatal adult; Gas6tm1.1(KOMP)Vlcg/Gas6+ (more )
Structure Level Pattern Image Note
TS28: skin Present UC Davis_1886162

Specimen UC Davis_1886163: postnatal adult; Gas6tm1.1(KOMP)Vlcg/Gas6+ (more )
Structure Level Pattern Image Note
TS28: skin Present UC Davis_1886163

Specimen UC Davis_1886164: postnatal adult; Gas6tm1.1(KOMP)Vlcg/Gas6+ (more )
Structure Level Pattern Image Note
TS28: olfactory lobe Present UC Davis_1886164

Specimen UC Davis_1886167: postnatal adult; Gas6tm1.1(KOMP)Vlcg/Gas6+ (more )
Structure Level Pattern Image Note
TS28: midbrain Present UC Davis_1886167

Specimen UC Davis_1886169: postnatal adult; Gas6tm1.1(KOMP)Vlcg/Gas6+ (more )
Structure Level Pattern Image Note
TS28: ovary Present UC Davis_1886169

Specimen UC Davis_1886170: postnatal adult; Gas6tm1.1(KOMP)Vlcg/Gas6+ (more )
Structure Level Pattern Image Note
TS28: ovary Present UC Davis_1886170

Specimen UC Davis_1886171: postnatal adult; Gas6tm1.1(KOMP)Vlcg/Gas6+ (more )
Structure Level Pattern Image Note
TS28: ovary Present UC Davis_1886171

Specimen UC Davis_1886172: postnatal adult; Gas6tm1.1(KOMP)Vlcg/Gas6+ (more )
Structure Level Pattern Image Note
TS28: oviduct Present UC Davis_1886172

Specimen UC Davis_1886173: postnatal adult; Gas6tm1.1(KOMP)Vlcg/Gas6+ (more )
Structure Level Pattern Image Note
TS28: oviduct Present UC Davis_1886173

Specimen UC Davis_1886174: postnatal adult; Gas6tm1.1(KOMP)Vlcg/Gas6+ (more )
Structure Level Pattern Image Note
TS28: uterus Present UC Davis_1886174

Specimen UC Davis_1886175: postnatal adult; Gas6tm1.1(KOMP)Vlcg/Gas6+ (more )
Structure Level Pattern Image Note
TS28: uterus Present UC Davis_1886175

Specimen UC Davis_1886176: postnatal adult; Gas6tm1.1(KOMP)Vlcg/Gas6+ (more )
Structure Level Pattern Image Note
TS28: vagina Present UC Davis_1886176

Specimen UC Davis_1886177: postnatal adult; Gas6tm1.1(KOMP)Vlcg/Gas6+ (more )
Structure Level Pattern Image Note
TS28: vagina Present UC Davis_1886177

Specimen UC Davis_1886178: postnatal adult; Gas6tm1.1(KOMP)Vlcg/Gas6+ (more )
Structure Level Pattern Image Note
TS28: bladder Present UC Davis_1886178

Specimen UC Davis_1886179: postnatal adult; Gas6tm1.1(KOMP)Vlcg/Gas6+ (more )
Structure Level Pattern Image Note
TS28: bone marrow Present UC Davis_1886179

Specimen UC Davis_1886180: postnatal adult; Gas6tm1.1(KOMP)Vlcg/Gas6+ (more )
Structure Level Pattern Image Note
TS28: bone marrow Present UC Davis_1886180

Specimen UC Davis_1886116: postnatal adult; Gas6tm1.1(KOMP)Vlcg/Gas6+ (more )
Structure Level Pattern Image Note
TS28: stomach Present UC Davis_1886116

Specimen UC Davis_1886117: postnatal adult; Gas6tm1.1(KOMP)Vlcg/Gas6+ (more )
Structure Level Pattern Image Note
TS28: stomach Present UC Davis_1886117

Specimen UC Davis_1886118: postnatal adult; Gas6tm1.1(KOMP)Vlcg/Gas6+ (more )
Structure Level Pattern Image Note
TS28: ileum Present UC Davis_1886118

Specimen UC Davis_1886119: postnatal adult; Gas6tm1.1(KOMP)Vlcg/Gas6+ (more )
Structure Level Pattern Image Note
TS28: ileum Present UC Davis_1886119

Specimen UC Davis_1886120: postnatal adult; Gas6tm1.1(KOMP)Vlcg/Gas6+ (more )
Structure Level Pattern Image Note
TS28: colon Present UC Davis_1886120

Specimen UC Davis_1886121: postnatal adult; Gas6tm1.1(KOMP)Vlcg/Gas6+ (more )
Structure Level Pattern Image Note
TS28: colon Present UC Davis_1886121

Specimen UC Davis_1886122: postnatal adult; Gas6tm1.1(KOMP)Vlcg/Gas6+ (more )
Structure Level Pattern Image Note
TS28: cecum Present UC Davis_1886122

Specimen UC Davis_1886123: postnatal adult; Gas6tm1.1(KOMP)Vlcg/Gas6+ (more )
Structure Level Pattern Image Note
TS28: liver Present UC Davis_1886123

Specimen UC Davis_1886124: postnatal adult; Gas6tm1.1(KOMP)Vlcg/Gas6+ (more )
Structure Level Pattern Image Note
TS28: liver Present UC Davis_1886124

Specimen UC Davis_1886125: postnatal adult; Gas6tm1.1(KOMP)Vlcg/Gas6+ (more )
Structure Level Pattern Image Note
TS28: metanephros Present UC Davis_1886125 kidney

Specimen UC Davis_1886126: postnatal adult; Gas6tm1.1(KOMP)Vlcg/Gas6+ (more )
Structure Level Pattern Image Note
TS28: metanephros Present UC Davis_1886126 kidney

Specimen UC Davis_1886127: postnatal adult; Gas6tm1.1(KOMP)Vlcg/Gas6+ (more )
Structure Level Pattern Image Note
TS28: metanephros Present UC Davis_1886127 kidney

Specimen UC Davis_1886128: postnatal adult; Gas6tm1.1(KOMP)Vlcg/Gas6+ (more )
Structure Level Pattern Image Note
TS28: eye Present UC Davis_1886128

Specimen UC Davis_1886129: postnatal adult; Gas6tm1.1(KOMP)Vlcg/Gas6+ (more )
Structure Level Pattern Image Note
TS28: eye Present UC Davis_1886129

Specimen UC Davis_1886132: postnatal adult; Gas6tm1.1(KOMP)Vlcg/Gas6+ (more )
Structure Level Pattern Image Note
TS28: midbrain Present UC Davis_1886132

Specimen UC Davis_1886134: postnatal adult; Gas6tm1.1(KOMP)Vlcg/Gas6+ (more )
Structure Level Pattern Image Note
TS28: bladder Present UC Davis_1886134

Specimen UC Davis_1886135: postnatal adult; Gas6tm1.1(KOMP)Vlcg/Gas6+ (more )
Structure Level Pattern Image Note
TS28: bladder Present UC Davis_1886135

Specimen UC Davis_1886136: postnatal adult; Gas6tm1.1(KOMP)Vlcg/Gas6+ (more )
Structure Level Pattern Image Note
TS28: testis Present UC Davis_1886136

Specimen UC Davis_1886137: postnatal adult; Gas6tm1.1(KOMP)Vlcg/Gas6+ (more )
Structure Level Pattern Image Note
TS28: testis Present UC Davis_1886137

Specimen UC Davis_1886138: postnatal adult; Gas6tm1.1(KOMP)Vlcg/Gas6+ (more )
Structure Level Pattern Image Note
TS28: epididymis Present UC Davis_1886138

Specimen UC Davis_1886139: postnatal adult; Gas6tm1.1(KOMP)Vlcg/Gas6+ (more )
Structure Level Pattern Image Note
TS28: epididymis Present UC Davis_1886139

Specimen UC Davis_1886140: postnatal adult; Gas6tm1.1(KOMP)Vlcg/Gas6+ (more )
Structure Level Pattern Image Note
TS28: ductus deferens Present UC Davis_1886140 vas deferens

Specimen UC Davis_1886141: postnatal adult; Gas6tm1.1(KOMP)Vlcg/Gas6+ (more )
Structure Level Pattern Image Note
TS28: ductus deferens Present UC Davis_1886141 vas deferens

Specimen UC Davis_1886142: postnatal adult; Gas6tm1.1(KOMP)Vlcg/Gas6+ (more )
Structure Level Pattern Image Note
TS28: seminal vesicle Present UC Davis_1886142 vesicular gland

Specimen UC Davis_1886143: postnatal adult; Gas6tm1.1(KOMP)Vlcg/Gas6+ (more )
Structure Level Pattern Image Note
TS28: seminal vesicle Present UC Davis_1886143 vesicular gland


Contributing Projects:
Mouse Genome Database (MGD), Gene Expression Database (GXD), Mouse Models of Human Cancer database (MMHCdb) (formerly Mouse Tumor Biology (MTB)), Gene Ontology (GO)
Citing These Resources
Funding Information
Warranty Disclaimer, Privacy Notice, Licensing, & Copyright
Send questions and comments to User Support.
last database update
03/24/2026
MGI 6.24
The Jackson Laboratory