About   Help   FAQ
Gene Expression Data
Assay Details
Assay
Reference: J:228563 Koscielny G, et al., The International Mouse Phenotyping Consortium Web Portal, a unified point of access for knockout mice and related phenotyping data. Nucleic Acids Res. 2014 Jan;42(Database issue):D802-9
Assay type: In situ reporter (knock in)
MGI Accession ID: MGI:6693056
Gene symbol: Folr1
Gene name: folate receptor alpha
Reporter: lacZ
Direct Detection
Results
Specimen UC Davis_1879247: postnatal adult; Folr1tm1.1(KOMP)Vlcg/Folr1+ (more )
Structure Level Pattern Image Note
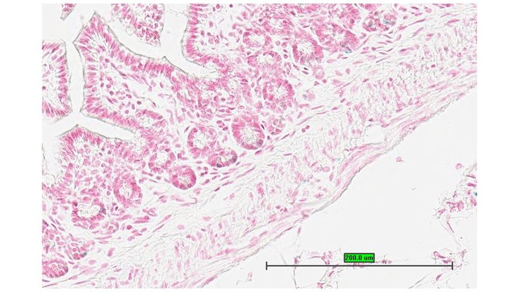
TS28: stomach Present UC Davis_1879247

Specimen UC Davis_1879248: postnatal adult; Folr1tm1.1(KOMP)Vlcg/Folr1+ (more )
Structure Level Pattern Image Note
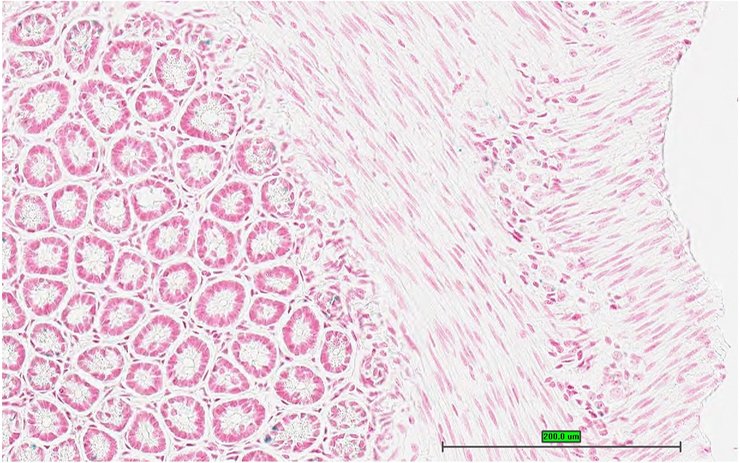
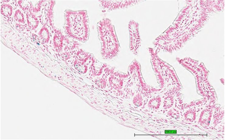
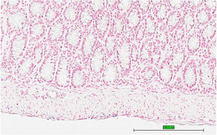
TS28: jejunum Present UC Davis_1879248

Specimen UC Davis_1879249: postnatal adult; Folr1tm1.1(KOMP)Vlcg/Folr1+ (more )
Structure Level Pattern Image Note
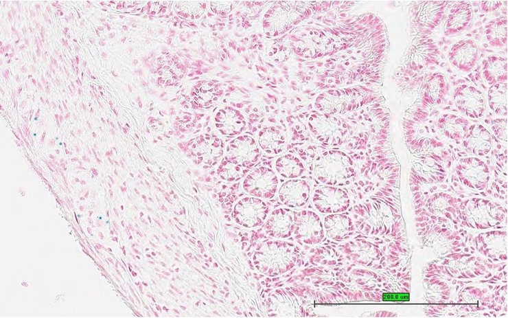
TS28: ileum Present UC Davis_1879249

Specimen UC Davis_1879250: postnatal adult; Folr1tm1.1(KOMP)Vlcg/Folr1+ (more )
Structure Level Pattern Image Note
TS28: ileum Present UC Davis_1879250

Specimen UC Davis_1879251: postnatal adult; Folr1tm1.1(KOMP)Vlcg/Folr1+ (more )
Structure Level Pattern Image Note
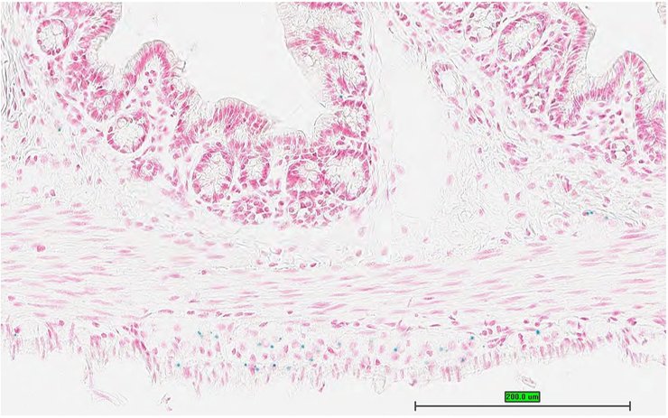
TS28: colon Present UC Davis_1879251

Specimen UC Davis_1879252: postnatal adult; Folr1tm1.1(KOMP)Vlcg/Folr1+ (more )
Structure Level Pattern Image Note
TS28: colon Present UC Davis_1879252

Specimen UC Davis_1879253: postnatal adult; Folr1tm1.1(KOMP)Vlcg/Folr1+ (more )
Structure Level Pattern Image Note
TS28: colon Present UC Davis_1879253

Specimen UC Davis_1879254: postnatal adult; Folr1tm1.1(KOMP)Vlcg/Folr1+ (more )
Structure Level Pattern Image Note
TS28: cecum Present UC Davis_1879254

Specimen UC Davis_1879255: postnatal adult; Folr1tm1.1(KOMP)Vlcg/Folr1+ (more )
Structure Level Pattern Image Note
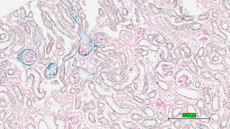
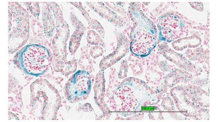
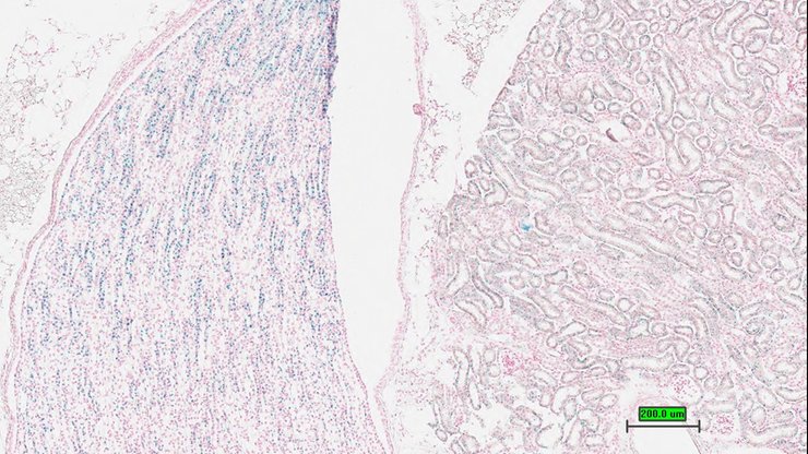
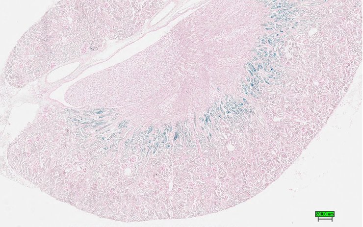
TS28: metanephros Present UC Davis_1879255 kidney

Specimen UC Davis_1879256: postnatal adult; Folr1tm1.1(KOMP)Vlcg/Folr1+ (more )
Structure Level Pattern Image Note
TS28: metanephros Present UC Davis_1879256 kidney

Specimen UC Davis_1879257: postnatal adult; Folr1tm1.1(KOMP)Vlcg/Folr1+ (more )
Structure Level Pattern Image Note
TS28: metanephros Present UC Davis_1879257 kidney

Specimen UC Davis_1879258: postnatal adult; Folr1tm1.1(KOMP)Vlcg/Folr1+ (more )
Structure Level Pattern Image Note
TS28: metanephros Present UC Davis_1879258 kidney

Specimen UC Davis_1879239: postnatal adult; Folr1tm1.1(KOMP)Vlcg/Folr1+ (more )
Structure Level Pattern Image Note
TS28: jejunum Present UC Davis_1879239

Specimen UC Davis_1879240: postnatal adult; Folr1tm1.1(KOMP)Vlcg/Folr1+ (more )
Structure Level Pattern Image Note
TS28: ileum Present UC Davis_1879240

Specimen UC Davis_1879241: postnatal adult; Folr1tm1.1(KOMP)Vlcg/Folr1+ (more )
Structure Level Pattern Image Note
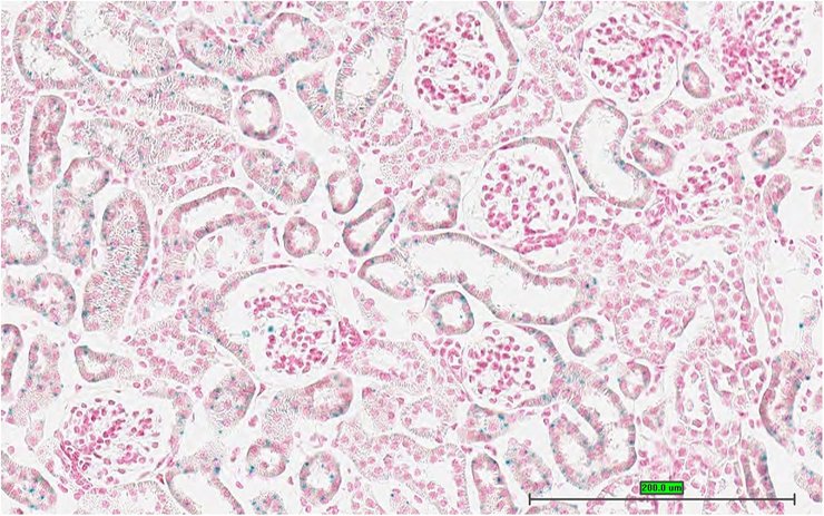
TS28: metanephros Present UC Davis_1879241 kidney

Specimen UC Davis_1879242: postnatal adult; Folr1tm1.1(KOMP)Vlcg/Folr1+ (more )
Structure Level Pattern Image Note
TS28: metanephros Present UC Davis_1879242 kidney

Specimen UC Davis_1879243: postnatal adult; Folr1tm1.1(KOMP)Vlcg/Folr1+ (more )
Structure Level Pattern Image Note
TS28: metanephros Present UC Davis_1879243 kidney

Specimen UC Davis_1879244: postnatal adult; Folr1tm1.1(KOMP)Vlcg/Folr1+ (more )
Structure Level Pattern Image Note
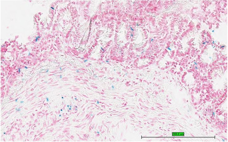
TS28: epididymis Present UC Davis_1879244

Specimen UC Davis_1879245: postnatal adult; Folr1tm1.1(KOMP)Vlcg/Folr1+ (more )
Structure Level Pattern Image Note
TS28: epididymis Present UC Davis_1879245

Specimen UC Davis_1879246: postnatal adult; Folr1tm1.1(KOMP)Vlcg/Folr1+ (more )
Structure Level Pattern Image Note
TS28: ductus deferens Present UC Davis_1879246 vas deferens


Contributing Projects:
Mouse Genome Database (MGD), Gene Expression Database (GXD), Mouse Models of Human Cancer database (MMHCdb) (formerly Mouse Tumor Biology (MTB)), Gene Ontology (GO)
Citing These Resources
Funding Information
Warranty Disclaimer, Privacy Notice, Licensing, & Copyright
Send questions and comments to User Support.
last database update
12/30/2025
MGI 6.24
The Jackson Laboratory