About   Help   FAQ
Gene Expression Data
Assay Details
Assay
Reference: J:228563 Koscielny G, et al., The International Mouse Phenotyping Consortium Web Portal, a unified point of access for knockout mice and related phenotyping data. Nucleic Acids Res. 2014 Jan;42(Database issue):D802-9
Assay type: In situ reporter (knock in)
MGI Accession ID: MGI:6693041
Gene symbol: Dmp1
Gene name: dentin matrix protein 1
Reporter: lacZ
Direct Detection
Results
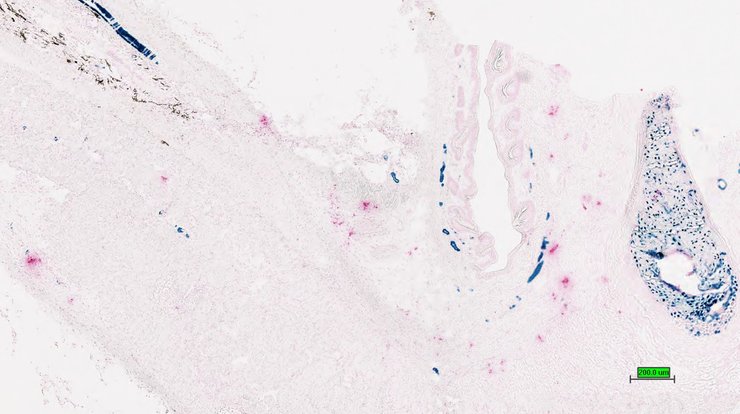
Specimen UC Davis_1883741: postnatal adult; Dmp1tm1.1(KOMP)Vlcg/Dmp1+ (more )
Structure Level Pattern Image Note
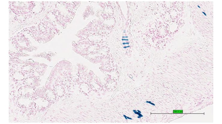
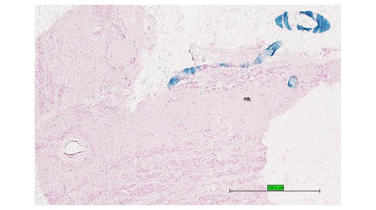
TS28: submandibular gland Present UC Davis_1883741

Specimen UC Davis_1883742: postnatal adult; Dmp1tm1.1(KOMP)Vlcg/Dmp1+ (more )
Structure Level Pattern Image Note
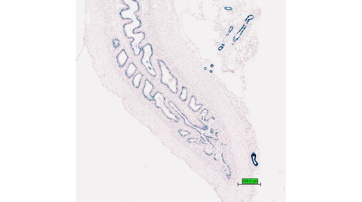
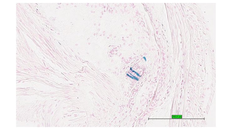
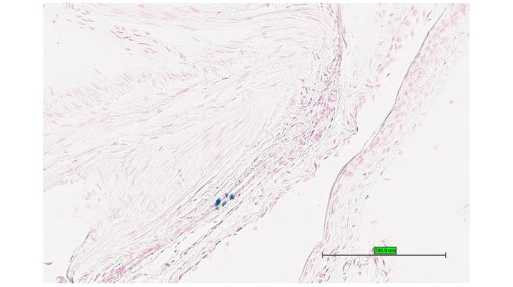
TS28: trachea Present UC Davis_1883742

Specimen UC Davis_1883743: postnatal adult; Dmp1tm1.1(KOMP)Vlcg/Dmp1+ (more )
Structure Level Pattern Image Note
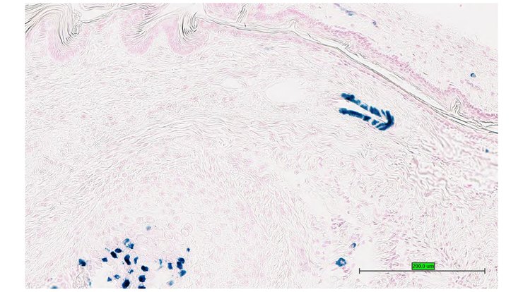
TS28: esophagus Present UC Davis_1883743

Specimen UC Davis_1883744: postnatal adult; Dmp1tm1.1(KOMP)Vlcg/Dmp1+ (more )
Structure Level Pattern Image Note
TS28: esophagus Present UC Davis_1883744

Specimen UC Davis_1883745: postnatal adult; Dmp1tm1.1(KOMP)Vlcg/Dmp1+ (more )
Structure Level Pattern Image Note
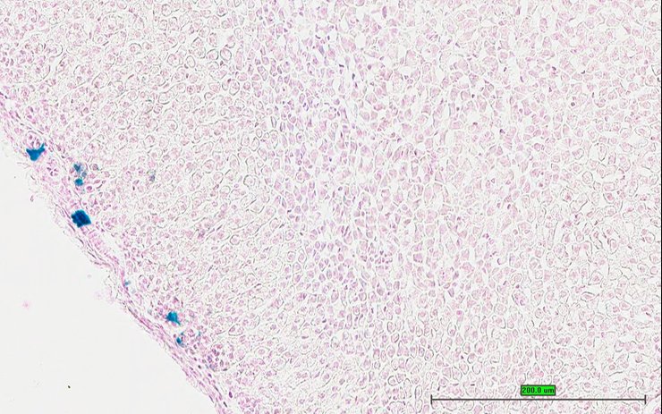
TS28: thymus Present UC Davis_1883745

Specimen UC Davis_1883746: postnatal adult; Dmp1tm1.1(KOMP)Vlcg/Dmp1+ (more )
Structure Level Pattern Image Note
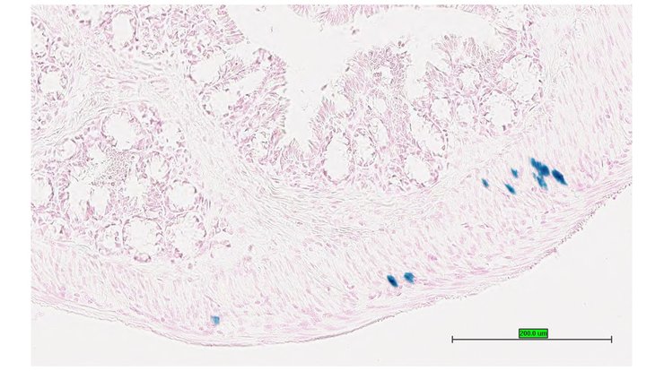
TS28: stomach Present UC Davis_1883746

Specimen UC Davis_1883747: postnatal adult; Dmp1tm1.1(KOMP)Vlcg/Dmp1+ (more )
Structure Level Pattern Image Note
TS28: ileum Present UC Davis_1883747

Specimen UC Davis_1883748: postnatal adult; Dmp1tm1.1(KOMP)Vlcg/Dmp1+ (more )
Structure Level Pattern Image Note
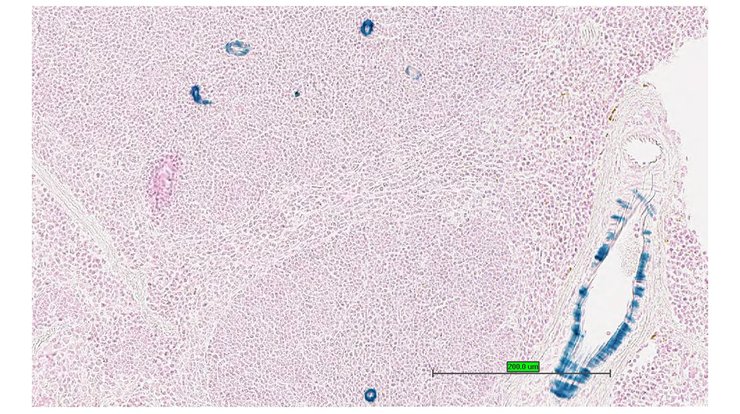
TS28: spleen Present UC Davis_1883748

Specimen UC Davis_1883749: postnatal adult; Dmp1tm1.1(KOMP)Vlcg/Dmp1+ (more )
Structure Level Pattern Image Note
TS28: pancreas Present UC Davis_1883749

Specimen UC Davis_1883750: postnatal adult; Dmp1tm1.1(KOMP)Vlcg/Dmp1+ (more )
Structure Level Pattern Image Note
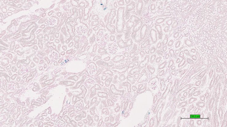
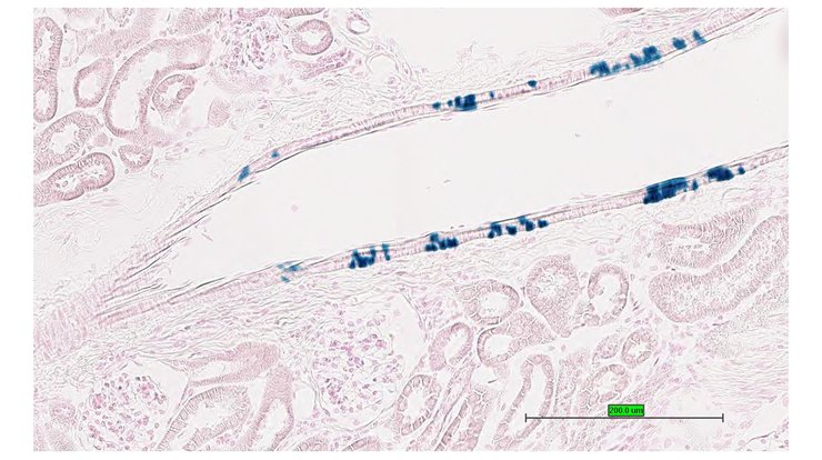
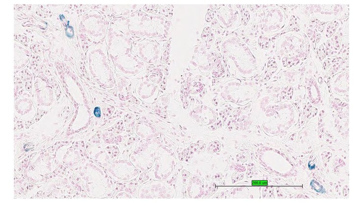
TS28: metanephros Present UC Davis_1883750 kidney

Specimen UC Davis_1883751: postnatal adult; Dmp1tm1.1(KOMP)Vlcg/Dmp1+ (more )
Structure Level Pattern Image Note
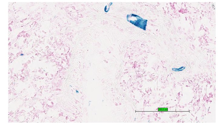
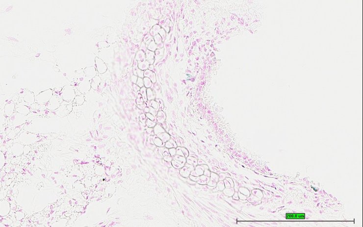
TS28: quadriceps femoris muscle Present UC Davis_1883751

Specimen UC Davis_1883752: postnatal adult; Dmp1tm1.1(KOMP)Vlcg/Dmp1+ (more )
Structure Level Pattern Image Note
TS28: sciatic nerve Present UC Davis_1883752

Specimen UC Davis_1883753: postnatal adult; Dmp1tm1.1(KOMP)Vlcg/Dmp1+ (more )
Structure Level Pattern Image Note
TS28: tongue Present UC Davis_1883753

Specimen UC Davis_1883754: postnatal adult; Dmp1tm1.1(KOMP)Vlcg/Dmp1+ (more )
Structure Level Pattern Image Note
TS28: tongue Present UC Davis_1883754

Specimen UC Davis_1883755: postnatal adult; Dmp1tm1.1(KOMP)Vlcg/Dmp1+ (more )
Structure Level Pattern Image Note
TS28: adrenal gland Present UC Davis_1883755

Specimen UC Davis_1883756: postnatal adult; Dmp1tm1.1(KOMP)Vlcg/Dmp1+ (more )
Structure Level Pattern Image Note
TS28: adrenal gland Present UC Davis_1883756

Specimen UC Davis_1883757: postnatal adult; Dmp1tm1.1(KOMP)Vlcg/Dmp1+ (more )
Structure Level Pattern Image Note
TS28: spinal cord Present UC Davis_1883757

Specimen UC Davis_1883758: postnatal adult; Dmp1tm1.1(KOMP)Vlcg/Dmp1+ (more )
Structure Level Pattern Image Note
TS28: spinal cord Present UC Davis_1883758

Specimen UC Davis_1883759: postnatal adult; Dmp1tm1.1(KOMP)Vlcg/Dmp1+ (more )
Structure Level Pattern Image Note
TS28: gonadal fat pad Present UC Davis_1883759

Specimen UC Davis_1883760: postnatal adult; Dmp1tm1.1(KOMP)Vlcg/Dmp1+ (more )
Structure Level Pattern Image Note
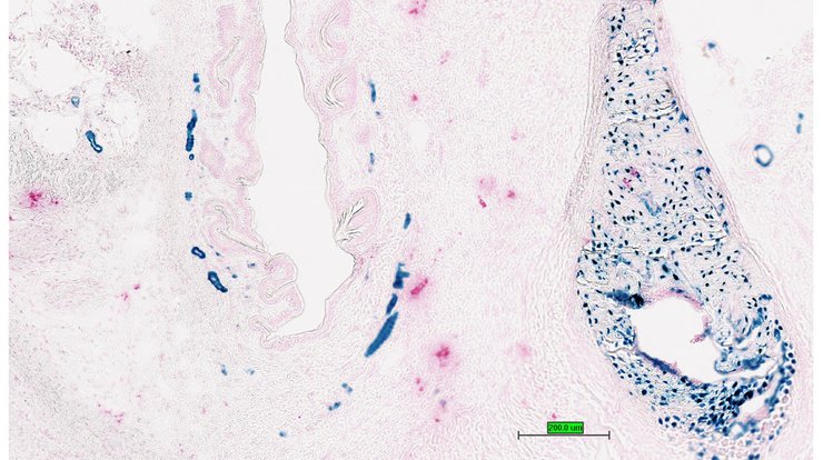
TS28: mesenteric adipose tissue Present UC Davis_1883760

Specimen UC Davis_1883761: postnatal adult; Dmp1tm1.1(KOMP)Vlcg/Dmp1+ (more )
Structure Level Pattern Image Note
TS28: skin Present UC Davis_1883761

Specimen UC Davis_1883762: postnatal adult; Dmp1tm1.1(KOMP)Vlcg/Dmp1+ (more )
Structure Level Pattern Image Note
TS28: skin Present UC Davis_1883762

Specimen UC Davis_1883766: postnatal adult; Dmp1tm1.1(KOMP)Vlcg/Dmp1+ (more )
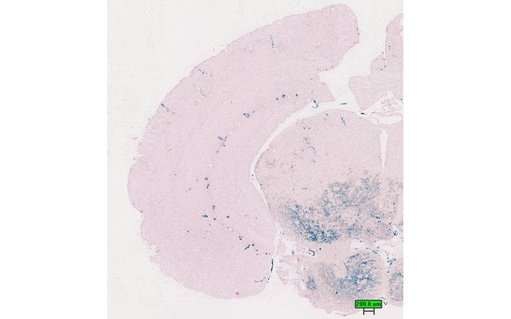
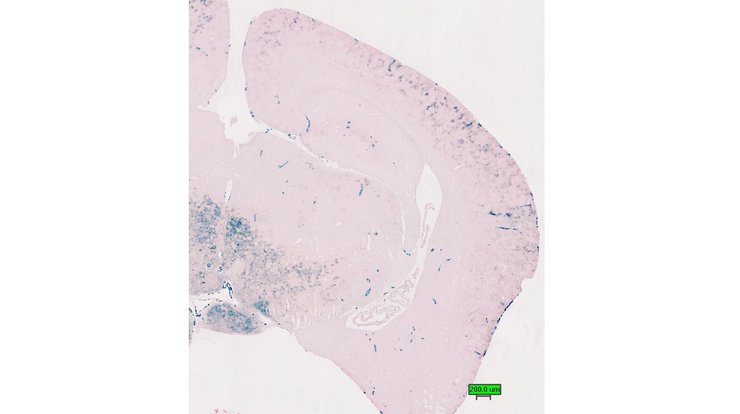
Structure Level Pattern Image Note
TS28: midbrain Present UC Davis_1883766

Specimen UC Davis_1883768: postnatal adult; Dmp1tm1.1(KOMP)Vlcg/Dmp1+ (more )
Structure Level Pattern Image Note
TS28: cerebellum Present UC Davis_1883768

Specimen UC Davis_1883769: postnatal adult; Dmp1tm1.1(KOMP)Vlcg/Dmp1+ (more )
Structure Level Pattern Image Note
TS28: trigeminal nerve Present UC Davis_1883769

Specimen UC Davis_1883770: postnatal adult; Dmp1tm1.1(KOMP)Vlcg/Dmp1+ (more )
Structure Level Pattern Image Note
TS28: ovary Present UC Davis_1883770

Specimen UC Davis_1883771: postnatal adult; Dmp1tm1.1(KOMP)Vlcg/Dmp1+ (more )
Structure Level Pattern Image Note
TS28: ovary Present UC Davis_1883771

Specimen UC Davis_1883772: postnatal adult; Dmp1tm1.1(KOMP)Vlcg/Dmp1+ (more )
Structure Level Pattern Image Note
TS28: oviduct Present UC Davis_1883772

Specimen UC Davis_1883773: postnatal adult; Dmp1tm1.1(KOMP)Vlcg/Dmp1+ (more )
Structure Level Pattern Image Note
TS28: vagina Present UC Davis_1883773

Specimen UC Davis_1883774: postnatal adult; Dmp1tm1.1(KOMP)Vlcg/Dmp1+ (more )
Structure Level Pattern Image Note
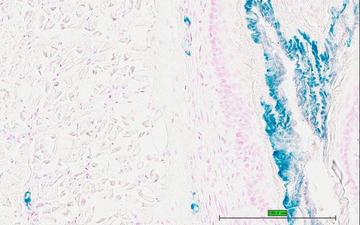
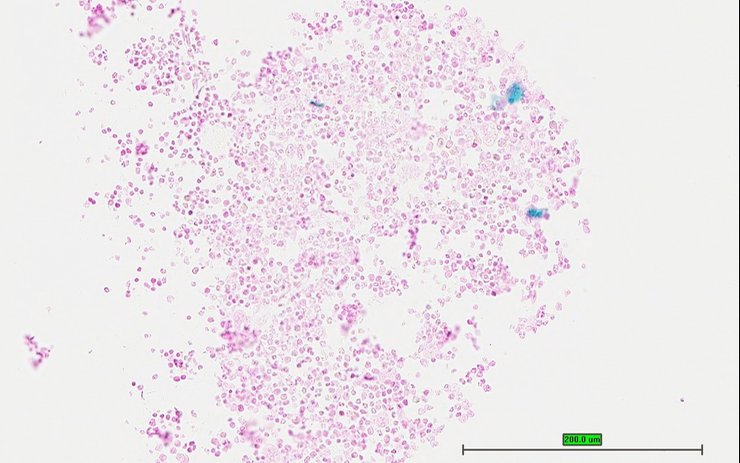
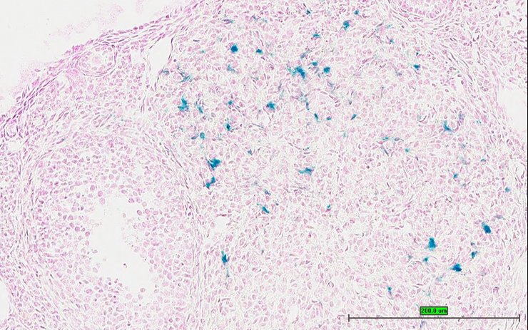
TS28: bone marrow Present UC Davis_1883774

Specimen UC Davis_1883775: postnatal adult; Dmp1tm1.1(KOMP)Vlcg/Dmp1+ (more )
Structure Level Pattern Image Note
TS28: bone marrow Present UC Davis_1883775

Specimen UC Davis_1883688: postnatal adult; Dmp1tm1.1(KOMP)Vlcg/Dmp1+ (more )
Structure Level Pattern Image Note
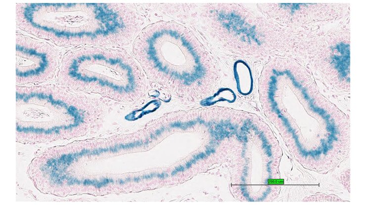
TS28: submandibular gland Present UC Davis_1883688

Specimen UC Davis_1883689: postnatal adult; Dmp1tm1.1(KOMP)Vlcg/Dmp1+ (more )
Structure Level Pattern Image Note
TS28: submandibular gland Present UC Davis_1883689

Specimen UC Davis_1883690: postnatal adult; Dmp1tm1.1(KOMP)Vlcg/Dmp1+ (more )
Structure Level Pattern Image Note
TS28: submandibular gland Present UC Davis_1883690

Specimen UC Davis_1883691: postnatal adult; Dmp1tm1.1(KOMP)Vlcg/Dmp1+ (more )
Structure Level Pattern Image Note
TS28: submandibular gland Present UC Davis_1883691

Specimen UC Davis_1883692: postnatal adult; Dmp1tm1.1(KOMP)Vlcg/Dmp1+ (more )
Structure Level Pattern Image Note
TS28: submandibular gland Present UC Davis_1883692

Specimen UC Davis_1883693: postnatal adult; Dmp1tm1.1(KOMP)Vlcg/Dmp1+ (more )
Structure Level Pattern Image Note
TS28: submandibular gland Present UC Davis_1883693

Specimen UC Davis_1883694: postnatal adult; Dmp1tm1.1(KOMP)Vlcg/Dmp1+ (more )
Structure Level Pattern Image Note
TS28: sublingual gland Present UC Davis_1883694

Specimen UC Davis_1883695: postnatal adult; Dmp1tm1.1(KOMP)Vlcg/Dmp1+ (more )
Structure Level Pattern Image Note
TS28: sublingual gland Present UC Davis_1883695

Specimen UC Davis_1883696: postnatal adult; Dmp1tm1.1(KOMP)Vlcg/Dmp1+ (more )
Structure Level Pattern Image Note
TS28: esophagus Present UC Davis_1883696

Specimen UC Davis_1883697: postnatal adult; Dmp1tm1.1(KOMP)Vlcg/Dmp1+ (more )
Structure Level Pattern Image Note
TS28: stomach Present UC Davis_1883697

Specimen UC Davis_1883698: postnatal adult; Dmp1tm1.1(KOMP)Vlcg/Dmp1+ (more )
Structure Level Pattern Image Note
TS28: colon Present UC Davis_1883698

Specimen UC Davis_1883699: postnatal adult; Dmp1tm1.1(KOMP)Vlcg/Dmp1+ (more )
Structure Level Pattern Image Note
TS28: colon Present UC Davis_1883699

Specimen UC Davis_1883700: postnatal adult; Dmp1tm1.1(KOMP)Vlcg/Dmp1+ (more )
Structure Level Pattern Image Note
TS28: colon Present UC Davis_1883700

Specimen UC Davis_1883701: postnatal adult; Dmp1tm1.1(KOMP)Vlcg/Dmp1+ (more )
Structure Level Pattern Image Note
TS28: colon Present UC Davis_1883701

Specimen UC Davis_1883702: postnatal adult; Dmp1tm1.1(KOMP)Vlcg/Dmp1+ (more )
Structure Level Pattern Image Note
TS28: cecum Present UC Davis_1883702

Specimen UC Davis_1883703: postnatal adult; Dmp1tm1.1(KOMP)Vlcg/Dmp1+ (more )
Structure Level Pattern Image Note
TS28: spleen Present UC Davis_1883703

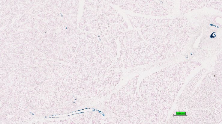
Specimen UC Davis_1883704: postnatal adult; Dmp1tm1.1(KOMP)Vlcg/Dmp1+ (more )
Structure Level Pattern Image Note
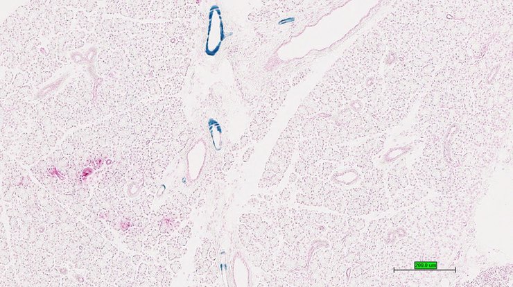
TS28: pancreas Present UC Davis_1883704

Specimen UC Davis_1883705: postnatal adult; Dmp1tm1.1(KOMP)Vlcg/Dmp1+ (more )
Structure Level Pattern Image Note
TS28: pancreas Present UC Davis_1883705

Specimen UC Davis_1883706: postnatal adult; Dmp1tm1.1(KOMP)Vlcg/Dmp1+ (more )
Structure Level Pattern Image Note
TS28: pancreas Present UC Davis_1883706

Specimen UC Davis_1883707: postnatal adult; Dmp1tm1.1(KOMP)Vlcg/Dmp1+ (more )
Structure Level Pattern Image Note
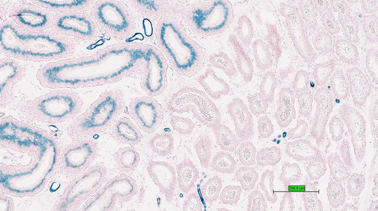
TS28: metanephros Present UC Davis_1883707 kidney

Specimen UC Davis_1883708: postnatal adult; Dmp1tm1.1(KOMP)Vlcg/Dmp1+ (more )
Structure Level Pattern Image Note
TS28: metanephros Present UC Davis_1883708 kidney

Specimen UC Davis_1883709: postnatal adult; Dmp1tm1.1(KOMP)Vlcg/Dmp1+ (more )
Structure Level Pattern Image Note
TS28: metanephros Present UC Davis_1883709 kidney

Specimen UC Davis_1883710: postnatal adult; Dmp1tm1.1(KOMP)Vlcg/Dmp1+ (more )
Structure Level Pattern Image Note
TS28: tongue Present UC Davis_1883710

Specimen UC Davis_1883711: postnatal adult; Dmp1tm1.1(KOMP)Vlcg/Dmp1+ (more )
Structure Level Pattern Image Note
TS28: tongue Present UC Davis_1883711

Specimen UC Davis_1883712: postnatal adult; Dmp1tm1.1(KOMP)Vlcg/Dmp1+ (more )
Structure Level Pattern Image Note
TS28: tongue Present UC Davis_1883712

Specimen UC Davis_1883713: postnatal adult; Dmp1tm1.1(KOMP)Vlcg/Dmp1+ (more )
Structure Level Pattern Image Note
TS28: tongue Present UC Davis_1883713

Specimen UC Davis_1883714: postnatal adult; Dmp1tm1.1(KOMP)Vlcg/Dmp1+ (more )
Structure Level Pattern Image Note
TS28: spinal cord Present UC Davis_1883714

Specimen UC Davis_1883715: postnatal adult; Dmp1tm1.1(KOMP)Vlcg/Dmp1+ (more )
Structure Level Pattern Image Note
TS28: spinal cord Present UC Davis_1883715

Specimen UC Davis_1883717: postnatal adult; Dmp1tm1.1(KOMP)Vlcg/Dmp1+ (more )
Structure Level Pattern Image Note
TS28: gonadal fat pad Present UC Davis_1883717

Specimen UC Davis_1883718: postnatal adult; Dmp1tm1.1(KOMP)Vlcg/Dmp1+ (more )
Structure Level Pattern Image Note
TS28: mesenteric adipose tissue Present UC Davis_1883718

Specimen UC Davis_1883719: postnatal adult; Dmp1tm1.1(KOMP)Vlcg/Dmp1+ (more )
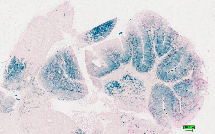
Structure Level Pattern Image Note
TS28: olfactory lobe Present UC Davis_1883719

Specimen UC Davis_1883722: postnatal adult; Dmp1tm1.1(KOMP)Vlcg/Dmp1+ (more )
Structure Level Pattern Image Note
TS28: midbrain Present UC Davis_1883722

Specimen UC Davis_1883724: postnatal adult; Dmp1tm1.1(KOMP)Vlcg/Dmp1+ (more )
Structure Level Pattern Image Note
TS28: cerebellum Present UC Davis_1883724

Specimen UC Davis_1883725: postnatal adult; Dmp1tm1.1(KOMP)Vlcg/Dmp1+ (more )
Structure Level Pattern Image Note
TS28: trigeminal nerve Present UC Davis_1883725

Specimen UC Davis_1883726: postnatal adult; Dmp1tm1.1(KOMP)Vlcg/Dmp1+ (more )
Structure Level Pattern Image Note
TS28: bladder Present UC Davis_1883726

Specimen UC Davis_1883727: postnatal adult; Dmp1tm1.1(KOMP)Vlcg/Dmp1+ (more )
Structure Level Pattern Image Note
TS28: bladder Present UC Davis_1883727

Specimen UC Davis_1883728: postnatal adult; Dmp1tm1.1(KOMP)Vlcg/Dmp1+ (more )
Structure Level Pattern Image Note
TS28: testis Present UC Davis_1883728

Specimen UC Davis_1883729: postnatal adult; Dmp1tm1.1(KOMP)Vlcg/Dmp1+ (more )
Structure Level Pattern Image Note
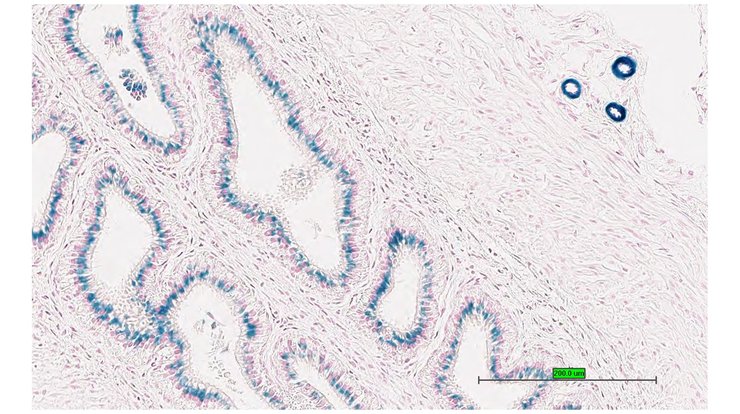
TS28: epididymis Present UC Davis_1883729

Specimen UC Davis_1883730: postnatal adult; Dmp1tm1.1(KOMP)Vlcg/Dmp1+ (more )
Structure Level Pattern Image Note
TS28: epididymis Present UC Davis_1883730

Specimen UC Davis_1883731: postnatal adult; Dmp1tm1.1(KOMP)Vlcg/Dmp1+ (more )
Structure Level Pattern Image Note
TS28: epididymis Present UC Davis_1883731

Specimen UC Davis_1883732: postnatal adult; Dmp1tm1.1(KOMP)Vlcg/Dmp1+ (more )
Structure Level Pattern Image Note
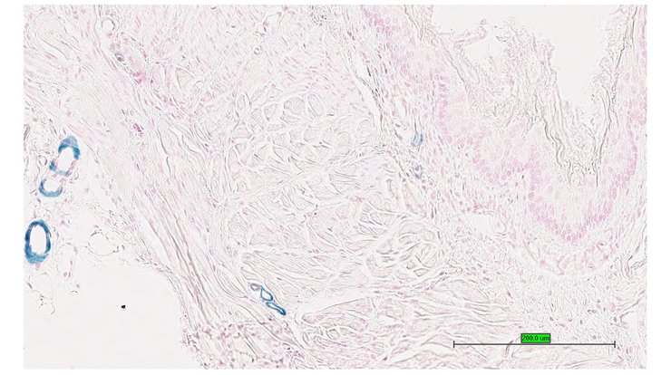
TS28: penis Present UC Davis_1883732

Specimen UC Davis_1883733: postnatal adult; Dmp1tm1.1(KOMP)Vlcg/Dmp1+ (more )
Structure Level Pattern Image Note
TS28: penis Present UC Davis_1883733

Specimen UC Davis_1883734: postnatal adult; Dmp1tm1.1(KOMP)Vlcg/Dmp1+ (more )
Structure Level Pattern Image Note
TS28: penis Present UC Davis_1883734

Specimen UC Davis_1883735: postnatal adult; Dmp1tm1.1(KOMP)Vlcg/Dmp1+ (more )
Structure Level Pattern Image Note
TS28: penis Present UC Davis_1883735

Specimen UC Davis_1883736: postnatal adult; Dmp1tm1.1(KOMP)Vlcg/Dmp1+ (more )
Structure Level Pattern Image Note
TS28: bone marrow Present UC Davis_1883736

Specimen UC Davis_1883737: postnatal adult; Dmp1tm1.1(KOMP)Vlcg/Dmp1+ (more )
Structure Level Pattern Image Note
TS28: ductus deferens Present UC Davis_1883737 vas deferens

Specimen UC Davis_1883738: postnatal adult; Dmp1tm1.1(KOMP)Vlcg/Dmp1+ (more )
Structure Level Pattern Image Note
TS28: ductus deferens Present UC Davis_1883738 vas deferens


Contributing Projects:
Mouse Genome Database (MGD), Gene Expression Database (GXD), Mouse Models of Human Cancer database (MMHCdb) (formerly Mouse Tumor Biology (MTB)), Gene Ontology (GO)
Citing These Resources
Funding Information
Warranty Disclaimer, Privacy Notice, Licensing, & Copyright
Send questions and comments to User Support.
last database update
01/20/2026
MGI 6.24
The Jackson Laboratory