About   Help   FAQ
Gene Expression Data
Assay Details
Assay
Reference: J:228563 Koscielny G, et al., The International Mouse Phenotyping Consortium Web Portal, a unified point of access for knockout mice and related phenotyping data. Nucleic Acids Res. 2014 Jan;42(Database issue):D802-9
Assay type: In situ reporter (knock in)
MGI Accession ID: MGI:6693015
Gene symbol: Cpa3
Gene name: carboxypeptidase A3, mast cell
Reporter: lacZ
Direct Detection
Results
Specimen UC Davis_1879375: postnatal adult; Cpa3tm1.1(KOMP)Vlcg/Cpa3+ (more )
Structure Level Pattern Image Note
TS28: ileum Present UC Davis_1879375

Specimen UC Davis_1879376: postnatal adult; Cpa3tm1.1(KOMP)Vlcg/Cpa3+ (more )
Structure Level Pattern Image Note
TS28: tongue Present UC Davis_1879376

Specimen UC Davis_1879377: postnatal adult; Cpa3tm1.1(KOMP)Vlcg/Cpa3+ (more )
Structure Level Pattern Image Note
TS28: skin Present UC Davis_1879377

Specimen UC Davis_1879378: postnatal adult; Cpa3tm1.1(KOMP)Vlcg/Cpa3+ (more )
Structure Level Pattern Image Note
TS28: skin Present UC Davis_1879378

Specimen UC Davis_1879379: postnatal adult; Cpa3tm1.1(KOMP)Vlcg/Cpa3+ (more )
Structure Level Pattern Image Note
TS28: skin Present UC Davis_1879379

Specimen UC Davis_1879381: postnatal adult; Cpa3tm1.1(KOMP)Vlcg/Cpa3+ (more )
Structure Level Pattern Image Note
TS28: ileum Absent UC Davis_1879381

Specimen UC Davis_1879382: postnatal adult; Cpa3tm1.1(KOMP)Vlcg/Cpa3+ (more )
Structure Level Pattern Image Note
TS28: tongue Absent UC Davis_1879382

Specimen UC Davis_1879383: postnatal adult; Cpa3tm1.1(KOMP)Vlcg/Cpa3+ (more )
Structure Level Pattern Image Note
TS28: skin Present UC Davis_1879383

Specimen UC Davis_1879384: postnatal adult; Cpa3tm1.1(KOMP)Vlcg/Cpa3+ (more )
Structure Level Pattern Image Note
TS28: skin Present UC Davis_1879384

Specimen UC Davis_1879385: postnatal adult; Cpa3tm1.1(KOMP)Vlcg/Cpa3+ (more )
Structure Level Pattern Image Note
TS28: epididymis Present UC Davis_1879385

Specimen UC Davis_1879386: postnatal adult; Cpa3tm1.1(KOMP)Vlcg/Cpa3+ (more )
Structure Level Pattern Image Note
TS28: prostate gland Present UC Davis_1879386

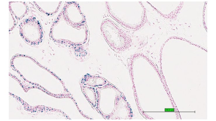
Specimen UC Davis_1879387: postnatal adult; Cpa3tm1.1(KOMP)Vlcg/Cpa3+ (more )
Structure Level Pattern Image Note
TS28: ductus deferens Present UC Davis_1879387 vas deferens


Contributing Projects:
Mouse Genome Database (MGD), Gene Expression Database (GXD), Mouse Models of Human Cancer database (MMHCdb) (formerly Mouse Tumor Biology (MTB)), Gene Ontology (GO)
Citing These Resources
Funding Information
Warranty Disclaimer, Privacy Notice, Licensing, & Copyright
Send questions and comments to User Support.
last database update
01/20/2026
MGI 6.24
The Jackson Laboratory