About   Help   FAQ
Gene Expression Data
Assay Details
Assay
Reference: J:228563 Koscielny G, et al., The International Mouse Phenotyping Consortium Web Portal, a unified point of access for knockout mice and related phenotyping data. Nucleic Acids Res. 2014 Jan;42(Database issue):D802-9
Assay type: In situ reporter (knock in)
MGI Accession ID: MGI:6693005
Gene symbol: Col18a1
Gene name: collagen, type XVIII, alpha 1
Reporter: lacZ
Direct Detection
Results
Specimen JAX_1469334: embryonic day 12.5; Col18a1tm1.1(KOMP)Vlcg/Col18a1+ (more )
Structure Level Pattern Image Note
TS20: embryo Present JAX_1469334

Specimen JAX_1469335: embryonic day 12.5; Col18a1tm1.1(KOMP)Vlcg/Col18a1+ (more )
Structure Level Pattern Image Note
TS20: embryo Present JAX_1469335

Specimen JAX_1469336: embryonic day 12.5; Col18a1tm1.1(KOMP)Vlcg/Col18a1+ (more )
Structure Level Pattern Image Note
TS20: embryo Present JAX_1469336

Specimen JAX_1469337: embryonic day 12.5; Col18a1tm1.1(KOMP)Vlcg/Col18a1+ (more )
Structure Level Pattern Image Note
TS20: embryo Present JAX_1469337

Specimen JAX_430683: embryonic day 12.5; Col18a1tm1.1(KOMP)Vlcg/Col18a1+ (more )
Structure Level Pattern Image Note
TS20: embryo Present JAX_430683

Specimen JAX_430685: embryonic day 12.5; Col18a1tm1.1(KOMP)Vlcg/Col18a1+ (more )
Structure Level Pattern Image Note
TS20: embryo Present JAX_430685

Specimen JAX_430687: embryonic day 12.5; Col18a1tm1.1(KOMP)Vlcg/Col18a1+ (more )
Structure Level Pattern Image Note
TS20: embryo Present JAX_430687

Specimen JAX_430689: embryonic day 12.5; Col18a1tm1.1(KOMP)Vlcg/Col18a1+ (more )
Structure Level Pattern Image Note
TS20: embryo Present JAX_430689

Specimen JAX_1797522: postnatal adult; Col18a1tm1.1(KOMP)Vlcg/Col18a1+ (more )
Structure Level Pattern Image Note
TS28: thalamus Present JAX_1797522

Specimen JAX_1797523: postnatal adult; Col18a1tm1.1(KOMP)Vlcg/Col18a1+ (more )
Structure Level Pattern Image Note
TS28: midbrain Present JAX_1797523

Specimen JAX_1797524: postnatal adult; Col18a1tm1.1(KOMP)Vlcg/Col18a1+ (more )
Structure Level Pattern Image Note
TS28: submandibular gland Present JAX_1797524

Specimen JAX_1797525: postnatal adult; Col18a1tm1.1(KOMP)Vlcg/Col18a1+ (more )
Structure Level Pattern Image Note
TS28: bladder Present JAX_1797525

Specimen JAX_1797526: postnatal adult; Col18a1tm1.1(KOMP)Vlcg/Col18a1+ (more )
Structure Level Pattern Image Note
TS28: corpus striatum Present JAX_1797526

Specimen JAX_1797527: postnatal adult; Col18a1tm1.1(KOMP)Vlcg/Col18a1+ (more )
Structure Level Pattern Image Note
TS28: olfactory lobe Present JAX_1797527

Specimen JAX_1797528: postnatal adult; Col18a1tm1.1(KOMP)Vlcg/Col18a1+ (more )
Structure Level Pattern Image Note
TS28: hypothalamus Present JAX_1797528

Specimen JAX_1797529: postnatal adult; Col18a1tm1.1(KOMP)Vlcg/Col18a1+ (more )
Structure Level Pattern Image Note
TS28: hippocampus Present JAX_1797529

Specimen JAX_1797530: postnatal adult; Col18a1tm1.1(KOMP)Vlcg/Col18a1+ (more )
Structure Level Pattern Image Note
TS28: cerebellum Present JAX_1797530

Specimen JAX_1797531: postnatal adult; Col18a1tm1.1(KOMP)Vlcg/Col18a1+ (more )
Structure Level Pattern Image Note
TS28: cerebral cortex Present JAX_1797531

Specimen JAX_1797532: postnatal adult; Col18a1tm1.1(KOMP)Vlcg/Col18a1+ (more )
Structure Level Pattern Image Note
TS28: cartilage Present JAX_1797532

Specimen JAX_1797533: postnatal adult; Col18a1tm1.1(KOMP)Vlcg/Col18a1+ (more )
Structure Level Pattern Image Note
TS28: brainstem Present JAX_1797533

Specimen JAX_1797534: postnatal adult; Col18a1tm1.1(KOMP)Vlcg/Col18a1+ (more )
Structure Level Pattern Image Note
TS28: spleen Present JAX_1797534

Specimen JAX_1797535: postnatal adult; Col18a1tm1.1(KOMP)Vlcg/Col18a1+ (more )
Structure Level Pattern Image Note
TS28: pancreas Present JAX_1797535

Specimen JAX_1797536: postnatal adult; Col18a1tm1.1(KOMP)Vlcg/Col18a1+ (more )
Structure Level Pattern Image Note
TS28: pituitary gland Present JAX_1797536

Specimen JAX_1797537: postnatal adult; Col18a1tm1.1(KOMP)Vlcg/Col18a1+ (more )
Structure Level Pattern Image Note
TS28: thyroid gland Present JAX_1797537

Specimen JAX_1797538: postnatal adult; Col18a1tm1.1(KOMP)Vlcg/Col18a1+ (more )
Structure Level Pattern Image Note
TS28: spinal cord Present JAX_1797538

Specimen JAX_1797539: postnatal adult; Col18a1tm1.1(KOMP)Vlcg/Col18a1+ (more )
Structure Level Pattern Image Note
TS28: uterus Present JAX_1797539

Specimen JAX_1797540: postnatal adult; Col18a1tm1.1(KOMP)Vlcg/Col18a1+ (more )
Structure Level Pattern Image Note
TS28: trachea Present JAX_1797540

Specimen JAX_1797541: postnatal adult; Col18a1tm1.1(KOMP)Vlcg/Col18a1+ (more )
Structure Level Pattern Image Note
TS28: oviduct Present JAX_1797541

Specimen JAX_1797542: postnatal adult; Col18a1tm1.1(KOMP)Vlcg/Col18a1+ (more )
Structure Level Pattern Image Note
TS28: ovary Present JAX_1797542

Specimen JAX_1797543: postnatal adult; Col18a1tm1.1(KOMP)Vlcg/Col18a1+ (more )
Structure Level Pattern Image Note
TS28: mammary gland Present JAX_1797543

Specimen JAX_1797544: postnatal adult; Col18a1tm1.1(KOMP)Vlcg/Col18a1+ (more )
Structure Level Pattern Image Note
TS28: lymph node Present JAX_1797544

Specimen JAX_1797545: postnatal adult; Col18a1tm1.1(KOMP)Vlcg/Col18a1+ (more )
Structure Level Pattern Image Note
TS28: liver Present JAX_1797545

Specimen JAX_1797546: postnatal adult; Col18a1tm1.1(KOMP)Vlcg/Col18a1+ (more )
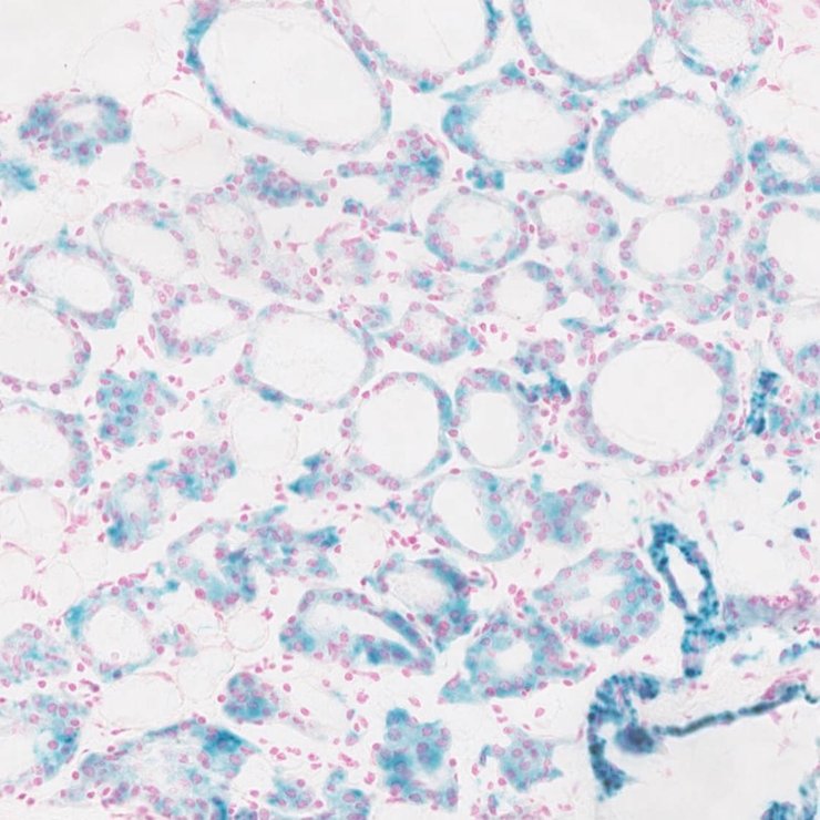
Structure Level Pattern Image Note
TS28: metanephros Present JAX_1797546 kidney

Specimen JAX_1797547: postnatal adult; Col18a1tm1.1(KOMP)Vlcg/Col18a1+ (more )
Structure Level Pattern Image Note
TS28: eye Present JAX_1797547

Specimen JAX_1797548: postnatal adult; Col18a1tm1.1(KOMP)Vlcg/Col18a1+ (more )
Structure Level Pattern Image Note
TS28: brain Present JAX_1797548

Specimen JAX_1797549: postnatal adult; Col18a1tm1.1(KOMP)Vlcg/Col18a1+ (more )
Structure Level Pattern Image Note
TS28: adrenal gland Present JAX_1797549

Specimen JAX_1797550: postnatal adult; Col18a1tm1.1(KOMP)Vlcg/Col18a1+ (more )
Structure Level Pattern Image Note
TS28: vascular system Present JAX_1797550

Specimen JAX_1797551: postnatal adult; Col18a1tm1.1(KOMP)Vlcg/Col18a1+ (more )
Structure Level Pattern Image Note
TS28: epididymis Present JAX_1797551

Specimen JAX_1797552: postnatal adult; Col18a1tm1.1(KOMP)Vlcg/Col18a1+ (more )
Structure Level Pattern Image Note
TS28: Peyer's patch Present JAX_1797552

Specimen JAX_1797553: postnatal adult; Col18a1tm1.1(KOMP)Vlcg/Col18a1+ (more )
Structure Level Pattern Image Note
TS28: aorta Present JAX_1797553

Specimen JAX_1797554: postnatal adult; Col18a1tm1.1(KOMP)Vlcg/Col18a1+ (more )
Structure Level Pattern Image Note
TS28: lung Present JAX_1797554

Specimen JAX_1797555: postnatal adult; Col18a1tm1.1(KOMP)Vlcg/Col18a1+ (more )
Structure Level Pattern Image Note
TS28: small intestine Present JAX_1797555

Specimen JAX_1797556: postnatal adult; Col18a1tm1.1(KOMP)Vlcg/Col18a1+ (more )
Structure Level Pattern Image Note
TS28: esophagus Present JAX_1797556

Specimen JAX_1797557: postnatal adult; Col18a1tm1.1(KOMP)Vlcg/Col18a1+ (more )
Structure Level Pattern Image Note
TS28: large intestine Present JAX_1797557

Specimen JAX_1797558: postnatal adult; Col18a1tm1.1(KOMP)Vlcg/Col18a1+ (more )
Structure Level Pattern Image Note
TS28: thymus Present JAX_1797558

Specimen JAX_1797559: postnatal adult; Col18a1tm1.1(KOMP)Vlcg/Col18a1+ (more )
Structure Level Pattern Image Note
TS28: testis Present JAX_1797559

Specimen JAX_1797560: postnatal adult; Col18a1tm1.1(KOMP)Vlcg/Col18a1+ (more )
Structure Level Pattern Image Note
TS28: stomach Present JAX_1797560

Specimen JAX_1797561: postnatal adult; Col18a1tm1.1(KOMP)Vlcg/Col18a1+ (more )
Structure Level Pattern Image Note
TS28: skin Present JAX_1797561


Contributing Projects:
Mouse Genome Database (MGD), Gene Expression Database (GXD), Mouse Models of Human Cancer database (MMHCdb) (formerly Mouse Tumor Biology (MTB)), Gene Ontology (GO)
Citing These Resources
Funding Information
Warranty Disclaimer, Privacy Notice, Licensing, & Copyright
Send questions and comments to User Support.
last database update
03/24/2026
MGI 6.24
The Jackson Laboratory