About   Help   FAQ
Gene Expression Data
Assay Details
Assay
Reference: J:228563 Koscielny G, et al., The International Mouse Phenotyping Consortium Web Portal, a unified point of access for knockout mice and related phenotyping data. Nucleic Acids Res. 2014 Jan;42(Database issue):D802-9
Assay type: In situ reporter (knock in)
MGI Accession ID: MGI:6693004
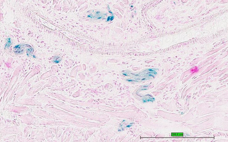
Gene symbol: Cntf
Gene name: ciliary neurotrophic factor
Reporter: lacZ
Direct Detection
Results
Specimen UC Davis_1883572: postnatal adult; Cntftm1b(KOMP)Wtsi/Cntf+ (more )
Structure Level Pattern Image Note
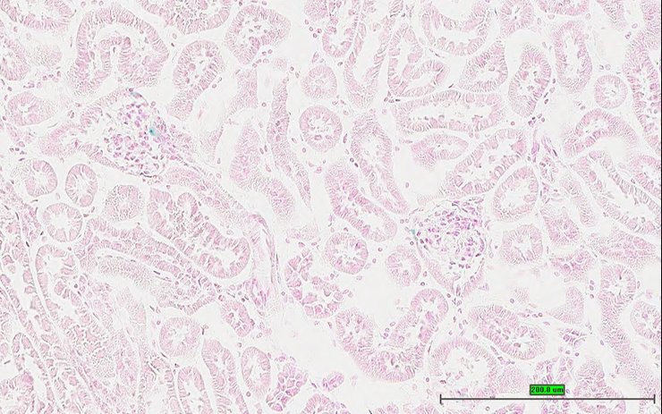
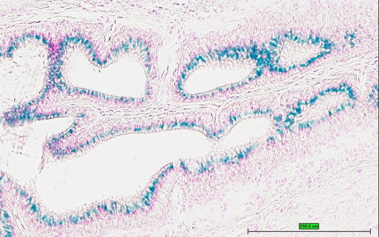
TS28: metanephros Present UC Davis_1883572 kidney

Specimen UC Davis_1883573: postnatal adult; Cntftm1b(KOMP)Wtsi/Cntf+ (more )
Structure Level Pattern Image Note
TS28: metanephros Present UC Davis_1883573 kidney

Specimen UC Davis_1883574: postnatal adult; Cntftm1b(KOMP)Wtsi/Cntf+ (more )
Structure Level Pattern Image Note
TS28: metanephros Present UC Davis_1883574 kidney

Specimen UC Davis_1883575: postnatal adult; Cntftm1b(KOMP)Wtsi/Cntf+ (more )
Structure Level Pattern Image Note
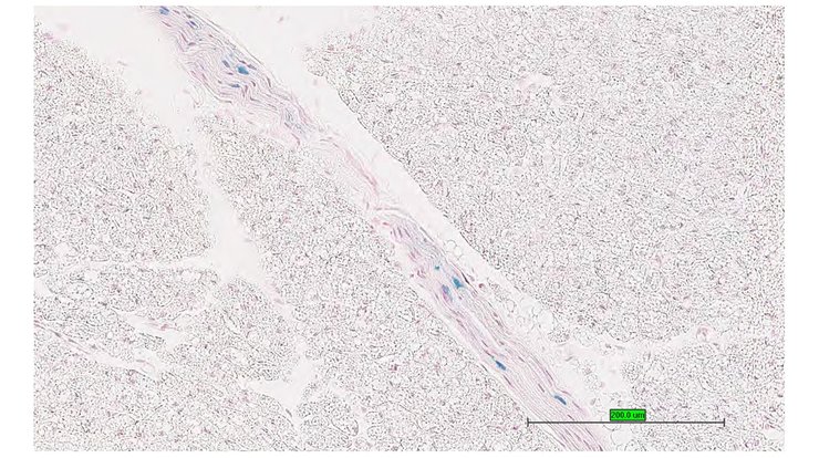
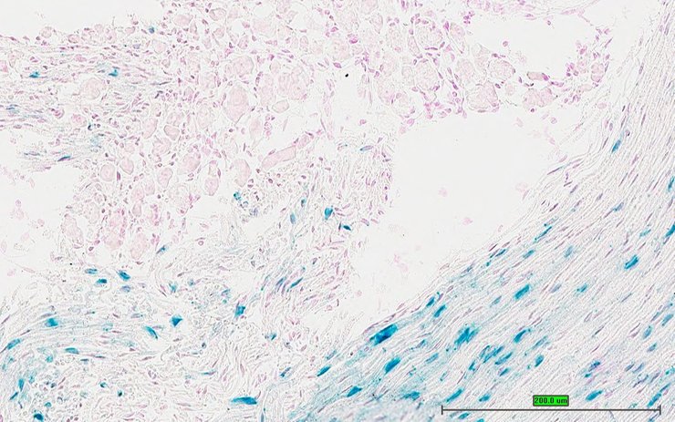
TS28: quadriceps femoris muscle Present UC Davis_1883575

Specimen UC Davis_1883576: postnatal adult; Cntftm1b(KOMP)Wtsi/Cntf+ (more )
Structure Level Pattern Image Note
TS28: quadriceps femoris muscle Present UC Davis_1883576

Specimen UC Davis_1883577: postnatal adult; Cntftm1b(KOMP)Wtsi/Cntf+ (more )
Structure Level Pattern Image Note
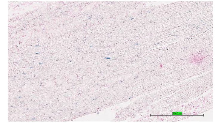
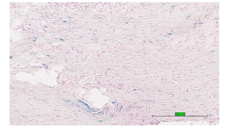
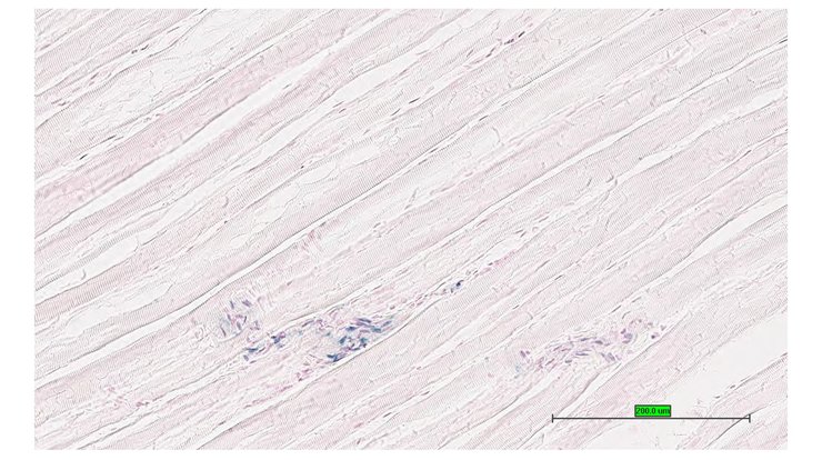
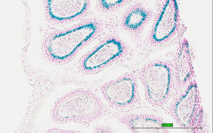
TS28: sciatic nerve Present UC Davis_1883577

Specimen UC Davis_1883578: postnatal adult; Cntftm1b(KOMP)Wtsi/Cntf+ (more )
Structure Level Pattern Image Note
TS28: eye Present UC Davis_1883578

Specimen UC Davis_1883579: postnatal adult; Cntftm1b(KOMP)Wtsi/Cntf+ (more )
Structure Level Pattern Image Note
TS28: skin Present UC Davis_1883579

Specimen UC Davis_1883580: postnatal adult; Cntftm1b(KOMP)Wtsi/Cntf+ (more )
Structure Level Pattern Image Note
TS28: skin Present UC Davis_1883580

Specimen UC Davis_1883581: postnatal adult; Cntftm1b(KOMP)Wtsi/Cntf+ (more )
Structure Level Pattern Image Note
TS28: brown fat Present UC Davis_1883581

Specimen UC Davis_1883582: postnatal adult; Cntftm1b(KOMP)Wtsi/Cntf+ (more )
Structure Level Pattern Image Note
TS28: brown fat Present UC Davis_1883582

Specimen UC Davis_1883584: postnatal adult; Cntftm1b(KOMP)Wtsi/Cntf+ (more )
Structure Level Pattern Image Note
TS28: trigeminal nerve Present UC Davis_1883584

Specimen UC Davis_1883585: postnatal adult; Cntftm1b(KOMP)Wtsi/Cntf+ (more )
Structure Level Pattern Image Note
TS28: trigeminal nerve Present UC Davis_1883585

Specimen UC Davis_1883586: postnatal adult; Cntftm1b(KOMP)Wtsi/Cntf+ (more )
Structure Level Pattern Image Note
TS28: trigeminal nerve Present UC Davis_1883586

Specimen UC Davis_1883587: postnatal adult; Cntftm1b(KOMP)Wtsi/Cntf+ (more )
Structure Level Pattern Image Note
TS28: oviduct Present UC Davis_1883587

Specimen UC Davis_1883555: postnatal adult; Cntftm1b(KOMP)Wtsi/Cntf+ (more )
Structure Level Pattern Image Note
TS28: metanephros Present UC Davis_1883555 kidney

Specimen UC Davis_1883556: postnatal adult; Cntftm1b(KOMP)Wtsi/Cntf+ (more )
Structure Level Pattern Image Note
TS28: metanephros Present UC Davis_1883556 kidney

Specimen UC Davis_1883557: postnatal adult; Cntftm1b(KOMP)Wtsi/Cntf+ (more )
Structure Level Pattern Image Note
TS28: metanephros Present UC Davis_1883557 kidney

Specimen UC Davis_1883558: postnatal adult; Cntftm1b(KOMP)Wtsi/Cntf+ (more )
Structure Level Pattern Image Note
TS28: quadriceps femoris muscle Present UC Davis_1883558

Specimen UC Davis_1883559: postnatal adult; Cntftm1b(KOMP)Wtsi/Cntf+ (more )
Structure Level Pattern Image Note
TS28: sciatic nerve Present UC Davis_1883559

Specimen UC Davis_1883560: postnatal adult; Cntftm1b(KOMP)Wtsi/Cntf+ (more )
Structure Level Pattern Image Note
TS28: sciatic nerve Present UC Davis_1883560

Specimen UC Davis_1883561: postnatal adult; Cntftm1b(KOMP)Wtsi/Cntf+ (more )
Structure Level Pattern Image Note
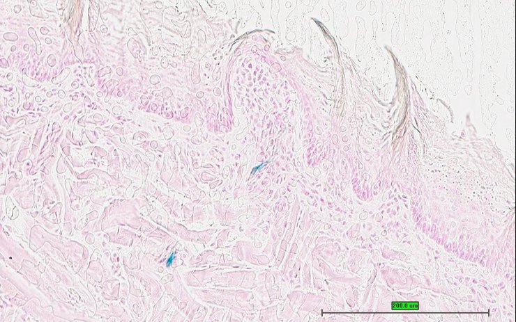
TS28: tongue Present UC Davis_1883561

Specimen UC Davis_1883562: postnatal adult; Cntftm1b(KOMP)Wtsi/Cntf+ (more )
Structure Level Pattern Image Note
TS28: tongue Present UC Davis_1883562

Specimen UC Davis_1883563: postnatal adult; Cntftm1b(KOMP)Wtsi/Cntf+ (more )
Structure Level Pattern Image Note
TS28: eye Present UC Davis_1883563

Specimen UC Davis_1883566: postnatal adult; Cntftm1b(KOMP)Wtsi/Cntf+ (more )
Structure Level Pattern Image Note
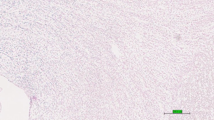
TS28: midbrain Present UC Davis_1883566

Specimen UC Davis_1883567: postnatal adult; Cntftm1b(KOMP)Wtsi/Cntf+ (more )
Structure Level Pattern Image Note
TS28: trigeminal nerve Present UC Davis_1883567

Specimen UC Davis_1883568: postnatal adult; Cntftm1b(KOMP)Wtsi/Cntf+ (more )
Structure Level Pattern Image Note
TS28: trigeminal nerve Present UC Davis_1883568

Specimen UC Davis_1883569: postnatal adult; Cntftm1b(KOMP)Wtsi/Cntf+ (more )
Structure Level Pattern Image Note
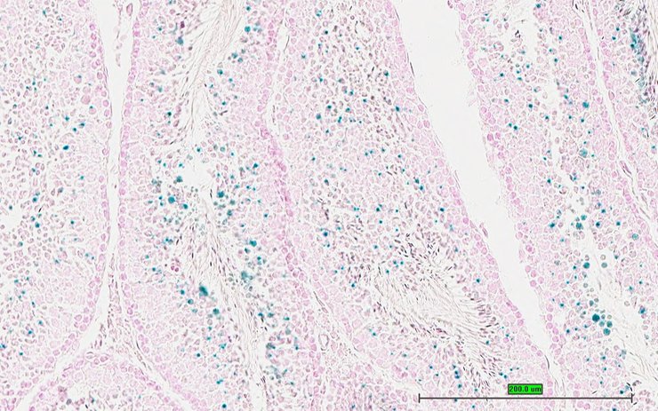
TS28: testis Present UC Davis_1883569

Specimen UC Davis_1883570: postnatal adult; Cntftm1b(KOMP)Wtsi/Cntf+ (more )
Structure Level Pattern Image Note
TS28: epididymis Present UC Davis_1883570

Specimen UC Davis_1883571: postnatal adult; Cntftm1b(KOMP)Wtsi/Cntf+ (more )
Structure Level Pattern Image Note
TS28: ductus deferens Present UC Davis_1883571 vas deferens


Contributing Projects:
Mouse Genome Database (MGD), Gene Expression Database (GXD), Mouse Models of Human Cancer database (MMHCdb) (formerly Mouse Tumor Biology (MTB)), Gene Ontology (GO)
Citing These Resources
Funding Information
Warranty Disclaimer, Privacy Notice, Licensing, & Copyright
Send questions and comments to User Support.
last database update
01/28/2026
MGI 6.24
The Jackson Laboratory