About   Help   FAQ
Gene Expression Data
Assay Details
Assay
Reference: J:228563 Koscielny G, et al., The International Mouse Phenotyping Consortium Web Portal, a unified point of access for knockout mice and related phenotyping data. Nucleic Acids Res. 2014 Jan;42(Database issue):D802-9
Assay type: In situ reporter (knock in)
MGI Accession ID: MGI:6693002
Gene symbol: Cnbp
Gene name: cellular nucleic acid binding protein
Reporter: lacZ
Direct Detection
Results
Specimen JAX_1470279: embryonic day 12.5; Cnbptm1b(KOMP)Wtsi/Cnbp+ (more )
Structure Level Pattern Image Note
TS20: embryo Present JAX_1470279

Specimen JAX_1470280: embryonic day 12.5; Cnbptm1b(KOMP)Wtsi/Cnbp+ (more )
Structure Level Pattern Image Note
TS20: embryo Present JAX_1470280

Specimen JAX_1470281: embryonic day 12.5; Cnbptm1b(KOMP)Wtsi/Cnbp+ (more )
Structure Level Pattern Image Note
TS20: embryo Present JAX_1470281

Specimen JAX_1470282: embryonic day 12.5; Cnbptm1b(KOMP)Wtsi/Cnbp+ (more )
Structure Level Pattern Image Note
TS20: embryo Present JAX_1470282

Specimen JAX_1126407: embryonic day 12.5; Cnbptm1b(KOMP)Wtsi/Cnbp+ (more )
Structure Level Pattern Image Note
TS20: embryo Present JAX_1126407

Specimen JAX_1126409: embryonic day 12.5; Cnbptm1b(KOMP)Wtsi/Cnbp+ (more )
Structure Level Pattern Image Note
TS20: embryo Present JAX_1126409

Specimen JAX_1126411: embryonic day 12.5; Cnbptm1b(KOMP)Wtsi/Cnbp+ (more )
Structure Level Pattern Image Note
TS20: embryo Present JAX_1126411

Specimen JAX_1126413: embryonic day 12.5; Cnbptm1b(KOMP)Wtsi/Cnbp+ (more )
Structure Level Pattern Image Note
TS20: embryo Present JAX_1126413

Specimen JAX_1329963: postnatal adult; Cnbptm1b(KOMP)Wtsi/Cnbp+ (more )
Structure Level Pattern Image Note
TS28: thalamus Present JAX_1329963

Specimen JAX_1329964: postnatal adult; Cnbptm1b(KOMP)Wtsi/Cnbp+ (more )
Structure Level Pattern Image Note
TS28: midbrain Present JAX_1329964

Specimen JAX_1329965: postnatal adult; Cnbptm1b(KOMP)Wtsi/Cnbp+ (more )
Structure Level Pattern Image Note
TS28: vascular system Present JAX_1329965

Specimen JAX_1329966: postnatal adult; Cnbptm1b(KOMP)Wtsi/Cnbp+ (more )
Structure Level Pattern Image Note
TS28: submandibular gland Present JAX_1329966

Specimen JAX_1329967: postnatal adult; Cnbptm1b(KOMP)Wtsi/Cnbp+ (more )
Structure Level Pattern Image Note
TS28: brown fat Present JAX_1329967

Specimen JAX_1329968: postnatal adult; Cnbptm1b(KOMP)Wtsi/Cnbp+ (more )
Structure Level Pattern Image Note
TS28: bone marrow Present JAX_1329968

Specimen JAX_1329969: postnatal adult; Cnbptm1b(KOMP)Wtsi/Cnbp+ (more )
Structure Level Pattern Image Note
TS28: bladder Present JAX_1329969

Specimen JAX_1329970: postnatal adult; Cnbptm1b(KOMP)Wtsi/Cnbp+ (more )
Structure Level Pattern Image Note
TS28: corpus striatum Present JAX_1329970

Specimen JAX_1329971: postnatal adult; Cnbptm1b(KOMP)Wtsi/Cnbp+ (more )
Structure Level Pattern Image Note
TS28: Peyer's patch Present JAX_1329971

Specimen JAX_1329972: postnatal adult; Cnbptm1b(KOMP)Wtsi/Cnbp+ (more )
Structure Level Pattern Image Note
TS28: olfactory lobe Present JAX_1329972

Specimen JAX_1329973: postnatal adult; Cnbptm1b(KOMP)Wtsi/Cnbp+ (more )
Structure Level Pattern Image Note
TS28: hypothalamus Present JAX_1329973

Specimen JAX_1329974: postnatal adult; Cnbptm1b(KOMP)Wtsi/Cnbp+ (more )
Structure Level Pattern Image Note
TS28: hippocampus Present JAX_1329974

Specimen JAX_1329975: postnatal adult; Cnbptm1b(KOMP)Wtsi/Cnbp+ (more )
Structure Level Pattern Image Note
TS28: cerebral cortex Present JAX_1329975

Specimen JAX_1329976: postnatal adult; Cnbptm1b(KOMP)Wtsi/Cnbp+ (more )
Structure Level Pattern Image Note
TS28: white fat Present JAX_1329976

Specimen JAX_1329977: postnatal adult; Cnbptm1b(KOMP)Wtsi/Cnbp+ (more )
Structure Level Pattern Image Note
TS28: skeletal muscle tissue Present JAX_1329977

Specimen JAX_1329978: postnatal adult; Cnbptm1b(KOMP)Wtsi/Cnbp+ (more )
Structure Level Pattern Image Note
TS28: pituitary gland Present JAX_1329978

Specimen JAX_1329979: postnatal adult; Cnbptm1b(KOMP)Wtsi/Cnbp+ (more )
Structure Level Pattern Image Note
TS28: spinal cord Present JAX_1329979

Specimen JAX_1329980: postnatal adult; Cnbptm1b(KOMP)Wtsi/Cnbp+ (more )
Structure Level Pattern Image Note
TS28: uterus Present JAX_1329980

Specimen JAX_1329981: postnatal adult; Cnbptm1b(KOMP)Wtsi/Cnbp+ (more )
Structure Level Pattern Image Note
TS28: skin Present JAX_1329981

Specimen JAX_1329982: postnatal adult; Cnbptm1b(KOMP)Wtsi/Cnbp+ (more )
Structure Level Pattern Image Note
TS28: oviduct Present JAX_1329982

Specimen JAX_1329983: postnatal adult; Cnbptm1b(KOMP)Wtsi/Cnbp+ (more )
Structure Level Pattern Image Note
TS28: ovary Present JAX_1329983

Specimen JAX_1329984: postnatal adult; Cnbptm1b(KOMP)Wtsi/Cnbp+ (more )
Structure Level Pattern Image Note
TS28: mammary gland Present JAX_1329984

Specimen JAX_1329985: postnatal adult; Cnbptm1b(KOMP)Wtsi/Cnbp+ (more )
Structure Level Pattern Image Note
TS28: eye Present JAX_1329985

Specimen JAX_1329986: postnatal adult; Cnbptm1b(KOMP)Wtsi/Cnbp+ (more )
Structure Level Pattern Image Note
TS28: brain Present JAX_1329986

Specimen JAX_1329987: postnatal adult; Cnbptm1b(KOMP)Wtsi/Cnbp+ (more )
Structure Level Pattern Image Note
TS28: adrenal gland Present JAX_1329987

Specimen JAX_1329988: postnatal adult; Cnbptm1b(KOMP)Wtsi/Cnbp+ (more )
Structure Level Pattern Image Note
TS28: epididymis Present JAX_1329988

Specimen JAX_1329989: postnatal adult; Cnbptm1b(KOMP)Wtsi/Cnbp+ (more )
Structure Level Pattern Image Note
TS28: peripheral nervous system Present JAX_1329989

Specimen JAX_1329990: postnatal adult; Cnbptm1b(KOMP)Wtsi/Cnbp+ (more )
Structure Level Pattern Image Note
TS28: cerebellum Present JAX_1329990

Specimen JAX_1329991: postnatal adult; Cnbptm1b(KOMP)Wtsi/Cnbp+ (more )
Structure Level Pattern Image Note
TS28: cartilage Present JAX_1329991

Specimen JAX_1329992: postnatal adult; Cnbptm1b(KOMP)Wtsi/Cnbp+ (more )
Structure Level Pattern Image Note
TS28: brainstem Present JAX_1329992

Specimen JAX_1329993: postnatal adult; Cnbptm1b(KOMP)Wtsi/Cnbp+ (more )
Structure Level Pattern Image Note
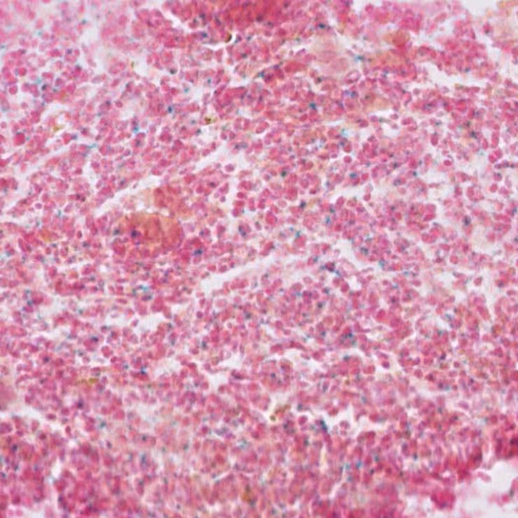
TS28: spleen Present JAX_1329993

Specimen JAX_1329994: postnatal adult; Cnbptm1b(KOMP)Wtsi/Cnbp+ (more )
Structure Level Pattern Image Note
TS28: pancreas Present JAX_1329994

Specimen JAX_1329995: postnatal adult; Cnbptm1b(KOMP)Wtsi/Cnbp+ (more )
Structure Level Pattern Image Note
TS28: aorta Present JAX_1329995

Specimen JAX_1329996: postnatal adult; Cnbptm1b(KOMP)Wtsi/Cnbp+ (more )
Structure Level Pattern Image Note
TS28: lung Present JAX_1329996

Specimen JAX_1329997: postnatal adult; Cnbptm1b(KOMP)Wtsi/Cnbp+ (more )
Structure Level Pattern Image Note
TS28: small intestine Present JAX_1329997

Specimen JAX_1329998: postnatal adult; Cnbptm1b(KOMP)Wtsi/Cnbp+ (more )
Structure Level Pattern Image Note
TS28: esophagus Present JAX_1329998

Specimen JAX_1329999: postnatal adult; Cnbptm1b(KOMP)Wtsi/Cnbp+ (more )
Structure Level Pattern Image Note
TS28: large intestine Present JAX_1329999

Specimen JAX_1330000: postnatal adult; Cnbptm1b(KOMP)Wtsi/Cnbp+ (more )
Structure Level Pattern Image Note
TS28: trachea Present JAX_1330000

Specimen JAX_1330001: postnatal adult; Cnbptm1b(KOMP)Wtsi/Cnbp+ (more )
Structure Level Pattern Image Note
TS28: thymus Present JAX_1330001

Specimen JAX_1330002: postnatal adult; Cnbptm1b(KOMP)Wtsi/Cnbp+ (more )
Structure Level Pattern Image Note
TS28: testis Present JAX_1330002

Specimen JAX_1330003: postnatal adult; Cnbptm1b(KOMP)Wtsi/Cnbp+ (more )
Structure Level Pattern Image Note
TS28: stomach Present JAX_1330003

Specimen JAX_1330004: postnatal adult; Cnbptm1b(KOMP)Wtsi/Cnbp+ (more )
Structure Level Pattern Image Note
TS28: lymph node Present JAX_1330004

Specimen JAX_1330005: postnatal adult; Cnbptm1b(KOMP)Wtsi/Cnbp+ (more )
Structure Level Pattern Image Note
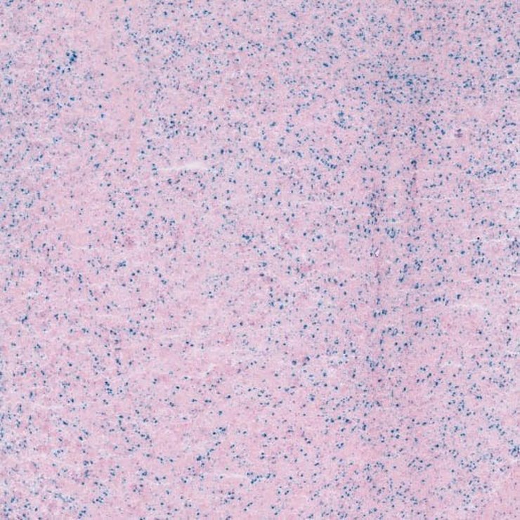
TS28: liver Present JAX_1330005

Specimen JAX_1330006: postnatal adult; Cnbptm1b(KOMP)Wtsi/Cnbp+ (more )
Structure Level Pattern Image Note
TS28: metanephros Absent JAX_1330006 kidney

Specimen JAX_1330007: postnatal adult; Cnbptm1b(KOMP)Wtsi/Cnbp+ (more )
Structure Level Pattern Image Note
TS28: heart Present JAX_1330007


Contributing Projects:
Mouse Genome Database (MGD), Gene Expression Database (GXD), Mouse Models of Human Cancer database (MMHCdb) (formerly Mouse Tumor Biology (MTB)), Gene Ontology (GO)
Citing These Resources
Funding Information
Warranty Disclaimer, Privacy Notice, Licensing, & Copyright
Send questions and comments to User Support.
last database update
01/20/2026
MGI 6.24
The Jackson Laboratory