About   Help   FAQ
Gene Expression Data
Assay Details
Assay
Reference: J:228563 Koscielny G, et al., The International Mouse Phenotyping Consortium Web Portal, a unified point of access for knockout mice and related phenotyping data. Nucleic Acids Res. 2014 Jan;42(Database issue):D802-9
Assay type: In situ reporter (knock in)
MGI Accession ID: MGI:6692983
Gene symbol: Bmi1
Gene name: Bmi1 proto-oncogene, polycomb ring finger
Reporter: lacZ
Direct Detection
Results
Specimen UC Davis_1884531: postnatal adult; Bmi1tm1.1(KOMP)Vlcg/Bmi1+ (more )
Structure Level Pattern Image Note
TS28: aorta Present UC Davis_1884531

Specimen UC Davis_1884532: postnatal adult; Bmi1tm1.1(KOMP)Vlcg/Bmi1+ (more )
Structure Level Pattern Image Note
TS28: aorta Present UC Davis_1884532

Specimen UC Davis_1884533: postnatal adult; Bmi1tm1.1(KOMP)Vlcg/Bmi1+ (more )
Structure Level Pattern Image Note
TS28: lung Present UC Davis_1884533

Specimen UC Davis_1884534: postnatal adult; Bmi1tm1.1(KOMP)Vlcg/Bmi1+ (more )
Structure Level Pattern Image Note
TS28: lung Present UC Davis_1884534

Specimen UC Davis_1884535: postnatal adult; Bmi1tm1.1(KOMP)Vlcg/Bmi1+ (more )
Structure Level Pattern Image Note
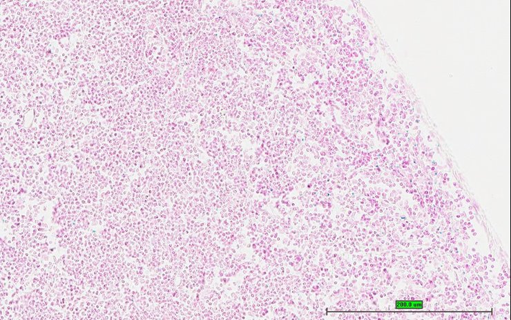
TS28: thymus Present UC Davis_1884535

Specimen UC Davis_1884536: postnatal adult; Bmi1tm1.1(KOMP)Vlcg/Bmi1+ (more )
Structure Level Pattern Image Note
TS28: thymus Present UC Davis_1884536

Specimen UC Davis_1884541: postnatal adult; Bmi1tm1.1(KOMP)Vlcg/Bmi1+ (more )
Structure Level Pattern Image Note
TS28: stomach Present UC Davis_1884541

Specimen UC Davis_1884542: postnatal adult; Bmi1tm1.1(KOMP)Vlcg/Bmi1+ (more )
Structure Level Pattern Image Note
TS28: stomach Present UC Davis_1884542

Specimen UC Davis_1884543: postnatal adult; Bmi1tm1.1(KOMP)Vlcg/Bmi1+ (more )
Structure Level Pattern Image Note
TS28: stomach Present UC Davis_1884543

Specimen UC Davis_1884544: postnatal adult; Bmi1tm1.1(KOMP)Vlcg/Bmi1+ (more )
Structure Level Pattern Image Note
TS28: stomach Present UC Davis_1884544

Specimen UC Davis_1884545: postnatal adult; Bmi1tm1.1(KOMP)Vlcg/Bmi1+ (more )
Structure Level Pattern Image Note
TS28: ileum Present UC Davis_1884545

Specimen UC Davis_1884546: postnatal adult; Bmi1tm1.1(KOMP)Vlcg/Bmi1+ (more )
Structure Level Pattern Image Note
TS28: colon Present UC Davis_1884546

Specimen UC Davis_1884547: postnatal adult; Bmi1tm1.1(KOMP)Vlcg/Bmi1+ (more )
Structure Level Pattern Image Note
TS28: cecum Present UC Davis_1884547

Specimen UC Davis_1884548: postnatal adult; Bmi1tm1.1(KOMP)Vlcg/Bmi1+ (more )
Structure Level Pattern Image Note
TS28: metanephros Present UC Davis_1884548 kidney

Specimen UC Davis_1884549: postnatal adult; Bmi1tm1.1(KOMP)Vlcg/Bmi1+ (more )
Structure Level Pattern Image Note
TS28: metanephros Present UC Davis_1884549 kidney

Specimen UC Davis_1884550: postnatal adult; Bmi1tm1.1(KOMP)Vlcg/Bmi1+ (more )
Structure Level Pattern Image Note
TS28: metanephros Present UC Davis_1884550 kidney

Specimen UC Davis_1884551: postnatal adult; Bmi1tm1.1(KOMP)Vlcg/Bmi1+ (more )
Structure Level Pattern Image Note
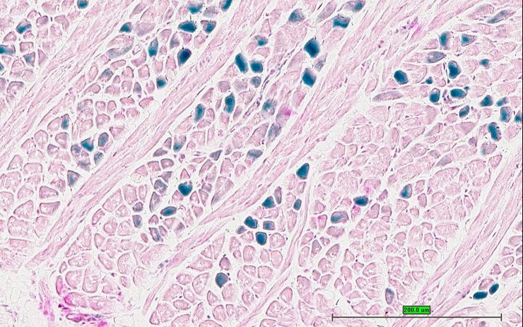
TS28: quadriceps femoris muscle Present UC Davis_1884551

Specimen UC Davis_1884552: postnatal adult; Bmi1tm1.1(KOMP)Vlcg/Bmi1+ (more )
Structure Level Pattern Image Note
TS28: pituitary gland Present UC Davis_1884552

Specimen UC Davis_1884553: postnatal adult; Bmi1tm1.1(KOMP)Vlcg/Bmi1+ (more )
Structure Level Pattern Image Note
TS28: spinal cord Present UC Davis_1884553

Specimen UC Davis_1884554: postnatal adult; Bmi1tm1.1(KOMP)Vlcg/Bmi1+ (more )
Structure Level Pattern Image Note
TS28: spinal cord Present UC Davis_1884554

Specimen UC Davis_1884555: postnatal adult; Bmi1tm1.1(KOMP)Vlcg/Bmi1+ (more )
Structure Level Pattern Image Note
TS28: eye Present UC Davis_1884555

Specimen UC Davis_1884556: postnatal adult; Bmi1tm1.1(KOMP)Vlcg/Bmi1+ (more )
Structure Level Pattern Image Note
TS28: eye Present UC Davis_1884556

Specimen UC Davis_1884557: postnatal adult; Bmi1tm1.1(KOMP)Vlcg/Bmi1+ (more )
Structure Level Pattern Image Note
TS28: eye Present UC Davis_1884557

Specimen UC Davis_1884558: postnatal adult; Bmi1tm1.1(KOMP)Vlcg/Bmi1+ (more )
Structure Level Pattern Image Note
TS28: Harderian gland Present UC Davis_1884558

Specimen UC Davis_1884559: postnatal adult; Bmi1tm1.1(KOMP)Vlcg/Bmi1+ (more )
Structure Level Pattern Image Note
TS28: Harderian gland Present UC Davis_1884559

Specimen UC Davis_1884560: postnatal adult; Bmi1tm1.1(KOMP)Vlcg/Bmi1+ (more )
Structure Level Pattern Image Note
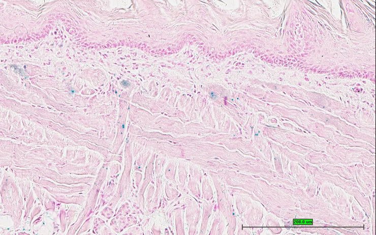
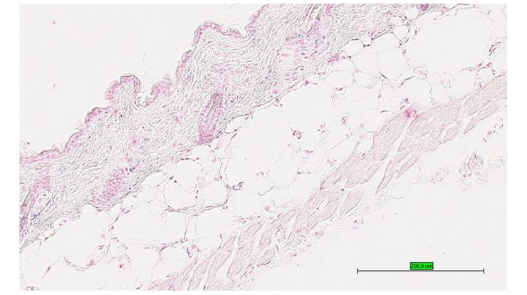
TS28: skin Present UC Davis_1884560

Specimen UC Davis_1884561: postnatal adult; Bmi1tm1.1(KOMP)Vlcg/Bmi1+ (more )
Structure Level Pattern Image Note
TS28: skin Present UC Davis_1884561

Specimen UC Davis_1884562: postnatal adult; Bmi1tm1.1(KOMP)Vlcg/Bmi1+ (more )
Structure Level Pattern Image Note
TS28: olfactory lobe Present UC Davis_1884562

Specimen UC Davis_1884565: postnatal adult; Bmi1tm1.1(KOMP)Vlcg/Bmi1+ (more )
Structure Level Pattern Image Note
TS28: midbrain Present UC Davis_1884565

Specimen UC Davis_1884567: postnatal adult; Bmi1tm1.1(KOMP)Vlcg/Bmi1+ (more )
Structure Level Pattern Image Note
TS28: cerebellum Present UC Davis_1884567

Specimen UC Davis_1884568: postnatal adult; Bmi1tm1.1(KOMP)Vlcg/Bmi1+ (more )
Structure Level Pattern Image Note
TS28: trigeminal nerve Present UC Davis_1884568

Specimen UC Davis_1884569: postnatal adult; Bmi1tm1.1(KOMP)Vlcg/Bmi1+ (more )
Structure Level Pattern Image Note
TS28: ovary Present UC Davis_1884569

Specimen UC Davis_1884570: postnatal adult; Bmi1tm1.1(KOMP)Vlcg/Bmi1+ (more )
Structure Level Pattern Image Note
TS28: oviduct Present UC Davis_1884570

Specimen UC Davis_1884571: postnatal adult; Bmi1tm1.1(KOMP)Vlcg/Bmi1+ (more )
Structure Level Pattern Image Note
TS28: oviduct Present UC Davis_1884571

Specimen UC Davis_1884572: postnatal adult; Bmi1tm1.1(KOMP)Vlcg/Bmi1+ (more )
Structure Level Pattern Image Note
TS28: oviduct Present UC Davis_1884572

Specimen UC Davis_1884573: postnatal adult; Bmi1tm1.1(KOMP)Vlcg/Bmi1+ (more )
Structure Level Pattern Image Note
TS28: uterus Present UC Davis_1884573

Specimen UC Davis_1884574: postnatal adult; Bmi1tm1.1(KOMP)Vlcg/Bmi1+ (more )
Structure Level Pattern Image Note
TS28: uterus Present UC Davis_1884574

Specimen UC Davis_1884575: postnatal adult; Bmi1tm1.1(KOMP)Vlcg/Bmi1+ (more )
Structure Level Pattern Image Note
TS28: uterus Present UC Davis_1884575

Specimen UC Davis_1884576: postnatal adult; Bmi1tm1.1(KOMP)Vlcg/Bmi1+ (more )
Structure Level Pattern Image Note
TS28: vagina Present UC Davis_1884576

Specimen UC Davis_1884577: postnatal adult; Bmi1tm1.1(KOMP)Vlcg/Bmi1+ (more )
Structure Level Pattern Image Note
TS28: bladder Present UC Davis_1884577

Specimen UC Davis_1884457: postnatal adult; Bmi1tm1.1(KOMP)Vlcg/Bmi1+ (more )
Structure Level Pattern Image Note
TS28: submandibular gland Present UC Davis_1884457

Specimen UC Davis_1884458: postnatal adult; Bmi1tm1.1(KOMP)Vlcg/Bmi1+ (more )
Structure Level Pattern Image Note
TS28: sublingual gland Present UC Davis_1884458

Specimen UC Davis_1884459: postnatal adult; Bmi1tm1.1(KOMP)Vlcg/Bmi1+ (more )
Structure Level Pattern Image Note
TS28: parotid gland Present UC Davis_1884459

Specimen UC Davis_1884460: postnatal adult; Bmi1tm1.1(KOMP)Vlcg/Bmi1+ (more )
Structure Level Pattern Image Note
TS28: esophagus Present UC Davis_1884460

Specimen UC Davis_1884463: postnatal adult; Bmi1tm1.1(KOMP)Vlcg/Bmi1+ (more )
Structure Level Pattern Image Note
TS28: aorta Present UC Davis_1884463

Specimen UC Davis_1884464: postnatal adult; Bmi1tm1.1(KOMP)Vlcg/Bmi1+ (more )
Structure Level Pattern Image Note
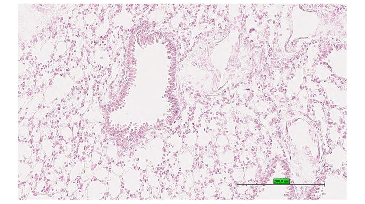
TS28: lung Present UC Davis_1884464

Specimen UC Davis_1884465: postnatal adult; Bmi1tm1.1(KOMP)Vlcg/Bmi1+ (more )
Structure Level Pattern Image Note
TS28: lung Present UC Davis_1884465

Specimen UC Davis_1884466: postnatal adult; Bmi1tm1.1(KOMP)Vlcg/Bmi1+ (more )
Structure Level Pattern Image Note
TS28: thymus Present UC Davis_1884466

Specimen UC Davis_1884467: postnatal adult; Bmi1tm1.1(KOMP)Vlcg/Bmi1+ (more )
Structure Level Pattern Image Note
TS28: thymus Present UC Davis_1884467

Specimen UC Davis_1884471: postnatal adult; Bmi1tm1.1(KOMP)Vlcg/Bmi1+ (more )
Structure Level Pattern Image Note
TS28: mesenteric lymph node Present UC Davis_1884471

Specimen UC Davis_1884472: postnatal adult; Bmi1tm1.1(KOMP)Vlcg/Bmi1+ (more )
Structure Level Pattern Image Note
TS28: stomach Present UC Davis_1884472

Specimen UC Davis_1884473: postnatal adult; Bmi1tm1.1(KOMP)Vlcg/Bmi1+ (more )
Structure Level Pattern Image Note
TS28: stomach Present UC Davis_1884473

Specimen UC Davis_1884474: postnatal adult; Bmi1tm1.1(KOMP)Vlcg/Bmi1+ (more )
Structure Level Pattern Image Note
TS28: stomach Present UC Davis_1884474

Specimen UC Davis_1884475: postnatal adult; Bmi1tm1.1(KOMP)Vlcg/Bmi1+ (more )
Structure Level Pattern Image Note
TS28: duodenum Present UC Davis_1884475

Specimen UC Davis_1884476: postnatal adult; Bmi1tm1.1(KOMP)Vlcg/Bmi1+ (more )
Structure Level Pattern Image Note
TS28: jejunum Present UC Davis_1884476

Specimen UC Davis_1884477: postnatal adult; Bmi1tm1.1(KOMP)Vlcg/Bmi1+ (more )
Structure Level Pattern Image Note
TS28: ileum Present UC Davis_1884477

Specimen UC Davis_1884478: postnatal adult; Bmi1tm1.1(KOMP)Vlcg/Bmi1+ (more )
Structure Level Pattern Image Note
TS28: colon Present UC Davis_1884478

Specimen UC Davis_1884479: postnatal adult; Bmi1tm1.1(KOMP)Vlcg/Bmi1+ (more )
Structure Level Pattern Image Note
TS28: colon Present UC Davis_1884479

Specimen UC Davis_1884480: postnatal adult; Bmi1tm1.1(KOMP)Vlcg/Bmi1+ (more )
Structure Level Pattern Image Note
TS28: colon Present UC Davis_1884480

Specimen UC Davis_1884481: postnatal adult; Bmi1tm1.1(KOMP)Vlcg/Bmi1+ (more )
Structure Level Pattern Image Note
TS28: cecum Present UC Davis_1884481

Specimen UC Davis_1884482: postnatal adult; Bmi1tm1.1(KOMP)Vlcg/Bmi1+ (more )
Structure Level Pattern Image Note
TS28: spleen Present UC Davis_1884482

Specimen UC Davis_1884483: postnatal adult; Bmi1tm1.1(KOMP)Vlcg/Bmi1+ (more )
Structure Level Pattern Image Note
TS28: pancreas Present UC Davis_1884483

Specimen UC Davis_1884484: postnatal adult; Bmi1tm1.1(KOMP)Vlcg/Bmi1+ (more )
Structure Level Pattern Image Note
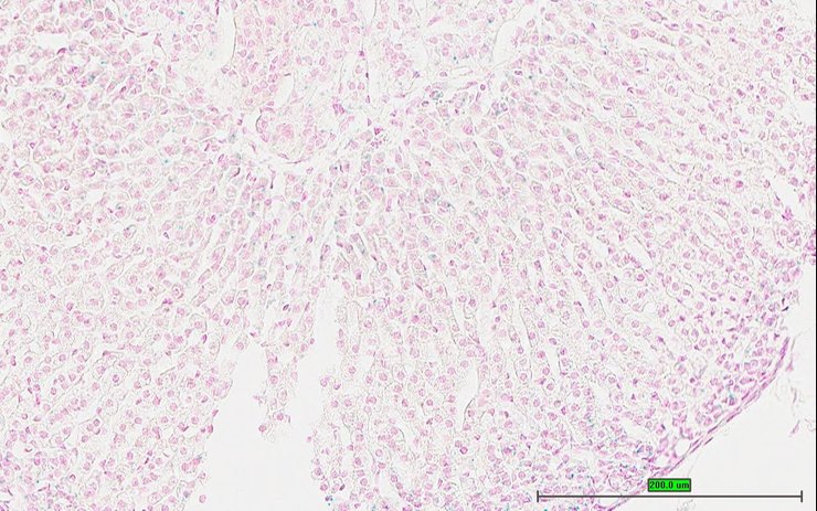
TS28: liver Present UC Davis_1884484

Specimen UC Davis_1884485: postnatal adult; Bmi1tm1.1(KOMP)Vlcg/Bmi1+ (more )
Structure Level Pattern Image Note
TS28: liver Present UC Davis_1884485

Specimen UC Davis_1884486: postnatal adult; Bmi1tm1.1(KOMP)Vlcg/Bmi1+ (more )
Structure Level Pattern Image Note
TS28: metanephros Present UC Davis_1884486 kidney

Specimen UC Davis_1884487: postnatal adult; Bmi1tm1.1(KOMP)Vlcg/Bmi1+ (more )
Structure Level Pattern Image Note
TS28: metanephros Present UC Davis_1884487 kidney

Specimen UC Davis_1884488: postnatal adult; Bmi1tm1.1(KOMP)Vlcg/Bmi1+ (more )
Structure Level Pattern Image Note
TS28: metanephros Present UC Davis_1884488 kidney

Specimen UC Davis_1884489: postnatal adult; Bmi1tm1.1(KOMP)Vlcg/Bmi1+ (more )
Structure Level Pattern Image Note
TS28: quadriceps femoris muscle Present UC Davis_1884489

Specimen UC Davis_1884490: postnatal adult; Bmi1tm1.1(KOMP)Vlcg/Bmi1+ (more )
Structure Level Pattern Image Note
TS28: quadriceps femoris muscle Present UC Davis_1884490

Specimen UC Davis_1884491: postnatal adult; Bmi1tm1.1(KOMP)Vlcg/Bmi1+ (more )
Structure Level Pattern Image Note
TS28: tongue Present UC Davis_1884491

Specimen UC Davis_1884492: postnatal adult; Bmi1tm1.1(KOMP)Vlcg/Bmi1+ (more )
Structure Level Pattern Image Note
TS28: tongue Present UC Davis_1884492

Specimen UC Davis_1884493: postnatal adult; Bmi1tm1.1(KOMP)Vlcg/Bmi1+ (more )
Structure Level Pattern Image Note
TS28: tongue Present UC Davis_1884493

Specimen UC Davis_1884494: postnatal adult; Bmi1tm1.1(KOMP)Vlcg/Bmi1+ (more )
Structure Level Pattern Image Note
TS28: tongue Present UC Davis_1884494

Specimen UC Davis_1884495: postnatal adult; Bmi1tm1.1(KOMP)Vlcg/Bmi1+ (more )
Structure Level Pattern Image Note
TS28: diaphragm Present UC Davis_1884495

Specimen UC Davis_1884496: postnatal adult; Bmi1tm1.1(KOMP)Vlcg/Bmi1+ (more )
Structure Level Pattern Image Note
TS28: adrenal gland Present UC Davis_1884496

Specimen UC Davis_1884497: postnatal adult; Bmi1tm1.1(KOMP)Vlcg/Bmi1+ (more )
Structure Level Pattern Image Note
TS28: adrenal gland Present UC Davis_1884497

Specimen UC Davis_1884498: postnatal adult; Bmi1tm1.1(KOMP)Vlcg/Bmi1+ (more )
Structure Level Pattern Image Note
TS28: pituitary gland Present UC Davis_1884498

Specimen UC Davis_1884499: postnatal adult; Bmi1tm1.1(KOMP)Vlcg/Bmi1+ (more )
Structure Level Pattern Image Note
TS28: spinal cord Present UC Davis_1884499

Specimen UC Davis_1884500: postnatal adult; Bmi1tm1.1(KOMP)Vlcg/Bmi1+ (more )
Structure Level Pattern Image Note
TS28: spinal cord Present UC Davis_1884500

Specimen UC Davis_1884501: postnatal adult; Bmi1tm1.1(KOMP)Vlcg/Bmi1+ (more )
Structure Level Pattern Image Note
TS28: eye Present UC Davis_1884501

Specimen UC Davis_1884502: postnatal adult; Bmi1tm1.1(KOMP)Vlcg/Bmi1+ (more )
Structure Level Pattern Image Note
TS28: eye Present UC Davis_1884502

Specimen UC Davis_1884503: postnatal adult; Bmi1tm1.1(KOMP)Vlcg/Bmi1+ (more )
Structure Level Pattern Image Note
TS28: eye Present UC Davis_1884503

Specimen UC Davis_1884505: postnatal adult; Bmi1tm1.1(KOMP)Vlcg/Bmi1+ (more )
Structure Level Pattern Image Note
TS28: Harderian gland Present UC Davis_1884505

Specimen UC Davis_1884506: postnatal adult; Bmi1tm1.1(KOMP)Vlcg/Bmi1+ (more )
Structure Level Pattern Image Note
TS28: Harderian gland Present UC Davis_1884506

Specimen UC Davis_1884507: postnatal adult; Bmi1tm1.1(KOMP)Vlcg/Bmi1+ (more )
Structure Level Pattern Image Note
TS28: mesenteric adipose tissue Present UC Davis_1884507

Specimen UC Davis_1884508: postnatal adult; Bmi1tm1.1(KOMP)Vlcg/Bmi1+ (more )
Structure Level Pattern Image Note
TS28: skin Present UC Davis_1884508

Specimen UC Davis_1884509: postnatal adult; Bmi1tm1.1(KOMP)Vlcg/Bmi1+ (more )
Structure Level Pattern Image Note
TS28: skin Present UC Davis_1884509

Specimen UC Davis_1884510: postnatal adult; Bmi1tm1.1(KOMP)Vlcg/Bmi1+ (more )
Structure Level Pattern Image Note
TS28: brown fat Present UC Davis_1884510

Specimen UC Davis_1884511: postnatal adult; Bmi1tm1.1(KOMP)Vlcg/Bmi1+ (more )
Structure Level Pattern Image Note
TS28: brown fat Present UC Davis_1884511

Specimen UC Davis_1884512: postnatal adult; Bmi1tm1.1(KOMP)Vlcg/Bmi1+ (more )
Structure Level Pattern Image Note
TS28: olfactory lobe Present UC Davis_1884512

Specimen UC Davis_1884515: postnatal adult; Bmi1tm1.1(KOMP)Vlcg/Bmi1+ (more )
Structure Level Pattern Image Note
TS28: midbrain Present UC Davis_1884515

Specimen UC Davis_1884517: postnatal adult; Bmi1tm1.1(KOMP)Vlcg/Bmi1+ (more )
Structure Level Pattern Image Note
TS28: cerebellum Present UC Davis_1884517

Specimen UC Davis_1884518: postnatal adult; Bmi1tm1.1(KOMP)Vlcg/Bmi1+ (more )
Structure Level Pattern Image Note
TS28: trigeminal nerve Present UC Davis_1884518

Specimen UC Davis_1884519: postnatal adult; Bmi1tm1.1(KOMP)Vlcg/Bmi1+ (more )
Structure Level Pattern Image Note
TS28: bladder Present UC Davis_1884519

Specimen UC Davis_1884520: postnatal adult; Bmi1tm1.1(KOMP)Vlcg/Bmi1+ (more )
Structure Level Pattern Image Note
TS28: testis Present UC Davis_1884520

Specimen UC Davis_1884521: postnatal adult; Bmi1tm1.1(KOMP)Vlcg/Bmi1+ (more )
Structure Level Pattern Image Note
TS28: testis Present UC Davis_1884521

Specimen UC Davis_1884522: postnatal adult; Bmi1tm1.1(KOMP)Vlcg/Bmi1+ (more )
Structure Level Pattern Image Note
TS28: epididymis Present UC Davis_1884522

Specimen UC Davis_1884523: postnatal adult; Bmi1tm1.1(KOMP)Vlcg/Bmi1+ (more )
Structure Level Pattern Image Note
TS28: prostate gland Present UC Davis_1884523

Specimen UC Davis_1884524: postnatal adult; Bmi1tm1.1(KOMP)Vlcg/Bmi1+ (more )
Structure Level Pattern Image Note
TS28: penis Present UC Davis_1884524

Specimen UC Davis_1884525: postnatal adult; Bmi1tm1.1(KOMP)Vlcg/Bmi1+ (more )
Structure Level Pattern Image Note
TS28: penis Present UC Davis_1884525

Specimen UC Davis_1884526: postnatal adult; Bmi1tm1.1(KOMP)Vlcg/Bmi1+ (more )
Structure Level Pattern Image Note
TS28: ductus deferens Present UC Davis_1884526 vas deferens

Specimen UC Davis_1884527: postnatal adult; Bmi1tm1.1(KOMP)Vlcg/Bmi1+ (more )
Structure Level Pattern Image Note
TS28: ductus deferens Present UC Davis_1884527 vas deferens

Specimen UC Davis_1884529: postnatal adult; Bmi1tm1.1(KOMP)Vlcg/Bmi1+ (more )
Structure Level Pattern Image Note
TS28: seminal vesicle Present UC Davis_1884529 vesicular gland

Specimen UC Davis_1884530: postnatal adult; Bmi1tm1.1(KOMP)Vlcg/Bmi1+ (more )
Structure Level Pattern Image Note
TS28: seminal vesicle Present UC Davis_1884530 vesicular gland


Contributing Projects:
Mouse Genome Database (MGD), Gene Expression Database (GXD), Mouse Models of Human Cancer database (MMHCdb) (formerly Mouse Tumor Biology (MTB)), Gene Ontology (GO)
Citing These Resources
Funding Information
Warranty Disclaimer, Privacy Notice, Licensing, & Copyright
Send questions and comments to User Support.
last database update
01/20/2026
MGI 6.24
The Jackson Laboratory