About   Help   FAQ
Gene Expression Data
Assay Details
Assay
Reference: J:228563 Koscielny G, et al., The International Mouse Phenotyping Consortium Web Portal, a unified point of access for knockout mice and related phenotyping data. Nucleic Acids Res. 2014 Jan;42(Database issue):D802-9
Assay type: In situ reporter (knock in)
MGI Accession ID: MGI:6692976
Gene symbol: Atf4
Gene name: activating transcription factor 4
Reporter: lacZ
Direct Detection
Results
Specimen TCP_2460588: postnatal adult; Atf4tm1.1(KOMP)Mbp/Atf4+ (more )
Structure Level Pattern Image Note
TS28: brain Present TCP_2460588

Specimen TCP_2460589: postnatal adult; Atf4tm1.1(KOMP)Mbp/Atf4+ (more )
Structure Level Pattern Image Note
TS28: cerebellum Present TCP_2460589

Specimen TCP_2460590: postnatal adult; Atf4tm1.1(KOMP)Mbp/Atf4+ (more )
Structure Level Pattern Image Note
TS28: heart Present TCP_2460590

Specimen TCP_2460591: postnatal adult; Atf4tm1.1(KOMP)Mbp/Atf4+ (more )
Structure Level Pattern Image Note
TS28: liver Present TCP_2460591

Specimen TCP_2460592: postnatal adult; Atf4tm1.1(KOMP)Mbp/Atf4+ (more )
Structure Level Pattern Image Note
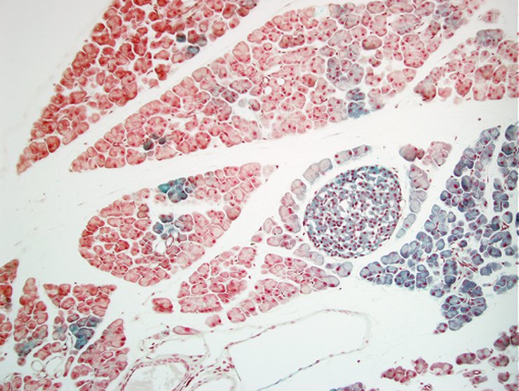
TS28: pancreas Present TCP_2460592

Specimen TCP_2460593: postnatal adult; Atf4tm1.1(KOMP)Mbp/Atf4+ (more )
Structure Level Pattern Image Note
TS28: skin Present TCP_2460593

Specimen TCP_2460594: postnatal adult; Atf4tm1.1(KOMP)Mbp/Atf4+ (more )
Structure Level Pattern Image Note
TS28: spinal cord Present TCP_2460594

Specimen TCP_2460581: postnatal adult; Atf4tm1.1(KOMP)Mbp/Atf4+ (more )
Structure Level Pattern Image Note
TS28: brain Present TCP_2460581

Specimen TCP_2460582: postnatal adult; Atf4tm1.1(KOMP)Mbp/Atf4+ (more )
Structure Level Pattern Image Note
TS28: cerebellum Present TCP_2460582

Specimen TCP_2460583: postnatal adult; Atf4tm1.1(KOMP)Mbp/Atf4+ (more )
Structure Level Pattern Image Note
TS28: heart Present TCP_2460583

Specimen TCP_2460584: postnatal adult; Atf4tm1.1(KOMP)Mbp/Atf4+ (more )
Structure Level Pattern Image Note
TS28: liver Present TCP_2460584

Specimen TCP_2460585: postnatal adult; Atf4tm1.1(KOMP)Mbp/Atf4+ (more )
Structure Level Pattern Image Note
TS28: pancreas Present TCP_2460585

Specimen TCP_2460586: postnatal adult; Atf4tm1.1(KOMP)Mbp/Atf4+ (more )
Structure Level Pattern Image Note
TS28: skin Present TCP_2460586

Specimen TCP_2460587: postnatal adult; Atf4tm1.1(KOMP)Mbp/Atf4+ (more )
Structure Level Pattern Image Note
TS28: spinal cord Present TCP_2460587


Contributing Projects:
Mouse Genome Database (MGD), Gene Expression Database (GXD), Mouse Models of Human Cancer database (MMHCdb) (formerly Mouse Tumor Biology (MTB)), Gene Ontology (GO)
Citing These Resources
Funding Information
Warranty Disclaimer, Privacy Notice, Licensing, & Copyright
Send questions and comments to User Support.
last database update
01/06/2026
MGI 6.24
The Jackson Laboratory