About   Help   FAQ
Gene Expression Data
Assay Details
Assay
Reference: J:228563 Koscielny G, et al., The International Mouse Phenotyping Consortium Web Portal, a unified point of access for knockout mice and related phenotyping data. Nucleic Acids Res. 2014 Jan;42(Database issue):D802-9
Assay type: In situ reporter (knock in)
MGI Accession ID: MGI:6692967
Gene symbol: Adra2a
Gene name: adrenergic receptor, alpha 2a
Reporter: lacZ
Direct Detection
Results
Specimen UC Davis_1876192: postnatal adult; Adra2atm1.1(KOMP)Vlcg/Adra2a+ (more )
Structure Level Pattern Image Note
TS28: trachea Present UC Davis_1876192

Specimen UC Davis_1876193: postnatal adult; Adra2atm1.1(KOMP)Vlcg/Adra2a+ (more )
Structure Level Pattern Image Note
TS28: trachea Present UC Davis_1876193

Specimen UC Davis_1876194: postnatal adult; Adra2atm1.1(KOMP)Vlcg/Adra2a+ (more )
Structure Level Pattern Image Note
TS28: esophagus Absent UC Davis_1876194

Specimen UC Davis_1876195: postnatal adult; Adra2atm1.1(KOMP)Vlcg/Adra2a+ (more )
Structure Level Pattern Image Note
TS28: esophagus Absent UC Davis_1876195

Specimen UC Davis_1876196: postnatal adult; Adra2atm1.1(KOMP)Vlcg/Adra2a+ (more )
Structure Level Pattern Image Note
TS28: thymus Present UC Davis_1876196

Specimen UC Davis_1876197: postnatal adult; Adra2atm1.1(KOMP)Vlcg/Adra2a+ (more )
Structure Level Pattern Image Note
TS28: thymus Present UC Davis_1876197

Specimen UC Davis_1876198: postnatal adult; Adra2atm1.1(KOMP)Vlcg/Adra2a+ (more )
Structure Level Pattern Image Note
TS28: thymus Present UC Davis_1876198

Specimen UC Davis_1876199: postnatal adult; Adra2atm1.1(KOMP)Vlcg/Adra2a+ (more )
Structure Level Pattern Image Note
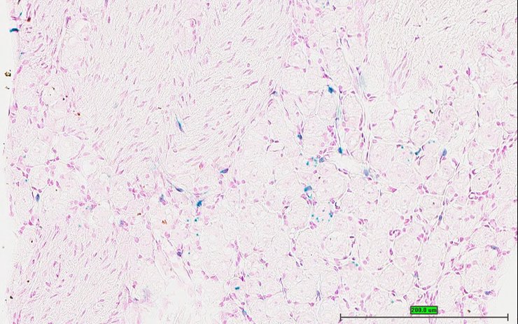
TS28: stomach Present UC Davis_1876199

Specimen UC Davis_1876200: postnatal adult; Adra2atm1.1(KOMP)Vlcg/Adra2a+ (more )
Structure Level Pattern Image Note
TS28: stomach Present UC Davis_1876200

Specimen UC Davis_1876201: postnatal adult; Adra2atm1.1(KOMP)Vlcg/Adra2a+ (more )
Structure Level Pattern Image Note
TS28: stomach Present UC Davis_1876201

Specimen UC Davis_1876202: postnatal adult; Adra2atm1.1(KOMP)Vlcg/Adra2a+ (more )
Structure Level Pattern Image Note
TS28: stomach Present UC Davis_1876202

Specimen UC Davis_1876203: postnatal adult; Adra2atm1.1(KOMP)Vlcg/Adra2a+ (more )
Structure Level Pattern Image Note
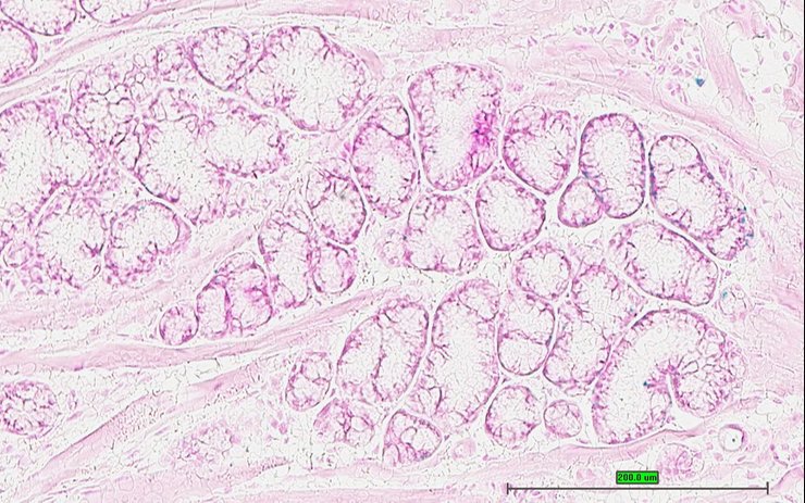
TS28: duodenum Present UC Davis_1876203

Specimen UC Davis_1876204: postnatal adult; Adra2atm1.1(KOMP)Vlcg/Adra2a+ (more )
Structure Level Pattern Image Note
TS28: ileum Present UC Davis_1876204

Specimen UC Davis_1876205: postnatal adult; Adra2atm1.1(KOMP)Vlcg/Adra2a+ (more )
Structure Level Pattern Image Note
TS28: colon Present UC Davis_1876205

Specimen UC Davis_1876206: postnatal adult; Adra2atm1.1(KOMP)Vlcg/Adra2a+ (more )
Structure Level Pattern Image Note
TS28: colon Present UC Davis_1876206

Specimen UC Davis_1876207: postnatal adult; Adra2atm1.1(KOMP)Vlcg/Adra2a+ (more )
Structure Level Pattern Image Note
TS28: cecum Present UC Davis_1876207

Specimen UC Davis_1876208: postnatal adult; Adra2atm1.1(KOMP)Vlcg/Adra2a+ (more )
Structure Level Pattern Image Note
TS28: cecum Present UC Davis_1876208

Specimen UC Davis_1876209: postnatal adult; Adra2atm1.1(KOMP)Vlcg/Adra2a+ (more )
Structure Level Pattern Image Note
TS28: cecum Present UC Davis_1876209

Specimen UC Davis_1876210: postnatal adult; Adra2atm1.1(KOMP)Vlcg/Adra2a+ (more )
Structure Level Pattern Image Note
TS28: pancreas Present UC Davis_1876210

Specimen UC Davis_1876211: postnatal adult; Adra2atm1.1(KOMP)Vlcg/Adra2a+ (more )
Structure Level Pattern Image Note
TS28: pancreas Present UC Davis_1876211

Specimen UC Davis_1876212: postnatal adult; Adra2atm1.1(KOMP)Vlcg/Adra2a+ (more )
Structure Level Pattern Image Note
TS28: metanephros Present UC Davis_1876212 kidney

Specimen UC Davis_1876213: postnatal adult; Adra2atm1.1(KOMP)Vlcg/Adra2a+ (more )
Structure Level Pattern Image Note
TS28: metanephros Present UC Davis_1876213 kidney

Specimen UC Davis_1876214: postnatal adult; Adra2atm1.1(KOMP)Vlcg/Adra2a+ (more )
Structure Level Pattern Image Note
TS28: metanephros Present UC Davis_1876214 kidney

Specimen UC Davis_1876215: postnatal adult; Adra2atm1.1(KOMP)Vlcg/Adra2a+ (more )
Structure Level Pattern Image Note
TS28: sciatic nerve Present UC Davis_1876215

Specimen UC Davis_1876216: postnatal adult; Adra2atm1.1(KOMP)Vlcg/Adra2a+ (more )
Structure Level Pattern Image Note
TS28: sciatic nerve Present UC Davis_1876216

Specimen UC Davis_1876217: postnatal adult; Adra2atm1.1(KOMP)Vlcg/Adra2a+ (more )
Structure Level Pattern Image Note
TS28: sciatic nerve Present UC Davis_1876217

Specimen UC Davis_1876218: postnatal adult; Adra2atm1.1(KOMP)Vlcg/Adra2a+ (more )
Structure Level Pattern Image Note
TS28: tongue Present UC Davis_1876218

Specimen UC Davis_1876219: postnatal adult; Adra2atm1.1(KOMP)Vlcg/Adra2a+ (more )
Structure Level Pattern Image Note
TS28: tongue Present UC Davis_1876219

Specimen UC Davis_1876220: postnatal adult; Adra2atm1.1(KOMP)Vlcg/Adra2a+ (more )
Structure Level Pattern Image Note
TS28: tongue Present UC Davis_1876220

Specimen UC Davis_1876221: postnatal adult; Adra2atm1.1(KOMP)Vlcg/Adra2a+ (more )
Structure Level Pattern Image Note
TS28: spinal cord Present UC Davis_1876221

Specimen UC Davis_1876222: postnatal adult; Adra2atm1.1(KOMP)Vlcg/Adra2a+ (more )
Structure Level Pattern Image Note
TS28: eye Present UC Davis_1876222

Specimen UC Davis_1876223: postnatal adult; Adra2atm1.1(KOMP)Vlcg/Adra2a+ (more )
Structure Level Pattern Image Note
TS28: eye Present UC Davis_1876223

Specimen UC Davis_1876224: postnatal adult; Adra2atm1.1(KOMP)Vlcg/Adra2a+ (more )
Structure Level Pattern Image Note
TS28: gonadal fat pad Present UC Davis_1876224

Specimen UC Davis_1876225: postnatal adult; Adra2atm1.1(KOMP)Vlcg/Adra2a+ (more )
Structure Level Pattern Image Note
TS28: skin Present UC Davis_1876225

Specimen UC Davis_1876226: postnatal adult; Adra2atm1.1(KOMP)Vlcg/Adra2a+ (more )
Structure Level Pattern Image Note
TS28: skin Present UC Davis_1876226

Specimen UC Davis_1876227: postnatal adult; Adra2atm1.1(KOMP)Vlcg/Adra2a+ (more )
Structure Level Pattern Image Note
TS28: olfactory lobe Present UC Davis_1876227

Specimen UC Davis_1876231: postnatal adult; Adra2atm1.1(KOMP)Vlcg/Adra2a+ (more )
Structure Level Pattern Image Note
TS28: midbrain Present UC Davis_1876231

Specimen UC Davis_1876233: postnatal adult; Adra2atm1.1(KOMP)Vlcg/Adra2a+ (more )
Structure Level Pattern Image Note
TS28: cerebellum Present UC Davis_1876233

Specimen UC Davis_1876234: postnatal adult; Adra2atm1.1(KOMP)Vlcg/Adra2a+ (more )
Structure Level Pattern Image Note
TS28: cerebellum Present UC Davis_1876234

Specimen UC Davis_1876235: postnatal adult; Adra2atm1.1(KOMP)Vlcg/Adra2a+ (more )
Structure Level Pattern Image Note
TS28: trigeminal nerve Present UC Davis_1876235

Specimen UC Davis_1876236: postnatal adult; Adra2atm1.1(KOMP)Vlcg/Adra2a+ (more )
Structure Level Pattern Image Note
TS28: oviduct Present UC Davis_1876236

Specimen UC Davis_1876237: postnatal adult; Adra2atm1.1(KOMP)Vlcg/Adra2a+ (more )
Structure Level Pattern Image Note
TS28: oviduct Present UC Davis_1876237

Specimen UC Davis_1876238: postnatal adult; Adra2atm1.1(KOMP)Vlcg/Adra2a+ (more )
Structure Level Pattern Image Note
TS28: oviduct Present UC Davis_1876238

Specimen UC Davis_1876239: postnatal adult; Adra2atm1.1(KOMP)Vlcg/Adra2a+ (more )
Structure Level Pattern Image Note
TS28: oviduct Present UC Davis_1876239

Specimen UC Davis_1876240: postnatal adult; Adra2atm1.1(KOMP)Vlcg/Adra2a+ (more )
Structure Level Pattern Image Note
TS28: uterus Present UC Davis_1876240

Specimen UC Davis_1876241: postnatal adult; Adra2atm1.1(KOMP)Vlcg/Adra2a+ (more )
Structure Level Pattern Image Note
TS28: uterus Present UC Davis_1876241

Specimen UC Davis_1876242: postnatal adult; Adra2atm1.1(KOMP)Vlcg/Adra2a+ (more )
Structure Level Pattern Image Note
TS28: uterus Present UC Davis_1876242

Specimen UC Davis_1876243: postnatal adult; Adra2atm1.1(KOMP)Vlcg/Adra2a+ (more )
Structure Level Pattern Image Note
TS28: bladder Present UC Davis_1876243

Specimen UC Davis_1876244: postnatal adult; Adra2atm1.1(KOMP)Vlcg/Adra2a+ (more )
Structure Level Pattern Image Note
TS28: bladder Present UC Davis_1876244

Specimen UC Davis_1876245: postnatal adult; Adra2atm1.1(KOMP)Vlcg/Adra2a+ (more )
Structure Level Pattern Image Note
TS28: mammary gland Present UC Davis_1876245

Specimen UC Davis_1876246: postnatal adult; Adra2atm1.1(KOMP)Vlcg/Adra2a+ (more )
Structure Level Pattern Image Note
TS28: mammary gland Present UC Davis_1876246

Specimen UC Davis_1876247: postnatal adult; Adra2atm1.1(KOMP)Vlcg/Adra2a+ (more )
Structure Level Pattern Image Note
TS28: trachea Present UC Davis_1876247

Specimen UC Davis_1876248: postnatal adult; Adra2atm1.1(KOMP)Vlcg/Adra2a+ (more )
Structure Level Pattern Image Note
TS28: esophagus Present UC Davis_1876248

Specimen UC Davis_1876250: postnatal adult; Adra2atm1.1(KOMP)Vlcg/Adra2a+ (more )
Structure Level Pattern Image Note
TS28: thymus Present UC Davis_1876250

Specimen UC Davis_1876251: postnatal adult; Adra2atm1.1(KOMP)Vlcg/Adra2a+ (more )
Structure Level Pattern Image Note
TS28: mesenteric lymph node Present UC Davis_1876251

Specimen UC Davis_1876252: postnatal adult; Adra2atm1.1(KOMP)Vlcg/Adra2a+ (more )
Structure Level Pattern Image Note
TS28: stomach Present UC Davis_1876252

Specimen UC Davis_1876253: postnatal adult; Adra2atm1.1(KOMP)Vlcg/Adra2a+ (more )
Structure Level Pattern Image Note
TS28: stomach Present UC Davis_1876253

Specimen UC Davis_1876254: postnatal adult; Adra2atm1.1(KOMP)Vlcg/Adra2a+ (more )
Structure Level Pattern Image Note
TS28: stomach Present UC Davis_1876254

Specimen UC Davis_1876255: postnatal adult; Adra2atm1.1(KOMP)Vlcg/Adra2a+ (more )
Structure Level Pattern Image Note
TS28: stomach Present UC Davis_1876255

Specimen UC Davis_1876256: postnatal adult; Adra2atm1.1(KOMP)Vlcg/Adra2a+ (more )
Structure Level Pattern Image Note
TS28: duodenum Present UC Davis_1876256

Specimen UC Davis_1876257: postnatal adult; Adra2atm1.1(KOMP)Vlcg/Adra2a+ (more )
Structure Level Pattern Image Note
TS28: duodenum Present UC Davis_1876257

Specimen UC Davis_1876258: postnatal adult; Adra2atm1.1(KOMP)Vlcg/Adra2a+ (more )
Structure Level Pattern Image Note
TS28: ileum Present UC Davis_1876258

Specimen UC Davis_1876259: postnatal adult; Adra2atm1.1(KOMP)Vlcg/Adra2a+ (more )
Structure Level Pattern Image Note
TS28: ileum Present UC Davis_1876259

Specimen UC Davis_1876260: postnatal adult; Adra2atm1.1(KOMP)Vlcg/Adra2a+ (more )
Structure Level Pattern Image Note
TS28: colon Present UC Davis_1876260

Specimen UC Davis_1876261: postnatal adult; Adra2atm1.1(KOMP)Vlcg/Adra2a+ (more )
Structure Level Pattern Image Note
TS28: cecum Present UC Davis_1876261

Specimen UC Davis_1876262: postnatal adult; Adra2atm1.1(KOMP)Vlcg/Adra2a+ (more )
Structure Level Pattern Image Note
TS28: pancreas Present UC Davis_1876262

Specimen UC Davis_1876263: postnatal adult; Adra2atm1.1(KOMP)Vlcg/Adra2a+ (more )
Structure Level Pattern Image Note
TS28: pancreas Present UC Davis_1876263

Specimen UC Davis_1876264: postnatal adult; Adra2atm1.1(KOMP)Vlcg/Adra2a+ (more )
Structure Level Pattern Image Note
TS28: liver Present UC Davis_1876264

Specimen UC Davis_1876265: postnatal adult; Adra2atm1.1(KOMP)Vlcg/Adra2a+ (more )
Structure Level Pattern Image Note
TS28: metanephros Present UC Davis_1876265 kidney

Specimen UC Davis_1876266: postnatal adult; Adra2atm1.1(KOMP)Vlcg/Adra2a+ (more )
Structure Level Pattern Image Note
TS28: metanephros Present UC Davis_1876266 kidney

Specimen UC Davis_1876267: postnatal adult; Adra2atm1.1(KOMP)Vlcg/Adra2a+ (more )
Structure Level Pattern Image Note
TS28: quadriceps femoris muscle Present UC Davis_1876267

Specimen UC Davis_1876268: postnatal adult; Adra2atm1.1(KOMP)Vlcg/Adra2a+ (more )
Structure Level Pattern Image Note
TS28: sciatic nerve Present UC Davis_1876268

Specimen UC Davis_1876269: postnatal adult; Adra2atm1.1(KOMP)Vlcg/Adra2a+ (more )
Structure Level Pattern Image Note
TS28: sciatic nerve Present UC Davis_1876269

Specimen UC Davis_1876270: postnatal adult; Adra2atm1.1(KOMP)Vlcg/Adra2a+ (more )
Structure Level Pattern Image Note
TS28: tongue Present UC Davis_1876270

Specimen UC Davis_1876271: postnatal adult; Adra2atm1.1(KOMP)Vlcg/Adra2a+ (more )
Structure Level Pattern Image Note
TS28: tongue Present UC Davis_1876271

Specimen UC Davis_1876272: postnatal adult; Adra2atm1.1(KOMP)Vlcg/Adra2a+ (more )
Structure Level Pattern Image Note
TS28: tongue Present UC Davis_1876272

Specimen UC Davis_1876273: postnatal adult; Adra2atm1.1(KOMP)Vlcg/Adra2a+ (more )
Structure Level Pattern Image Note
TS28: spinal cord Present UC Davis_1876273

Specimen UC Davis_1876274: postnatal adult; Adra2atm1.1(KOMP)Vlcg/Adra2a+ (more )
Structure Level Pattern Image Note
TS28: spinal cord Present UC Davis_1876274

Specimen UC Davis_1876275: postnatal adult; Adra2atm1.1(KOMP)Vlcg/Adra2a+ (more )
Structure Level Pattern Image Note
TS28: eye Present UC Davis_1876275

Specimen UC Davis_1876276: postnatal adult; Adra2atm1.1(KOMP)Vlcg/Adra2a+ (more )
Structure Level Pattern Image Note
TS28: eye Present UC Davis_1876276

Specimen UC Davis_1876278: postnatal adult; Adra2atm1.1(KOMP)Vlcg/Adra2a+ (more )
Structure Level Pattern Image Note
TS28: gonadal fat pad Present UC Davis_1876278

Specimen UC Davis_1876279: postnatal adult; Adra2atm1.1(KOMP)Vlcg/Adra2a+ (more )
Structure Level Pattern Image Note
TS28: skin Present UC Davis_1876279

Specimen UC Davis_1876280: postnatal adult; Adra2atm1.1(KOMP)Vlcg/Adra2a+ (more )
Structure Level Pattern Image Note
TS28: skin Present UC Davis_1876280

Specimen UC Davis_1876281: postnatal adult; Adra2atm1.1(KOMP)Vlcg/Adra2a+ (more )
Structure Level Pattern Image Note
TS28: brown fat Present UC Davis_1876281

Specimen UC Davis_1876282: postnatal adult; Adra2atm1.1(KOMP)Vlcg/Adra2a+ (more )
Structure Level Pattern Image Note
TS28: olfactory lobe Present UC Davis_1876282

Specimen UC Davis_1876285: postnatal adult; Adra2atm1.1(KOMP)Vlcg/Adra2a+ (more )
Structure Level Pattern Image Note
TS28: midbrain Present UC Davis_1876285

Specimen UC Davis_1876287: postnatal adult; Adra2atm1.1(KOMP)Vlcg/Adra2a+ (more )
Structure Level Pattern Image Note
TS28: cerebellum Present UC Davis_1876287

Specimen UC Davis_1876288: postnatal adult; Adra2atm1.1(KOMP)Vlcg/Adra2a+ (more )
Structure Level Pattern Image Note
TS28: trigeminal nerve Present UC Davis_1876288

Specimen UC Davis_1876289: postnatal adult; Adra2atm1.1(KOMP)Vlcg/Adra2a+ (more )
Structure Level Pattern Image Note
TS28: trigeminal nerve Present UC Davis_1876289

Specimen UC Davis_1876290: postnatal adult; Adra2atm1.1(KOMP)Vlcg/Adra2a+ (more )
Structure Level Pattern Image Note
TS28: testis Present UC Davis_1876290

Specimen UC Davis_1876291: postnatal adult; Adra2atm1.1(KOMP)Vlcg/Adra2a+ (more )
Structure Level Pattern Image Note
TS28: testis Present UC Davis_1876291

Specimen UC Davis_1876292: postnatal adult; Adra2atm1.1(KOMP)Vlcg/Adra2a+ (more )
Structure Level Pattern Image Note
TS28: epididymis Present UC Davis_1876292

Specimen UC Davis_1876293: postnatal adult; Adra2atm1.1(KOMP)Vlcg/Adra2a+ (more )
Structure Level Pattern Image Note
TS28: epididymis Present UC Davis_1876293

Specimen UC Davis_1876294: postnatal adult; Adra2atm1.1(KOMP)Vlcg/Adra2a+ (more )
Structure Level Pattern Image Note
TS28: prostate gland Present UC Davis_1876294

Specimen UC Davis_1876295: postnatal adult; Adra2atm1.1(KOMP)Vlcg/Adra2a+ (more )
Structure Level Pattern Image Note
TS28: prostate gland Present UC Davis_1876295

Specimen UC Davis_1876296: postnatal adult; Adra2atm1.1(KOMP)Vlcg/Adra2a+ (more )
Structure Level Pattern Image Note
TS28: penis Present UC Davis_1876296

Specimen UC Davis_1876297: postnatal adult; Adra2atm1.1(KOMP)Vlcg/Adra2a+ (more )
Structure Level Pattern Image Note
TS28: penis Present UC Davis_1876297

Specimen UC Davis_1876298: postnatal adult; Adra2atm1.1(KOMP)Vlcg/Adra2a+ (more )
Structure Level Pattern Image Note
TS28: penis Present UC Davis_1876298

Specimen UC Davis_1876299: postnatal adult; Adra2atm1.1(KOMP)Vlcg/Adra2a+ (more )
Structure Level Pattern Image Note
TS28: ductus deferens Present UC Davis_1876299 vas deferens

Specimen UC Davis_1876302: postnatal adult; Adra2atm1.1(KOMP)Vlcg/Adra2a+ (more )
Structure Level Pattern Image Note
TS28: seminal vesicle Present UC Davis_1876302 vesicular gland

Specimen UC Davis_1876303: postnatal adult; Adra2atm1.1(KOMP)Vlcg/Adra2a+ (more )
Structure Level Pattern Image Note
TS28: seminal vesicle Present UC Davis_1876303 vesicular gland


Contributing Projects:
Mouse Genome Database (MGD), Gene Expression Database (GXD), Mouse Models of Human Cancer database (MMHCdb) (formerly Mouse Tumor Biology (MTB)), Gene Ontology (GO)
Citing These Resources
Funding Information
Warranty Disclaimer, Privacy Notice, Licensing, & Copyright
Send questions and comments to User Support.
last database update
01/20/2026
MGI 6.24
The Jackson Laboratory