About   Help   FAQ
Gene Expression Data
Assay Details
Assay
Reference: J:228563 Koscielny G, et al., The International Mouse Phenotyping Consortium Web Portal, a unified point of access for knockout mice and related phenotyping data. Nucleic Acids Res. 2014 Jan;42(Database issue):D802-9
Assay type: In situ reporter (knock in)
MGI Accession ID: MGI:6692965
Gene symbol: Adcy6
Gene name: adenylate cyclase 6
Reporter: lacZ
Direct Detection
Results
Specimen UC Davis_1882817: postnatal adult; Adcy6tm1.1(KOMP)Vlcg/Adcy6+ (more )
Structure Level Pattern Image Note
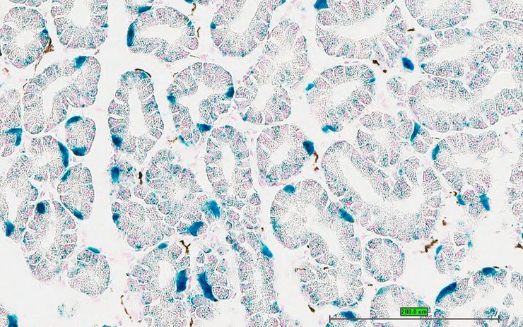
TS28: submandibular gland Present UC Davis_1882817

Specimen UC Davis_1882818: postnatal adult; Adcy6tm1.1(KOMP)Vlcg/Adcy6+ (more )
Structure Level Pattern Image Note
TS28: submandibular gland Present UC Davis_1882818

Specimen UC Davis_1882819: postnatal adult; Adcy6tm1.1(KOMP)Vlcg/Adcy6+ (more )
Structure Level Pattern Image Note
TS28: sublingual gland Present UC Davis_1882819

Specimen UC Davis_1882820: postnatal adult; Adcy6tm1.1(KOMP)Vlcg/Adcy6+ (more )
Structure Level Pattern Image Note
TS28: sublingual gland Present UC Davis_1882820

Specimen UC Davis_1882821: postnatal adult; Adcy6tm1.1(KOMP)Vlcg/Adcy6+ (more )
Structure Level Pattern Image Note
TS28: parotid gland Present UC Davis_1882821

Specimen UC Davis_1882822: postnatal adult; Adcy6tm1.1(KOMP)Vlcg/Adcy6+ (more )
Structure Level Pattern Image Note
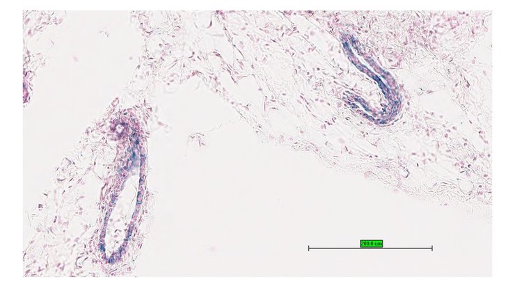
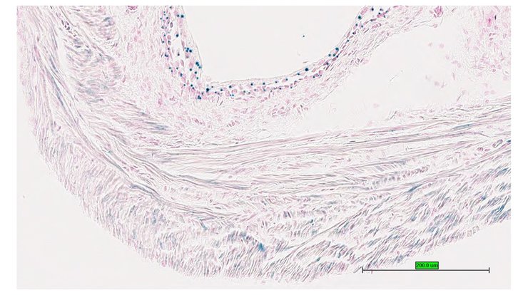
TS28: trachea Present UC Davis_1882822

Specimen UC Davis_1882823: postnatal adult; Adcy6tm1.1(KOMP)Vlcg/Adcy6+ (more )
Structure Level Pattern Image Note
TS28: thyroid gland Present UC Davis_1882823

Specimen UC Davis_1882824: postnatal adult; Adcy6tm1.1(KOMP)Vlcg/Adcy6+ (more )
Structure Level Pattern Image Note
TS28: thyroid gland Present UC Davis_1882824

Specimen UC Davis_1882825: postnatal adult; Adcy6tm1.1(KOMP)Vlcg/Adcy6+ (more )
Structure Level Pattern Image Note
TS28: lung Present UC Davis_1882825

Specimen UC Davis_1882826: postnatal adult; Adcy6tm1.1(KOMP)Vlcg/Adcy6+ (more )
Structure Level Pattern Image Note
TS28: lung Present UC Davis_1882826

Specimen UC Davis_1882827: postnatal adult; Adcy6tm1.1(KOMP)Vlcg/Adcy6+ (more )
Structure Level Pattern Image Note
TS28: lung Present UC Davis_1882827

Specimen UC Davis_1882830: postnatal adult; Adcy6tm1.1(KOMP)Vlcg/Adcy6+ (more )
Structure Level Pattern Image Note
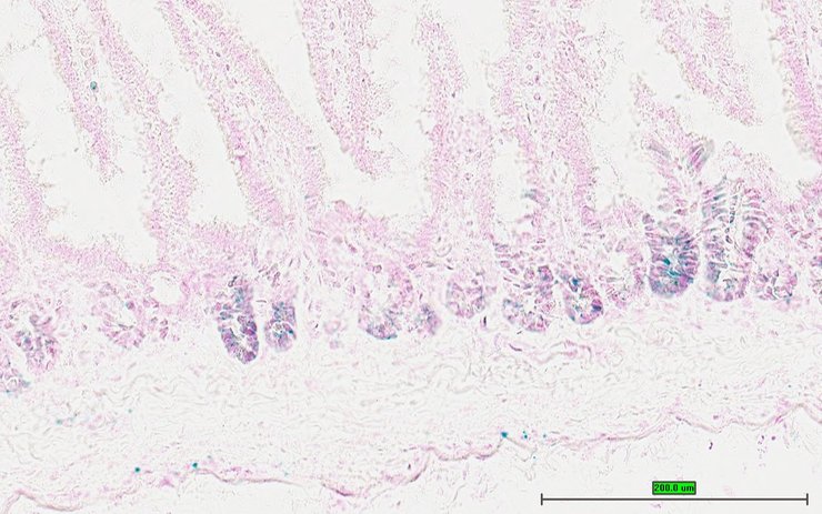
TS28: stomach Present UC Davis_1882830

Specimen UC Davis_1882831: postnatal adult; Adcy6tm1.1(KOMP)Vlcg/Adcy6+ (more )
Structure Level Pattern Image Note
TS28: stomach Present UC Davis_1882831

Specimen UC Davis_1882832: postnatal adult; Adcy6tm1.1(KOMP)Vlcg/Adcy6+ (more )
Structure Level Pattern Image Note
TS28: stomach Present UC Davis_1882832

Specimen UC Davis_1882833: postnatal adult; Adcy6tm1.1(KOMP)Vlcg/Adcy6+ (more )
Structure Level Pattern Image Note
TS28: stomach Present UC Davis_1882833

Specimen UC Davis_1882834: postnatal adult; Adcy6tm1.1(KOMP)Vlcg/Adcy6+ (more )
Structure Level Pattern Image Note
TS28: duodenum Present UC Davis_1882834

Specimen UC Davis_1882835: postnatal adult; Adcy6tm1.1(KOMP)Vlcg/Adcy6+ (more )
Structure Level Pattern Image Note
TS28: duodenum Present UC Davis_1882835

Specimen UC Davis_1882836: postnatal adult; Adcy6tm1.1(KOMP)Vlcg/Adcy6+ (more )
Structure Level Pattern Image Note
TS28: ileum Present UC Davis_1882836

Specimen UC Davis_1882837: postnatal adult; Adcy6tm1.1(KOMP)Vlcg/Adcy6+ (more )
Structure Level Pattern Image Note
TS28: ileum Present UC Davis_1882837

Specimen UC Davis_1882838: postnatal adult; Adcy6tm1.1(KOMP)Vlcg/Adcy6+ (more )
Structure Level Pattern Image Note
TS28: colon Present UC Davis_1882838

Specimen UC Davis_1882839: postnatal adult; Adcy6tm1.1(KOMP)Vlcg/Adcy6+ (more )
Structure Level Pattern Image Note
TS28: colon Present UC Davis_1882839

Specimen UC Davis_1882840: postnatal adult; Adcy6tm1.1(KOMP)Vlcg/Adcy6+ (more )
Structure Level Pattern Image Note
TS28: cecum Present UC Davis_1882840

Specimen UC Davis_1882841: postnatal adult; Adcy6tm1.1(KOMP)Vlcg/Adcy6+ (more )
Structure Level Pattern Image Note
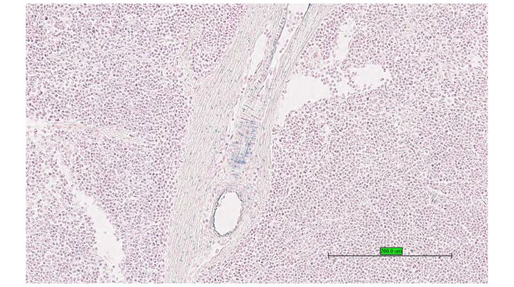
TS28: spleen Present UC Davis_1882841

Specimen UC Davis_1882842: postnatal adult; Adcy6tm1.1(KOMP)Vlcg/Adcy6+ (more )
Structure Level Pattern Image Note
TS28: spleen Present UC Davis_1882842

Specimen UC Davis_1882843: postnatal adult; Adcy6tm1.1(KOMP)Vlcg/Adcy6+ (more )
Structure Level Pattern Image Note
TS28: pancreas Present UC Davis_1882843

Specimen UC Davis_1882844: postnatal adult; Adcy6tm1.1(KOMP)Vlcg/Adcy6+ (more )
Structure Level Pattern Image Note
TS28: liver Present UC Davis_1882844

Specimen UC Davis_1882845: postnatal adult; Adcy6tm1.1(KOMP)Vlcg/Adcy6+ (more )
Structure Level Pattern Image Note
TS28: metanephros Present UC Davis_1882845 kidney

Specimen UC Davis_1882846: postnatal adult; Adcy6tm1.1(KOMP)Vlcg/Adcy6+ (more )
Structure Level Pattern Image Note
TS28: metanephros Present UC Davis_1882846 kidney

Specimen UC Davis_1882847: postnatal adult; Adcy6tm1.1(KOMP)Vlcg/Adcy6+ (more )
Structure Level Pattern Image Note
TS28: metanephros Present UC Davis_1882847 kidney

Specimen UC Davis_1882848: postnatal adult; Adcy6tm1.1(KOMP)Vlcg/Adcy6+ (more )
Structure Level Pattern Image Note
TS28: metanephros Present UC Davis_1882848 kidney

Specimen UC Davis_1882849: postnatal adult; Adcy6tm1.1(KOMP)Vlcg/Adcy6+ (more )
Structure Level Pattern Image Note
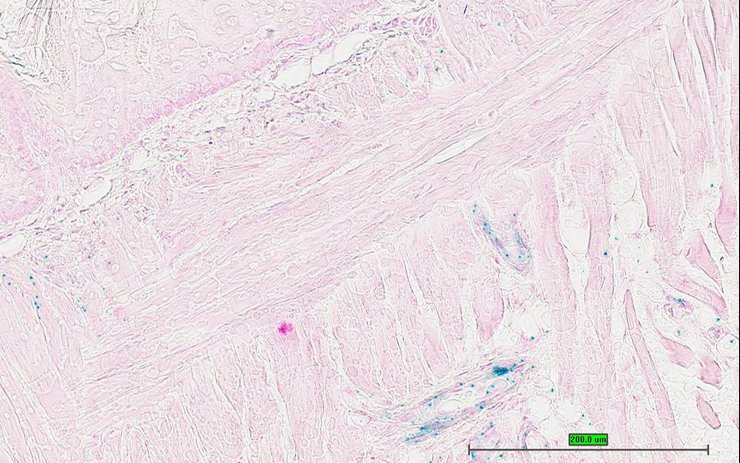
TS28: quadriceps femoris muscle Present UC Davis_1882849

Specimen UC Davis_1882850: postnatal adult; Adcy6tm1.1(KOMP)Vlcg/Adcy6+ (more )
Structure Level Pattern Image Note
TS28: quadriceps femoris muscle Present UC Davis_1882850

Specimen UC Davis_1882851: postnatal adult; Adcy6tm1.1(KOMP)Vlcg/Adcy6+ (more )
Structure Level Pattern Image Note
TS28: tongue Present UC Davis_1882851

Specimen UC Davis_1882852: postnatal adult; Adcy6tm1.1(KOMP)Vlcg/Adcy6+ (more )
Structure Level Pattern Image Note
TS28: tongue Present UC Davis_1882852

Specimen UC Davis_1882853: postnatal adult; Adcy6tm1.1(KOMP)Vlcg/Adcy6+ (more )
Structure Level Pattern Image Note
TS28: tongue Present UC Davis_1882853

Specimen UC Davis_1882854: postnatal adult; Adcy6tm1.1(KOMP)Vlcg/Adcy6+ (more )
Structure Level Pattern Image Note
TS28: adrenal gland Present UC Davis_1882854

Specimen UC Davis_1882855: postnatal adult; Adcy6tm1.1(KOMP)Vlcg/Adcy6+ (more )
Structure Level Pattern Image Note
TS28: adrenal gland Present UC Davis_1882855

Specimen UC Davis_1882856: postnatal adult; Adcy6tm1.1(KOMP)Vlcg/Adcy6+ (more )
Structure Level Pattern Image Note
TS28: adrenal gland Present UC Davis_1882856

Specimen UC Davis_1882857: postnatal adult; Adcy6tm1.1(KOMP)Vlcg/Adcy6+ (more )
Structure Level Pattern Image Note
TS28: adrenal gland Present UC Davis_1882857

Specimen UC Davis_1882858: postnatal adult; Adcy6tm1.1(KOMP)Vlcg/Adcy6+ (more )
Structure Level Pattern Image Note
TS28: pituitary gland Present UC Davis_1882858

Specimen UC Davis_1882859: postnatal adult; Adcy6tm1.1(KOMP)Vlcg/Adcy6+ (more )
Structure Level Pattern Image Note
TS28: spinal cord Present UC Davis_1882859

Specimen UC Davis_1882860: postnatal adult; Adcy6tm1.1(KOMP)Vlcg/Adcy6+ (more )
Structure Level Pattern Image Note
TS28: spinal cord Present UC Davis_1882860

Specimen UC Davis_1882861: postnatal adult; Adcy6tm1.1(KOMP)Vlcg/Adcy6+ (more )
Structure Level Pattern Image Note
TS28: eye Present UC Davis_1882861

Specimen UC Davis_1882862: postnatal adult; Adcy6tm1.1(KOMP)Vlcg/Adcy6+ (more )
Structure Level Pattern Image Note
TS28: eye Present UC Davis_1882862

Specimen UC Davis_1882863: postnatal adult; Adcy6tm1.1(KOMP)Vlcg/Adcy6+ (more )
Structure Level Pattern Image Note
TS28: Harderian gland Present UC Davis_1882863

Specimen UC Davis_1882864: postnatal adult; Adcy6tm1.1(KOMP)Vlcg/Adcy6+ (more )
Structure Level Pattern Image Note
TS28: Harderian gland Present UC Davis_1882864

Specimen UC Davis_1882865: postnatal adult; Adcy6tm1.1(KOMP)Vlcg/Adcy6+ (more )
Structure Level Pattern Image Note
TS28: Harderian gland Present UC Davis_1882865

Specimen UC Davis_1882866: postnatal adult; Adcy6tm1.1(KOMP)Vlcg/Adcy6+ (more )
Structure Level Pattern Image Note
TS28: Harderian gland Present UC Davis_1882866

Specimen UC Davis_1882867: postnatal adult; Adcy6tm1.1(KOMP)Vlcg/Adcy6+ (more )
Structure Level Pattern Image Note
TS28: Harderian gland Present UC Davis_1882867

Specimen UC Davis_1882868: postnatal adult; Adcy6tm1.1(KOMP)Vlcg/Adcy6+ (more )
Structure Level Pattern Image Note
TS28: Harderian gland Present UC Davis_1882868

Specimen UC Davis_1882869: postnatal adult; Adcy6tm1.1(KOMP)Vlcg/Adcy6+ (more )
Structure Level Pattern Image Note
TS28: gonadal fat pad Present UC Davis_1882869

Specimen UC Davis_1882870: postnatal adult; Adcy6tm1.1(KOMP)Vlcg/Adcy6+ (more )
Structure Level Pattern Image Note
TS28: mesenteric adipose tissue Present UC Davis_1882870

Specimen UC Davis_1882871: postnatal adult; Adcy6tm1.1(KOMP)Vlcg/Adcy6+ (more )
Structure Level Pattern Image Note
TS28: brown fat Present UC Davis_1882871

Specimen UC Davis_1882872: postnatal adult; Adcy6tm1.1(KOMP)Vlcg/Adcy6+ (more )
Structure Level Pattern Image Note
TS28: brown fat Present UC Davis_1882872

Specimen UC Davis_1882873: postnatal adult; Adcy6tm1.1(KOMP)Vlcg/Adcy6+ (more )
Structure Level Pattern Image Note
TS28: olfactory lobe Present UC Davis_1882873

Specimen UC Davis_1882876: postnatal adult; Adcy6tm1.1(KOMP)Vlcg/Adcy6+ (more )
Structure Level Pattern Image Note
TS28: midbrain Present UC Davis_1882876

Specimen UC Davis_1882878: postnatal adult; Adcy6tm1.1(KOMP)Vlcg/Adcy6+ (more )
Structure Level Pattern Image Note
TS28: cerebellum Present UC Davis_1882878

Specimen UC Davis_1882879: postnatal adult; Adcy6tm1.1(KOMP)Vlcg/Adcy6+ (more )
Structure Level Pattern Image Note
TS28: trigeminal nerve Present UC Davis_1882879

Specimen UC Davis_1882880: postnatal adult; Adcy6tm1.1(KOMP)Vlcg/Adcy6+ (more )
Structure Level Pattern Image Note
TS28: oviduct Present UC Davis_1882880

Specimen UC Davis_1882881: postnatal adult; Adcy6tm1.1(KOMP)Vlcg/Adcy6+ (more )
Structure Level Pattern Image Note
TS28: oviduct Present UC Davis_1882881

Specimen UC Davis_1882882: postnatal adult; Adcy6tm1.1(KOMP)Vlcg/Adcy6+ (more )
Structure Level Pattern Image Note
TS28: uterus Present UC Davis_1882882

Specimen UC Davis_1882883: postnatal adult; Adcy6tm1.1(KOMP)Vlcg/Adcy6+ (more )
Structure Level Pattern Image Note
TS28: uterus Present UC Davis_1882883

Specimen UC Davis_1882884: postnatal adult; Adcy6tm1.1(KOMP)Vlcg/Adcy6+ (more )
Structure Level Pattern Image Note
TS28: vagina Present UC Davis_1882884

Specimen UC Davis_1882885: postnatal adult; Adcy6tm1.1(KOMP)Vlcg/Adcy6+ (more )
Structure Level Pattern Image Note
TS28: vagina Present UC Davis_1882885

Specimen UC Davis_1882886: postnatal adult; Adcy6tm1.1(KOMP)Vlcg/Adcy6+ (more )
Structure Level Pattern Image Note
TS28: bladder Present UC Davis_1882886

Specimen UC Davis_1882887: postnatal adult; Adcy6tm1.1(KOMP)Vlcg/Adcy6+ (more )
Structure Level Pattern Image Note
TS28: mammary gland Present UC Davis_1882887

Specimen UC Davis_1882888: postnatal adult; Adcy6tm1.1(KOMP)Vlcg/Adcy6+ (more )
Structure Level Pattern Image Note
TS28: submandibular gland Present UC Davis_1882888

Specimen UC Davis_1882889: postnatal adult; Adcy6tm1.1(KOMP)Vlcg/Adcy6+ (more )
Structure Level Pattern Image Note
TS28: submandibular gland Present UC Davis_1882889

Specimen UC Davis_1882890: postnatal adult; Adcy6tm1.1(KOMP)Vlcg/Adcy6+ (more )
Structure Level Pattern Image Note
TS28: sublingual gland Present UC Davis_1882890

Specimen UC Davis_1882891: postnatal adult; Adcy6tm1.1(KOMP)Vlcg/Adcy6+ (more )
Structure Level Pattern Image Note
TS28: parotid gland Present UC Davis_1882891

Specimen UC Davis_1882893: postnatal adult; Adcy6tm1.1(KOMP)Vlcg/Adcy6+ (more )
Structure Level Pattern Image Note
TS28: trachea Present UC Davis_1882893

Specimen UC Davis_1882894: postnatal adult; Adcy6tm1.1(KOMP)Vlcg/Adcy6+ (more )
Structure Level Pattern Image Note
TS28: esophagus Present UC Davis_1882894

Specimen UC Davis_1882895: postnatal adult; Adcy6tm1.1(KOMP)Vlcg/Adcy6+ (more )
Structure Level Pattern Image Note
TS28: thyroid gland Present UC Davis_1882895

Specimen UC Davis_1882897: postnatal adult; Adcy6tm1.1(KOMP)Vlcg/Adcy6+ (more )
Structure Level Pattern Image Note
TS28: parathyroid gland Present UC Davis_1882897

Specimen UC Davis_1882898: postnatal adult; Adcy6tm1.1(KOMP)Vlcg/Adcy6+ (more )
Structure Level Pattern Image Note
TS28: aorta Present UC Davis_1882898

Specimen UC Davis_1882899: postnatal adult; Adcy6tm1.1(KOMP)Vlcg/Adcy6+ (more )
Structure Level Pattern Image Note
TS28: lung Present UC Davis_1882899

Specimen UC Davis_1882900: postnatal adult; Adcy6tm1.1(KOMP)Vlcg/Adcy6+ (more )
Structure Level Pattern Image Note
TS28: lung Present UC Davis_1882900

Specimen UC Davis_1882901: postnatal adult; Adcy6tm1.1(KOMP)Vlcg/Adcy6+ (more )
Structure Level Pattern Image Note
TS28: thymus Present UC Davis_1882901

Specimen UC Davis_1882906: postnatal adult; Adcy6tm1.1(KOMP)Vlcg/Adcy6+ (more )
Structure Level Pattern Image Note
TS28: stomach Present UC Davis_1882906

Specimen UC Davis_1882907: postnatal adult; Adcy6tm1.1(KOMP)Vlcg/Adcy6+ (more )
Structure Level Pattern Image Note
TS28: stomach Present UC Davis_1882907

Specimen UC Davis_1882908: postnatal adult; Adcy6tm1.1(KOMP)Vlcg/Adcy6+ (more )
Structure Level Pattern Image Note
TS28: stomach Present UC Davis_1882908

Specimen UC Davis_1882909: postnatal adult; Adcy6tm1.1(KOMP)Vlcg/Adcy6+ (more )
Structure Level Pattern Image Note
TS28: duodenum Present UC Davis_1882909

Specimen UC Davis_1882910: postnatal adult; Adcy6tm1.1(KOMP)Vlcg/Adcy6+ (more )
Structure Level Pattern Image Note
TS28: ileum Present UC Davis_1882910

Specimen UC Davis_1882911: postnatal adult; Adcy6tm1.1(KOMP)Vlcg/Adcy6+ (more )
Structure Level Pattern Image Note
TS28: colon Present UC Davis_1882911

Specimen UC Davis_1882912: postnatal adult; Adcy6tm1.1(KOMP)Vlcg/Adcy6+ (more )
Structure Level Pattern Image Note
TS28: spleen Present UC Davis_1882912

Specimen UC Davis_1882913: postnatal adult; Adcy6tm1.1(KOMP)Vlcg/Adcy6+ (more )
Structure Level Pattern Image Note
TS28: spleen Present UC Davis_1882913

Specimen UC Davis_1882914: postnatal adult; Adcy6tm1.1(KOMP)Vlcg/Adcy6+ (more )
Structure Level Pattern Image Note
TS28: pancreas Present UC Davis_1882914

Specimen UC Davis_1882915: postnatal adult; Adcy6tm1.1(KOMP)Vlcg/Adcy6+ (more )
Structure Level Pattern Image Note
TS28: liver Present UC Davis_1882915

Specimen UC Davis_1882916: postnatal adult; Adcy6tm1.1(KOMP)Vlcg/Adcy6+ (more )
Structure Level Pattern Image Note
TS28: liver Present UC Davis_1882916

Specimen UC Davis_1882917: postnatal adult; Adcy6tm1.1(KOMP)Vlcg/Adcy6+ (more )
Structure Level Pattern Image Note
TS28: metanephros Present UC Davis_1882917 kidney

Specimen UC Davis_1882918: postnatal adult; Adcy6tm1.1(KOMP)Vlcg/Adcy6+ (more )
Structure Level Pattern Image Note
TS28: metanephros Present UC Davis_1882918 kidney

Specimen UC Davis_1882919: postnatal adult; Adcy6tm1.1(KOMP)Vlcg/Adcy6+ (more )
Structure Level Pattern Image Note
TS28: metanephros Present UC Davis_1882919 kidney

Specimen UC Davis_1882920: postnatal adult; Adcy6tm1.1(KOMP)Vlcg/Adcy6+ (more )
Structure Level Pattern Image Note
TS28: quadriceps femoris muscle Present UC Davis_1882920

Specimen UC Davis_1882921: postnatal adult; Adcy6tm1.1(KOMP)Vlcg/Adcy6+ (more )
Structure Level Pattern Image Note
TS28: quadriceps femoris muscle Present UC Davis_1882921

Specimen UC Davis_1882922: postnatal adult; Adcy6tm1.1(KOMP)Vlcg/Adcy6+ (more )
Structure Level Pattern Image Note
TS28: tongue Present UC Davis_1882922

Specimen UC Davis_1882923: postnatal adult; Adcy6tm1.1(KOMP)Vlcg/Adcy6+ (more )
Structure Level Pattern Image Note
TS28: tongue Present UC Davis_1882923

Specimen UC Davis_1882924: postnatal adult; Adcy6tm1.1(KOMP)Vlcg/Adcy6+ (more )
Structure Level Pattern Image Note
TS28: diaphragm Present UC Davis_1882924

Specimen UC Davis_1882925: postnatal adult; Adcy6tm1.1(KOMP)Vlcg/Adcy6+ (more )
Structure Level Pattern Image Note
TS28: adrenal gland Present UC Davis_1882925

Specimen UC Davis_1882926: postnatal adult; Adcy6tm1.1(KOMP)Vlcg/Adcy6+ (more )
Structure Level Pattern Image Note
TS28: spinal cord Present UC Davis_1882926

Specimen UC Davis_1882927: postnatal adult; Adcy6tm1.1(KOMP)Vlcg/Adcy6+ (more )
Structure Level Pattern Image Note
TS28: spinal cord Present UC Davis_1882927

Specimen UC Davis_1882928: postnatal adult; Adcy6tm1.1(KOMP)Vlcg/Adcy6+ (more )
Structure Level Pattern Image Note
TS28: eye Present UC Davis_1882928

Specimen UC Davis_1882929: postnatal adult; Adcy6tm1.1(KOMP)Vlcg/Adcy6+ (more )
Structure Level Pattern Image Note
TS28: eye Present UC Davis_1882929

Specimen UC Davis_1882930: postnatal adult; Adcy6tm1.1(KOMP)Vlcg/Adcy6+ (more )
Structure Level Pattern Image Note
TS28: eye Present UC Davis_1882930

Specimen UC Davis_1882932: postnatal adult; Adcy6tm1.1(KOMP)Vlcg/Adcy6+ (more )
Structure Level Pattern Image Note
TS28: Harderian gland Present UC Davis_1882932

Specimen UC Davis_1882933: postnatal adult; Adcy6tm1.1(KOMP)Vlcg/Adcy6+ (more )
Structure Level Pattern Image Note
TS28: Harderian gland Present UC Davis_1882933

Specimen UC Davis_1882934: postnatal adult; Adcy6tm1.1(KOMP)Vlcg/Adcy6+ (more )
Structure Level Pattern Image Note
TS28: gonadal fat pad Present UC Davis_1882934

Specimen UC Davis_1882935: postnatal adult; Adcy6tm1.1(KOMP)Vlcg/Adcy6+ (more )
Structure Level Pattern Image Note
TS28: gonadal fat pad Present UC Davis_1882935

Specimen UC Davis_1882936: postnatal adult; Adcy6tm1.1(KOMP)Vlcg/Adcy6+ (more )
Structure Level Pattern Image Note
TS28: mesenteric adipose tissue Present UC Davis_1882936

Specimen UC Davis_1882937: postnatal adult; Adcy6tm1.1(KOMP)Vlcg/Adcy6+ (more )
Structure Level Pattern Image Note
TS28: mesenteric adipose tissue Present UC Davis_1882937

Specimen UC Davis_1882938: postnatal adult; Adcy6tm1.1(KOMP)Vlcg/Adcy6+ (more )
Structure Level Pattern Image Note
TS28: skin Present UC Davis_1882938

Specimen UC Davis_1882939: postnatal adult; Adcy6tm1.1(KOMP)Vlcg/Adcy6+ (more )
Structure Level Pattern Image Note
TS28: brown fat Present UC Davis_1882939

Specimen UC Davis_1882940: postnatal adult; Adcy6tm1.1(KOMP)Vlcg/Adcy6+ (more )
Structure Level Pattern Image Note
TS28: brown fat Present UC Davis_1882940

Specimen UC Davis_1882941: postnatal adult; Adcy6tm1.1(KOMP)Vlcg/Adcy6+ (more )
Structure Level Pattern Image Note
TS28: olfactory lobe Present UC Davis_1882941

Specimen UC Davis_1882944: postnatal adult; Adcy6tm1.1(KOMP)Vlcg/Adcy6+ (more )
Structure Level Pattern Image Note
TS28: midbrain Present UC Davis_1882944

Specimen UC Davis_1882946: postnatal adult; Adcy6tm1.1(KOMP)Vlcg/Adcy6+ (more )
Structure Level Pattern Image Note
TS28: cerebellum Present UC Davis_1882946

Specimen UC Davis_1882947: postnatal adult; Adcy6tm1.1(KOMP)Vlcg/Adcy6+ (more )
Structure Level Pattern Image Note
TS28: trigeminal nerve Present UC Davis_1882947

Specimen UC Davis_1882948: postnatal adult; Adcy6tm1.1(KOMP)Vlcg/Adcy6+ (more )
Structure Level Pattern Image Note
TS28: trigeminal nerve Present UC Davis_1882948

Specimen UC Davis_1882949: postnatal adult; Adcy6tm1.1(KOMP)Vlcg/Adcy6+ (more )
Structure Level Pattern Image Note
TS28: bladder Present UC Davis_1882949

Specimen UC Davis_1882950: postnatal adult; Adcy6tm1.1(KOMP)Vlcg/Adcy6+ (more )
Structure Level Pattern Image Note
TS28: testis Present UC Davis_1882950

Specimen UC Davis_1882951: postnatal adult; Adcy6tm1.1(KOMP)Vlcg/Adcy6+ (more )
Structure Level Pattern Image Note
TS28: testis Present UC Davis_1882951

Specimen UC Davis_1882952: postnatal adult; Adcy6tm1.1(KOMP)Vlcg/Adcy6+ (more )
Structure Level Pattern Image Note
TS28: epididymis Present UC Davis_1882952

Specimen UC Davis_1882953: postnatal adult; Adcy6tm1.1(KOMP)Vlcg/Adcy6+ (more )
Structure Level Pattern Image Note
TS28: epididymis Present UC Davis_1882953

Specimen UC Davis_1882954: postnatal adult; Adcy6tm1.1(KOMP)Vlcg/Adcy6+ (more )
Structure Level Pattern Image Note
TS28: prostate gland Present UC Davis_1882954

Specimen UC Davis_1882955: postnatal adult; Adcy6tm1.1(KOMP)Vlcg/Adcy6+ (more )
Structure Level Pattern Image Note
TS28: penis Present UC Davis_1882955

Specimen UC Davis_1882956: postnatal adult; Adcy6tm1.1(KOMP)Vlcg/Adcy6+ (more )
Structure Level Pattern Image Note
TS28: penis Present UC Davis_1882956

Specimen UC Davis_1882957: postnatal adult; Adcy6tm1.1(KOMP)Vlcg/Adcy6+ (more )
Structure Level Pattern Image Note
TS28: ductus deferens Present UC Davis_1882957 vas deferens

Specimen UC Davis_1882960: postnatal adult; Adcy6tm1.1(KOMP)Vlcg/Adcy6+ (more )
Structure Level Pattern Image Note
TS28: seminal vesicle Present UC Davis_1882960 vesicular gland

Specimen UC Davis_1882961: postnatal adult; Adcy6tm1.1(KOMP)Vlcg/Adcy6+ (more )
Structure Level Pattern Image Note
TS28: seminal vesicle Present UC Davis_1882961 vesicular gland


Contributing Projects:
Mouse Genome Database (MGD), Gene Expression Database (GXD), Mouse Models of Human Cancer database (MMHCdb) (formerly Mouse Tumor Biology (MTB)), Gene Ontology (GO)
Citing These Resources
Funding Information
Warranty Disclaimer, Privacy Notice, Licensing, & Copyright
Send questions and comments to User Support.
last database update
12/30/2025
MGI 6.24
The Jackson Laboratory