About   Help   FAQ
Gene Expression Data
Assay Details
Assay
Reference: J:228563 Koscielny G, et al., The International Mouse Phenotyping Consortium Web Portal, a unified point of access for knockout mice and related phenotyping data. Nucleic Acids Res. 2014 Jan;42(Database issue):D802-9
Assay type: In situ reporter (knock in)
MGI Accession ID: MGI:6692963
Gene symbol: Acvr1
Gene name: activin A receptor, type 1
Reporter: lacZ
Direct Detection
Results
Specimen UC Davis_1864716: postnatal adult; Acvr1tm1.1(KOMP)Vlcg/Acvr1+ (more )
Structure Level Pattern Image Note
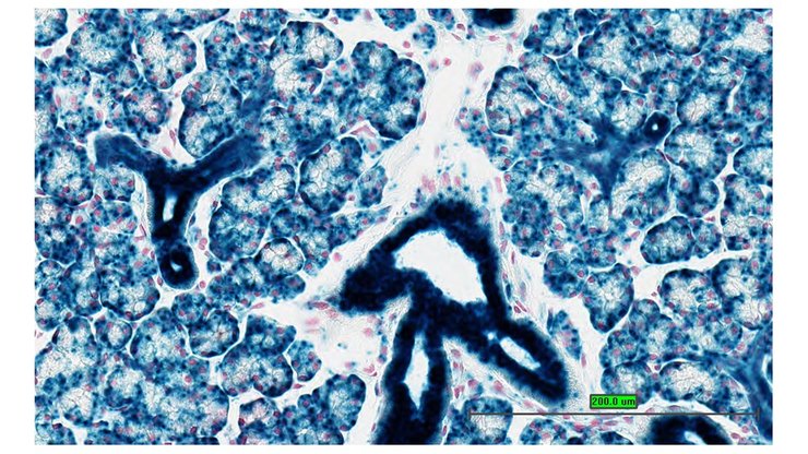
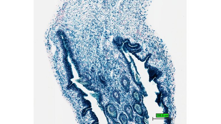
TS28: submandibular gland Present UC Davis_1864716

Specimen UC Davis_1864717: postnatal adult; Acvr1tm1.1(KOMP)Vlcg/Acvr1+ (more )
Structure Level Pattern Image Note
TS28: submandibular gland Present UC Davis_1864717

Specimen UC Davis_1864718: postnatal adult; Acvr1tm1.1(KOMP)Vlcg/Acvr1+ (more )
Structure Level Pattern Image Note
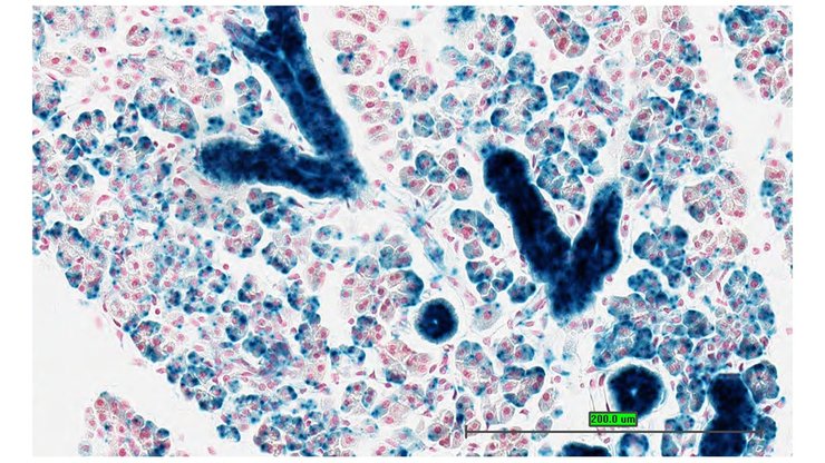
TS28: sublingual gland Present UC Davis_1864718

Specimen UC Davis_1864719: postnatal adult; Acvr1tm1.1(KOMP)Vlcg/Acvr1+ (more )
Structure Level Pattern Image Note
TS28: sublingual gland Present UC Davis_1864719

Specimen UC Davis_1864720: postnatal adult; Acvr1tm1.1(KOMP)Vlcg/Acvr1+ (more )
Structure Level Pattern Image Note
TS28: parotid gland Present UC Davis_1864720

Specimen UC Davis_1864721: postnatal adult; Acvr1tm1.1(KOMP)Vlcg/Acvr1+ (more )
Structure Level Pattern Image Note
TS28: parotid gland Present UC Davis_1864721

Specimen UC Davis_1864722: postnatal adult; Acvr1tm1.1(KOMP)Vlcg/Acvr1+ (more )
Structure Level Pattern Image Note
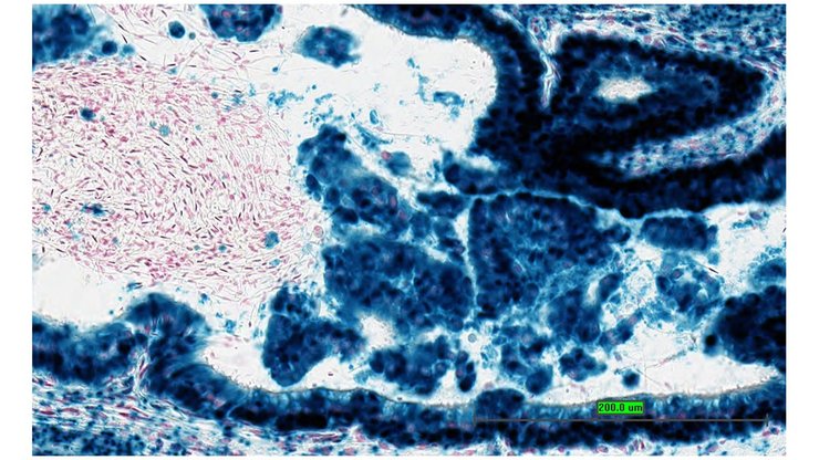
TS28: trachea Present UC Davis_1864722

Specimen UC Davis_1864723: postnatal adult; Acvr1tm1.1(KOMP)Vlcg/Acvr1+ (more )
Structure Level Pattern Image Note
TS28: trachea Present UC Davis_1864723

Specimen UC Davis_1864724: postnatal adult; Acvr1tm1.1(KOMP)Vlcg/Acvr1+ (more )
Structure Level Pattern Image Note
TS28: esophagus Present UC Davis_1864724

Specimen UC Davis_1864725: postnatal adult; Acvr1tm1.1(KOMP)Vlcg/Acvr1+ (more )
Structure Level Pattern Image Note
TS28: esophagus Present UC Davis_1864725

Specimen UC Davis_1864726: postnatal adult; Acvr1tm1.1(KOMP)Vlcg/Acvr1+ (more )
Structure Level Pattern Image Note
TS28: thyroid gland Present UC Davis_1864726

Specimen UC Davis_1864727: postnatal adult; Acvr1tm1.1(KOMP)Vlcg/Acvr1+ (more )
Structure Level Pattern Image Note
TS28: thyroid gland Present UC Davis_1864727

Specimen UC Davis_1864730: postnatal adult; Acvr1tm1.1(KOMP)Vlcg/Acvr1+ (more )
Structure Level Pattern Image Note
TS28: aorta Present UC Davis_1864730

Specimen UC Davis_1864731: postnatal adult; Acvr1tm1.1(KOMP)Vlcg/Acvr1+ (more )
Structure Level Pattern Image Note
TS28: aorta Present UC Davis_1864731

Specimen UC Davis_1864732: postnatal adult; Acvr1tm1.1(KOMP)Vlcg/Acvr1+ (more )
Structure Level Pattern Image Note
TS28: lung Present UC Davis_1864732

Specimen UC Davis_1864733: postnatal adult; Acvr1tm1.1(KOMP)Vlcg/Acvr1+ (more )
Structure Level Pattern Image Note
TS28: lung Present UC Davis_1864733

Specimen UC Davis_1864734: postnatal adult; Acvr1tm1.1(KOMP)Vlcg/Acvr1+ (more )
Structure Level Pattern Image Note
TS28: thymus Present UC Davis_1864734

Specimen UC Davis_1864735: postnatal adult; Acvr1tm1.1(KOMP)Vlcg/Acvr1+ (more )
Structure Level Pattern Image Note
TS28: thymus Present UC Davis_1864735

Specimen UC Davis_1864742: postnatal adult; Acvr1tm1.1(KOMP)Vlcg/Acvr1+ (more )
Structure Level Pattern Image Note
TS28: mesenteric lymph node Present UC Davis_1864742

Specimen UC Davis_1864743: postnatal adult; Acvr1tm1.1(KOMP)Vlcg/Acvr1+ (more )
Structure Level Pattern Image Note
TS28: mesenteric lymph node Present UC Davis_1864743

Specimen UC Davis_1864744: postnatal adult; Acvr1tm1.1(KOMP)Vlcg/Acvr1+ (more )
Structure Level Pattern Image Note
TS28: stomach Present UC Davis_1864744

Specimen UC Davis_1864745: postnatal adult; Acvr1tm1.1(KOMP)Vlcg/Acvr1+ (more )
Structure Level Pattern Image Note
TS28: stomach Present UC Davis_1864745

Specimen UC Davis_1864746: postnatal adult; Acvr1tm1.1(KOMP)Vlcg/Acvr1+ (more )
Structure Level Pattern Image Note
TS28: stomach Present UC Davis_1864746

Specimen UC Davis_1864747: postnatal adult; Acvr1tm1.1(KOMP)Vlcg/Acvr1+ (more )
Structure Level Pattern Image Note
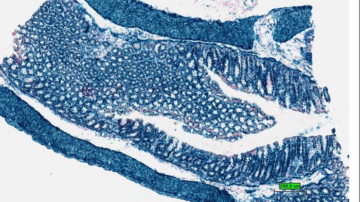
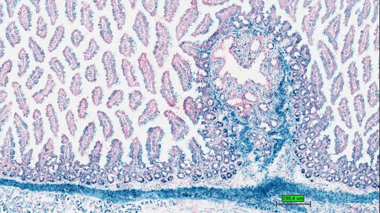
TS28: duodenum Present UC Davis_1864747

Specimen UC Davis_1864748: postnatal adult; Acvr1tm1.1(KOMP)Vlcg/Acvr1+ (more )
Structure Level Pattern Image Note
TS28: duodenum Present UC Davis_1864748

Specimen UC Davis_1864749: postnatal adult; Acvr1tm1.1(KOMP)Vlcg/Acvr1+ (more )
Structure Level Pattern Image Note
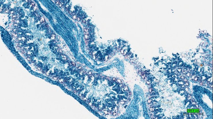
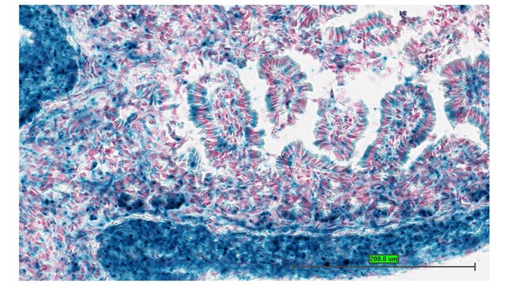
TS28: jejunum Present UC Davis_1864749

Specimen UC Davis_1864750: postnatal adult; Acvr1tm1.1(KOMP)Vlcg/Acvr1+ (more )
Structure Level Pattern Image Note
TS28: jejunum Present UC Davis_1864750

Specimen UC Davis_1864751: postnatal adult; Acvr1tm1.1(KOMP)Vlcg/Acvr1+ (more )
Structure Level Pattern Image Note
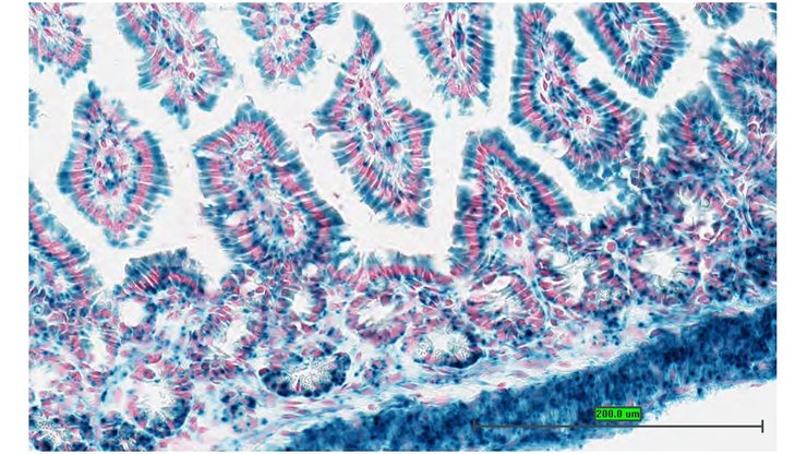
TS28: ileum Present UC Davis_1864751

Specimen UC Davis_1864752: postnatal adult; Acvr1tm1.1(KOMP)Vlcg/Acvr1+ (more )
Structure Level Pattern Image Note
TS28: ileum Present UC Davis_1864752

Specimen UC Davis_1864753: postnatal adult; Acvr1tm1.1(KOMP)Vlcg/Acvr1+ (more )
Structure Level Pattern Image Note
TS28: colon Present UC Davis_1864753

Specimen UC Davis_1864754: postnatal adult; Acvr1tm1.1(KOMP)Vlcg/Acvr1+ (more )
Structure Level Pattern Image Note
TS28: colon Present UC Davis_1864754

Specimen UC Davis_1864755: postnatal adult; Acvr1tm1.1(KOMP)Vlcg/Acvr1+ (more )
Structure Level Pattern Image Note
TS28: cecum Present UC Davis_1864755

Specimen UC Davis_1864756: postnatal adult; Acvr1tm1.1(KOMP)Vlcg/Acvr1+ (more )
Structure Level Pattern Image Note
TS28: cecum Present UC Davis_1864756

Specimen UC Davis_1864757: postnatal adult; Acvr1tm1.1(KOMP)Vlcg/Acvr1+ (more )
Structure Level Pattern Image Note
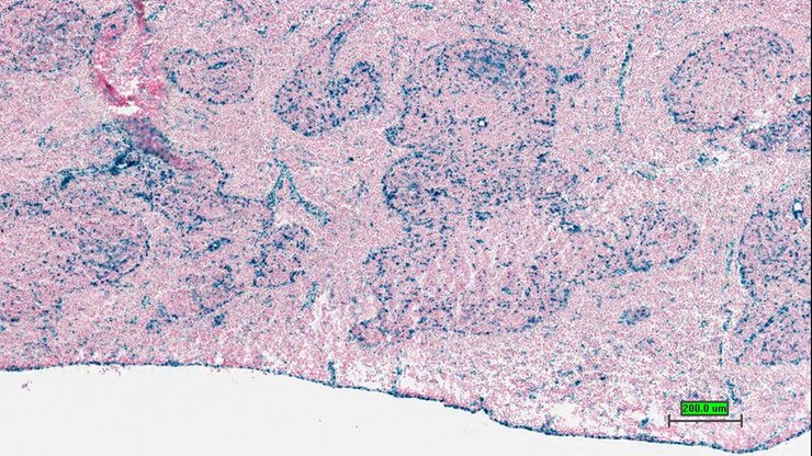
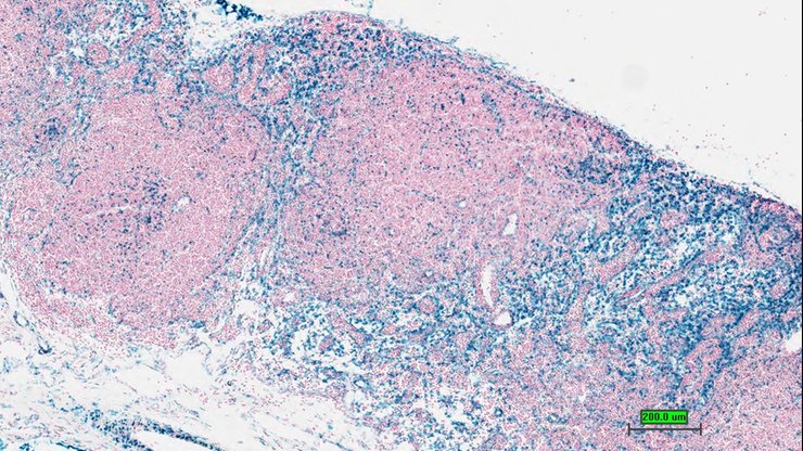
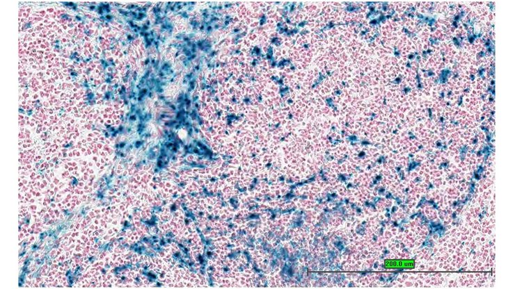
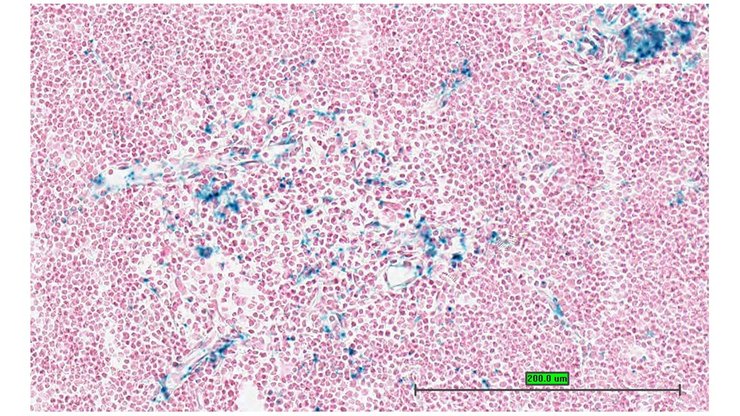
TS28: spleen Present UC Davis_1864757

Specimen UC Davis_1864758: postnatal adult; Acvr1tm1.1(KOMP)Vlcg/Acvr1+ (more )
Structure Level Pattern Image Note
TS28: spleen Present UC Davis_1864758

Specimen UC Davis_1864759: postnatal adult; Acvr1tm1.1(KOMP)Vlcg/Acvr1+ (more )
Structure Level Pattern Image Note
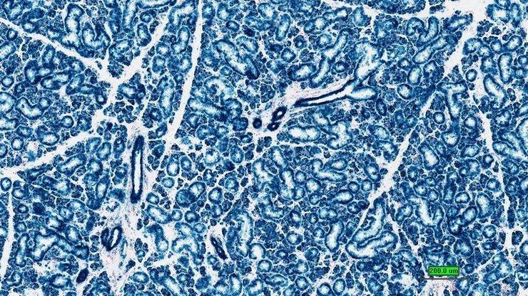
TS28: pancreas Present UC Davis_1864759

Specimen UC Davis_1864760: postnatal adult; Acvr1tm1.1(KOMP)Vlcg/Acvr1+ (more )
Structure Level Pattern Image Note
TS28: pancreas Present UC Davis_1864760

Specimen UC Davis_1864761: postnatal adult; Acvr1tm1.1(KOMP)Vlcg/Acvr1+ (more )
Structure Level Pattern Image Note
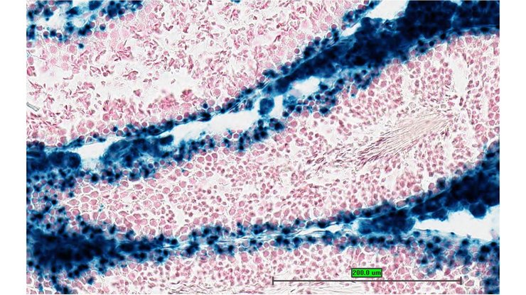
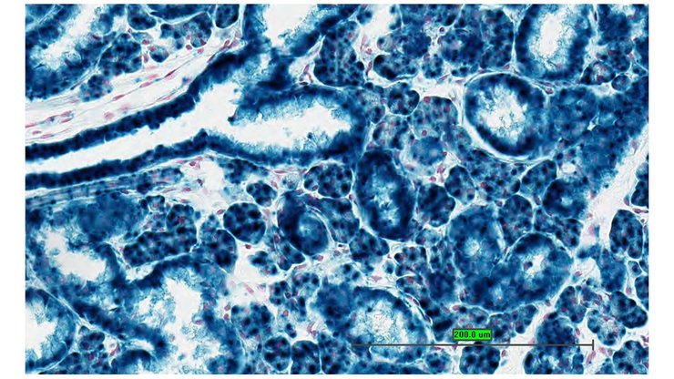
TS28: liver Present UC Davis_1864761

Specimen UC Davis_1864762: postnatal adult; Acvr1tm1.1(KOMP)Vlcg/Acvr1+ (more )
Structure Level Pattern Image Note
TS28: liver Present UC Davis_1864762

Specimen UC Davis_1864763: postnatal adult; Acvr1tm1.1(KOMP)Vlcg/Acvr1+ (more )
Structure Level Pattern Image Note
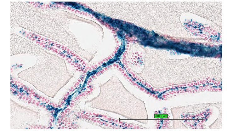
TS28: metanephros Present UC Davis_1864763 kidney

Specimen UC Davis_1864764: postnatal adult; Acvr1tm1.1(KOMP)Vlcg/Acvr1+ (more )
Structure Level Pattern Image Note
TS28: metanephros Present UC Davis_1864764 kidney

Specimen UC Davis_1864765: postnatal adult; Acvr1tm1.1(KOMP)Vlcg/Acvr1+ (more )
Structure Level Pattern Image Note
TS28: metanephros Present UC Davis_1864765 kidney

Specimen UC Davis_1864766: postnatal adult; Acvr1tm1.1(KOMP)Vlcg/Acvr1+ (more )
Structure Level Pattern Image Note
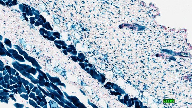
TS28: quadriceps femoris muscle Present UC Davis_1864766

Specimen UC Davis_1864767: postnatal adult; Acvr1tm1.1(KOMP)Vlcg/Acvr1+ (more )
Structure Level Pattern Image Note
TS28: quadriceps femoris muscle Present UC Davis_1864767

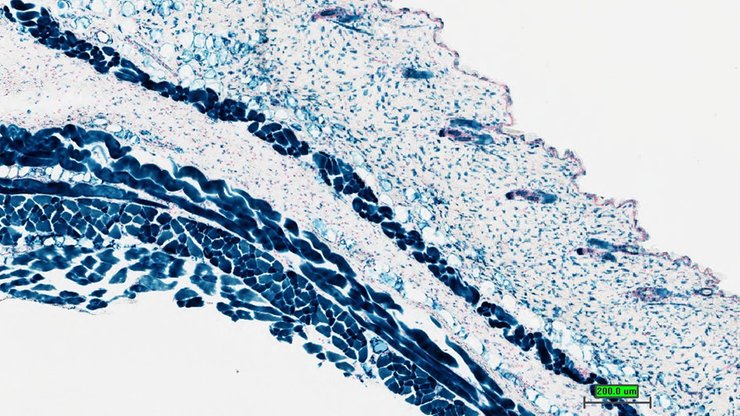
Specimen UC Davis_1864768: postnatal adult; Acvr1tm1.1(KOMP)Vlcg/Acvr1+ (more )
Structure Level Pattern Image Note
TS28: sciatic nerve Present UC Davis_1864768

Specimen UC Davis_1864769: postnatal adult; Acvr1tm1.1(KOMP)Vlcg/Acvr1+ (more )
Structure Level Pattern Image Note
TS28: sciatic nerve Present UC Davis_1864769

Specimen UC Davis_1864770: postnatal adult; Acvr1tm1.1(KOMP)Vlcg/Acvr1+ (more )
Structure Level Pattern Image Note
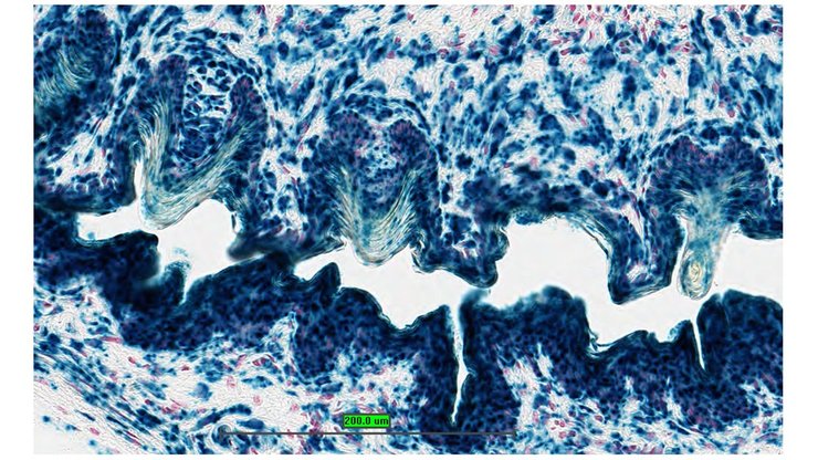
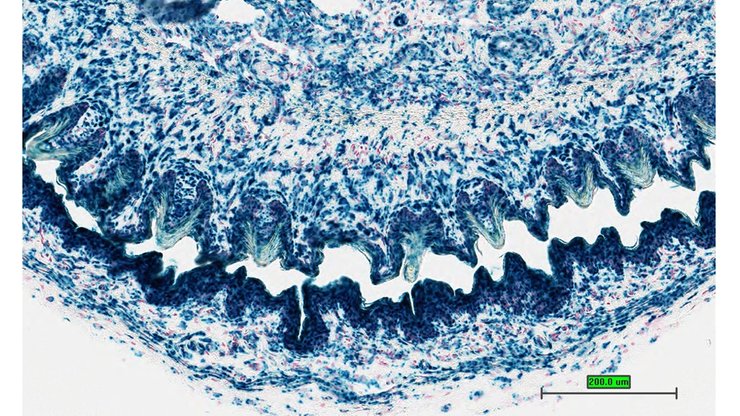
TS28: tongue Present UC Davis_1864770

Specimen UC Davis_1864771: postnatal adult; Acvr1tm1.1(KOMP)Vlcg/Acvr1+ (more )
Structure Level Pattern Image Note
TS28: tongue Present UC Davis_1864771

Specimen UC Davis_1864772: postnatal adult; Acvr1tm1.1(KOMP)Vlcg/Acvr1+ (more )
Structure Level Pattern Image Note
TS28: diaphragm Present UC Davis_1864772

Specimen UC Davis_1864773: postnatal adult; Acvr1tm1.1(KOMP)Vlcg/Acvr1+ (more )
Structure Level Pattern Image Note
TS28: diaphragm Present UC Davis_1864773

Specimen UC Davis_1864774: postnatal adult; Acvr1tm1.1(KOMP)Vlcg/Acvr1+ (more )
Structure Level Pattern Image Note
TS28: adrenal gland Present UC Davis_1864774

Specimen UC Davis_1864775: postnatal adult; Acvr1tm1.1(KOMP)Vlcg/Acvr1+ (more )
Structure Level Pattern Image Note
TS28: adrenal gland Present UC Davis_1864775

Specimen UC Davis_1864776: postnatal adult; Acvr1tm1.1(KOMP)Vlcg/Acvr1+ (more )
Structure Level Pattern Image Note
TS28: pituitary gland Present UC Davis_1864776

Specimen UC Davis_1864777: postnatal adult; Acvr1tm1.1(KOMP)Vlcg/Acvr1+ (more )
Structure Level Pattern Image Note
TS28: pituitary gland Present UC Davis_1864777

Specimen UC Davis_1864778: postnatal adult; Acvr1tm1.1(KOMP)Vlcg/Acvr1+ (more )
Structure Level Pattern Image Note
TS28: spinal cord Present UC Davis_1864778

Specimen UC Davis_1864779: postnatal adult; Acvr1tm1.1(KOMP)Vlcg/Acvr1+ (more )
Structure Level Pattern Image Note
TS28: spinal cord Present UC Davis_1864779

Specimen UC Davis_1864780: postnatal adult; Acvr1tm1.1(KOMP)Vlcg/Acvr1+ (more )
Structure Level Pattern Image Note
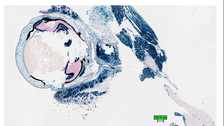
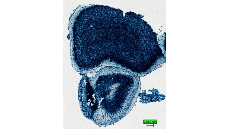
TS28: eye Present UC Davis_1864780

Specimen UC Davis_1864781: postnatal adult; Acvr1tm1.1(KOMP)Vlcg/Acvr1+ (more )
Structure Level Pattern Image Note
TS28: eye Present UC Davis_1864781

Specimen UC Davis_1864782: postnatal adult; Acvr1tm1.1(KOMP)Vlcg/Acvr1+ (more )
Structure Level Pattern Image Note
TS28: eye Present UC Davis_1864782

Specimen UC Davis_1864783: postnatal adult; Acvr1tm1.1(KOMP)Vlcg/Acvr1+ (more )
Structure Level Pattern Image Note
TS28: eye Present UC Davis_1864783

Specimen UC Davis_1864786: postnatal adult; Acvr1tm1.1(KOMP)Vlcg/Acvr1+ (more )
Structure Level Pattern Image Note
TS28: Harderian gland Present UC Davis_1864786

Specimen UC Davis_1864787: postnatal adult; Acvr1tm1.1(KOMP)Vlcg/Acvr1+ (more )
Structure Level Pattern Image Note
TS28: Harderian gland Present UC Davis_1864787

Specimen UC Davis_1864788: postnatal adult; Acvr1tm1.1(KOMP)Vlcg/Acvr1+ (more )
Structure Level Pattern Image Note
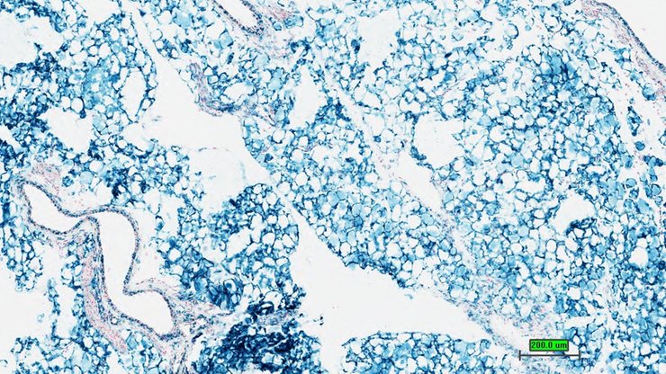
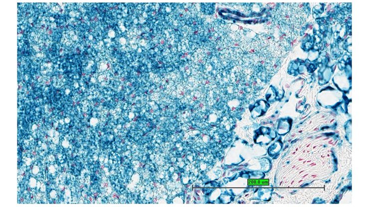
TS28: gonadal fat pad Present UC Davis_1864788

Specimen UC Davis_1864789: postnatal adult; Acvr1tm1.1(KOMP)Vlcg/Acvr1+ (more )
Structure Level Pattern Image Note
TS28: mesenteric adipose tissue Present UC Davis_1864789

Specimen UC Davis_1864790: postnatal adult; Acvr1tm1.1(KOMP)Vlcg/Acvr1+ (more )
Structure Level Pattern Image Note
TS28: mesenteric adipose tissue Present UC Davis_1864790

Specimen UC Davis_1864791: postnatal adult; Acvr1tm1.1(KOMP)Vlcg/Acvr1+ (more )
Structure Level Pattern Image Note
TS28: skin Present UC Davis_1864791

Specimen UC Davis_1864792: postnatal adult; Acvr1tm1.1(KOMP)Vlcg/Acvr1+ (more )
Structure Level Pattern Image Note
TS28: skin Present UC Davis_1864792

Specimen UC Davis_1864793: postnatal adult; Acvr1tm1.1(KOMP)Vlcg/Acvr1+ (more )
Structure Level Pattern Image Note
TS28: skin Present UC Davis_1864793

Specimen UC Davis_1864794: postnatal adult; Acvr1tm1.1(KOMP)Vlcg/Acvr1+ (more )
Structure Level Pattern Image Note
TS28: brown fat Present UC Davis_1864794

Specimen UC Davis_1864795: postnatal adult; Acvr1tm1.1(KOMP)Vlcg/Acvr1+ (more )
Structure Level Pattern Image Note
TS28: brown fat Present UC Davis_1864795

Specimen UC Davis_1864796: postnatal adult; Acvr1tm1.1(KOMP)Vlcg/Acvr1+ (more )
Structure Level Pattern Image Note
TS28: olfactory lobe Present UC Davis_1864796

Specimen UC Davis_1864799: postnatal adult; Acvr1tm1.1(KOMP)Vlcg/Acvr1+ (more )
Structure Level Pattern Image Note
TS28: midbrain Present UC Davis_1864799

Specimen UC Davis_1864801: postnatal adult; Acvr1tm1.1(KOMP)Vlcg/Acvr1+ (more )
Structure Level Pattern Image Note
TS28: cerebellum Present UC Davis_1864801

Specimen UC Davis_1864802: postnatal adult; Acvr1tm1.1(KOMP)Vlcg/Acvr1+ (more )
Structure Level Pattern Image Note
TS28: cerebellum Present UC Davis_1864802

Specimen UC Davis_1864803: postnatal adult; Acvr1tm1.1(KOMP)Vlcg/Acvr1+ (more )
Structure Level Pattern Image Note
TS28: trigeminal nerve Present UC Davis_1864803

Specimen UC Davis_1864804: postnatal adult; Acvr1tm1.1(KOMP)Vlcg/Acvr1+ (more )
Structure Level Pattern Image Note
TS28: trigeminal nerve Present UC Davis_1864804

Specimen UC Davis_1864805: postnatal adult; Acvr1tm1.1(KOMP)Vlcg/Acvr1+ (more )
Structure Level Pattern Image Note
TS28: bladder Present UC Davis_1864805

Specimen UC Davis_1864806: postnatal adult; Acvr1tm1.1(KOMP)Vlcg/Acvr1+ (more )
Structure Level Pattern Image Note
TS28: bladder Present UC Davis_1864806

Specimen UC Davis_1864807: postnatal adult; Acvr1tm1.1(KOMP)Vlcg/Acvr1+ (more )
Structure Level Pattern Image Note
TS28: bladder Present UC Davis_1864807

Specimen UC Davis_1864808: postnatal adult; Acvr1tm1.1(KOMP)Vlcg/Acvr1+ (more )
Structure Level Pattern Image Note
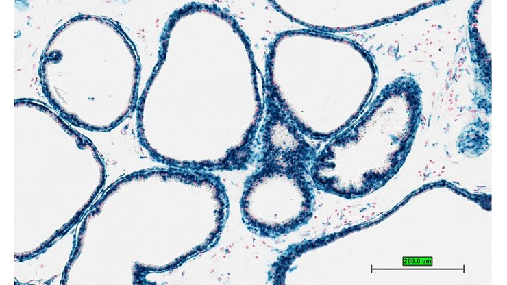
TS28: testis Present UC Davis_1864808

Specimen UC Davis_1864809: postnatal adult; Acvr1tm1.1(KOMP)Vlcg/Acvr1+ (more )
Structure Level Pattern Image Note
TS28: testis Present UC Davis_1864809

Specimen UC Davis_1864810: postnatal adult; Acvr1tm1.1(KOMP)Vlcg/Acvr1+ (more )
Structure Level Pattern Image Note
TS28: epididymis Present UC Davis_1864810

Specimen UC Davis_1864811: postnatal adult; Acvr1tm1.1(KOMP)Vlcg/Acvr1+ (more )
Structure Level Pattern Image Note
TS28: epididymis Present UC Davis_1864811

Specimen UC Davis_1864812: postnatal adult; Acvr1tm1.1(KOMP)Vlcg/Acvr1+ (more )
Structure Level Pattern Image Note
TS28: epididymis Present UC Davis_1864812

Specimen UC Davis_1864813: postnatal adult; Acvr1tm1.1(KOMP)Vlcg/Acvr1+ (more )
Structure Level Pattern Image Note
TS28: prostate gland Present UC Davis_1864813

Specimen UC Davis_1864814: postnatal adult; Acvr1tm1.1(KOMP)Vlcg/Acvr1+ (more )
Structure Level Pattern Image Note
TS28: prostate gland Present UC Davis_1864814

Specimen UC Davis_1864815: postnatal adult; Acvr1tm1.1(KOMP)Vlcg/Acvr1+ (more )
Structure Level Pattern Image Note
TS28: prostate gland Present UC Davis_1864815

Specimen UC Davis_1864816: postnatal adult; Acvr1tm1.1(KOMP)Vlcg/Acvr1+ (more )
Structure Level Pattern Image Note
TS28: penis Present UC Davis_1864816

Specimen UC Davis_1864817: postnatal adult; Acvr1tm1.1(KOMP)Vlcg/Acvr1+ (more )
Structure Level Pattern Image Note
TS28: penis Present UC Davis_1864817

Specimen UC Davis_1864818: postnatal adult; Acvr1tm1.1(KOMP)Vlcg/Acvr1+ (more )
Structure Level Pattern Image Note
TS28: penis Present UC Davis_1864818

Specimen UC Davis_1864821: postnatal adult; Acvr1tm1.1(KOMP)Vlcg/Acvr1+ (more )
Structure Level Pattern Image Note
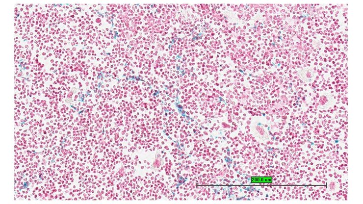
TS28: bone marrow Present UC Davis_1864821

Specimen UC Davis_1864822: postnatal adult; Acvr1tm1.1(KOMP)Vlcg/Acvr1+ (more )
Structure Level Pattern Image Note
TS28: bone marrow Present UC Davis_1864822

Specimen UC Davis_1864823: postnatal adult; Acvr1tm1.1(KOMP)Vlcg/Acvr1+ (more )
Structure Level Pattern Image Note
TS28: bone marrow Present UC Davis_1864823

Specimen UC Davis_1864824: postnatal adult; Acvr1tm1.1(KOMP)Vlcg/Acvr1+ (more )
Structure Level Pattern Image Note
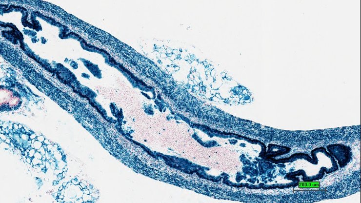
TS28: ductus deferens Present UC Davis_1864824 vas deferens

Specimen UC Davis_1864825: postnatal adult; Acvr1tm1.1(KOMP)Vlcg/Acvr1+ (more )
Structure Level Pattern Image Note
TS28: ductus deferens Present UC Davis_1864825 vas deferens

Specimen UC Davis_1864828: postnatal adult; Acvr1tm1.1(KOMP)Vlcg/Acvr1+ (more )
Structure Level Pattern Image Note
TS28: seminal vesicle Present UC Davis_1864828 vesicular gland

Specimen UC Davis_1864829: postnatal adult; Acvr1tm1.1(KOMP)Vlcg/Acvr1+ (more )
Structure Level Pattern Image Note
TS28: seminal vesicle Present UC Davis_1864829 vesicular gland


Contributing Projects:
Mouse Genome Database (MGD), Gene Expression Database (GXD), Mouse Models of Human Cancer database (MMHCdb) (formerly Mouse Tumor Biology (MTB)), Gene Ontology (GO)
Citing These Resources
Funding Information
Warranty Disclaimer, Privacy Notice, Licensing, & Copyright
Send questions and comments to User Support.
last database update
05/12/2026
MGI 6.24
The Jackson Laboratory