About   Help   FAQ
Gene Expression Data
Assay Details
Assay
Reference: J:228563 Koscielny G, et al., The International Mouse Phenotyping Consortium Web Portal, a unified point of access for knockout mice and related phenotyping data. Nucleic Acids Res. 2014 Jan;42(Database issue):D802-9
Assay type: In situ reporter (knock in)
MGI Accession ID: MGI:6692962
Gene symbol: Actg1
Gene name: actin, gamma, cytoplasmic 1
Reporter: lacZ
Direct Detection
Results
Specimen UC Davis_1879984: postnatal adult; Actg1tm1.1(KOMP)Vlcg/Actg1+ (more )
Structure Level Pattern Image Note
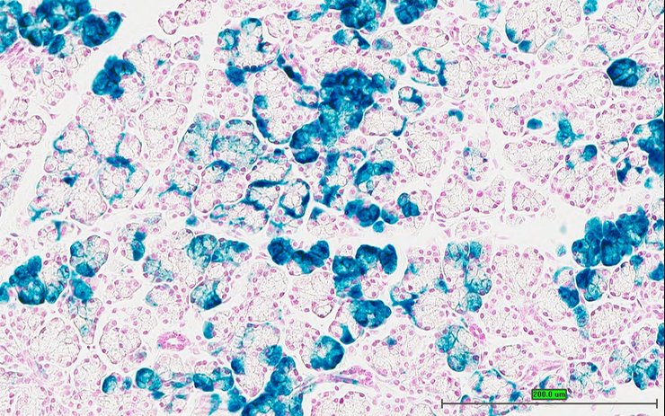
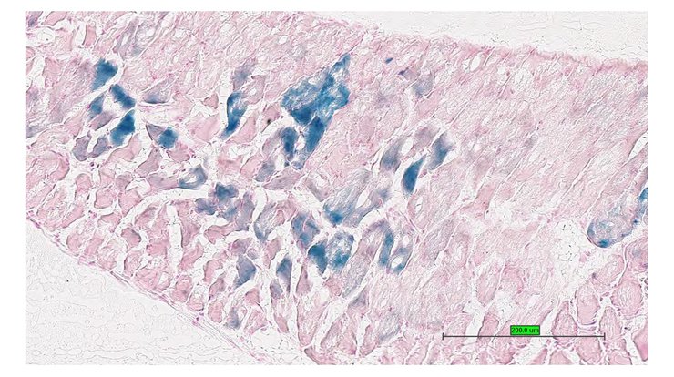
TS28: submandibular gland Present UC Davis_1879984

Specimen UC Davis_1879985: postnatal adult; Actg1tm1.1(KOMP)Vlcg/Actg1+ (more )
Structure Level Pattern Image Note
TS28: submandibular gland Present UC Davis_1879985

Specimen UC Davis_1879986: postnatal adult; Actg1tm1.1(KOMP)Vlcg/Actg1+ (more )
Structure Level Pattern Image Note
TS28: sublingual gland Present UC Davis_1879986

Specimen UC Davis_1879987: postnatal adult; Actg1tm1.1(KOMP)Vlcg/Actg1+ (more )
Structure Level Pattern Image Note
TS28: sublingual gland Present UC Davis_1879987

Specimen UC Davis_1879988: postnatal adult; Actg1tm1.1(KOMP)Vlcg/Actg1+ (more )
Structure Level Pattern Image Note
TS28: esophagus Present UC Davis_1879988

Specimen UC Davis_1879989: postnatal adult; Actg1tm1.1(KOMP)Vlcg/Actg1+ (more )
Structure Level Pattern Image Note
TS28: esophagus Present UC Davis_1879989

Specimen UC Davis_1879990: postnatal adult; Actg1tm1.1(KOMP)Vlcg/Actg1+ (more )
Structure Level Pattern Image Note
TS28: aorta Present UC Davis_1879990

Specimen UC Davis_1879991: postnatal adult; Actg1tm1.1(KOMP)Vlcg/Actg1+ (more )
Structure Level Pattern Image Note
TS28: lung Present UC Davis_1879991

Specimen UC Davis_1879992: postnatal adult; Actg1tm1.1(KOMP)Vlcg/Actg1+ (more )
Structure Level Pattern Image Note
TS28: lung Present UC Davis_1879992

Specimen UC Davis_1879993: postnatal adult; Actg1tm1.1(KOMP)Vlcg/Actg1+ (more )
Structure Level Pattern Image Note
TS28: thymus Present UC Davis_1879993

Specimen UC Davis_1879994: postnatal adult; Actg1tm1.1(KOMP)Vlcg/Actg1+ (more )
Structure Level Pattern Image Note
TS28: thymus Present UC Davis_1879994

Specimen UC Davis_1879998: postnatal adult; Actg1tm1.1(KOMP)Vlcg/Actg1+ (more )
Structure Level Pattern Image Note
TS28: stomach Present UC Davis_1879998

Specimen UC Davis_1879999: postnatal adult; Actg1tm1.1(KOMP)Vlcg/Actg1+ (more )
Structure Level Pattern Image Note
TS28: jejunum Present UC Davis_1879999

Specimen UC Davis_1880000: postnatal adult; Actg1tm1.1(KOMP)Vlcg/Actg1+ (more )
Structure Level Pattern Image Note
TS28: ileum Present UC Davis_1880000

Specimen UC Davis_1880001: postnatal adult; Actg1tm1.1(KOMP)Vlcg/Actg1+ (more )
Structure Level Pattern Image Note
TS28: ileum Present UC Davis_1880001

Specimen UC Davis_1880002: postnatal adult; Actg1tm1.1(KOMP)Vlcg/Actg1+ (more )
Structure Level Pattern Image Note
TS28: colon Present UC Davis_1880002

Specimen UC Davis_1880003: postnatal adult; Actg1tm1.1(KOMP)Vlcg/Actg1+ (more )
Structure Level Pattern Image Note
TS28: colon Present UC Davis_1880003

Specimen UC Davis_1880004: postnatal adult; Actg1tm1.1(KOMP)Vlcg/Actg1+ (more )
Structure Level Pattern Image Note
TS28: cecum Present UC Davis_1880004

Specimen UC Davis_1880005: postnatal adult; Actg1tm1.1(KOMP)Vlcg/Actg1+ (more )
Structure Level Pattern Image Note
TS28: spleen Present UC Davis_1880005

Specimen UC Davis_1880006: postnatal adult; Actg1tm1.1(KOMP)Vlcg/Actg1+ (more )
Structure Level Pattern Image Note
TS28: spleen Present UC Davis_1880006

Specimen UC Davis_1880007: postnatal adult; Actg1tm1.1(KOMP)Vlcg/Actg1+ (more )
Structure Level Pattern Image Note
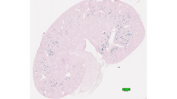
TS28: metanephros Present UC Davis_1880007 kidney

Specimen UC Davis_1880008: postnatal adult; Actg1tm1.1(KOMP)Vlcg/Actg1+ (more )
Structure Level Pattern Image Note
TS28: metanephros Present UC Davis_1880008 kidney

Specimen UC Davis_1880009: postnatal adult; Actg1tm1.1(KOMP)Vlcg/Actg1+ (more )
Structure Level Pattern Image Note
TS28: metanephros Present UC Davis_1880009 kidney

Specimen UC Davis_1880010: postnatal adult; Actg1tm1.1(KOMP)Vlcg/Actg1+ (more )
Structure Level Pattern Image Note
TS28: metanephros Present UC Davis_1880010 kidney

Specimen UC Davis_1880011: postnatal adult; Actg1tm1.1(KOMP)Vlcg/Actg1+ (more )
Structure Level Pattern Image Note
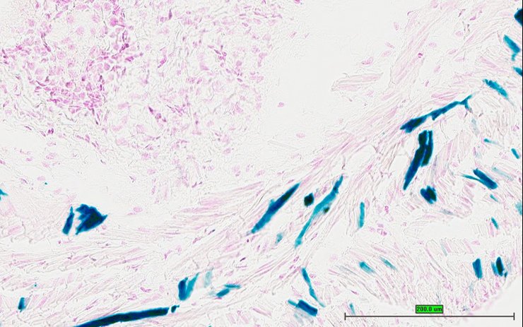
TS28: quadriceps femoris muscle Present UC Davis_1880011

Specimen UC Davis_1880012: postnatal adult; Actg1tm1.1(KOMP)Vlcg/Actg1+ (more )
Structure Level Pattern Image Note
TS28: quadriceps femoris muscle Present UC Davis_1880012

Specimen UC Davis_1880013: postnatal adult; Actg1tm1.1(KOMP)Vlcg/Actg1+ (more )
Structure Level Pattern Image Note
TS28: tongue Present UC Davis_1880013

Specimen UC Davis_1880014: postnatal adult; Actg1tm1.1(KOMP)Vlcg/Actg1+ (more )
Structure Level Pattern Image Note
TS28: tongue Present UC Davis_1880014

Specimen UC Davis_1880015: postnatal adult; Actg1tm1.1(KOMP)Vlcg/Actg1+ (more )
Structure Level Pattern Image Note
TS28: tongue Present UC Davis_1880015

Specimen UC Davis_1880016: postnatal adult; Actg1tm1.1(KOMP)Vlcg/Actg1+ (more )
Structure Level Pattern Image Note
TS28: diaphragm Present UC Davis_1880016

Specimen UC Davis_1880017: postnatal adult; Actg1tm1.1(KOMP)Vlcg/Actg1+ (more )
Structure Level Pattern Image Note
TS28: adrenal gland Present UC Davis_1880017

Specimen UC Davis_1880018: postnatal adult; Actg1tm1.1(KOMP)Vlcg/Actg1+ (more )
Structure Level Pattern Image Note
TS28: spinal cord Present UC Davis_1880018

Specimen UC Davis_1880019: postnatal adult; Actg1tm1.1(KOMP)Vlcg/Actg1+ (more )
Structure Level Pattern Image Note
TS28: spinal cord Present UC Davis_1880019

Specimen UC Davis_1880020: postnatal adult; Actg1tm1.1(KOMP)Vlcg/Actg1+ (more )
Structure Level Pattern Image Note
TS28: eye Present UC Davis_1880020

Specimen UC Davis_1880021: postnatal adult; Actg1tm1.1(KOMP)Vlcg/Actg1+ (more )
Structure Level Pattern Image Note
TS28: eye Present UC Davis_1880021

Specimen UC Davis_1880022: postnatal adult; Actg1tm1.1(KOMP)Vlcg/Actg1+ (more )
Structure Level Pattern Image Note
TS28: Harderian gland Present UC Davis_1880022

Specimen UC Davis_1880023: postnatal adult; Actg1tm1.1(KOMP)Vlcg/Actg1+ (more )
Structure Level Pattern Image Note
TS28: skin Present UC Davis_1880023

Specimen UC Davis_1880024: postnatal adult; Actg1tm1.1(KOMP)Vlcg/Actg1+ (more )
Structure Level Pattern Image Note
TS28: skin Present UC Davis_1880024

Specimen UC Davis_1880027: postnatal adult; Actg1tm1.1(KOMP)Vlcg/Actg1+ (more )
Structure Level Pattern Image Note
TS28: midbrain Present UC Davis_1880027

Specimen UC Davis_1880028: postnatal adult; Actg1tm1.1(KOMP)Vlcg/Actg1+ (more )
Structure Level Pattern Image Note
TS28: midbrain Present UC Davis_1880028

Specimen UC Davis_1880030: postnatal adult; Actg1tm1.1(KOMP)Vlcg/Actg1+ (more )
Structure Level Pattern Image Note
TS28: cerebellum Present UC Davis_1880030

Specimen UC Davis_1880031: postnatal adult; Actg1tm1.1(KOMP)Vlcg/Actg1+ (more )
Structure Level Pattern Image Note
TS28: trigeminal nerve Present UC Davis_1880031

Specimen UC Davis_1880032: postnatal adult; Actg1tm1.1(KOMP)Vlcg/Actg1+ (more )
Structure Level Pattern Image Note
TS28: ovary Present UC Davis_1880032

Specimen UC Davis_1880033: postnatal adult; Actg1tm1.1(KOMP)Vlcg/Actg1+ (more )
Structure Level Pattern Image Note
TS28: ovary Present UC Davis_1880033

Specimen UC Davis_1880034: postnatal adult; Actg1tm1.1(KOMP)Vlcg/Actg1+ (more )
Structure Level Pattern Image Note
TS28: uterus Present UC Davis_1880034

Specimen UC Davis_1880035: postnatal adult; Actg1tm1.1(KOMP)Vlcg/Actg1+ (more )
Structure Level Pattern Image Note
TS28: bladder Present UC Davis_1880035

Specimen UC Davis_1880036: postnatal adult; Actg1tm1.1(KOMP)Vlcg/Actg1+ (more )
Structure Level Pattern Image Note
TS28: bladder Present UC Davis_1880036

Specimen UC Davis_1880037: postnatal adult; Actg1tm1.1(KOMP)Vlcg/Actg1+ (more )
Structure Level Pattern Image Note
TS28: blood Present UC Davis_1880037

Specimen UC Davis_1880038: postnatal adult; Actg1tm1.1(KOMP)Vlcg/Actg1+ (more )
Structure Level Pattern Image Note
TS28: bone marrow Present UC Davis_1880038

Specimen UC Davis_1880039: postnatal adult; Actg1tm1.1(KOMP)Vlcg/Actg1+ (more )
Structure Level Pattern Image Note
TS28: mammary gland Present UC Davis_1880039

Specimen UC Davis_1879899: postnatal adult; Actg1tm1.1(KOMP)Vlcg/Actg1+ (more )
Structure Level Pattern Image Note
TS28: submandibular gland Present UC Davis_1879899

Specimen UC Davis_1879900: postnatal adult; Actg1tm1.1(KOMP)Vlcg/Actg1+ (more )
Structure Level Pattern Image Note
TS28: submandibular gland Present UC Davis_1879900

Specimen UC Davis_1879901: postnatal adult; Actg1tm1.1(KOMP)Vlcg/Actg1+ (more )
Structure Level Pattern Image Note
TS28: sublingual gland Present UC Davis_1879901

Specimen UC Davis_1879902: postnatal adult; Actg1tm1.1(KOMP)Vlcg/Actg1+ (more )
Structure Level Pattern Image Note
TS28: sublingual gland Present UC Davis_1879902

Specimen UC Davis_1879903: postnatal adult; Actg1tm1.1(KOMP)Vlcg/Actg1+ (more )
Structure Level Pattern Image Note
TS28: parotid gland Present UC Davis_1879903

Specimen UC Davis_1879905: postnatal adult; Actg1tm1.1(KOMP)Vlcg/Actg1+ (more )
Structure Level Pattern Image Note
TS28: trachea Present UC Davis_1879905

Specimen UC Davis_1879906: postnatal adult; Actg1tm1.1(KOMP)Vlcg/Actg1+ (more )
Structure Level Pattern Image Note
TS28: trachea Present UC Davis_1879906

Specimen UC Davis_1879907: postnatal adult; Actg1tm1.1(KOMP)Vlcg/Actg1+ (more )
Structure Level Pattern Image Note
TS28: esophagus Present UC Davis_1879907

Specimen UC Davis_1879908: postnatal adult; Actg1tm1.1(KOMP)Vlcg/Actg1+ (more )
Structure Level Pattern Image Note
TS28: thyroid gland Present UC Davis_1879908

Specimen UC Davis_1879910: postnatal adult; Actg1tm1.1(KOMP)Vlcg/Actg1+ (more )
Structure Level Pattern Image Note
TS28: parathyroid gland Present UC Davis_1879910

Specimen UC Davis_1879911: postnatal adult; Actg1tm1.1(KOMP)Vlcg/Actg1+ (more )
Structure Level Pattern Image Note
TS28: aorta Present UC Davis_1879911

Specimen UC Davis_1879912: postnatal adult; Actg1tm1.1(KOMP)Vlcg/Actg1+ (more )
Structure Level Pattern Image Note
TS28: lung Present UC Davis_1879912

Specimen UC Davis_1879913: postnatal adult; Actg1tm1.1(KOMP)Vlcg/Actg1+ (more )
Structure Level Pattern Image Note
TS28: lung Present UC Davis_1879913

Specimen UC Davis_1879914: postnatal adult; Actg1tm1.1(KOMP)Vlcg/Actg1+ (more )
Structure Level Pattern Image Note
TS28: thymus Present UC Davis_1879914

Specimen UC Davis_1879918: postnatal adult; Actg1tm1.1(KOMP)Vlcg/Actg1+ (more )
Structure Level Pattern Image Note
TS28: mesenteric lymph node Present UC Davis_1879918

Specimen UC Davis_1879919: postnatal adult; Actg1tm1.1(KOMP)Vlcg/Actg1+ (more )
Structure Level Pattern Image Note
TS28: stomach Present UC Davis_1879919

Specimen UC Davis_1879920: postnatal adult; Actg1tm1.1(KOMP)Vlcg/Actg1+ (more )
Structure Level Pattern Image Note
TS28: stomach Present UC Davis_1879920

Specimen UC Davis_1879921: postnatal adult; Actg1tm1.1(KOMP)Vlcg/Actg1+ (more )
Structure Level Pattern Image Note
TS28: stomach Present UC Davis_1879921

Specimen UC Davis_1879922: postnatal adult; Actg1tm1.1(KOMP)Vlcg/Actg1+ (more )
Structure Level Pattern Image Note
TS28: duodenum Present UC Davis_1879922

Specimen UC Davis_1879923: postnatal adult; Actg1tm1.1(KOMP)Vlcg/Actg1+ (more )
Structure Level Pattern Image Note
TS28: jejunum Present UC Davis_1879923

Specimen UC Davis_1879924: postnatal adult; Actg1tm1.1(KOMP)Vlcg/Actg1+ (more )
Structure Level Pattern Image Note
TS28: jejunum Present UC Davis_1879924

Specimen UC Davis_1879925: postnatal adult; Actg1tm1.1(KOMP)Vlcg/Actg1+ (more )
Structure Level Pattern Image Note
TS28: ileum Present UC Davis_1879925

Specimen UC Davis_1879926: postnatal adult; Actg1tm1.1(KOMP)Vlcg/Actg1+ (more )
Structure Level Pattern Image Note
TS28: colon Present UC Davis_1879926

Specimen UC Davis_1879927: postnatal adult; Actg1tm1.1(KOMP)Vlcg/Actg1+ (more )
Structure Level Pattern Image Note
TS28: colon Present UC Davis_1879927

Specimen UC Davis_1879928: postnatal adult; Actg1tm1.1(KOMP)Vlcg/Actg1+ (more )
Structure Level Pattern Image Note
TS28: cecum Present UC Davis_1879928

Specimen UC Davis_1879929: postnatal adult; Actg1tm1.1(KOMP)Vlcg/Actg1+ (more )
Structure Level Pattern Image Note
TS28: spleen Present UC Davis_1879929

Specimen UC Davis_1879930: postnatal adult; Actg1tm1.1(KOMP)Vlcg/Actg1+ (more )
Structure Level Pattern Image Note
TS28: spleen Present UC Davis_1879930

Specimen UC Davis_1879931: postnatal adult; Actg1tm1.1(KOMP)Vlcg/Actg1+ (more )
Structure Level Pattern Image Note
TS28: pancreas Present UC Davis_1879931

Specimen UC Davis_1879932: postnatal adult; Actg1tm1.1(KOMP)Vlcg/Actg1+ (more )
Structure Level Pattern Image Note
TS28: pancreas Present UC Davis_1879932

Specimen UC Davis_1879933: postnatal adult; Actg1tm1.1(KOMP)Vlcg/Actg1+ (more )
Structure Level Pattern Image Note
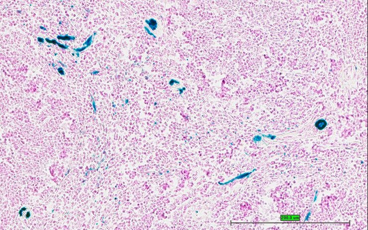
TS28: liver Present UC Davis_1879933

Specimen UC Davis_1879934: postnatal adult; Actg1tm1.1(KOMP)Vlcg/Actg1+ (more )
Structure Level Pattern Image Note
TS28: liver Present UC Davis_1879934

Specimen UC Davis_1879935: postnatal adult; Actg1tm1.1(KOMP)Vlcg/Actg1+ (more )
Structure Level Pattern Image Note
TS28: liver Present UC Davis_1879935

Specimen UC Davis_1879936: postnatal adult; Actg1tm1.1(KOMP)Vlcg/Actg1+ (more )
Structure Level Pattern Image Note
TS28: metanephros Present UC Davis_1879936 kidney

Specimen UC Davis_1879937: postnatal adult; Actg1tm1.1(KOMP)Vlcg/Actg1+ (more )
Structure Level Pattern Image Note
TS28: metanephros Present UC Davis_1879937 kidney

Specimen UC Davis_1879938: postnatal adult; Actg1tm1.1(KOMP)Vlcg/Actg1+ (more )
Structure Level Pattern Image Note
TS28: metanephros Present UC Davis_1879938 kidney

Specimen UC Davis_1879939: postnatal adult; Actg1tm1.1(KOMP)Vlcg/Actg1+ (more )
Structure Level Pattern Image Note
TS28: quadriceps femoris muscle Present UC Davis_1879939

Specimen UC Davis_1879940: postnatal adult; Actg1tm1.1(KOMP)Vlcg/Actg1+ (more )
Structure Level Pattern Image Note
TS28: quadriceps femoris muscle Present UC Davis_1879940

Specimen UC Davis_1879941: postnatal adult; Actg1tm1.1(KOMP)Vlcg/Actg1+ (more )
Structure Level Pattern Image Note
TS28: sciatic nerve Present UC Davis_1879941

Specimen UC Davis_1879942: postnatal adult; Actg1tm1.1(KOMP)Vlcg/Actg1+ (more )
Structure Level Pattern Image Note
TS28: tongue Present UC Davis_1879942

Specimen UC Davis_1879943: postnatal adult; Actg1tm1.1(KOMP)Vlcg/Actg1+ (more )
Structure Level Pattern Image Note
TS28: tongue Present UC Davis_1879943

Specimen UC Davis_1879944: postnatal adult; Actg1tm1.1(KOMP)Vlcg/Actg1+ (more )
Structure Level Pattern Image Note
TS28: tongue Present UC Davis_1879944

Specimen UC Davis_1879945: postnatal adult; Actg1tm1.1(KOMP)Vlcg/Actg1+ (more )
Structure Level Pattern Image Note
TS28: diaphragm Present UC Davis_1879945

Specimen UC Davis_1879946: postnatal adult; Actg1tm1.1(KOMP)Vlcg/Actg1+ (more )
Structure Level Pattern Image Note
TS28: pituitary gland Present UC Davis_1879946

Specimen UC Davis_1879947: postnatal adult; Actg1tm1.1(KOMP)Vlcg/Actg1+ (more )
Structure Level Pattern Image Note
TS28: spinal cord Present UC Davis_1879947

Specimen UC Davis_1879948: postnatal adult; Actg1tm1.1(KOMP)Vlcg/Actg1+ (more )
Structure Level Pattern Image Note
TS28: spinal cord Present UC Davis_1879948

Specimen UC Davis_1879950: postnatal adult; Actg1tm1.1(KOMP)Vlcg/Actg1+ (more )
Structure Level Pattern Image Note
TS28: Harderian gland Present UC Davis_1879950

Specimen UC Davis_1879951: postnatal adult; Actg1tm1.1(KOMP)Vlcg/Actg1+ (more )
Structure Level Pattern Image Note
TS28: gonadal fat pad Present UC Davis_1879951

Specimen UC Davis_1879952: postnatal adult; Actg1tm1.1(KOMP)Vlcg/Actg1+ (more )
Structure Level Pattern Image Note
TS28: mesenteric adipose tissue Present UC Davis_1879952

Specimen UC Davis_1879953: postnatal adult; Actg1tm1.1(KOMP)Vlcg/Actg1+ (more )
Structure Level Pattern Image Note
TS28: skin Present UC Davis_1879953

Specimen UC Davis_1879954: postnatal adult; Actg1tm1.1(KOMP)Vlcg/Actg1+ (more )
Structure Level Pattern Image Note
TS28: skin Present UC Davis_1879954

Specimen UC Davis_1879955: postnatal adult; Actg1tm1.1(KOMP)Vlcg/Actg1+ (more )
Structure Level Pattern Image Note
TS28: brown fat Present UC Davis_1879955

Specimen UC Davis_1879956: postnatal adult; Actg1tm1.1(KOMP)Vlcg/Actg1+ (more )
Structure Level Pattern Image Note
TS28: brown fat Present UC Davis_1879956

Specimen UC Davis_1879957: postnatal adult; Actg1tm1.1(KOMP)Vlcg/Actg1+ (more )
Structure Level Pattern Image Note
TS28: olfactory lobe Present UC Davis_1879957

Specimen UC Davis_1879960: postnatal adult; Actg1tm1.1(KOMP)Vlcg/Actg1+ (more )
Structure Level Pattern Image Note
TS28: midbrain Present UC Davis_1879960

Specimen UC Davis_1879962: postnatal adult; Actg1tm1.1(KOMP)Vlcg/Actg1+ (more )
Structure Level Pattern Image Note
TS28: cerebellum Present UC Davis_1879962

Specimen UC Davis_1879963: postnatal adult; Actg1tm1.1(KOMP)Vlcg/Actg1+ (more )
Structure Level Pattern Image Note
TS28: trigeminal nerve Present UC Davis_1879963

Specimen UC Davis_1879964: postnatal adult; Actg1tm1.1(KOMP)Vlcg/Actg1+ (more )
Structure Level Pattern Image Note
TS28: trigeminal nerve Present UC Davis_1879964

Specimen UC Davis_1879965: postnatal adult; Actg1tm1.1(KOMP)Vlcg/Actg1+ (more )
Structure Level Pattern Image Note
TS28: bladder Present UC Davis_1879965

Specimen UC Davis_1879966: postnatal adult; Actg1tm1.1(KOMP)Vlcg/Actg1+ (more )
Structure Level Pattern Image Note
TS28: bladder Present UC Davis_1879966

Specimen UC Davis_1879967: postnatal adult; Actg1tm1.1(KOMP)Vlcg/Actg1+ (more )
Structure Level Pattern Image Note
TS28: testis Present UC Davis_1879967

Specimen UC Davis_1879968: postnatal adult; Actg1tm1.1(KOMP)Vlcg/Actg1+ (more )
Structure Level Pattern Image Note
TS28: testis Present UC Davis_1879968

Specimen UC Davis_1879969: postnatal adult; Actg1tm1.1(KOMP)Vlcg/Actg1+ (more )
Structure Level Pattern Image Note
TS28: testis Present UC Davis_1879969

Specimen UC Davis_1879970: postnatal adult; Actg1tm1.1(KOMP)Vlcg/Actg1+ (more )
Structure Level Pattern Image Note
TS28: epididymis Present UC Davis_1879970

Specimen UC Davis_1879971: postnatal adult; Actg1tm1.1(KOMP)Vlcg/Actg1+ (more )
Structure Level Pattern Image Note
TS28: epididymis Present UC Davis_1879971

Specimen UC Davis_1879972: postnatal adult; Actg1tm1.1(KOMP)Vlcg/Actg1+ (more )
Structure Level Pattern Image Note
TS28: epididymis Present UC Davis_1879972

Specimen UC Davis_1879973: postnatal adult; Actg1tm1.1(KOMP)Vlcg/Actg1+ (more )
Structure Level Pattern Image Note
TS28: prostate gland Present UC Davis_1879973

Specimen UC Davis_1879974: postnatal adult; Actg1tm1.1(KOMP)Vlcg/Actg1+ (more )
Structure Level Pattern Image Note
TS28: prostate gland Present UC Davis_1879974

Specimen UC Davis_1879975: postnatal adult; Actg1tm1.1(KOMP)Vlcg/Actg1+ (more )
Structure Level Pattern Image Note
TS28: penis Present UC Davis_1879975

Specimen UC Davis_1879976: postnatal adult; Actg1tm1.1(KOMP)Vlcg/Actg1+ (more )
Structure Level Pattern Image Note
TS28: penis Present UC Davis_1879976

Specimen UC Davis_1879977: postnatal adult; Actg1tm1.1(KOMP)Vlcg/Actg1+ (more )
Structure Level Pattern Image Note
TS28: blood Present UC Davis_1879977

Specimen UC Davis_1879978: postnatal adult; Actg1tm1.1(KOMP)Vlcg/Actg1+ (more )
Structure Level Pattern Image Note
TS28: bone marrow Present UC Davis_1879978

Specimen UC Davis_1879979: postnatal adult; Actg1tm1.1(KOMP)Vlcg/Actg1+ (more )
Structure Level Pattern Image Note
TS28: bone marrow Present UC Davis_1879979

Specimen UC Davis_1879980: postnatal adult; Actg1tm1.1(KOMP)Vlcg/Actg1+ (more )
Structure Level Pattern Image Note
TS28: ductus deferens Present UC Davis_1879980 vas deferens

Specimen UC Davis_1879983: postnatal adult; Actg1tm1.1(KOMP)Vlcg/Actg1+ (more )
Structure Level Pattern Image Note
TS28: seminal vesicle Present UC Davis_1879983 vesicular gland


Contributing Projects:
Mouse Genome Database (MGD), Gene Expression Database (GXD), Mouse Models of Human Cancer database (MMHCdb) (formerly Mouse Tumor Biology (MTB)), Gene Ontology (GO)
Citing These Resources
Funding Information
Warranty Disclaimer, Privacy Notice, Licensing, & Copyright
Send questions and comments to User Support.
last database update
01/28/2026
MGI 6.24
The Jackson Laboratory